扫码关注公众号           扫码咨询技术支持           扫码咨询技术服务
  
客服热线:400-901-9800  客服QQ:4009019800  技术答疑  技术支持  质量反馈  关于我们  联系我们
产品中心-北京博奥森生物技术有限公司
首页 > 产品中心 > 一抗 > 产品信息
ARID1B Rabbit pAb (bs-12520R)  
订购热线:400-901-9800
订购邮箱:sales@bioss.com.cn
订购QQ:  400-901-9800
技术支持:techsupport@bioss.com.cn
50ul/1180.00元
100ul/1980.00元
200ul/2800.00元
大包装/询价

产品编号 bs-12520R
英文名称 ARID1B Rabbit pAb
中文名称 抑癌基因结合蛋白ARID1B抗体
别    名 6A3 5; ARID 1B; ARID domain containing protein 1B; AT rich interactive domain 1B(SWI1 like); AT rich interactive domain 1B; AT rich interactive domain containing protein 1B; BAF 250b; BAF250b; BRG1 associated factor 250b; BRG1 binding protein; BRG1 binding protein ELD/OSA1; BRG1 binding protein hELD/OSA1; BRIGHT; DAN 15; DAN15; Eld(eyelid)/Osa protein; ELD/OSA1; hELD/OSA1; hOsa 2; hOsa2; KIAA1235; OSA 2; Osa homolog 2; OSA2; OTTHUMP00000040115; p250R; RP11 419L10.1.  
研究领域 细胞生物  结合蛋白  表观遗传学  
抗体来源 Rabbit
克隆类型 Polyclonal
克 隆 号
交叉反应 Mouse (predicted: Human,Rat,Sheep,Cow,Chicken,Dog)
产品应用 IHC-P=1:100-500,IHC-F=1:100-500,IF=1:100-500
not yet tested in other applications.
optimal dilutions/concentrations should be determined by the end user.
理论分子量 236 kDa
检测分子量
细胞定位 细胞核 
性    状 Liquid
浓    度 1mg/ml
免 疫 原 KLH conjugated synthetic peptide derived from human ARID1B: 1501-1600/2236 
亚    型 IgG
纯化方法 affinity purified by Protein A
缓 冲 液 0.01M TBS (pH7.4) with 1% BSA, 0.02% Proclin300 and 50% Glycerol.
保存条件 Shipped at 4℃. Store at -20℃ for one year. Avoid repeated freeze/thaw cycles.
注意事项 This product as supplied is intended for research use only, not for use in human, therapeutic or diagnostic applications.
PubMed PubMed
产品介绍 The SWI-SNF complex is involved in the activation of transcription via the remodeling of nucleosome structure in an ATP-dependent manner. Brm (also designated SNF2 alpha) and Brg-1 (also designated SNF2 beta) are the ATPase subunits of the mammalian SWI-SNF complex. Brm, Brg-1, Ini1 (integrase interactor 1, also designated SNF5), BAF155 (also designated SRG3) and BAF170 are thought to comprise the functional core of the SWI-SNF complex. Addition of Ini1, BAF155 and BAF170 to Brg-1 appears to increase remodeling activity. Other complex subunits, such as BAF250 (p270 or ARID 1A) and BAF250b(ARID1B), are thought to play regulatory roles.

Function:
ARID1B (AT-rich interactive domain-containing protein 1B) is a component of SWI/SNF chromatin remodeling complexes involved in transcriptional activation and repression of select genes by chromatin remodeling. It binds DNA non-specifically and alters DNA-nucleosome topology.

Subunit:
Component of SWI/SNF chromatin remodeling complexes, in some of which it can be mutually exclusive with ARID1A/BAF250A. Component of the BAF (SWI/SNF-A) complex, which includes at least actin (ACTB), ARID1A, ARID1B/BAF250, SMARCA2, SMARCA4/BRG1/BAF190A, ACTL6A/BAF53, ACTL6B/BAF53B, SMARCE1/BAF57, SMARCC1/BAF155, SMARCC2/BAF170, SMARCB1/SNF5/INI1, and one or more of SMARCD1/BAF60A, SMARCD2/BAF60B, or SMARCD3/BAF60C. In muscle cells, the BAF complex also contains DPF3. Component of the SWI/SNF-B (PBAF) complex, at least composed of SMARCA4/BRG1/BAF190A, SMARCB1/BAF47, ACTL6A/BAF53A or ACTL6B/BAF53B, SMARCE1/BAF57, SMARCD1/BAF60A, SMARCD2/BAF60B, perhaps SMARCD3/BAF60C, SMARCC1/BAF155, SMARCC2/BAF170, PB1/BAF180, ARID2/BAF200, ARID1A/BAF250A or ARID1B/BAF250B and actin. Component of a SWI/SNF-like EPAFb complex, at least composed of SMARCA4/BRG1/BAF190A, SMARCB1/BAF47, ACTL6A/BAF53A, SMARCE1/BAF57, SMARCD1/BAF60A, SMARCD2/BAF60B, SMARCC1/BAF155, SMARCC2/BAF170, ARID1B/BAF250B, MLLT1/ENL and actin. Component of a SWI/SNF-like complex containing ARID1A/BAF250A and ARID1B/BAF250B. Interacts through its C-terminus with SMARCA2/BRM/BAF190B and SMARCA4/BRG1/BAF190A. Interacts with SMARCC1/BAF155. Component of neural progenitors-specific chromatin remodeling complex (npBAF complex) composed of at least, ARID1A/BAF250A or ARID1B/BAF250B, SMARCD1/BAF60A, SMARCD3/BAF60C, SMARCA2/BRM/BAF190B, SMARCA4/BRG1/BAF190A, SMARCB1/BAF47, SMARCC1/BAF155, SMARCE1/BAF57, SMARCC2/BAF170, PHF10/BAF45A, ACTL6A/BAF53A and actin. Component of neuron-specific chromatin remodeling complex (nBAF complex) composed of at least, ARID1A/BAF250A or ARID1B/BAF250B, SMARCD1/BAF60A, SMARCD3/BAF60C, SMARCA2/BRM/BAF190B, SMARCA4/BRG1/BAF190A, SMARCB1/BAF47, SMARCC1/BAF155, SMARCE1/BAF57, SMARCC2/BAF170, DPF1/BAF45B, DPF3/BAF45C, ACTL6B/BAF53B and actin (By similarity).

