扫码关注公众号           扫码咨询技术支持           扫码咨询技术服务
  
客服热线:400-901-9800  客服QQ:4009019800  技术答疑  技术支持  质量反馈  关于我们  联系我们
产品中心-北京博奥森生物技术有限公司
首页 > 产品中心 > 一抗 > 产品信息
CHRNA9 Rabbit pAb (bs-12113R)  
订购热线:400-901-9800
订购邮箱:sales@bioss.com.cn
订购QQ:  400-901-9800
技术支持:techsupport@bioss.com.cn
50ul/1180.00元
100ul/1980.00元
200ul/2800.00元
大包装/询价

产品编号 bs-12113R
英文名称 CHRNA9 Rabbit pAb
中文名称 烟碱型乙酰胆碱受体α9/AChRα9抗体
别    名 Cholinergic receptor nicotinic alpha 9; Cholinergic receptor nicotinic alpha polypeptide 9; HSA243342; MGC142109; MGC142135; NACHR alpha 9; NACHRA9; Neuronal acetylcholine receptor protein subunit alpha 9 precursor; ACHA9_HUMAN.  
研究领域 神经生物学  通道蛋白  细胞膜受体  淋巴细胞  t-淋巴细胞  b-淋巴细胞  
抗体来源 Rabbit
克隆类型 Polyclonal
克 隆 号
交叉反应 Mouse,Rat (predicted: Human,Rabbit,Pig,Cow,Chicken,Dog,Horse)
产品应用 WB=1:500-2000,IHC-P=1:100-500,IHC-F=1:100-500,IF=1:100-500
not yet tested in other applications.
optimal dilutions/concentrations should be determined by the end user.
理论分子量 52 kDa
检测分子量
细胞定位 细胞膜 
性    状 Liquid
浓    度 1mg/ml
免 疫 原 KLH conjugated synthetic peptide derived from human CHRNA9: 51-150/479 <Extracellular>
亚    型 IgG
纯化方法 affinity purified by Protein A
缓 冲 液 0.01M TBS (pH7.4) with 1% BSA, 0.02% Proclin300 and 50% Glycerol.
保存条件 Shipped at 4℃. Store at -20℃ for one year. Avoid repeated freeze/thaw cycles.
注意事项 This product as supplied is intended for research use only, not for use in human, therapeutic or diagnostic applications.
PubMed PubMed
产品介绍 Members of the ligand-gated ion channel receptor family are characterized by their fast transmitting response to neurotransmitters. Two important members of this family are the nicotinic acetylcholine and glutamate receptors, both of which are composed of five homologous subunits forming a transmembrane aqueous pore. These transmembrane receptors change conformation in response to their cognate neurotransmitter. Nicotinic acetylcholine receptors (AChRs) are found at the postsynaptic membrane of the neuromuscular junction and bind acetylcholine molecules, allowing ions to move through the pore. AChR alpha 9 is the only AChR found in cochlear hair cells. In adult rat cochlear outer hair cells (OHCs), AChR alpha 9 is expressed primarily in basal regions, where it is a component of the cholinergic receptor, while in inner hair cells (IHCs), it is expressed primarily in apical regions. The alpha 9 subunit mediates efferent synaptic transmission between cholinergic olivocochlear fibers and OHCs. One of the main functions of the AChR alpha 9 channel is to provide a pathway for calcium ion influx. AChR alpha 9 may also influence the arrival of efferent axons.

Function:
CHRNA9 is a member of the ligand gated ionic channel family and nicotinic acetylcholine receptor superfamily. CHRNA9 forms homo- or hetero-oligomeric divalent cation channels. It is involved in cochlea hair cell development and is also expressed in the outer hair cells (OHCs) of the adult cochlea. The protein is additionally expressed in keratinocytes, the pituitary gland, B-cells and T-cells.

Subunit:
Can form homo- or hetero-oligomeric channels in conjunction with CHRNA10. The native outer hair cell receptor may be composed of CHRNA9-CHRNA10 hetero-oligomers.

Subcellular Location:
Cell junction, synapse, postsynaptic cell membrane; Multi-pass membrane protein (Probable). Cell membrane; Multi-pass membrane protein (Probable).

Tissue Specificity:
Expressed in cochlea, keratinocytes, pituitary gland, B-cells and T-cells.

Similarity:
Belongs to the ligand-gated ion channel (TC 1.A.9) family. Acetylcholine receptor (TC 1.A.9.1) subfamily. Alpha-9/CHRNA9 sub-subfamily.

SWISS:
Q9UGM1

Gene ID:
55584

Database links:

Entrez Gene: 55584 Human

Entrez Gene: 231252 Mouse

Entrez Gene: 65024 Rat

Omim: 605116 Human

SwissProt: Q9UGM1 Human

SwissProt: P43144 Rat

Unigene: 272278 Human

Unigene: 140015 Mouse

Unigene: 54463 Rat



产品图片
Sample: Pituitary(Rat) Lysate at 40 ug Primary: Anti-CHRNA9 (bs-12113R) at 1/1000 dilution Secondary: IRDye800CW Goat Anti-Rabbit IgG at 1/20000 dilution Predicted band size: 52 kD Observed band size: 52 kD
Sample: Lane 1: Mouse Skin tissue lysates Lane 2: Mouse Thymus tissue lysates Lane 3: Mouse Placenta tissue lysates Lane 4: Mouse Cerebellum tissue lysates Lane 5: Rat Cerebrum tissue lysates Lane 6: Rat Cerebellum tissue lysates Primary: Anti-CHRNA9 (bs-12113R) at 1/1000 dilution Secondary: IRDye800CW Goat Anti-Rabbit IgG at 1/20000 dilution Predicted band size: 52 kDa Observed band size: 52 kDa
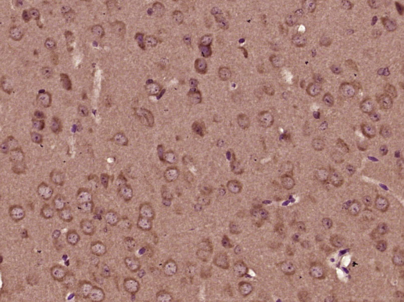
Paraformaldehyde-fixed, paraffin embedded (Mouse brain); Antigen retrieval by boiling in sodium citrate buffer (pH6.0) for 15min; Block endogenous peroxidase by 3% hydrogen peroxide for 20 minutes; Blocking buffer (normal goat serum) at 37°C for 30min; Antibody incubation with (CHRNA9) Polyclonal Antibody, Unconjugated (bs-12113R) at 1:400 overnight at 4°C, followed by operating according to SP Kit(Rabbit) (sp-0023) instructionsand DAB staining.
版权所有 2004-2026 www.bioss.com.cn 北京博奥森生物技术有限公司
通过国际质量管理体系ISO 9001:2015 GB/T 19001-2016    证书编号: 00124Q34771R2M/1100
通过国际医疗器械-质量管理体系ISO 13485:2016 GB/T 42061-2022     证书编号: CQC24QY20047R0M/1100
京ICP备05066980号-1         京公网安备110107000727号