扫码关注公众号           扫码咨询技术支持           扫码咨询技术服务
  
客服热线:400-901-9800  客服QQ:4009019800  技术答疑  技术支持  质量反馈  关于我们  联系我们
产品中心-北京博奥森生物技术有限公司
首页 > 产品中心 > 一抗 > 产品信息
HRG1 Rabbit pAb (bs-11917R)  
订购热线:400-901-9800
订购邮箱:sales@bioss.com.cn
订购QQ:  400-901-9800
技术支持:techsupport@bioss.com.cn
50ul/1180.00元
100ul/1980.00元
200ul/2800.00元
大包装/询价

产品编号 bs-11917R
英文名称 HRG1 Rabbit pAb
中文名称 神经调节蛋白1β2抗体
别    名 Neuregulin 1 beta 2; Acetylcholine receptor-inducing activity; ARIA; Breast cancer cell differentiation factor p45; GGF2; Glial growth factor; Heregulin; HGL; HRG; HRG1; HRGA; NDF; Neu differentiation factor; Neuregulin1; NRG 1; NRG1 beta; Pro-neuregulin-1, membrane-bound isoform; Sensory and motor neuron-derived factor; SMDF; NRG1_HUMAN.  
研究领域 细胞生物  发育生物学  神经生物学  信号转导  
抗体来源 Rabbit
克隆类型 Polyclonal
克 隆 号
交叉反应 Mouse,Rat (predicted: Human,Rabbit,Sheep,Cow,Horse)
产品应用 IHC-P=1:100-500,IHC-F=1:100-500,IF=1:100-500
not yet tested in other applications.
optimal dilutions/concentrations should be determined by the end user.
理论分子量 24/68 kDa
检测分子量
细胞定位 细胞核 细胞膜 分泌型蛋白 
性    状 Liquid
浓    度 1mg/ml
免 疫 原 KLH conjugated synthetic peptide derived from human HRG1/Neuregulin 1 beta 2: 81-200/640 <Extracellular>
亚    型 IgG
纯化方法 affinity purified by Protein A
缓 冲 液 0.01M TBS (pH7.4) with 1% BSA, 0.02% Proclin300 and 50% Glycerol.
保存条件 Shipped at 4℃. Store at -20℃ for one year. Avoid repeated freeze/thaw cycles.
注意事项 This product as supplied is intended for research use only, not for use in human, therapeutic or diagnostic applications.
PubMed PubMed
产品介绍 The protein encoded by this gene is a membrane glycoprotein that that mediates cell-cell signaling and plays a critical role in the growth and development of multiple organ systems. An extraordinary variety of different isoforms are produced from this gene through alternative promoter usage and splicing. These isoforms are expressed in a tissue-specific manner and differ significantly in their structure, and are classified as types I, II, III, IV, V and VI. Dysregulation of this gene has been linked to diseases such as cancer, schizophrenia, and bipolar disorder (BPD). [provided by RefSeq, Jun 2014]

Function:
Direct ligand for ERBB3 and ERBB4 tyrosine kinase receptors. Concomitantly recruits ERBB1 and ERBB2 coreceptors, resulting in ligand-stimulated tyrosine phosphorylation and activation of the ERBB receptors. The multiple isoforms perform diverse functions such as inducing growth and differentiation of epithelial, glial, neuronal, and skeletal muscle cells; inducing expression of acetylcholine receptor in synaptic vesicles during the formation of the neuromuscular junction; stimulating lobuloalveolar budding and milk production in the mammary gland and inducing differentiation of mammary tumor cells; stimulating Schwann cell proliferation; implication in the development of the myocardium such as trabeculation of the developing heart. Isoform 10 may play a role in motor and sensory neuron development.

Subunit:
The cytoplasmic domain interacts with the LIM domain region of LIMK1. Interacts with ERBB3 and ERBB4.

