扫码关注公众号           扫码咨询技术支持           扫码咨询技术服务
  
客服热线:400-901-9800  客服QQ:4009019800  技术答疑  技术支持  质量反馈  关于我们  联系我们
产品中心-北京博奥森生物技术有限公司
首页 > 产品中心 > 一抗 > 产品信息
SECTM1 Rabbit pAb (bs-10153R)  
订购热线:400-901-9800
订购邮箱:sales@bioss.com.cn
订购QQ:  400-901-9800
技术支持:techsupport@bioss.com.cn
50ul/1180.00元
100ul/1980.00元
200ul/2800.00元
大包装/询价

产品编号 bs-10153R
英文名称 SECTM1 Rabbit pAb
中文名称 分泌和跨膜蛋白1抗体
别    名 K12; K12 protein; Protein K-12; Protein K12; SCTM1_HUMAN; Secreted and transmembrane 1; Secreted and transmembrane protein 1; SECTM 1; SECTM1; Type 1a transmembrane protein.  
Specific References  (1)     |     bs-10153R has been referenced in 1 publications.
[IF=5.988] Wei Yu. et al. Identification and validation of key biomarkers for the early diagnosis of diabetic kidney disease.. FRONT PHARMACOL. 2022 Aug;13:931282-931282  IHC, WB ;  Mouse, Human.  
研究领域 肿瘤  细胞生物  免疫学  信号转导  通道蛋白  肿瘤细胞生物标志物  细胞膜蛋白  
抗体来源 Rabbit
克隆类型 Polyclonal
克 隆 号
交叉反应 Rat (predicted: Human)
产品应用 IHC-P=1:100-500,IHC-F=1:100-500,IF=1:100-500
not yet tested in other applications.
optimal dilutions/concentrations should be determined by the end user.
理论分子量 24 kDa
检测分子量
细胞定位 细胞膜 分泌型蛋白 
性    状 Liquid
浓    度 1mg/ml
免 疫 原 KLH conjugated synthetic peptide derived from human SECTM1: 42-150/248 <Extracellular>
亚    型 IgG
纯化方法 affinity purified by Protein A
缓 冲 液 0.01M TBS (pH7.4) with 1% BSA, 0.02% Proclin300 and 50% Glycerol.
保存条件 Shipped at 4℃. Store at -20℃ for one year. Avoid repeated freeze/thaw cycles.
注意事项 This product as supplied is intended for research use only, not for use in human, therapeutic or diagnostic applications.
PubMed PubMed
产品介绍 Detected at the highest levels in peripheral blood leukocytes and breast cancer cell lines. Found in leukocytes of the myeloid lineage, with the strongest expression observed in granulocytes and no detectable expression in lymphocytes. Expressed in thymic epithelial cells and fibroblasts.Belongs to the SECTM family.

Function:
May be involved in thymocyte signaling.

Subunit:
Interacts with CD7.

Subcellular Location:
Cell membrane. Secreted.

Tissue Specificity:
Detected at the highest levels in peripheral blood leukocytes and breast cancer cell lines. Found in leukocytes of the myeloid lineage, with the strongest expression observed in granulocytes and no detectable expression in lymphocytes. Expressed in thymic epithelial cells and fibroblasts.

DISEASE:
Detected at the highest levels in peripheral blood leukocytes and breast cancer cell lines. Found in leukocytes of the myeloid lineage, with the strongest expression observed in granulocytes and no detectable expression in lymphocytes. Expressed in thymic epithelial cells and fibroblasts.

Similarity:
Belongs to the SECTM family.

SWISS:
Q8WVN6

Gene ID:
6398

Database links:

Entrez Gene: 6398 Human

Omim: 602602 Human

SwissProt: Q8WVN6 Human

Unigene: 558009 Human



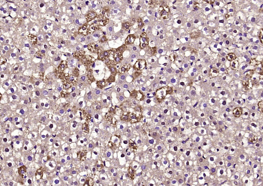
产品图片
Tissue/cell: rat brain tissue; 4% Paraformaldehyde-fixed and paraffin-embedded; Antigen retrieval: citrate buffer ( 0.01M, pH 6.0 ), Boiling bathing for 15min; Block endogenous peroxidase by 3% Hydrogen peroxide for 30min; Blocking buffer (normal goat serum,C-0005) at 37℃ for 20 min; Incubation: Anti-SECTM1 Polyclonal Antibody, Unconjugated(bs-10153R) 1:200, overnight at 4°C, followed by conjugation to the secondary antibody(SP-0023) and DAB(C-0010) staining
Paraformaldehyde-fixed, paraffin embedded (rat live); Antigen retrieval by boiling in sodium citrate buffer (pH6.0) for 15min; Block endogenous peroxidase by 3% hydrogen peroxide for 20 minutes; Blocking buffer (normal goat serum) at 37°C for 30min; Antibody incubation with (SECTM1) Polyclonal Antibody, Unconjugated (bs-10153R) at 1:200 overnight at 4°C, followed by operating according to SP Kit(Rabbit) (sp-0023) instructionsand DAB staining.
Paraformaldehyde-fixed, paraffin embedded (rat liver); Antigen retrieval by boiling in sodium citrate buffer (pH6.0) for 15min; Block endogenous peroxidase by 3% hydrogen peroxide for 20 minutes; Blocking buffer (normal goat serum) at 37°C for 30min; Antibody incubation with (SECTM1) Polyclonal Antibody, Unconjugated (bs-10153R ) at 1:200 overnight at 4°C, followed by operating according to SP Kit(Rabbit) (pv-0023) instructionsand DAB staining.
Paraformaldehyde-fixed, paraffin embedded (rat liver); Antigen retrieval by boiling in sodium citrate buffer (pH6.0) for 15min; Block endogenous peroxidase by 3% hydrogen peroxide for 20 minutes; Blocking buffer (normal goat serum) at 37°C for 30min; Antibody incubation with (SECTM1) Polyclonal Antibody, Unconjugated (bs-10153R ) at 1:200 overnight at 4°C, followed by operating according to SP Kit(Rabbit) (sp-0023) instructionsand DAB staining.
版权所有 2004-2026 www.bioss.com.cn 北京博奥森生物技术有限公司
通过国际质量管理体系ISO 9001:2015 GB/T 19001-2016    证书编号: 00124Q34771R2M/1100
通过国际医疗器械-质量管理体系ISO 13485:2016 GB/T 42061-2022     证书编号: CQC24QY20047R0M/1100
京ICP备05066980号-1         京公网安备110107000727号