扫码关注公众号           扫码咨询技术支持           扫码咨询技术服务
  
客服热线:400-901-9800  客服QQ:4009019800  技术答疑  技术支持  质量反馈  人才招聘  关于我们  联系我们
产品中心-北京博奥森生物技术有限公司
首页 > 产品中心 > 一抗 > 产品信息
5HT5A receptor Rabbit pAb (bs-12055R)  
订购热线:400-901-9800
订购邮箱:sales@bioss.com.cn
订购QQ:  400-901-9800
技术支持:techsupport@bioss.com.cn
50ul/1180.00元
100ul/1980.00元
200ul/2800.00元
大包装/询价

产品编号 bs-12055R
英文名称 5HT5A receptor Rabbit pAb
中文名称 5-羟色胺受体5A抗体
别    名 5-HT5A; Htr5; 5HT5A; MR22; 5HT5A_HUMAN; HTR5A; 5-HT-5; 5-HT-5A; Serotonin receptor 5A; 5HT5A_MOUSE; 5HT5A_RAT; REC17; 5-hydroxytryptamine receptor 5A; 5-hydroxytryptamine (serotonin) receptor 5A; 5-hydroxytryptamine (serotonin) receptor 5A, G protein-coupled  
研究领域 神经生物学  细胞膜受体  G蛋白偶联受体  新陈代谢  G蛋白信号  
抗体来源 Rabbit
克隆类型 Polyclonal
交叉反应 Mouse,Rat (predicted: Human)
产品应用 WB=1:500-2000,IHC-P=1:100-500,IHC-F=1:100-500,IF=1:100-500
not yet tested in other applications.
optimal dilutions/concentrations should be determined by the end user.
理论分子量 40kDa
检测分子量 47
细胞定位 细胞膜 
性    状 Liquid
浓    度 1mg/ml
免 疫 原 KLH conjugated synthetic peptide derived from human 5HT5A receptor/SR-5A: 1-110/357 <Extracellular>
亚    型 IgG
纯化方法 affinity purified by Protein A
缓 冲 液 0.01M TBS (pH7.4) with 1% BSA, 0.02% Proclin300 and 50% Glycerol.
保存条件 Shipped at 4℃. Store at -20℃ for one year. Avoid repeated freeze/thaw cycles.
注意事项 This product as supplied is intended for research use only, not for use in human, therapeutic or diagnostic applications.
PubMed PubMed
产品介绍 The neurotransmitter serotonin (5-hydroxytryptamine, 5-HT) has been implicated in a wide range of psychiatric conditions and also has vasoconstrictive and vasodilatory effects. The gene described in this record is a member of 5-hydroxytryptamine (serotonin) receptor family and encodes a multi-pass membrane protein that functions as a receptor for 5-hydroxytryptamine and couples to G-proteins. This protein has been shown to function in part through the regulation of intracellular Ca2+ mobilization. [provided by RefSeq, Jul 2008]

Function:
This is one of the several different receptors for 5-hydroxytryptamine (serotonin), a biogenic hormone that functions as a neurotransmitter, a hormone, and a mitogen. The activity of this receptor is mediated by G proteins.

Subcellular Location:
Cell membrane.

Similarity:
Belongs to the G-protein coupled receptor 1 family.

SWISS:
P47898

Gene ID:
3361

Database links:

Entrez Gene: 3361 Human

Entrez Gene: 15563 Mouse

Entrez Gene: 25689 Rat

Omim: 601305 Human

SwissProt: P47898 Human

SwissProt: P30966 Mouse

SwissProt: P35364 Rat

Unigene: 65791 Human

Unigene: 4835 Mouse

Unigene: 10569 Rat



产品图片
Sample: Lane 1: Mouse Cerebrum tissue lysates Lane 2: Mouse Cerebellum tissue lysates Lane 3: Mouse Spinal cord tissue lysates Lane 4: Rat Cerebellum tissue lysates Primary: Anti-5HT5A receptor (bs-12055R) at 1/1000 dilution Secondary: IRDye800CW Goat Anti-Rabbit IgG at 1/20000 dilution Predicted band size: 40 kDa Observed band size: 47 kDa
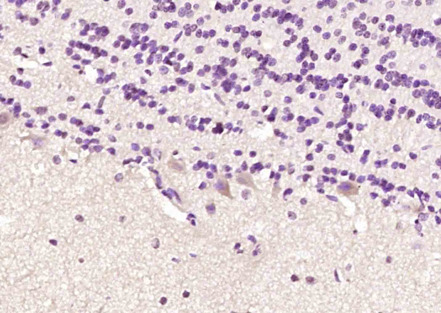
Paraformaldehyde-fixed, paraffin embedded (rat brain); Antigen retrieval by boiling in sodium citrate buffer (pH6.0) for 15min; Block endogenous peroxidase by 3% hydrogen peroxide for 20 minutes; Blocking buffer (normal goat serum) at 37°C for 30min; Antibody incubation with (5HT5A) Polyclonal Antibody, Unconjugated (bs-12055R) at 1:200 overnight at 4°C, followed by operating according to SP Kit(Rabbit) (sp-0023) instructionsand DAB staining.
版权所有 2004-2026 www.bioss.com.cn 北京博奥森生物技术有限公司
通过国际质量管理体系ISO 9001:2015 GB/T 19001-2016    证书编号: 00124Q34771R2M/1100
通过国际医疗器械-质量管理体系ISO 13485:2016 GB/T 42061-2022     证书编号: CQC24QY20047R0M/1100
京ICP备05066980号-1         京公网安备110107000727号