扫码关注公众号           扫码咨询技术支持           扫码咨询技术服务
  
客服热线:400-901-9800  客服QQ:4009019800  技术答疑  技术支持  质量反馈  关于我们  联系我们
产品中心-北京博奥森生物技术有限公司
首页 > 产品中心 > 一抗 > 产品信息
AKT1+2+3 Rabbit pAb (bs-6951R)  
订购热线:400-901-9800
订购邮箱:sales@bioss.com.cn
订购QQ:  400-901-9800
技术支持:techsupport@bioss.com.cn
50ul/1180.00元
100ul/1980.00元
200ul/2800.00元
大包装/询价

产品编号 bs-6951R
英文名称 AKT1+2+3 Rabbit pAb
中文名称 蛋白激酶AKT1,2,3抗体
别    名 pan-AKT; pan AKT; AKT1+AKT2+AKT3; AKT1+AKT2+AKT3; AKT1/AKT2/AKT3; AKT1/2/3; AKT 1; AKT; AKT1; AKT-1; AKT1_HUMAN; AKT 2; AKT2; AKT-2; AKT2_HUMAN; AKT 3; AKT3; AKT-3; AKT3_HUMAN; C AKT; cAKT; MGC9965; MGC99656; Oncogene AKT1; PKB; PKB alpha; PKB-ALPHA; PKB beta; PKB gamma; PRKBA; Protein Kinase B alpha; Protein kinase B; Proto-oncogene c-Akt; RAC alpha; RAC alpha serine/threonine protein kinase; RAC; RAC PK alpha; Rac protein kinase alpha; RAC Serine/Threonine Protein Kinase; RAC-alpha serine/threonine-protein kinase; RAC-PK-alpha; v akt murine thymoma viral oncogene homolog 1; vAKT Murine Thymoma Viral Oncogene Homolog 1.  Akt (pan); Akt (pan) (C67E7) ;
Specific References  (24)     |     bs-6951R has been referenced in 24 publications.
[IF=20.693] Myung-Ju Lee. et al. CXCL1 confers a survival advantage in Kaposi's sarcoma-associated herpesvirus-infected human endothelial cells through STAT3 phosphorylation. J MED VIROL. 2022 Jul;:  WB ;  Human.  
[IF=6.638] Wang Z et al. Light-activatable dual prodrug polymer nanoparticle for precise synergistic chemotherapy guided by drug-mediated computed tomography imaging. Acta Biomater. 2019 Aug;94:459-468.  WB ;  Human.  
[IF=5.988] Dongfang Lv. et al. Mailuoshutong pill for varicocele-associated male infertility-Phytochemical characterisation and multitarget mechanism.. FRONT PHARMACOL. 2022 Sep;13:961011-961011  WB ;  Rat.  
[IF=5.428] Xusheng Du. et al. RIOK3-mediated Akt phosphorylation facilitates synergistic replication of Marek’s disease and reticuloendotheliosis viruses. VIRULENCE. 2022 Jul 06  WB ;  Chicken.  
[IF=5.168] Liu et al. PD-1/PD-L1 interaction up-regulates MDR1/P-gp expression in breast cancer cells via PI3K/AKT and MAPK/ERK pathways. (2017) Oncotarget. 8:99901-99912  WB ;  
[IF=4.658] Wang Y et al. Aspirin inhibits adipogenesis of tendon stem cells and lipids accumulation in rat injury tendon through regulating PTEN/PI3K/AKT signalling. J Cell Mol Med. 2019 Nov;23(11):7535-7544.  WB ;  Rat.  
[IF=4.46] Xing Chang. et al. 1-(4-((5-chloro-4-((2-(isopropylsulfonyl)phenyl)amino)pyrimidin-2-yl)amino)-3-methoxyphenyl)-3-(2-(dimethylamino)ethyl)imidazolidin-2-one (ZX-42) inhibits cell proliferation and induces apoptosis via inhibiting ALK and its downstream pathways in Karpas299 cells. TOXICOL APPL PHARM. 2022 Sep;450:116156  WB ;  Human.  
[IF=4.122] Jeon et al. Activation of the complement system in an osteosarcoma cell line promotes angiogenesis through enhanced production of growth factors. (2018) Sci.Rep. 8:5415  WB ;  
[IF=4.011] Zhou C et al. Combining transcatheter arterial embolization with iodized oil containing Apatinib inhibits HCC growth and metastasis. Sci Rep. 2020 Feb 19;10(1):2964.  WB ;  Human.  
[IF=4.004] Xiao Feng. et al. Bisbenzylisoquinoline alkaloids from Plumula Nelumbinis inhibit vascular smooth muscle cells migration and proliferation by regulating the ORAI2/Akt pathway. PHYTOCHEMISTRY. 2023 Jul;211:113700  WB ;  Mouse.  
[IF=3.895] Yin H et al. T-2 Toxin Induces Oxidative Stress, Apoptosis and Cytoprotective Autophagy in Chicken Hepatocytes. Toxins (Basel). 2020 Jan 29;12(2).  WB ;  Chicken.  
[IF=3.69] Chen R et al. Tongmai Yangxin pill reduces myocardial no-reflow by regulating apoptosis and activating PI3K/Akt/eNOS pathway. J Ethnopharmacol. 2020 Oct 28;261:113069.  WB ;  Rat.  
[IF=3.296] Han B et al. 8-Cetylcoptisine, a new coptisine derivative, induces mitochondria-dependent apoptosis and G0/G1 cell cycle arrest in human A549 cells.(2018)Chem Biol Interact.;299:27-36.  WB ;  Mouse.  
[IF=3.266] Ma Q et al. Vitamin B5 inhibit RANKL induced osteoclastogenesis and ovariectomy induced osteoporosis by scavenging ROS generation. Am J Transl Res. 2019 Aug 15;11(8):5008-5018. eCollection 2019.  WB ;  Mouse.  
