扫码关注公众号           扫码咨询技术支持           扫码咨询技术服务
  
客服热线:400-901-9800  客服QQ:4009019800  技术答疑  技术支持  质量反馈  关于我们  联系我们
产品中心-北京博奥森生物技术有限公司
首页 > 产品中心 > 一抗 > 产品信息
CaMK2 alpha Rabbit pAb (bs-0771R)  
订购热线:400-901-9800
订购邮箱:sales@bioss.com.cn
订购QQ:  400-901-9800
技术支持:techsupport@bioss.com.cn
50ul/1180.00元
100ul/1980.00元
200ul/2800.00元
大包装/询价

产品编号 bs-0771R
英文名称 CaMK2 alpha Rabbit pAb
中文名称 钙/钙调素依赖蛋白激酶2α抗体
别    名 alpha CaMKII; CaMKII alpha; Calcium/Calmodulin Dependent Protein Kinase II G; Calcium calmodulin dependent protein kinase CaM kinase II alpha; Calcium calmodulin dependent protein kinase II alpha-B subunit; Calcium calmodulin dependent protein kinase II; Calcium/calmodulin dependent protein kinase II alpha; Calcium/calmodulin-dependent protein kinase(CaM kinase) II alpha; Calcium/calmodulin-dependent protein kinase II alpha; Calcium/calmodulin-dependent protein kinase II-alpha; Calcium/calmodulin-dependent protein kinase type II subunit alpha; Calcium/calmodulin-dependent protein kinase type IIA; CaM kinase II alpha chain; CaM kinase II alpha subunit; CaM kinase II beta chain; CaM kinase II beta subunit; CaM kinase II delta chain; CaM kinase II delta subunit; CaM kinase II subunit alpha; CAM2; CaMK II alpha subunit; CaMK II beta subunit; CaMK II delta subunit; CaMK-II subunit alpha; CAMK2A; CAMK2B; CAMK2D; CAMKA; CAMKB; CaMKII; CaMK 2a; CaMK2a; KCC2A_HUMAN.  
Specific References  (4)     |     bs-0771R has been referenced in 4 publications.
[IF=5.714] Ling Chen. et al. HC067047 as a potent TRPV4 inhibitor repairs endotoxemia colonic injury. INT IMMUNOPHARMACOL. 2023 Mar;116:109648  WB ;  Mouse.  
[IF=5.026] Di Xia et al. Nrf2 promotes esophageal squamous cell carcinoma (ESCC) resistance to radiotherapy through the CaMKIIα-associated activation of autophagy. Cell Biosci . 2020 Jul 30;10:90.  IHC ;  Human.  
[IF=3.414] Tang Q et al. Aqueous extract from You-Gui-Yin ameliorates cognitive impairment of chronic renal failure micethrough targeting hippocampal CaMKIIα/CREB/BDNF and EPO/EPOR pathways. J Ethnopharmacol. 2019 Jul 15;239:111925.  WB ;  Mouse.  
[IF=3.414] Hou Y et al. Longzhibu disease and its therapeutic effects by traditional Tibetan medicine: Ershi-wei Chenxiang pills. J Ethnopharmacol. 2019 Nov 24:112426.  IHC-P&WB ;  Rat.  
研究领域 肿瘤  心血管  细胞生物  神经生物学  信号转导  激酶和磷酸酶  新陈代谢  
抗体来源 Rabbit
克隆类型 Polyclonal
克 隆 号
交叉反应 Human,Mouse,Rat
产品应用 WB=1:500-2000,IHC-P=1:100-500,IHC-F=1:100-500,IF=1:100-500,ICC/IF=1:100-500
not yet tested in other applications.
optimal dilutions/concentrations should be determined by the end user.
理论分子量 54 kDa
检测分子量
细胞定位 细胞浆 细胞膜 
性    状 Liquid
浓    度 1mg/ml
免 疫 原 KLH conjugated synthetic peptide derived from human CaMK2 alpha: 101-200/478 
亚    型 IgG
纯化方法 affinity purified by Protein A
缓 冲 液 0.01M TBS (pH7.4) with 1% BSA, 0.02% Proclin300 and 50% Glycerol.
保存条件 Shipped at 4℃. Store at -20℃ for one year. Avoid repeated freeze/thaw cycles.
注意事项 This product as supplied is intended for research use only, not for use in human, therapeutic or diagnostic applications.
PubMed PubMed
产品介绍 Ca2+/CalmodulinDependent Protein Kinase II (CaM Kinase II) is a multifunctional calcium and calmodulindependent protein kinase that mediates cellular responses to a wide variety of intercellular signals. CaM Kinase II has been shown to regulate diverse cellular functions including synaptic plasticity, neurotransmitter synthesis and release, gene expression, ion channel function, carbohydrate metabolism, cytoskeletal function, and Ca2+homeostasis. Phosphorylation of Thr286 on the kinase produces an autonomously active form of CaM Kinase II. Autophosphorylation of Thr305 inhibits the activity CaM Kinase II. Phosphorylation at this site appears to reduce the association of CaM Kinase II with the PSD and reduce LTP and learning.

Function:
CaM-kinase II (CAMK2) is a prominent kinase in the central nervous system that may function in long-term potentiation and neurotransmitter release. Member of the NMDAR signaling complex in excitatory synapses it may regulate NMDAR-dependent potentiation of the AMPAR and synaptic plasticity.

Subunit:
CAMK2 is composed of four different chains: alpha, beta, gamma, and delta. The different isoforms assemble into homo- or heteromultimeric holoenzymes composed of 8 to 12 subunits. Interacts with BAALC, MPDZ, SYN1, CAMK2N2 and SYNGAP1

Subcellular Location:
Cell junction, synapse, presynaptic cell membrane. Cell junction, synapse. Note=Postsynaptic lipid rafts.