Subcellular Location:
Cell Membrane, Nuclear and Secreted

Tissue Specificity:
Type I isoforms are the predominant forms expressed in the endocardium. Isoform alpha is expressed in breast, ovary, testis, prostate, heart, skeletal muscle, lung, placenta liver, kidney, salivary gland, small intestine and brain, but not in uterus, stomach, pancreas, and spleen. Isoform 3 is the predominant form in mesenchymal cells and in non-neuronal organs, whereas isoform 6 is the major neuronal form. Isoform 8 is expressed in spinal cord and brain. Isoform 9 is the major form in skeletal muscle cells; in the nervous system it is expressed in spinal cord and brain. Also detected in adult heart, placenta, lung, liver, kidney, and pancreas. Isoform 10 is expressed in nervous system: spinal cord motor neurons, dorsal root ganglion neurons, and brain. Predominant isoform expressed in sensory and motor neurons. Not detected in adult heart, placenta, lung, liver, skeletal muscle, kidney, and pancreas. Not expressed in fetal lung, liver and kidney. Type IV isoforms are brain-specific.

Post-translational modifications:
Proteolytic cleavage close to the plasma membrane on the external face leads to the release of the soluble growth factor form.
N- and O-glycosylated. Extensive glycosylation precedes the proteolytic cleavage

DISEASE:
Note=A chromosomal aberration involving NRG1 produces gamma-heregulin. Translocation t(8;11) with TENM4. The translocation fuses the 5'-end of TENM4 to NRG1 (isoform 8). The product of this translocation was first thought to be an alternatively spliced isoform. Gamma-heregulin is a soluble activating ligand for the ERBB2-ERBB3 receptor complex and acts as an autocrine growth factor in a specific breast cancer cell line (MDA-MB-175). Not detected in breast carcinoma samples, including ductal, lobular, medullary, and mucinous histological types, neither in other breast cancer cell lines.

Similarity:
Belongs to the neuregulin family.
Contains 1 EGF-like domain.
Contains 1 Ig-like C2-type (immunoglobulin-like) domain.

