扫码关注公众号           扫码咨询技术支持           扫码咨询技术服务
  
客服热线:400-901-9800  客服QQ:4009019800  技术答疑  技术支持  质量反馈  关于我们  联系我们
产品中心-北京博奥森生物技术有限公司
首页 > 产品中心 > 一抗 > 产品信息
SALL4 Rabbit pAb (bs-12204R)  
订购热线:400-901-9800
订购邮箱:sales@bioss.com.cn
订购QQ:  400-901-9800
技术支持:techsupport@bioss.com.cn
50ul/1180.00元
100ul/1980.00元
200ul/2800.00元
大包装/询价

产品编号 bs-12204R
英文名称 SALL4 Rabbit pAb
中文名称 锌指转录蛋白Sall4抗体
别    名 AA407717; ZNF797; AL022809; AW536104; C330011P20Rik; C78083; C78563; Sal like 4(Drosophila); Sal like 4; Sal like Protein 4; Sal-like protein 4; Sall4; SALL4_HUMAN; Tex20; Zinc finger protein 797; Zinc finger protein SALL4.  
Specific References  (1)     |     bs-12204R has been referenced in 1 publications.
[IF=2.775] Ru Yu. et al. ATF6 deficiency damages the development of spermatogenesis in male Atf6 knockout mice. 2021 Dec 13  IHC ;  Mouse.  
研究领域 细胞生物  发育生物学  信号转导  干细胞  转录调节因子  锌指蛋白  表观遗传学  
抗体来源 Rabbit
克隆类型 Polyclonal
克 隆 号
交叉反应 Human,Mouse,Rat (predicted: Pig,Sheep,Cow,Chicken,Dog,Horse)
产品应用 WB=1:500-2000,IHC-P=1:100-500,IHC-F=1:100-500,IF=1:100-500
not yet tested in other applications.
optimal dilutions/concentrations should be determined by the end user.
理论分子量 112 kDa
检测分子量
细胞定位 细胞核 
性    状 Liquid
浓    度 1mg/ml
免 疫 原 KLH conjugated synthetic peptide derived from human SALL4: 591-690/1053 
亚    型 IgG
纯化方法 affinity purified by Protein A
缓 冲 液 0.01M TBS (pH7.4) with 1% BSA, 0.02% Proclin300 and 50% Glycerol.
保存条件 Shipped at 4℃. Store at -20℃ for one year. Avoid repeated freeze/thaw cycles.
注意事项 This product as supplied is intended for research use only, not for use in human, therapeutic or diagnostic applications.
PubMed PubMed
产品介绍 Sall4 is mammalian homologs of the Drosophila region-specific homeotic gene spalt, which encodes a zinc finger-containing transcription regulator. Drosophila spalt is an essential genetic component required for the specification of posterior head and anterior tail as opposed to trunk. Sall3 is expressed at 24 weeks of gestation in several regions of the human fetal brain including neurons of the hippocampus formation and of mediodorsal and ventrolateral thalamic nuclei, Purkinje cells of the cerebellum, and a subset of neurons in the brainstem. Sall4 expression in early mouse embryos is gradually confined to the head region and the primitive streak, followed by prominent expression in the developing midbrain, branchial arches, limbs and genital papilla.

Function:
Probable transcription factor.

Subcellular Location:
Nucleus.

Tissue Specificity:
Expressed in testis.

DISEASE:
Defects in SALL4 are the cause of Duane-radial ray syndrome (DRRS) [MIM:607323]; also known as Okihiro syndrome. DRRS is a disorder characterized by the association of forearm malformations with Duane retraction syndrome.
Defects in SALL4 are the cause of oculootoradial syndrome (OORS) [MIM:147750]. Oculootoradial syndrome is an autosomal dominant condition characterized by upper limbs anomalies (radial ray defects, carpal bones fusion), extraocular motor disturbances, congenital bilateral non-progressive mixed hearing loss. Other less consistent malformations include heart involvement, mild thrombocytopenia and leukocytosis (before age 50), shoulder girdle hypoplasia, imperforate anus, kidney malrotation or rectovaginal fistula. The IVIC syndrome is an allelic disorder of Duane-radial ray syndrome (DRRS) with a similar phenotype.

