 
| 产品编号 | bs-4989R | 
| 英文名称 | BDNF Rabbit pAb | 
| 中文名称 | 脑源神经营养因子抗体 | 
| 别 名 | Abrineurin; BDNF; BDNF; BDNF_HUMAN; Brain Derived Neurotrophic Factor; Brain-derived neurotrophic factor; MGC34632; MGC34632; Neurotrophin. | 
|  | Specific References  (17)     |     bs-4989R has been referenced in 17 publications. | 
| 研究领域 | 细胞生物 神经生物学 信号转导 生长因子和激素 转录调节因子 激酶和磷酸酶 细胞因子 | 
| 抗体来源 | Rabbit | 
| 克隆类型 | Polyclonal | 
| 克 隆 号 | |
| 交叉反应 | Human,Mouse,Rat | 
| 产品应用 | WB=1:500-2000,IHC-P=1:50-200,IHC-F=1:50-200,IF=1:50-200 not yet tested in other applications. optimal dilutions/concentrations should be determined by the end user. | 
| 理论分子量 | 13/27 kDa | 
| 检测分子量 | |
| 细胞定位 | 分泌型蛋白 | 
| 性 状 | Liquid | 
| 浓 度 | 1mg/ml | 
| 免 疫 原 | KLH conjugated synthetic peptide derived from human BDNF: 151-247/247 | 
| 亚 型 | IgG | 
| 纯化方法 | affinity purified by Protein A | 
| 缓 冲 液 | 0.01M TBS (pH7.4) with 1% BSA, 0.02% Proclin300 and 50% Glycerol. | 
| 保存条件 | Shipped at 4℃. Store at -20℃ for one year. Avoid repeated freeze/thaw cycles. | 
| 注意事项 | This product as supplied is intended for research use only, not for use in human, therapeutic or diagnostic applications. | 
| PubMed | PubMed | 
| 产品介绍 | Neurotrophins function to regulate naturally occurring cell death of neurons during development. The prototype neurotrophin is nerve growth factor (NGF), originally discovered in the 1950s as a soluble peptide promoting the survival of, and neurite outgrowth from, sympathetic ganglia. More recently, three additional structurally homologous neurotrophic factors have been identified. These include brain-derived neurotrophic factor (BDNF), neurotrophin-3 (NT-3) and neurotrophin-4 (NT-4), also designated NT-5. These various neurotrophins stimulate the in vitro survival of distinct but partially overlapping populations of neurons. The Trk A receptor is the preferential receptor for NGF, but also binds NT-3 and NT-4. The Trk B receptor binds equally well to both BDNF and NT-4 and to a lesser extent NT-3, while the Trk C receptor only binds NT-3. BDNF promotes the survival of neuronal populations that are all located either in the central nervous system or directly connected to it. Belongs to the NGF-beta family. Function: During development, promotes the survival and differentiation of selected neuronal populations of the peripheral and central nervous systems. Participates in axonal growth, pathfinding and in the modulation of dendritic growth and morphology. Major regulator of synaptic transmission and plasticity at adult synapses in many regions of the CNS. The versatility of BDNF is emphasized by its contribution to a range of adaptive neuronal responses including long-term potentiation (LTP), long-term depression (LTD), certain forms of short-term synaptic plasticity, as well as homeostatic regulation of intrinsic neuronal excitability. Subunit: Monomers and homodimers. Binds to NTRK2/TRKB. Subcellular Location: Secreted. Tissue Specificity: Brain. Highly expressed in hippocampus, amygdala, cerebral cortex and cerebellum. Also expressed in heart, lung, skeletal muscle, testis, prostate and placenta. Post-translational modifications: The propeptide is N-glycosylated and glycosulfated. DISEASE: Defects in BDNF are a cause of congenital central hypoventilation syndrome (CCHS) [MIM:209880]; also known as congenital failure of autonomic control or Ondine curse. CCHS is a rare disorder characterized by abnormal control of respiration in the absence of neuromuscular or lung disease, or an identifiable brain stem lesion. A deficiency in autonomic control of respiration results in inadequate or negligible ventilatory and arousal responses to hypercapnia and hypoxemia. CCHS is frequently complicated with neurocristopathies such as Hirschsprung disease that occurs in about 16% of CCHS cases. Similarity: Belongs to the NGF-beta family. SWISS: P23560 Gene ID: 627 Database links: Entrez Gene: 627 Human Entrez Gene: 12064 Mouse Omim: 113505 Human SwissProt: P23560 Human SwissProt: P21237 Mouse Unigene: 502182 Human Unigene: 1442 Mouse Unigene: 11266 Rat | 
| 产品图片 | 
25 ug total protein per lane of various lysates (see on figure) probed with BDNF polyclonal antibody, unconjugated (bs-4989R) at 1:1000 dilution and 4°C overnight incubation. Followed by conjugated secondary antibody incubation at r.t. for 60 min.
 