Similarity:
Belongs to the protein kinase superfamily. CAMK Ser/Thr protein kinase family. CaMK subfamily.
Contains 1 protein kinase domain.

SWISS:
Q9UQM7

Gene ID:
818

Database links:

Entrez Gene: 282162 Cow

Entrez Gene: 525416 Cow

Entrez Gene: 530719 Cow

Entrez Gene: 532713 Cow

Entrez Gene: 815 Human

Entrez Gene: 816 Human

Entrez Gene: 817 Human

Entrez Gene: 818 Human

Entrez Gene: 108058 Mouse

Entrez Gene: 12322 Mouse

Entrez Gene: 12323 Mouse

Entrez Gene: 12325 Mouse

Entrez Gene: 171140 Rat

Entrez Gene: 24245 Rat

Entrez Gene: 24246 Rat

Entrez Gene: 25400 Rat

Omim: 114078 Human

SwissProt: Q2HJF7 Cow

SwissProt: Q3MHJ9 Cow

SwissProt: Q13554 Human

SwissProt: Q13555 Human

SwissProt: Q13557 Human

SwissProt: Q9UQM7 Human

SwissProt: P11798 Mouse

SwissProt: P28652 Mouse

SwissProt: Q6PHZ2 Mouse

SwissProt: Q923T9 Mouse

SwissProt: P08413 Rat

SwissProt: P11275 Rat

SwissProt: P11730 Rat

SwissProt: P15791 Rat

Unigene: 725992 Human

Unigene: 131530 Mouse

Unigene: 107499 Rat



产品图片
25 ug total protein per lane of various lysates (see on figure) probed with CaMK2 alpha polyclonal antibody, unconjugated (bs-0771R) at 1:1000 dilution and 4°C overnight incubation. Followed by conjugated secondary antibody incubation at r.t. for 60 min.
Sample: Lane 1: Mouse Heart tissue lysates Lane 2: Rat Heart tissue lysates Primary: Anti-CaMK2 alpha (bs-0771R) at 1/1000 dilution Secondary: IRDye800CW Goat Anti-Rabbit IgG at 1/20000 dilution Predicted band size: 54 kDa Observed band size: 50 kDa
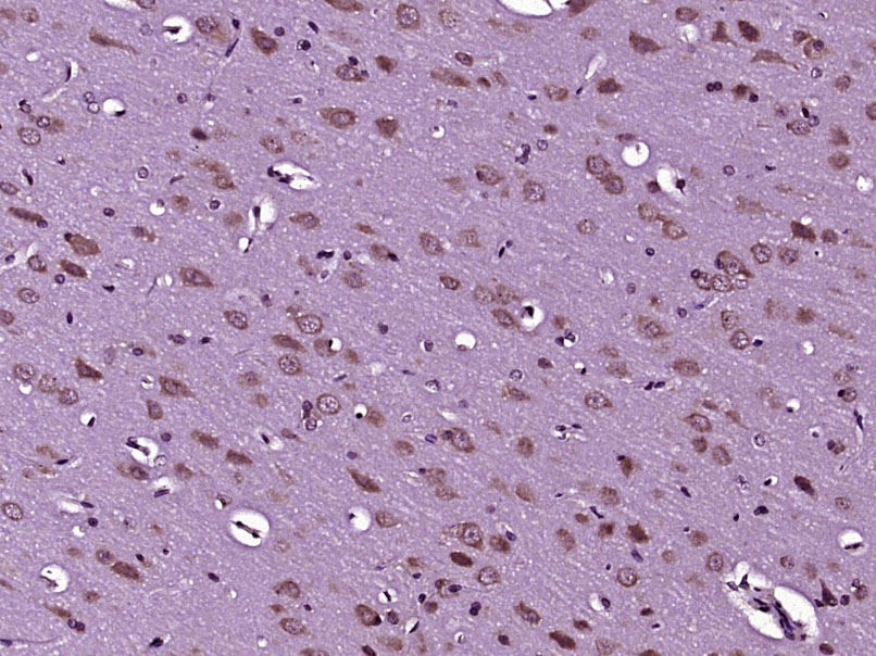
Paraformaldehyde-fixed, paraffin embedded (Rat brain); Antigen retrieval by boiling in sodium citrate buffer (pH6.0) for 15min; Block endogenous peroxidase by 3% hydrogen peroxide for 20 minutes; Blocking buffer (normal goat serum) at 37°C for 30min; Antibody incubation with (CaMK2 alpha) Polyclonal Antibody, Unconjugated (bs-0771R) at 1:400 overnight at 4°C, followed by operating according to SP Kit(Rabbit) (sp-0023) instructionsand DAB staining.
4% Paraformaldehyde-fixed SH-SY5Y (H) cell; Triton X-100 at r.t. for 20 min; Antibody incubation with (CaMK2 alpha) polyclonal Antibody, unconjugated (bs-0771R) 1:100, 90 min at 37°C; followed by conjugated Goat Anti-Rabbit IgG antibody (green, bs-60295G-FITC) at 37°C for 90 min, DAPI (blue, C02-04002) was used to stain the cell nuclei. PBS instead of the primary antibody was used as the blank control.
版权所有 2004-2026 www.bioss.com.cn 北京博奥森生物技术有限公司
通过国际质量管理体系ISO 9001:2015 GB/T 19001-2016    证书编号: 00124Q34771R2M/1100
通过国际医疗器械-质量管理体系ISO 13485:2016 GB/T 42061-2022     证书编号: CQC24QY20047R0M/1100
京ICP备05066980号-1         京公网安备110107000727号