扫码关注公众号           扫码咨询技术支持           扫码咨询技术服务
  
客服热线:400-901-9800  客服QQ:4009019800  技术答疑  技术支持  质量反馈  关于我们  联系我们
产品中心-北京博奥森生物技术有限公司
首页 > 产品中心 > 一抗 > 产品信息
CYB5R3 Rabbit pAb (bs-12162R)  
订购热线:400-901-9800
订购邮箱:sales@bioss.com.cn
订购QQ:  400-901-9800
技术支持:techsupport@bioss.com.cn
50ul/1180.00元
100ul/1980.00元
200ul/2800.00元
大包装/询价

产品编号 bs-12162R
英文名称 CYB5R3 Rabbit pAb
中文名称 细胞色素b5还原酶3抗体
别    名 B5R; Cyb5r3; Cytochrome b5 reductase 3; Cytochrome b5 reductase; DIA1; Diaphorase 1; Diaphorase-1; NADH cytochrome b5 reductase 3; NADH-cytochrome b5 reductase 3 membrane-bound form; NADH-cytochrome b5 reductase 3 soluble form; NB5R3_HUMAN; OTTHUMP00000028761; OTTHUMP00000198435; OTTHUMP00000198574; OTTHUMP00000198662; OTTHUMP00000198665.  
研究领域 心血管  细胞生物  信号转导  脂蛋白  新陈代谢  
抗体来源 Rabbit
克隆类型 Polyclonal
克 隆 号
交叉反应 Human,Mouse,Rat (predicted: Pig,Sheep,Cow,Chicken,Dog,Horse)
产品应用 WB=1:500-2000,IHC-P=1:100-500,IHC-F=1:100-500,IF=1:100-500
not yet tested in other applications.
optimal dilutions/concentrations should be determined by the end user.
理论分子量 34 kDa
检测分子量
细胞定位 细胞浆 细胞膜 
性    状 Liquid
浓    度 1mg/ml
免 疫 原 KLH conjugated synthetic peptide derived from human CYB5R3: 101-200/301 
亚    型 IgG
纯化方法 affinity purified by Protein A
缓 冲 液 0.01M TBS (pH7.4) with 1% BSA, 0.02% Proclin300 and 50% Glycerol.
保存条件 Shipped at 4℃. Store at -20℃ for one year. Avoid repeated freeze/thaw cycles.
注意事项 This product as supplied is intended for research use only, not for use in human, therapeutic or diagnostic applications.
PubMed PubMed
产品介绍 CYB5R3 is a 301 amino acid protein encoded by the human gene CYB5R3. CYB5R3 belongs to the flavoprotein pyridine nucleotide cytochrome reductase family and has two naturally occuring isoforms. Isoform 1 is anchored to the cytoplasmic side of the endoplasmic reticulum membrane and mitochondrion outer membrane, while isoform 2 is the soluble form found in erythrocytes. CYB5R3 is involved in the desaturation and elongation of fatty acids, cholesterol biosynthesis, drug metabolism and, in erythrocytes, methemoglobin reduction. A serine residue at position 117 seems to only be found in persons of African origin. The allele frequency is 0.23 in African Americans. It is not found in Caucasians, Asians, Indo-Aryans or Arabs. This difference seems to have no effect on the enzyme activity. Defects in CYB5R3 are the cause of hereditary methemoglobinemia (HM). There are three forms of this disease: type 1 (HM1), in which the enzyme is only deficient in erythrocytes with a mild cyanosis; type 2 (HM2), in which the enzyme is completely deficient; and type 3 (HM3), where the deficiency is seen in all blood cells. Type 2 is a severe form accompanied by mental retardation and neurological impairment.

Function:
Desaturation and elongation of fatty acids, cholesterol biosynthesis, drug metabolism, and, in erythrocyte, methemoglobin reduction.

Subunit:
Component of a complex composed of cytochrome b5, NADH-cytochrome b5 reductase (CYB5R3) and MOSC2 (By similarity).

Subcellular Location:
Endoplasmic reticulum membrane. Mitochondrion outer membrane and Cytoplasm. Produces the soluble form found in erythrocytes.

Tissue Specificity:
Isoform 2 is expressed at late stages of erythroid maturation.