[IF=3.173] Zuo D et al. Alcohol aggravates ketamine-induced behavioral, morphological and neurochemical alterationsin adolescent rats: The involvement of CREB-related pathways.Behav Brain Res. 2018 Sep 3;349:80-90.  WB ;  Rat.  
[IF=3.17] Xue W et al. Caveolin-1 alleviates lipid accumulation in NAFLD associated with promoting autophagy by inhibiting the Akt/mTOR pathway. Eur J Pharmacol. 2020 Mar 15;871:172910.  WB ;  Mouse.  
[IF=3.138] Liu F et al. Effects of laser needle-knife therapy on vertebroarterial morphology and protein expression of PI-3K, AKT and VEGF in the carotid artery in a rabbit model of cervical spondylotic arteriopathy Saudi Journal of Biological Sciences. 2018 Nov.  WB ;  Rabbit.  
[IF=3.111] Chuanju Zong. et al. Chronic restraint stress promotes gastric epithelial malignant transformation by activating the Akt/p53 signaling pathway via ADRB2. ONCOL LETT. 2022 Sep;24(3):1-11  WB ;  Rat.  
[IF=2.563] Jiang S et al. Hesperetin as an adjuvant augments protective antitumor immunity responses in B16F10 melanoma by stimulating cytotoxic CD8+ T cells. Scandinavian Journal of Immunology, 2020: e12867.  WB ;  Mouse.  
[IF=2.456] Di‐Yang Sun. et al. iTRAQ‐ and LC–MS/MS‐based quantitative proteomics reveals Pqlc2 as a potential regulator of hepatic glucose metabolism and insulin signalling pathway during fasting. Clin Exp Pharmacol P. 2021 Feb;48(2):238-249  WB ;  Mouse.  
[IF=2.35] Li, Guofu, et al. "The neutrophil elastase inhibitor, sivelestat, attenuates sepsis-related kidney injury in rats." International Journal of Molecular Medicine 38.3 (2016): 767-775.  WB ;  Rat.  
[IF=2.088] Wen Jiang. et al. Hirsutine ameliorates myocardial ischemia-reperfusion injury through improving mitochondrial function via CaMKII pathway. CLIN EXP HYPERTENS. 2023;45(1):Article: 2192444  WB ;  Rat.  
[IF=1.794] Gao HX et al. TCL1 as a hub protein associated with the PI3K/AKT signaling pathway in diffuse large B-cell lymphoma based on proteomics methods. Pathol Res Pract. 2020 Feb;216(2):152799.  IHC-P ;  Human.  
[IF=1.173] Xu et al. Danshen attenuates cartilage injuries in osteoarthritis in vivo and in vitro by activating JAK2/STAT3 and AKT pathways. (2018) Exp.Anim. 67:127-137  WB ;  Rabbits.  
研究领域 肿瘤  细胞生物  信号转导  细胞凋亡  转录调节因子  激酶和磷酸酶  
抗体来源 Rabbit
克隆类型 Polyclonal
克 隆 号
交叉反应 Human,Mouse,Rat (predicted: Rabbit,Pig,Sheep,Cow,Chicken,Dog)
产品应用 WB=1:500-2000,IHC-P=1:100-500,IHC-F=1:100-500,IF=1:100-500,Flow-Cyt=1μg/Test
not yet tested in other applications.
optimal dilutions/concentrations should be determined by the end user.
理论分子量 56 kDa
检测分子量
细胞定位 细胞浆 细胞膜 
性    状 Liquid
浓    度 1mg/ml
免 疫 原 KLH conjugated synthetic peptide derived from human AKT1/2/3: 401-480/480 
亚    型 IgG
纯化方法 affinity purified by Protein A
缓 冲 液 0.01M TBS (pH7.4) with 1% BSA, 0.02% Proclin300 and 50% Glycerol.
保存条件 Shipped at 4℃. Store at -20℃ for one year. Avoid repeated freeze/thaw cycles.
注意事项 This product as supplied is intended for research use only, not for use in human, therapeutic or diagnostic applications.
PubMed PubMed
产品介绍 AKT, also known as protein kinase B (PKB), is a 57 kDa serine/threonine protein kinase. There are three mammalian isoforms of Akt: AKT1 (PKB alpha), AKT2 (PKB beta) and AKT3 (PKB gamma) with AKT2 and AKT3 being approximately 82% identical with the AKT1 isoform. Each isoform has a pleckstrin homology (PH)domain, a kinase domain and a carboxy terminal regulatory domain. AKT was originally cloned from the retrovirus AKT8, and is a key regulator of many signal transduction pathways. Its tight control over cell proliferation and cell viability are manifold; overexpression or inappropriate activation of AKT has been seen in many types of cancer. AKT mediates many of the downstream events of phosphatidylinositol 3 kinase (a lipid kinase activated by growth factors, cytokines and insulin). PI3 kinase recruits AKT to the membrane, where it is activated by PDK1 phosphorylation. Once phosphorylated, AKT dissociates from the membrane and phosphorylates targets in the cytoplasm and the cell nucleus.

