扫码关注公众号           扫码咨询技术支持           扫码咨询技术服务
  
客服热线:400-901-9800  客服QQ:4009019800  技术答疑  技术支持  质量反馈  关于我们  联系我们
产品中心-北京博奥森生物技术有限公司
首页 > 产品中心 > 一抗 > 产品信息
ZNF312 Rabbit pAb (bs-12148R)  
订购热线:400-901-9800
订购邮箱:sales@bioss.com.cn
订购QQ:  400-901-9800
技术支持:techsupport@bioss.com.cn
50ul/1180.00元
100ul/1980.00元
200ul/2800.00元
大包装/询价

产品编号 bs-12148R
英文名称 ZNF312 Rabbit pAb
中文名称 锌指蛋白312抗体
别    名 Fez; FEZ family zinc finger protein 2; FEZF 2; FEZF2; FEZL; FKSG36; FLJ10142; Forebrain embryonic zinc finger like protein 2; TOF; ZFP 312; Zfp312; Zinc finger FEZL; Zinc finger protein 312; Zinc finger protein FEZ like; ZNF 312; FEZF2_HUMAN.  
研究领域 细胞生物  神经生物学  信号转导  转录调节因子  锌指蛋白  表观遗传学  
抗体来源 Rabbit
克隆类型 Polyclonal
克 隆 号
交叉反应 Mouse,Rat (predicted: Human,Rabbit,Sheep,Cow,Dog,Horse)
产品应用 WB=1:500-2000,IHC-P=1:100-500,IHC-F=1:100-500,IF=1:100-500
not yet tested in other applications.
optimal dilutions/concentrations should be determined by the end user.
理论分子量 49 kDa
检测分子量
细胞定位 细胞核 
性    状 Liquid
浓    度 1mg/ml
免 疫 原 KLH conjugated synthetic peptide derived from human ZNF312: 10-120/459 
亚    型 IgG
纯化方法 affinity purified by Protein A
缓 冲 液 0.01M TBS (pH7.4) with 1% BSA, 0.02% Proclin300 and 50% Glycerol.
保存条件 Shipped at 4℃. Store at -20℃ for one year. Avoid repeated freeze/thaw cycles.
注意事项 This product as supplied is intended for research use only, not for use in human, therapeutic or diagnostic applications.
PubMed PubMed
产品介绍 ZNF312, also known as Fezf2 or Fez-like, is a zinc finger protein that acts as a transcriptional repressor during the development of corticospinal motor neurons and other subcerebral projection neurons. ZNF312 is expressed by early progenitor cells in the ventricular zone. It regulates the fate choice of subcortical projection neurons in the developing cerebral cortex. This protein is expressed in the developing cortical plate during early embryonic development. During late embryonic development and early postnatal development, ZNF312 expression disappears from the cortical progenitors and becomes restricted to the subplate nad the prospective layer V and VI pyramidal neurons.

Function:
Transcription repressor. Required for the specification of corticospinal motor neurons and other subcerebral projection neurons. May play a role in layer and neuronal subtype-specific patterning of subcortical projections and axonal fasciculation. Controls the development of dendritic arborization and spines of large layer V pyramidal neurons. May be involved in innate immunity (By similarity).

Subcellular Location:
Nuclear.

Similarity:
Belongs to the krueppel C2H2-type zinc-finger protein family.
Contains 6 C2H2-type zinc fingers.

SWISS:
Q8TBJ5

Gene ID:
55079

Database links:

Entrez Gene: 55079 Human

Entrez Gene: 54713 Mouse

Entrez Gene: 305719 Rat

Omim: 607414 Human

SwissProt: Q8TBJ5 Human

SwissProt: Q9ESP5 Mouse

Unigene: 241523 Human



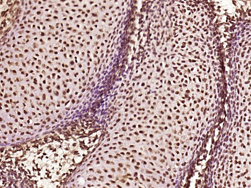
产品图片
Sample: Lane 1: Mouse Cerebrum tissue lysates Lane 2: Mouse Spinal cord tissue lysates Lane 3: Rat Cerebrum tissue lysates Primary: Anti-ZNF312 (bs-12148R) at 1/1000 dilution Secondary: IRDye800CW Goat Anti-Rabbit IgG at 1/20000 dilution Predicted band size: 49 kDa Observed band size: 49 kDa
Tissue/cell: rat brain tissue; 4% Paraformaldehyde-fixed and paraffin-embedded; Antigen retrieval: citrate buffer ( 0.01M, pH 6.0 ), Boiling bathing for 15min; Block endogenous peroxidase by 3% Hydrogen peroxide for 30min; Blocking buffer (normal goat serum,C-0005) at 37℃ for 20 min; Incubation: Anti-ZNF312 Polyclonal Antibody, Unconjugated(bs-12148R) 1:200, overnight at 4°C, followed by conjugation to the secondary antibody(SP-0023) and DAB(C-0010) staining
Paraformaldehyde-fixed, paraffin embedded (Mouse embryos); Antigen retrieval by boiling in sodium citrate buffer (pH6.0) for 15min; Block endogenous peroxidase by 3% hydrogen peroxide for 20 minutes; Blocking buffer (normal goat serum) at 37°C for 30min; Antibody incubation with (ZNF312) Polyclonal Antibody, Unconjugated (bs-12148R) at 1:500 overnight at 4°C, followed by a conjugated secondary (sp-0023) for 20 minutes and DAB staining.
Paraformaldehyde-fixed, paraffin embedded (Mouse brain); Antigen retrieval by boiling in sodium citrate buffer (pH6.0) for 15min; Block endogenous peroxidase by 3% hydrogen peroxide for 20 minutes; Blocking buffer (normal goat serum) at 37°C for 30min; Antibody incubation with (ZNF312) Polyclonal Antibody, Unconjugated (bs-12148R) at 1:500 overnight at 4°C, followed by a conjugated secondary (sp-0023) for 20 minutes and DAB staining.
版权所有 2004-2026 www.bioss.com.cn 北京博奥森生物技术有限公司
通过国际质量管理体系ISO 9001:2015 GB/T 19001-2016    证书编号: 00124Q34771R2M/1100
通过国际医疗器械-质量管理体系ISO 13485:2016 GB/T 42061-2022     证书编号: CQC24QY20047R0M/1100
京ICP备05066980号-1         京公网安备110107000727号