Paraformaldehyde-fixed, paraffin embedded Human Left temporal lobe; Antigen retrieval by boiling in sodium citrate buffer (pH6.0) for 15 min; Antibody incubation with BDNF  Polyclonal Antibody, Unconjugated (bs-4989R) at 1:200 overnight at 4°C, followed by conjugation to the SP Kit (Rabbit, SP-0023) and DAB (C-0010) staining.
 
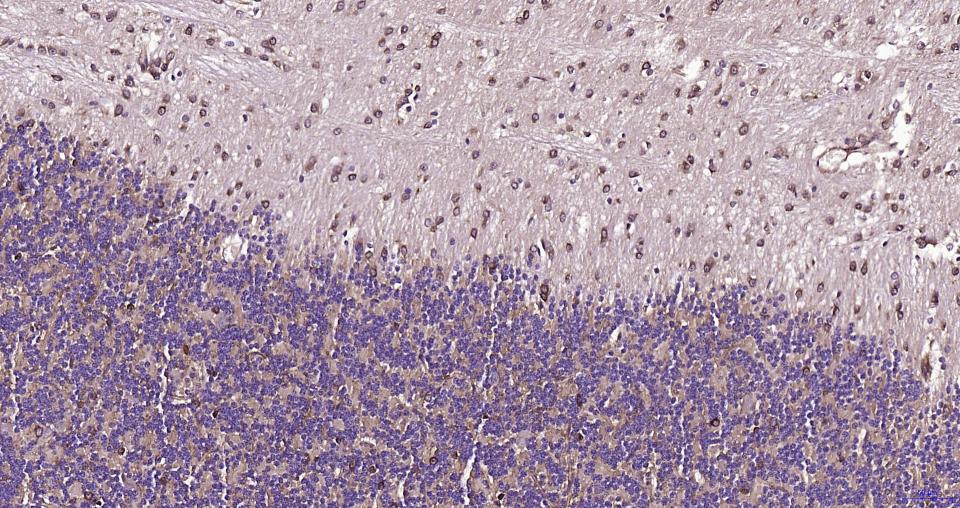
Paraformaldehyde-fixed, paraffin embedded Mouse Cerebellum; Antigen retrieval by boiling in sodium citrate buffer (pH6.0) for 15 min; Antibody incubation with BDNF  Polyclonal Antibody, Unconjugated (bs-4989R) at 1:200 overnight at 4°C, followed by conjugation to the SP Kit (Rabbit, SP-0023) and DAB (C-0010) staining.
 
Paraformaldehyde-fixed, paraffin embedded Rat Cerebellum; Antigen retrieval by boiling in sodium citrate buffer (pH6.0) for 15 min; Antibody incubation with BDNF  Polyclonal Antibody, Unconjugated (bs-4989R) at 1:200 overnight at 4°C, followed by conjugation to the SP Kit (Rabbit, SP-0023) and DAB (C-0010) staining.
 
Paraformaldehyde-fixed, paraffin embedded Mouse Cerebrum; Antigen retrieval by boiling in sodium citrate buffer (pH6.0) for 15 min; Antibody incubation with BDNF  Polyclonal Antibody, Unconjugated (bs-4989R) at 1:200 overnight at 4°C, followed by conjugation to the SP Kit (Rabbit, SP-0023) and DAB (C-0010) staining.
 
Paraformaldehyde-fixed, paraffin embedded Rat Cerebrum; Antigen retrieval by boiling in sodium citrate buffer (pH6.0) for 15 min; Antibody incubation with BDNF  Polyclonal Antibody, Unconjugated (bs-4989R) at 1:200 overnight at 4°C, followed by conjugation to the SP Kit (Rabbit, SP-0023) and DAB (C-0010) staining.
 
Paraformaldehyde-fixed, paraffin embedded Rat Spinal Cord; Antigen retrieval by boiling in sodium citrate buffer (pH6.0) for 15 min; Antibody incubation with BDNF  Polyclonal Antibody, Unconjugated (bs-4989R) at 1:200 overnight at 4°C, followed by conjugation to the SP Kit (Rabbit, SP-0023) and DAB (C-0010) staining.
 | 
| 1、抗体溶解方法 | |
| 2、抗体修复方式 | |
| 3、常用试剂的配制 | |
| 4、免疫组化操作步骤 | |
| 5、免疫组化问题解答 | |
| 6、Western Blotting 操作步骤 | |
| 7、Western Blotting 问题解答 | |
| 8、关于肽链的设计 | |
| 9、多肽的溶解与保存 | |
| 10、酶标抗体效价测定程序 | |