Similarity:
Belongs to the sal C2H2-type zinc-finger protein family.
Contains 7 C2H2-type zinc fingers.

SWISS:
Q9UJQ4

Gene ID:
57167

Database links:

Entrez Gene: 57167 Human

Entrez Gene: 99377 Mouse

Omim: 607343 Human

SwissProt: Q9UJQ4 Human

SwissProt: Q8BX22 Mouse

Unigene: 517113 Human

Unigene: 434054 Mouse



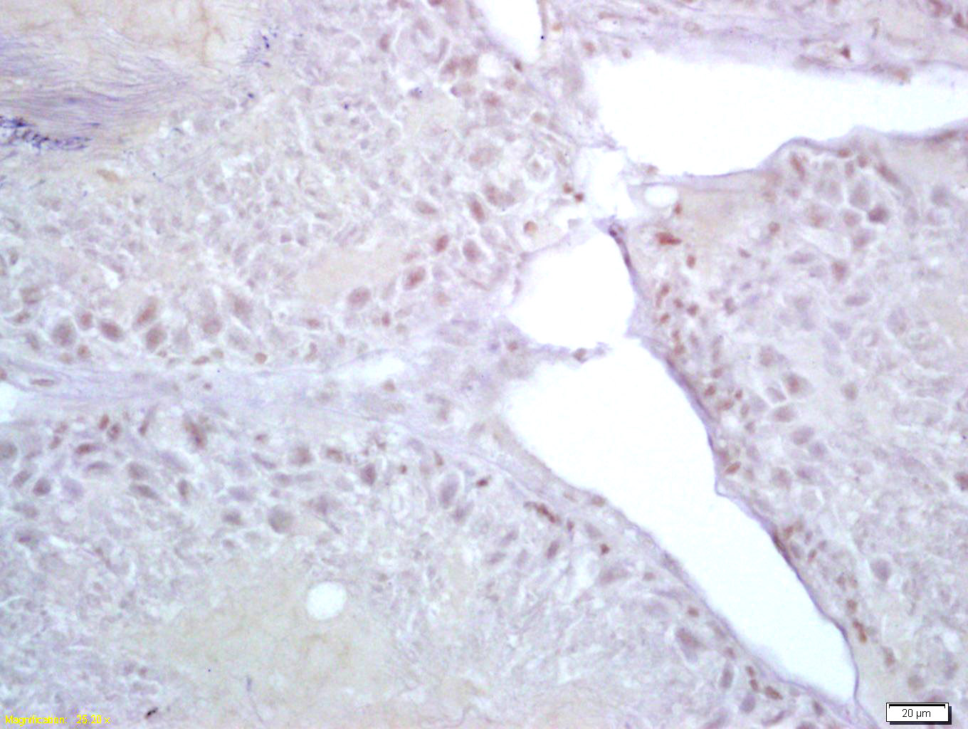
产品图片
Sample: Lane 1: Mouse Testis tissue lysates Lane 2: Rat Testis tissue lysates Lane 3: Human Jurkat cell lysates Primary: Anti-SALL4 (bs-12204R) at 1/1000 dilution Secondary: IRDye800CW Goat Anti-Rabbit IgG at 1/20000 dilution Predicted band size: 112 kDa Observed band size: 118 kDa
Tissue/cell: rat testis tissue; 4% Paraformaldehyde-fixed and paraffin-embedded; Antigen retrieval: citrate buffer ( 0.01M, pH 6.0 ), Boiling bathing for 15min; Block endogenous peroxidase by 3% Hydrogen peroxide for 30min; Blocking buffer (normal goat serum,C-0005) at 37℃ for 20 min; Incubation: Anti-SALL4 Polyclonal Antibody, Unconjugated(bs-12204R) 1:200, overnight at 4°C, followed by conjugation to the secondary antibody(SP-0023) and DAB(C-0010) staining
版权所有 2004-2026 www.bioss.com.cn 北京博奥森生物技术有限公司
通过国际质量管理体系ISO 9001:2015 GB/T 19001-2016    证书编号: 00124Q34771R2M/1100
通过国际医疗器械-质量管理体系ISO 13485:2016 GB/T 42061-2022     证书编号: CQC24QY20047R0M/1100
京ICP备05066980号-1         京公网安备110107000727号