扫码关注公众号           扫码咨询技术支持           扫码咨询技术服务
  
客服热线:400-901-9800  客服QQ:4009019800  技术答疑  技术支持  质量反馈  人才招聘  关于我们  联系我们
产品中心-北京博奥森生物技术有限公司
首页 > 产品中心 > 一抗 > 产品信息
BRSK2 Rabbit pAb (bs-11810R)  
订购热线:400-901-9800
订购邮箱:sales@bioss.com.cn
订购QQ:  400-901-9800
技术支持:techsupport@bioss.com.cn
50ul/1180.00元
100ul/1980.00元
200ul/2800.00元
大包装/询价

产品编号 bs-11810R
英文名称 BRSK2 Rabbit pAb
中文名称 脑蛋白丝氨酸/苏氨酸激酶29抗体
别    名 C11orf7; PEN11B; SAD-A; SAD1; SADA; STK29; 4833424K13Rik; BRSK2_HUMAN; BRSK2; Brain-selective kinase 2; Brain-specific serine/threonine-protein kinase 2 (BR serine/threonine-protein kinase 2); Serine/threonine-protein kinase 29; Serine/threonine-protein k  
研究领域 免疫学  神经生物学  激酶和磷酸酶  表观遗传学  
抗体来源 Rabbit
克隆类型 Polyclonal
克 隆 号
交叉反应 Mouse (predicted: Human,Rat,Pig,Sheep,Cow,Chicken,Dog,Horse)
产品应用 IHC-P=1:100-500,IHC-F=1:100-500,IF=1:100-500
not yet tested in other applications.
optimal dilutions/concentrations should be determined by the end user.
理论分子量 82 kDa
细胞定位 细胞浆 
性    状 Liquid
浓    度 1mg/ml
免 疫 原 KLH conjugated synthetic peptide derived from human STK29: 61-160/736 
亚    型 IgG
纯化方法 affinity purified by Protein A
缓 冲 液 0.01M TBS (pH7.4) with 1% BSA, 0.02% Proclin300 and 50% Glycerol.
保存条件 Shipped at 4℃. Store at -20℃ for one year. Avoid repeated freeze/thaw cycles.
注意事项 This product as supplied is intended for research use only, not for use in human, therapeutic or diagnostic applications.
PubMed PubMed
产品介绍 The phosphorylation and dephosphorylation of proteins on serine and threonine residues is an essential means of regulating a broad range of cellular functions in eukaryotes, including cell division, homeostasis and apoptosis. A group of proteins that are intimately involved in this process are the serine/threonine (Ser/Thr) protein kinases. BRSK2 (BR serine/threonine kinase 2), also known as SAD1, STK29 or PEN11B, is a 736 amino acid protein that contains one protein kinase domain and is preferentially expressed in brain and testis. One of several members of the Ser/Thr protein kinase family, BRSK2 uses magnesium as a cofactor to catalyze the ATP-dependent phosphorylation of target proteins and is thought to be involved in microtubule assembly, neuronal polarization and synaptic development. Additionally, BRSK2 may function as an autoantigen involved in small-cell lung cancer-associated limbic encephalitis. Five isoforms of BRSK2 exist due to alternative splicing events.

Function:
Required for the polarization of forebrain neurons which endows axons and dendrites with distinct properties, possibly by locally regulating phosphorylation of microtubule-associated proteins.

Subcellular Location:
Belongs to the protein kinase superfamily. CAMK Ser/Thr protein kinase family. AMPK subfamily. Contains 1 protein kinase domain.

Post-translational modifications:
Phosphorylated at Thr-174 by STK11/LKB1 in complex with STE20-related adapter-alpha (STRADA) pseudo kinase and CAB39. Not phosphorylated at Thr-174 by CaMKK2. In contrast, it is phosphorylated and activated by CaMKK1. May be inactivated via dephosphorylation of Thr-174 by PP2C. May be phosphorylated at Thr-260 by PKA. However, phosphorylation at Thr-260 by PKA was not comfirmed later (PubMed:18339622).

Similarity:
Belongs to the protein kinase superfamily. CAMK Ser/Thr protein kinase family. SNF1 subfamily.
Contains 1 protein kinase domain.
Contains 1 UBA domain.

SWISS:
Q8IWQ3

Gene ID:
9024

Database links:

Entrez Gene: 9024 Human

Entrez Gene: 75770 Mouse

Omim: 609236 Human

SwissProt: Q8IWQ3 Human

SwissProt: Q69Z98 Mouse

Unigene: 170819 Human

Unigene: 274868 Mouse

Unigene: 482784 Mouse



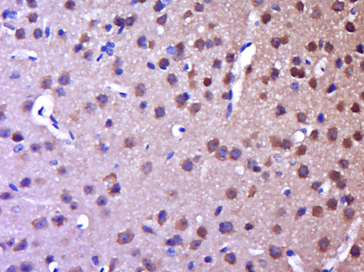
产品图片
Paraformaldehyde-fixed, paraffin embedded (Mouse brain); Antigen retrieval by boiling in sodium citrate buffer (pH6.0) for 15min; Block endogenous peroxidase by 3% hydrogen peroxide for 20 minutes; Blocking buffer (normal goat serum) at 37°C for 30min; Antibody incubation with (BRSK2) Polyclonal Antibody, Unconjugated (bs-11810R) at 1:400 overnight at 4°C, followed by operating according to SP Kit(Rabbit) (sp-0023) instructionsand DAB staining.
版权所有 2004-2026 www.bioss.com.cn 北京博奥森生物技术有限公司
通过国际质量管理体系ISO 9001:2015 GB/T 19001-2016    证书编号: 00124Q34771R2M/1100
通过国际医疗器械-质量管理体系ISO 13485:2016 GB/T 42061-2022     证书编号: CQC24QY20047R0M/1100
京ICP备05066980号-1         京公网安备110107000727号