扫码关注公众号           扫码咨询技术支持           扫码咨询技术服务
  
客服热线:400-901-9800  客服QQ:4009019800  技术答疑  技术支持  质量反馈  关于我们  联系我们
产品中心-北京博奥森生物技术有限公司
首页 > 产品中心 > 一抗 > 产品信息
Biliverdin Reductase Rabbit pAb (bs-12868R)  
订购热线:400-901-9800
订购邮箱:sales@bioss.com.cn
订购QQ:  400-901-9800
技术支持:techsupport@bioss.com.cn
50ul/1180.00元
100ul/1980.00元
200ul/2800.00元
大包装/询价

产品编号 bs-12868R
英文名称 Biliverdin Reductase Rabbit pAb
中文名称 胆绿素还原酶抗体
别    名 Biliverdin Reductase; Biliverdin IX alpha reductase; Biliverdin reductase A; BLVR A; BLVR; BLVRA; BVR A; BVR; BVRA; zinc-metalloprotein; BIEA_HUMAN.  
研究领域 细胞生物  免疫学  信号转导  激酶和磷酸酶  新陈代谢  
抗体来源 Rabbit
克隆类型 Polyclonal
克 隆 号
交叉反应 Human,Rat (predicted: Mouse,Pig)
产品应用 IHC-P=1:100-500,IHC-F=1:100-500,IF=1:100-500,Flow-Cyt=1μg/Test
not yet tested in other applications.
optimal dilutions/concentrations should be determined by the end user.
理论分子量 33 kDa
检测分子量
细胞定位 细胞浆 
性    状 Liquid
浓    度 1mg/ml
免 疫 原 KLH conjugated synthetic peptide derived from human BLVRA/Biliverdin Reductase: 161-260/296 
亚    型 IgG
纯化方法 affinity purified by Protein A
缓 冲 液 0.01M TBS (pH7.4) with 1% BSA, 0.02% Proclin300 and 50% Glycerol.
保存条件 Shipped at 4℃. Store at -20℃ for one year. Avoid repeated freeze/thaw cycles.
注意事项 This product as supplied is intended for research use only, not for use in human, therapeutic or diagnostic applications.
PubMed PubMed
产品介绍 In human liver cytosolic fractions, four forms of biliverdin reductase have been identified, including two biliverdin-IX Beta reductases and two biliverdin-IX Alpha reductases, designated isozymes I and II and isozymes III and IV, respectively. Biliverdin reductase A (BLVRA), also designated biliverdin-IX Alpha-reductase, belongs to the GFO/iIDH/MocA family and the biliverdin reductase subfamily. The gene that encodes this cytoplasmic protein maps to chromosome 7p14-cen. BLVRA reduces biliverdin IX ?(the ?methene bridge of the open tetrapyrrole) to bilirubin with the concomitant oxidation of an NADH or NADPH cofactor (bilirubin + NADP+ = biliverdin + NADPH). BLVRA is expressed primarily in liver.

Function:
Biliverdin Reductase (BVR) catalyzes the final step in the heme metabolic pathway, the reduction of biliverdin IX{alpha} to bilirubin, with the concomitant oxidation of a NADH or NADPH cofactor. The enzyme remains unique among all biological catalysts described to date in having a dual pH/cofactor-dependent activity profile. Human biliverdin reductase (hBVR) has been recently shown to be a Ser/Thr/Tyr kinase in the MAPK insulin/insulin-like growth factor 1 (IGF1)-signaling cascade. BVR together with its substrate, biliverdin, and product, bilirubin, have recently been revealed to be important players in cellular signal transduction pathways, gene expression and oxidative response. These features make BVR unusually interesting and unique among all enzymes characterized to date.

Subunit:
Monomer.

Subcellular Location:
Cytoplasmic

Tissue Specificity:
Liver.

DISEASE:
Defects in BLVRA are the cause of hyperbiliverdinemia(HBLVD) [MIM:614156]. HBLVD is a condition characterized by a greendiscoloration of the skin, urine, serum, and other bodily fluids.It is due to increased biliverdin resulting from inefficientconversion to bilirubin. Affected individuals appear to havesymptoms only in the context of obstructive cholestasis and/orliver failure. In some cases, green jaundice can resolve afterresolution of obstructive cholestasis.