Function:
IGF-1 leads to the activation of AKT3, which may play a role in regulating cell survival. Capable of phosphorylating several known proteins. Truncated isoform 2/PKB gamma 1 without the second serine phosphorylation site could still be stimulated but to a lesser extent.

Subunit:
Interacts (via the C-terminus) with CCDC88A (via its C-terminus). Interacts with GRB10; the interaction leads to GRB10 phosphorylation thus promoting YWHAE-binding. Interacts with AGAP2 (isoform 2/PIKE-A); the interaction occurs in the presence of guanine nucleotides. Interacts with AKTIP. Interacts (via PH domain) with MTCP1, TCL1A AND TCL1B. Interacts with CDKN1B; the interaction phosphorylates CDKN1B promoting 14-3-3 binding and cell-cycle progression. Interacts with MAP3K5 and TRAF6. Interacts with BAD, PPP2R5B, STK3 and STK4. Interacts (via PH domain) with SIRT1. Interacts with SRPK2 in a phosphorylation-dependent manner. Interacts with RAF1. Interacts with TRIM13; the interaction ubiquitinates AKT1 leading to its proteasomal degradation. Interacts with TNK2 and CLK2. Interacts (via the C-terminus) with THEM4 (via its C-terminus). Interacts with and phosphorylated by PDPK1.

Subcellular Location:
Cytoplasm. Nucleus. Cell membrane. Note=Nucleus after activation by integrin-linked protein kinase 1 (ILK1). Nuclear translocation is enhanced by interaction with TCL1A. Phosphorylation on Tyr-176 by TNK2 results in its localization to the cell membrane where it is targeted for further phosphorylations on Thr-308 and Ser-473 leading to its activation and the activated form translocates to the nucleus.

Tissue Specificity:
Expressed in prostate cancer and levels increase from the normal to the malignant state (at protein level). Expressed in all human cell types so far analyzed. The Tyr-176 phosphorylated form shows a significant increase in expression in breast cancers during the progressive stages i.e. normal to hyperplasia (ADH), ductal carcinoma in situ (DCIS), invasive ductal carcinoma (IDC) and lymph node metastatic (LNMM) stages.

