扫码关注公众号           扫码咨询技术支持           扫码咨询技术服务
  
客服热线:400-901-9800  客服QQ:4009019800  技术答疑  技术支持  质量反馈  关于我们  联系我们
产品中心-北京博奥森生物技术有限公司
首页 > 产品中心 > 一抗 > 产品信息
MAPK6 Rabbit pAb (bs-12405R)  
订购热线:400-901-9800
订购邮箱:sales@bioss.com.cn
订购QQ:  400-901-9800
技术支持:techsupport@bioss.com.cn
50ul/1180.00元
100ul/1980.00元
200ul/2800.00元
大包装/询价

产品编号 bs-12405R
英文名称 MAPK6 Rabbit pAb
中文名称 丝裂原活化蛋白激酶6抗体
别    名 ERK-3; ERK3; ERK 3; Extracellular signal regulated kinase 3; Extracellular signal regulated kinase p97; Extracellular signal-regulated kinase 3; MAP kinase 6; MAP kinase isoform p97; MAPK 6; Mitogen activated protein kinase 6; Mitogen-activated protein kinase 6; MK06_HUMAN; p97 MAPK; p97-MAPK; PRKM6; Protein kinase mitogen activated 5; Protein kinase mitogen activated 6.  
研究领域 细胞生物  信号转导  干细胞  激酶和磷酸酶  
抗体来源 Rabbit
克隆类型 Polyclonal
克 隆 号
交叉反应 Mouse (predicted: Human,Rat,Rabbit,Pig,Sheep,Cow,Dog,Horse)
产品应用 IHC-P=1:100-500,IHC-F=1:100-500,IF=1:100-500
not yet tested in other applications.
optimal dilutions/concentrations should be determined by the end user.
理论分子量 83 kDa
检测分子量
细胞定位 细胞核 细胞浆 
性    状 Liquid
浓    度 1mg/ml
免 疫 原 KLH conjugated synthetic peptide derived from human MAPK6/ERK3: 21-120/721 
亚    型 IgG
纯化方法 affinity purified by Protein A
缓 冲 液 0.01M TBS (pH7.4) with 1% BSA, 0.02% Proclin300 and 50% Glycerol.
保存条件 Shipped at 4℃. Store at -20℃ for one year. Avoid repeated freeze/thaw cycles.
注意事项 This product as supplied is intended for research use only, not for use in human, therapeutic or diagnostic applications.
PubMed PubMed
产品介绍 Mitogen-activated protein kinase (MAPK) signaling pathways involve closely related MAP kinases, including extracellular-signal-related kinase 3 (ERK 3, also designated PRKM6 and p97MAPK). Serum, growth factors and phorbol esters can initiate ERK 3 signaling pathways. Despite lacking a definitive nuclear localization sequence, ERK 3 constitutively localizes to the nucleus upon activation. p38 pathway activation-dependent upregulation of ERK 3 is independent of the status of p53, Bcl-2 and caspase-3 during cell stress and damage induced by proteasome inhibition, suggesting ERK 3 in part mediates intracellular defense or cell rescue. The human ERK 3 gene maps to chromosome 15q21.2 and encodes a 721 amino acid protein.

Function:
Phosphorylates microtubule-associated protein 2 (MAP2). May promote entry in the cell cycle.

Subunit:
Heterodimer with ERK4/MAPK4. Interacts with (via FRIEDE motif) MAPKAPK5 (By similarity). Interacts with UBE3A; this interaction may be indirect and mediated by HERC2, possibly via HERC2 interaction with NEURL4.

Subcellular Location:
Cytoplasm (By similarity). Nucleus (By similarity). Note=Translocates to the cytoplasm following interaction with MAPKAPK5 (By similarity).

Tissue Specificity:
Highest expression in the skeletal muscle, followed by the brain. Also found in heart, placenta, lung, liver, pancreas, kidney and skin fibroblasts.

Post-translational modifications:
Dually phosphorylated on Thr-626 and Tyr-628, which activates the enzyme.

Similarity:
Belongs to the protein kinase superfamily. CMGC Ser/Thr protein kinase family.
MAP kinase subfamily.
Contains 1 protein kinase domain.

SWISS:
Q16659

Gene ID:
5597

Database links:

Entrez Gene: 5597 Human

Entrez Gene: 50772 Mouse

Entrez Gene: 58840 Rat

Omim: 602904 Human

SwissProt: Q16659 Human

SwissProt: Q61532 Mouse

SwissProt: P27704 Rat

Unigene: 411847 Human

Unigene: 480076 Mouse

Unigene: 88457 Rat



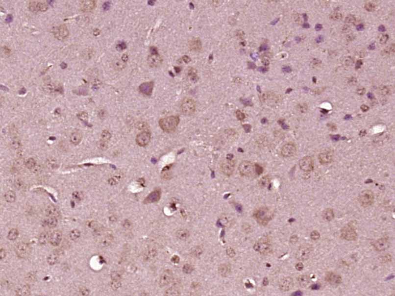
产品图片
Paraformaldehyde-fixed, paraffin embedded (Mouse brain); Antigen retrieval by boiling in sodium citrate buffer (pH6.0) for 15min; Block endogenous peroxidase by 3% hydrogen peroxide for 20 minutes; Blocking buffer (normal goat serum) at 37°C for 30min; Antibody incubation with (MAPK6) Polyclonal Antibody, Unconjugated (bs-12405R) at 1:400 overnight at 4°C, followed by operating according to SP Kit(Rabbit) (sp-0023) instructionsand DAB staining.
版权所有 2004-2026 www.bioss.com.cn 北京博奥森生物技术有限公司
通过国际质量管理体系ISO 9001:2015 GB/T 19001-2016    证书编号: 00124Q34771R2M/1100
通过国际医疗器械-质量管理体系ISO 13485:2016 GB/T 42061-2022     证书编号: CQC24QY20047R0M/1100
京ICP备05066980号-1         京公网安备110107000727号