Similarity:
Belongs to the Gfo/Idh/MocA family. Biliverdinreductase subfamily.

SWISS:
P53004

Gene ID:
644

Database links:

Entrez Gene: 644 Human

Entrez Gene: 109778 Mouse

Entrez Gene: 116599 Rat

Omim: 109750 Human

SwissProt: P53004 Human

SwissProt: Q9CY64 Mouse

SwissProt: P46844 Rat

Unigene: 488143 Human



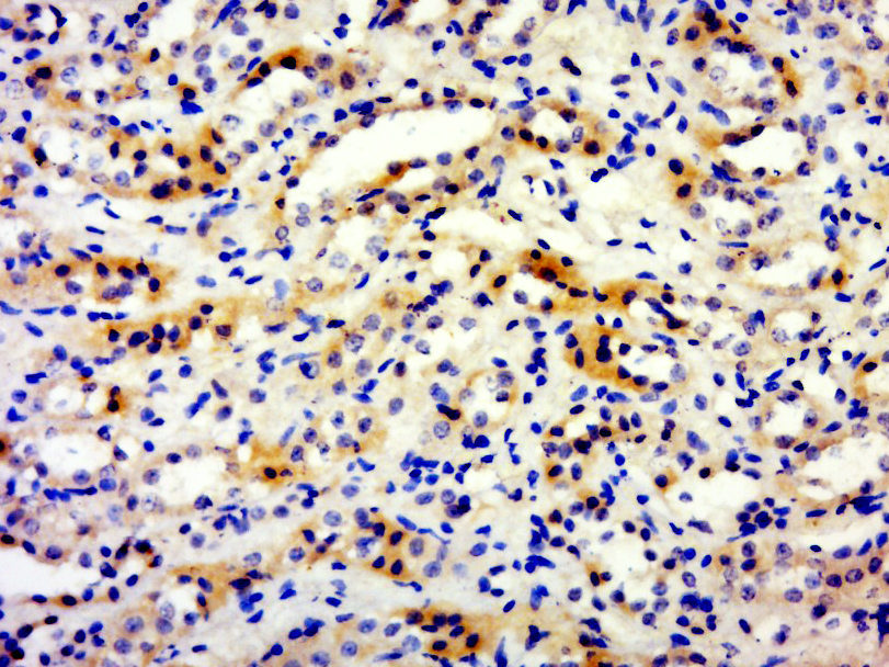
产品图片
Paraformaldehyde-fixed, paraffin embedded (rat kidney); Antigen retrieval by boiling in sodium citrate buffer (pH6.0) for 15min; Block endogenous peroxidase by 3% hydrogen peroxide for 20 minutes; Blocking buffer (normal goat serum) at 37°C for 30min; Antibody incubation with (Biliverdin) Polyclonal Antibody, Unconjugated (bs-12868R) at 1:500 overnight at 4°C, followed by a conjugated secondary (sp-0023) for 20 minutes and DAB staining.
Blank control(blue):Hepg2 cells (fixed with 2% paraformaldehyde (10 min) , then permeabilized with 90% ice-cold methanol for 30 min on ice). Primary Antibody:Rabbit Anti- Biliverdin Reductase antibody(bs-12868R), Dilution: 1μg in 100 μL 1X PBS containing 0.5% BSA; Isotype Control Antibody: Rabbit IgG(orange) ,used under the same conditions ); Secondary Antibody: Goat anti-rabbit IgG-PE(white blue), Dilution: 1:200 in 1 X PBS containing 0.5% BSA.
版权所有 2004-2026 www.bioss.com.cn 北京博奥森生物技术有限公司
通过国际质量管理体系ISO 9001:2015 GB/T 19001-2016    证书编号: 00124Q34771R2M/1100
通过国际医疗器械-质量管理体系ISO 13485:2016 GB/T 42061-2022     证书编号: CQC24QY20047R0M/1100
京ICP备05066980号-1         京公网安备110107000727号