扫码关注公众号           扫码咨询技术支持           扫码咨询技术服务
  
客服热线:400-901-9800  客服QQ:4009019800  技术答疑  技术支持  质量反馈  关于我们  联系我们
产品中心-北京博奥森生物技术有限公司
首页 > 产品中心 > 一抗 > 产品信息
FLRT2 Rabbit pAb (bs-12561R)  
订购热线:400-901-9800
订购邮箱:sales@bioss.com.cn
订购QQ:  400-901-9800
技术支持:techsupport@bioss.com.cn
50ul/1180.00元
100ul/1980.00元
200ul/2800.00元
大包装/询价

产品编号 bs-12561R
英文名称 FLRT2 Rabbit pAb
中文名称 富含亮氨酸跨膜纤连蛋白2抗体
别    名 Fibronectin leucine rich transmembrane protein 2; Fibronectin-like domain-containing leucine-rich transmembrane protein 2; KIAA0405; Leucine rich repeat transmembrane protein; Leucine rich repeat transmembrane protein FLRT2; FLRT2_HUMAN.  
研究领域 细胞生物  发育生物学  干细胞  
抗体来源 Rabbit
克隆类型 Polyclonal
克 隆 号
交叉反应 Mouse,Rat (predicted: Human,Pig,Sheep,Cow,Chicken,Dog,Horse)
产品应用 IHC-P=1:100-500,IHC-F=1:100-500,IF=1:100-500
not yet tested in other applications.
optimal dilutions/concentrations should be determined by the end user.
理论分子量 70 kDa
检测分子量
细胞定位 细胞膜 
性    状 Liquid
浓    度 1mg/ml
免 疫 原 KLH conjugated synthetic peptide derived from human FLRT2: 201-300/660 <Extracellular>
亚    型 IgG
纯化方法 affinity purified by Protein A
缓 冲 液 0.01M TBS (pH7.4) with 1% BSA, 0.02% Proclin300 and 50% Glycerol.
保存条件 Shipped at 4℃. Store at -20℃ for one year. Avoid repeated freeze/thaw cycles.
注意事项 This product as supplied is intended for research use only, not for use in human, therapeutic or diagnostic applications.
PubMed PubMed
产品介绍 FLRT2 is a 660 amino acid single-pass type I membrane protein that is expressed in pancreas, skeletal muscle, brain and heart. Comprised of one fibronectin type-III domain and ten LRR (leucine-rich) repeats, FLRT2 may play a role in cell adhesion and/or receptor signaling. It is suggested that FLRT2 is involved in mediating events such as NCC (neural crest cell) migration, chondrogenesis and epithelial-mesenchymal interactions during craniofacial development.

Function:
May have a function in cell adhesion and/or receptor signaling.

Subcellular Location:
Membrane; Single-pass type I membrane protein.

Tissue Specificity:
Expressed in pancreas, skeletal muscle, brain, and heart.

Post-translational modifications:
N-glycosylated.

Similarity:
Contains 1 fibronectin type-III domain.
Contains 10 LRR (leucine-rich) repeats.
Contains 1 LRRCT domain.
Contains 1 LRRNT domain.

SWISS:
O43155

Gene ID:
23768

Database links:

Entrez Gene: 23768 Human

Entrez Gene: 399558 Mouse

Omim: 604807 Human

SwissProt: O43155 Human

Unigene: 533710 Human

Unigene: 341948 Mouse



产品图片
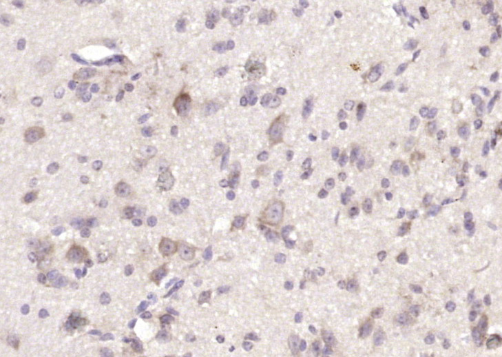
Paraformaldehyde-fixed, paraffin embedded (mouse cerebellum); Antigen retrieval by boiling in sodium citrate buffer (pH6.0) for 15min; Block endogenous peroxidase by 3% hydrogen peroxide for 20 minutes; Blocking buffer (normal goat serum) at 37°C for 30min; Antibody incubation with (FLRT2) Polyclonal Antibody, Unconjugated (bs-12561R) at 1:200 overnight at 4°C, followed by operating according to SP Kit(Rabbit) (sp-0023) instructionsand DAB staining.
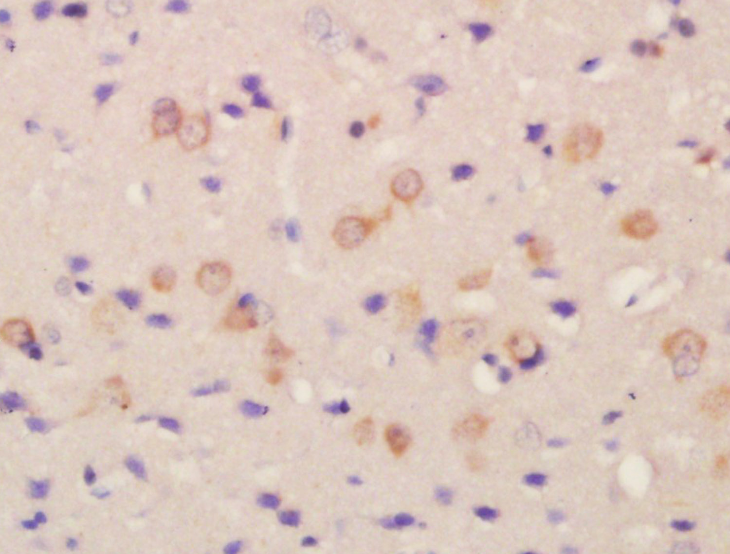
Tissue/cell: rat brain tissue; 4% Paraformaldehyde-fixed and paraffin-embedded; Antigen retrieval: citrate buffer ( 0.01M, pH 6.0 ), Boiling bathing for 15min; Block endogenous peroxidase by 3% Hydrogen peroxide for 30min; Blocking buffer (normal goat serum,C-0005) at 37℃ for 20 min; Incubation: Anti-FLRT2 Polyclonal Antibody, Unconjugated(bs-12561R) 1:200, overnight at 4°C, followed by conjugation to the secondary antibody(SP-0023) and DAB(C-0010) staining
版权所有 2004-2026 www.bioss.com.cn 北京博奥森生物技术有限公司
通过国际质量管理体系ISO 9001:2015 GB/T 19001-2016    证书编号: 00124Q34771R2M/1100
通过国际医疗器械-质量管理体系ISO 13485:2016 GB/T 42061-2022     证书编号: CQC24QY20047R0M/1100
京ICP备05066980号-1         京公网安备110107000727号