DISEASE:
Defects in CYB5R3 are the cause of methemoglobinemia CYB5R3-related (METHB-CYB5R3) [MIM:250800]. A form of methemoglobinemia, a hematologic disease characterized by the presence of excessive amounts of methemoglobin in blood cells, resulting in decreased oxygen carrying capacity of the blood, cyanosis and hypoxia. There are two types of methemoglobinemia CYB5R3-related. In type 1, the defect affects the soluble form of the enzyme, is restricted to red blood cells, and causes well-tolerated methemoglobinemia. In type 2, the defect affects both the soluble and microsomal forms of the enzyme and is thus generalized, affecting red cells, leukocytes and all body tissues. Type 2 methemoglobinemia is associated with mental deficiency and other neurologic symptoms.

Similarity:
Belongs to the flavoprotein pyridine nucleotide cytochrome reductase family. Contains 1 FAD-binding FR-type domain.

SWISS:
P00387

Gene ID:
1727

Database links:

Entrez Gene: 1727 Human

Entrez Gene: 25035 Rat

Omim: 613213 Human

SwissProt: P00387 Human

SwissProt: P20070 Rat

Unigene: 561064 Human

Unigene: 35994 Rat



产品图片
Sample: Blood(Mouse) Cell Lysate at 30 ug Primary: Anti-CYB5R3 (bs-12162R) at 1/1000 dilution Secondary: IRDye800CW Goat Anti-Rabbit IgG at 1/20000 dilution Predicted band size: 34 kD Observed band size: 34 kD
Sample: Lane 1: Mouse Placenta tissue lysates Lane 2: Rat Liver tissue lysates Lane 3: Rat Placenta tissue lysates Primary: Anti- CYB5R3 (bs-12162R) at 1/1000 dilution Secondary: IRDye800CW Goat Anti-Rabbit IgG at 1/20000 dilution Predicted band size: 34 kDa Observed band size: 32 kDa
Sample: Spinal cord (Mouse) Lysate at 40 ug Primary: Anti- CYB5R3 (bs-12162R) at 1/1000 dilution Secondary: IRDye800CW Goat Anti-Rabbit IgG at 1/20000 dilution Predicted band size: 34 kD Observed band size: 34 kD
Paraformaldehyde-fixed, paraffin embedded (human myocardium); Antigen retrieval by boiling in sodium citrate buffer (pH6.0) for 15min; Block endogenous peroxidase by 3% hydrogen peroxide for 20 minutes; Blocking buffer (normal goat serum) at 37°C for 30min; Antibody incubation with (CYB5R3) Polyclonal Antibody, Unconjugated (bs-12162R) at 1:200 overnight at 4°C, followed by operating according to SP Kit(Rabbit) (sp-0023) instructionsand DAB staining.
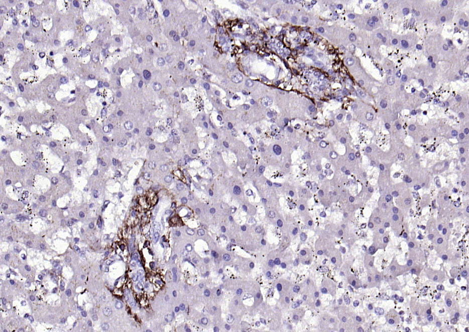
Paraformaldehyde-fixed, paraffin embedded (human liver); Antigen retrieval by boiling in sodium citrate buffer (pH6.0) for 15min; Block endogenous peroxidase by 3% hydrogen peroxide for 20 minutes; Blocking buffer (normal goat serum) at 37°C for 30min; Antibody incubation with (CYB5R3) Polyclonal Antibody, Unconjugated (bs-12162R) at 1:200 overnight at 4°C, followed by operating according to SP Kit(Rabbit) (sp-0023) instructionsand DAB staining.
版权所有 2004-2026 www.bioss.com.cn 北京博奥森生物技术有限公司
通过国际质量管理体系ISO 9001:2015 GB/T 19001-2016    证书编号: 00124Q34771R2M/1100
通过国际医疗器械-质量管理体系ISO 13485:2016 GB/T 42061-2022     证书编号: CQC24QY20047R0M/1100
京ICP备05066980号-1         京公网安备110107000727号