Post-translational modifications:
O-GlcNAcylation at Thr-305 and Thr-312 inhibits activating phosphorylation at Thr-308 via disrupting the interaction between AKT1 and PDPK1. O-GlcNAcylation at Ser-473 also probably interferes with phosphorylation at this site.
Phosphorylation on Thr-308, Ser-473 and Tyr-474 is required for full activity. Activated TNK2 phosphorylates it on Tyr-176 resulting in its binding to the anionic plasma membrane phospholipid PA. This phosphorylated form localizes to the cell membrane, where it is targeted by PDPK1 and PDPK2 for further phosphorylations on Thr-308 and Ser-473 leading to its activation. Ser-473 phosphorylation by mTORC2 favors Thr-308 phosphorylation by PDPK1. Ser-473 phosphorylation is enhanced by interaction with AGAP2 isoform 2 (PIKE-A). Ser-473 phosphorylation is enhanced in focal cortical dysplasias with Taylor-type balloon cells. Ser-473 phosphorylation is enhanced by signaling through activated FLT3. Dephosphorylated at Thr-308 and Ser-473 by PP2A phosphatase. The phosphorylated form of PPP2R5B is required for bridging AKT1 with PP2A phosphatase.
Ubiquitinated via 'Lys-48'-linked polyubiquitination by ZNRF1, leading to its degradation by the proteasome. Ubiquitinated; undergoes both 'Lys-48'- and 'Lys-63'-linked polyubiquitination. TRAF6-induced 'Lys-63'-linked AKT1 ubiquitination is critical for phosphorylation and activation. When ubiquitinated, it translocates to the plasma membrane, where it becomes phosphorylated. When fully phosphorylated and translocated into the nucleus, undergoes 'Lys-48'-polyubiquitination catalyzed by TTC3, leading to its degradation by the proteasome. Also ubiquitinated by TRIM13 leading to its proteasomal degradation.
Acetylated on Lys-14 and Lys-20 by the histone acetyltransferases EP300 and KAT2B. Acetylation results in reduced phosphorylation and inhibition of activity. Deacetylated at Lys-14 and Lys-20 by SIRT1. SIRT1-mediated deacetylation relieves the inhibition.

DISEASE:
Defects in AKT1 are a cause of susceptibility to breast cancer (BC) [MIM:114480]. A common malignancy originating from breast epithelial tissue. Breast neoplasms can be distinguished by their histologic pattern. Invasive ductal carcinoma is by far the most common type.
Breast cancer is etiologically and genetically heterogeneous. Important genetic factors have been indicated by familial occurrence and bilateral involvement. Mutations at more than one locus can be involved in different families or even in the same case.
Defects in AKT1 are associated with colorectal cancer (CRC) [MIM:114500].
Note=Genetic variations in AKT1 may play a role in susceptibility to ovarian cancer.
Defects in AKT1 are a cause of Proteus syndrome (PROTEUSS) [MIM:176920]. A highly variable, severe disorder of asymmetric and disproportionate overgrowth of body parts, connective tissue nevi, epidermal nevi, dysregulated adipose tissue, and vascular malformations. Many features of Proteus syndrome overlap with other overgrowth syndromes.

Similarity:
Belongs to the protein kinase superfamily. AGC Ser/Thr protein kinase family.
RAC subfamily.
Contains 1 AGC-kinase C-terminal domain.
Contains 1 PH domain.
Contains 1 protein kinase domain.

SWISS:
P31749

Gene ID:
207

Database links:

Entrez Gene: 207 Human

Entrez Gene: 11651 Mouse

Entrez Gene: 24185 Rat

Omim: 164730 Human

SwissProt: O57513 Chicken

SwissProt: P31749 Human

SwissProt: P31750 Mouse

SwissProt: P47196 Rat

Unigene: 525622 Human

Unigene: 6645 Mouse

Unigene: 11422 Rat



产品图片
Sample: Lung (Mouse) Lysate at 40 ug Placenta (Mouse) Lysate at 40 ug Primary: Anti-AKT1+2+3 (bs-6951R) at 1/300 dilution Secondary: IRDye800CW Goat Anti-Rabbit IgG at 1/20000 dilution Predicted band size: 56 kD Observed band size: 56 kD
Sample: A431Cell (Human) Lysate at 30 ug Hela Cell(Human)Lysate at 30 ug Primary: Anti-AKT1+2+3(bs-6951R)at 1/300 dilution Secondary: IRDye800CW Goat Anti-Rabbit IgG at 1/20000 dilution Predicted band size: 50 kD Observed band size: 50 kD
Paraformaldehyde-fixed, paraffin embedded (Human kidney); Antigen retrieval by boiling in sodium citrate buffer (pH6.0) for 15min; Block endogenous peroxidase by 3% hydrogen peroxide for 20 minutes; Blocking buffer (normal goat serum) at 37°C for 30min; Antibody incubation with (AKT1+2+3) Polyclonal Antibody, Unconjugated (bs-6951R) at 1:200 overnight at 4°C, followed by operating according to SP Kit(Rabbit) (sp-0023) instructionsand DAB staining.
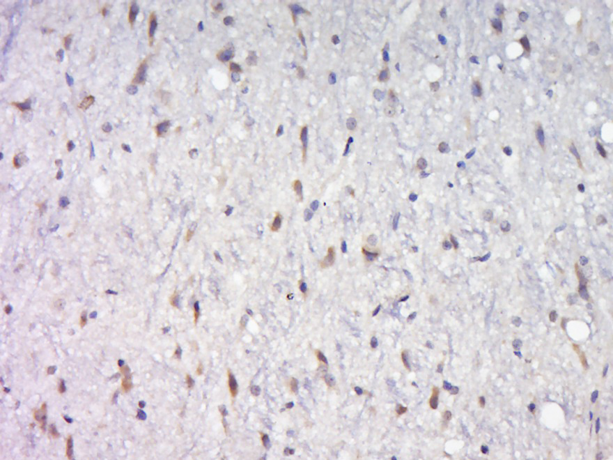
Paraformaldehyde-fixed, paraffin embedded (rat brain); Antigen retrieval by boiling in sodium citrate buffer (pH6.0) for 15min; Block endogenous peroxidase by 3% hydrogen peroxide for 20 minutes; Blocking buffer (normal goat serum) at 37°C for 30min; Antibody incubation with (AKT1+2+3) Polyclonal Antibody, Unconjugated (bs-6951R) at 1:400 overnight at 4°C, followed by a conjugated secondary (sp-0023) for 20 minutes and DAB staining.
Tissue/cell: mouse embryo tissue; 4% Paraformaldehyde-fixed and paraffin-embedded; Antigen retrieval: citrate buffer ( 0.01M, pH 6.0 ), Boiling bathing for 15min; Block endogenous peroxidase by 3% Hydrogen peroxide for 30min; Blocking buffer (normal goat serum,C-0005) at 37℃ for 20 min; Incubation: Anti-AKT1+2+3 Polyclonal Antibody, Unconjugated(bs-6951R) 1:200, overnight at 4°C, followed by conjugation to the secondary antibody(SP-0023) and DAB(C-0010) staining
Tissue/cell: rat brain tissue; 4% Paraformaldehyde-fixed and paraffin-embedded; Antigen retrieval: citrate buffer ( 0.01M, pH 6.0 ), Boiling bathing for 15min; Block endogenous peroxidase by 3% Hydrogen peroxide for 30min; Blocking buffer (normal goat serum,C-0005) at 37℃ for 20 min; Incubation: Anti-AKT1+2+3 Polyclonal Antibody, Unconjugated(bs-6951R) 1:200, overnight at 4°C, followed by conjugation to the secondary antibody(SP-0023) and DAB(C-0010) staining
Tissue/cell: Mouse embryos tissue; 4% Paraformaldehyde-fixed and paraffin-embedded; Antigen retrieval: citrate buffer ( 0.01M, pH 6.0 ), Boiling bathing for 15min; Block endogenous peroxidase by 3% Hydrogen peroxide for 30min; Blocking buffer (normal goat serum,C-0005) at 37℃ for 20 min; Incubation: Anti-AKT1 + 2 + 3 Polyclonal Antibody, Unconjugated(bs-6951R) 1:200, overnight at 4°C, followed by conjugation to the secondary antibody(SP-0023) and DAB(C-0010) staining
Blank control(blue): TM4 cells(fixed with 2% paraformaldehyde (10 min) , then permeabilized with 90% ice-cold methanol for 30 min on ice). Primary Antibody:Rabbit Anti-AKT1+2+3 antibody(bs-6951R), Dilution: 1μg in 100 μL 1X PBS containing 0.5% BSA; Isotype Control Antibody: Rabbit IgG(orange) ,used under the same conditions ); Secondary Antibody: Goat anti-rabbit IgG-PE(white blue), Dilution: 1:200 in 1 X PBS containing 0.5% BSA.
版权所有 2004-2026 www.bioss.com.cn 北京博奥森生物技术有限公司
通过国际质量管理体系ISO 9001:2015 GB/T 19001-2016    证书编号: 00124Q34771R2M/1100
通过国际医疗器械-质量管理体系ISO 13485:2016 GB/T 42061-2022     证书编号: CQC24QY20047R0M/1100
京ICP备05066980号-1         京公网安备110107000727号