Subcellular Location:
Nuclear.

Tissue Specificity:
Widely expressed with high levels in heart, skeletal muscle and kidney.

DISEASE:
Defects in ARID1B are the cause of mental retardation autosomal dominant type 12 (MRD12) [MIM:614562]. A disorder characterized by significantly below average general intellectual functioning associated with impairments in adaptative behavior and manifested during the developmental period. MRD12 patients present with moderate to severe psychomotor retardation, and most show evidence of muscular hypotonia. In many patients, expressive speech is more severely affected than receptive function. Additional common findings include short stature, abnormal head shape and low-set, posteriorly rotated, and abnormally shaped ears, downslanting palpebral fissures, a bulbous nasal tip, a thin upper lip, minor teeth anomalies, and brachydactyly or single palmar creases. Autistic features are uncommon.

Similarity:
Contains 1 ARID domain.

SWISS:
Q8NFD5

Gene ID:
57492

Database links:

Entrez Gene: 57492 Human

Omim: 614556 Human

SwissProt: Q8NFD5 Human

Unigene: 291587 Human



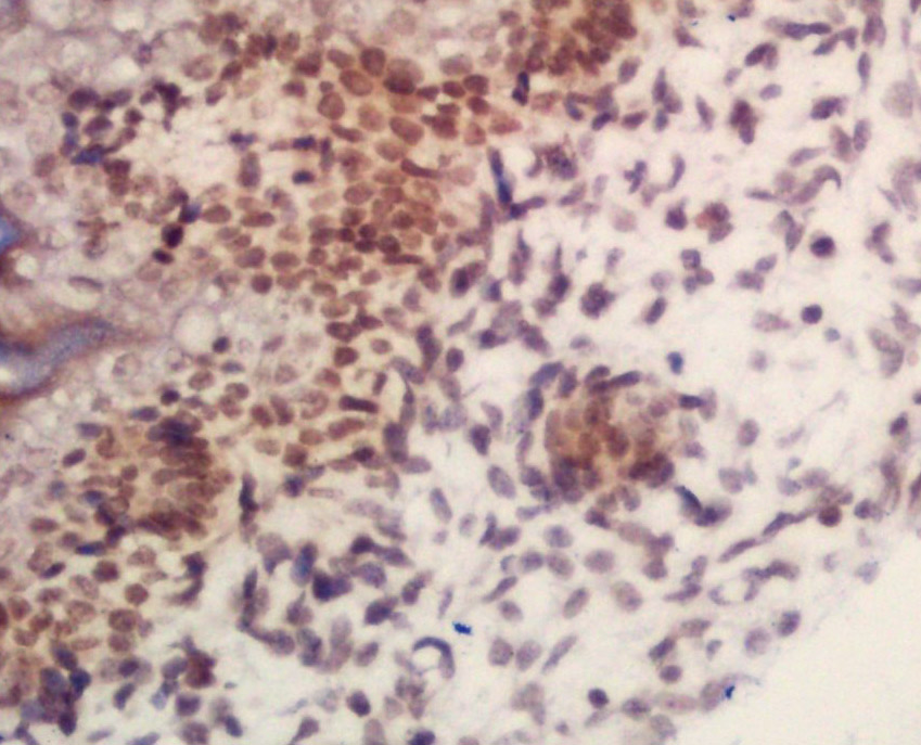
产品图片
Tissue/cell: mouse embryo tissue; 4% Paraformaldehyde-fixed and paraffin-embedded; Antigen retrieval: citrate buffer ( 0.01M, pH 6.0 ), Boiling bathing for 15min; Block endogenous peroxidase by 3% Hydrogen peroxide for 30min; Blocking buffer (normal goat serum,C-0005) at 37℃ for 20 min; Incubation: Anti-ARID1B Polyclonal Antibody, Unconjugated(bs-12520R) 1:200, overnight at 4°C, followed by conjugation to the secondary antibody(SP-0023) and DAB(C-0010) staining
Tissue/cell: Mouse embryos tissue; 4% Paraformaldehyde-fixed and paraffin-embedded; Antigen retrieval: citrate buffer ( 0.01M, pH 6.0 ), Boiling bathing for 15min; Block endogenous peroxidase by 3% Hydrogen peroxide for 30min; Blocking buffer (normal goat serum,C-0005) at 37℃ for 20 min; Incubation: Anti-ARID1B Polyclonal Antibody, Unconjugated(bs-12520R) 1:200, overnight at 4°C, followed by conjugation to the secondary antibody(SP-0023) and DAB(C-0010) staining
版权所有 2004-2026 www.bioss.com.cn 北京博奥森生物技术有限公司
通过国际质量管理体系ISO 9001:2015 GB/T 19001-2016    证书编号: 00124Q34771R2M/1100
通过国际医疗器械-质量管理体系ISO 13485:2016 GB/T 42061-2022     证书编号: CQC24QY20047R0M/1100
京ICP备05066980号-1         京公网安备110107000727号