SWISS:
Q02297

Gene ID:
3084

Database links:
Entrez Gene: 3084 Human

Entrez Gene: 211323 Mouse

Omim: 142445 Human

SwissProt: Q02297 Human

Unigene: 453951 Human

Unigene: 668810 Human

Unigene: 153432 Mouse



产品图片
Paraformaldehyde-fixed, paraffin embedded (mouse brain); Antigen retrieval by boiling in sodium citrate buffer (pH6.0) for 15min; Block endogenous peroxidase by 3% hydrogen peroxide for 20 minutes; Blocking buffer (normal goat serum) at 37°C for 30min; Antibody incubation with (HRG1) Polyclonal Antibody, Unconjugated (bs-11917R) at 1:200 overnight at 4°C, followed by operating according to SP Kit(Rabbit) (sp-0023) instructionsand DAB staining.
Paraformaldehyde-fixed, paraffin embedded (mouse cerebellum); Antigen retrieval by boiling in sodium citrate buffer (pH6.0) for 15min; Block endogenous peroxidase by 3% hydrogen peroxide for 20 minutes; Blocking buffer (normal goat serum) at 37°C for 30min; Antibody incubation with (HRG1) Polyclonal Antibody, Unconjugated (bs-11917R) at 1:200 overnight at 4°C, followed by operating according to SP Kit(Rabbit) (sp-0023) instructionsand DAB staining.
Paraformaldehyde-fixed, paraffin embedded (rat cerebellum); Antigen retrieval by boiling in sodium citrate buffer (pH6.0) for 15min; Block endogenous peroxidase by 3% hydrogen peroxide for 20 minutes; Blocking buffer (normal goat serum) at 37°C for 30min; Antibody incubation with (HRG1) Polyclonal Antibody, Unconjugated (bs-11917R) at 1:200 overnight at 4°C, followed by operating according to SP Kit(Rabbit) (sp-0023) instructionsand DAB staining.
Tissue/cell: rat brain tissue; 4% Paraformaldehyde-fixed and paraffin-embedded; Antigen retrieval: citrate buffer ( 0.01M, pH 6.0 ), Boiling bathing for 15min; Block endogenous peroxidase by 3% Hydrogen peroxide for 30min; Blocking buffer (normal goat serum,C-0005) at 37℃ for 20 min; Incubation: Anti-HRG1 Polyclonal Antibody, Unconjugated(bs-11917R) 1:200, overnight at 4°C, followed by conjugation to the secondary antibody(SP-0023) and DAB(C-0010) staining
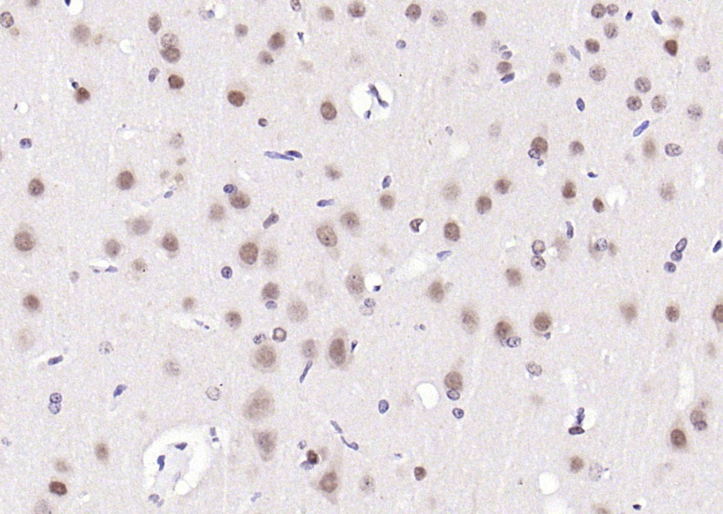
Paraformaldehyde-fixed, paraffin embedded (rat brain); Antigen retrieval by boiling in sodium citrate buffer (pH6.0) for 15min; Block endogenous peroxidase by 3% hydrogen peroxide for 20 minutes; Blocking buffer (normal goat serum) at 37°C for 30min; Antibody incubation with (HRG1) Polyclonal Antibody, Unconjugated (bs-11917R) at 1:200 overnight at 4°C, followed by operating according to SP Kit(Rabbit) (sp-0023) instructionsand DAB staining.
Tissue/cell: rat brain tissue; 4% Paraformaldehyde-fixed and paraffin-embedded; Antigen retrieval: citrate buffer ( 0.01M, pH 6.0 ), Boiling bathing for 15min; Block endogenous peroxidase by 3% Hydrogen peroxide for 30min; Blocking buffer (normal goat serum,C-0005) at 37℃ for 20 min; Incubation: Anti-HRG1 Polyclonal Antibody, Unconjugated(bs-11917R) 1:200, overnight at 4°C, followed by conjugation to the secondary antibody(SP-0023) and DAB(C-0010) staining
Tissue/cell: rat brain tissue;4% Paraformaldehyde-fixed and paraffin-embedded; Antigen retrieval: citrate buffer ( 0.01M, pH 6.0 ), Boiling bathing for 15min; Blocking buffer (normal goat serum,C-0005) at 37℃ for 20 min; Incubation: Anti-HRG1 Polyclonal Antibody, Unconjugated(bs-11917R) 1:200, overnight at 4°C; The secondary antibody was Goat Anti-Rabbit IgG, Cy3 conjugated (bs-0295G-Cy3)used at 1:200 dilution for 40 minutes at 37°C. DAPI(5ug/ml,blue,C-0033) was used to stain the cell nuclei
版权所有 2004-2026 www.bioss.com.cn 北京博奥森生物技术有限公司
通过国际质量管理体系ISO 9001:2015 GB/T 19001-2016    证书编号: 00124Q34771R2M/1100
通过国际医疗器械-质量管理体系ISO 13485:2016 GB/T 42061-2022     证书编号: CQC24QY20047R0M/1100
京ICP备05066980号-1         京公网安备110107000727号