扫码关注公众号           扫码咨询技术支持           扫码咨询技术服务
  
客服热线:400-901-9800  客服QQ:4009019800  技术答疑  技术支持  质量反馈  关于我们  联系我们
产品中心-北京博奥森生物技术有限公司
首页 > 产品中心 > 一抗 > 产品信息
JLP/MAX binding protein Rabbit pAb (bs-12270R)  
订购热线:400-901-9800
订购邮箱:sales@bioss.com.cn
订购QQ:  400-901-9800
技术支持:techsupport@bioss.com.cn
50ul/1180.00元
100ul/1980.00元
200ul/2800.00元
大包装/询价

产品编号 bs-12270R
英文名称 JLP/MAX binding protein Rabbit pAb
中文名称 JNK相互作用蛋白4抗体
别    名 C jun amino terminal kinase interacting protein 4; c Jun NH2 terminal kinase associated leucine zipper protein; FLJ13450; FLJ14006; FLJ34602; HLC 4; HLC 4 protein; HLC 6; HLC4; HLC4 protein; HLC6; HSS; Human lung cancer protein 6; Human lung cancer protein 6; JIP 4; JIP 4; JIP4; JNK associated leucine zipper protein 1; JNK associated leucine zipper protein; JNK interacting protein 4; JNK interacting protein 4; JNK interacting protein; JNK/SAPK associated protein; KIAA0516; Lung cancer oncogene 4; MAPK8IP4; Max binding protein; MGC117291; MGC14967; MGC74461; Mitogen activated protein kinase 8 interacting protein 4; Mitogen activated protein kinase 8 interacting protein 4; PHET; PIG 6; PIG6; Proliferation inducing gene 6; Protein highly expressed in testis; SPAG 9; SPAG9; Sperm associated antigen 9; Sperm specific protein; Sperm surface protein; Sunday driver(drosophila) homolog; Sunday driver 1; SYD1; JIP4_HUMAN.  
研究领域 细胞生物  发育生物学  干细胞  激酶和磷酸酶  表观遗传学  
抗体来源 Rabbit
克隆类型 Polyclonal
克 隆 号
交叉反应 Mouse (predicted: Human,Rat,Sheep,Chicken,Dog,Horse)
产品应用 IHC-P=1:100-500,IHC-F=1:100-500,IF=1:100-500
not yet tested in other applications.
optimal dilutions/concentrations should be determined by the end user.
理论分子量 146 kDa
检测分子量
细胞定位 细胞浆 
性    状 Liquid
浓    度 1mg/ml
免 疫 原 KLH conjugated synthetic peptide derived from human JLP/JIP-4: 101-188/1321 
亚    型 IgG
纯化方法 affinity purified by Protein A
缓 冲 液 0.01M TBS (pH7.4) with 1% BSA, 0.02% Proclin300 and 50% Glycerol.
保存条件 Shipped at 4℃. Store at -20℃ for one year. Avoid repeated freeze/thaw cycles.
注意事项 This product as supplied is intended for research use only, not for use in human, therapeutic or diagnostic applications.
PubMed PubMed
产品介绍 JIP-4 is a 1,321 amino acid protein encoded by the human gene SPAG9. It contains a large N-terminal extracellular domain, a short transmembrane helical domain, and a cytoplasmic domain. There are 6 N-glycosylation sites, several phosphorylation sites for cAMP/cGMP-dependent protein kinase, protein kinase C, and casein kinase II, and 10 putative myristoylation sites. There is also a leucine zipper motif, with 6 leucine repeats, that may aid in dimerization since there is no upstream basic domain characteristic of DNA binding proteins. The JNK-interacting protein (JIP) group of scaffold proteins selectively mediates JNK signaling by aggregating specific components of the MAPK cascade to form a functional JNK signaling module. JIP-4 is a cytoplasmic, perinuclear protein that has eight known isoforms whose expression varies by tissue and disease state.

Function:
JLP is a member of the JNK-interacting protein (JIP) group of scaffold proteins which selectively mediate JNK signaling by aggregating specific components of the MAPK cascade to form a functional JNK signaling module.

Subunit:
Homooligomer. Interacts with MAX, MAPK8, MAPK9, MAPK10, MAPK14, MAP3K3, MYC, KNS2 and MAP2K4. Interaction with KNS2 is important in the formation of ternary complex with MAPK8. Interacts with NFKB1.

Subcellular Location:
Cytoplasm. Cytoplasm, perinuclear region. Note: Perinuclear distribution in response to stress signals such as UV radiation.

Tissue Specificity:
Isoform 5 is expressed only in testis on the round spermatids of stage I, II and II. Isoform 5 is absent in spermatogonia and spermatocyte. Isoform 3 is expressed in testis. Isoform 4 is expressed in testis and in acute myeloid leukemia (AML) patients.

Post-translational modifications:
Phosphorylated by MAPK8 and MAPK14 (By similarity). Phosphorylated upon DNA damage, probably by ATM or ATR.

Similarity:
Belongs to the JIP scaffold family.

SWISS:
O60271

Gene ID:
9043

Database links:

Entrez Gene: 9043 Human

Entrez Gene: 70834 Mouse

Omim: 605430 Human

SwissProt: O60271 Human

SwissProt: Q58A65 Mouse

Unigene: 500367 Human



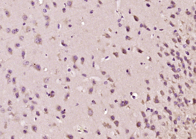
产品图片
Paraformaldehyde-fixed, paraffin embedded (mouse brain); Antigen retrieval by boiling in sodium citrate buffer (pH6.0) for 15min; Block endogenous peroxidase by 3% hydrogen peroxide for 20 minutes; Blocking buffer (normal goat serum) at 37°C for 30min; Antibody incubation with (JLP MAX binding protein) Polyclonal Antibody, Unconjugated (bs-12270R) at 1:200 overnight at 4°C, followed by operating according to SP Kit(Rabbit) (sp-0023) instructionsand DAB staining.
版权所有 2004-2026 www.bioss.com.cn 北京博奥森生物技术有限公司
通过国际质量管理体系ISO 9001:2015 GB/T 19001-2016    证书编号: 00124Q34771R2M/1100
通过国际医疗器械-质量管理体系ISO 13485:2016 GB/T 42061-2022     证书编号: CQC24QY20047R0M/1100
京ICP备05066980号-1         京公网安备110107000727号