扫码关注公众号           扫码咨询技术支持           扫码咨询技术服务
  
客服热线:400-901-9800  客服QQ:4009019800  技术答疑  技术支持  质量反馈  人才招聘  关于我们  联系我们
产品中心-北京博奥森生物技术有限公司
首页 > 产品中心 > 一抗 > 产品信息
CSP Rabbit pAb (bs-12944R)  
订购热线:400-901-9800
订购邮箱:sales@bioss.com.cn
订购QQ:  400-901-9800
技术支持:techsupport@bioss.com.cn
50ul/1180.00元
100ul/1980.00元
200ul/2800.00元
大包装/询价

产品编号 bs-12944R
英文名称 CSP Rabbit pAb
中文名称 半胱氨酸延伸蛋白α抗体
别    名 DNJC5_HUMAN; DNAJC5; Ceroid-lipofuscinosis neuronal protein 4; Cysteine string protein (CSP); CLN4; DNJC5_MOUSE; Cysteine-string protein isoform alpha; Cspalpha; DNJC5_RAT; DnaJ heat shock protein family (Hsp40) member C5; ceroid-lipofuscinosis, neuronal 4 (Kufs disease); DnaJ (Hsp40) homolog, subfamily C, member 5  
研究领域 细胞生物  神经生物学  信号转导  细胞类型标志物  
抗体来源 Rabbit
克隆类型 Polyclonal
交叉反应 Human,Rat (predicted: Mouse,Rabbit,Pig,Sheep,Cow,GuineaPig,Horse)
产品应用 IHC-P=1:100-500,IHC-F=1:100-500,IF=1:100-500
not yet tested in other applications.
optimal dilutions/concentrations should be determined by the end user.
理论分子量 22kDa
细胞定位 细胞膜 
性    状 Liquid
浓    度 1mg/ml
免 疫 原 KLH conjugated synthetic peptide derived from human CSP: 1-100/198 
亚    型 IgG
纯化方法 affinity purified by Protein A
缓 冲 液 0.01M TBS (pH7.4) with 1% BSA, 0.02% Proclin300 and 50% Glycerol.
保存条件 Shipped at 4℃. Store at -20℃ for one year. Avoid repeated freeze/thaw cycles.
注意事项 This product as supplied is intended for research use only, not for use in human, therapeutic or diagnostic applications.
PubMed PubMed
产品介绍 Cysteine string proteins (CSPs) are synaptic vesicle-associated, secretory vesicle proteins that are involved in Ca2+-regulated exocytosis of synaptic vesicles and modulation of presynaptic transmembrane calcium fluxes in neuroendocrine and endocrine cell types. CSP contains a J-domain that binds HSP 70/HSC 70 chaperone ATPases and a membrane-targeting, palmitoylated cysteine-rich string region. CSPs may act as molecular chaperones in synapses, and mediate conformational folding of components of the vesicular exocytotic machinery. CSP is involved in the fine tuning of neurotransmission through its interaction with receptor-coupled trimeric GTP binding proteins (G proteins) and N-type Ca2+ channels. Two variants of CSP have been described: CSP1; and the 31 amino acid, C-terminally truncated isoform, CSP2. Subcellular fractionation of insulinoma cells shows CSP1 in granular fractions, while the membrane and cytosol fractions contain predominantly CSP2. The fractions also contain additional proteins, presumably CSP dimers. Furthermore, in various mammalian cell lines (including rat brain) CSP1 expression predominates CSP2 expression.

Function:
May have an important role in presynaptic function. May be involved in calcium-dependent neurotransmitter release at nerve endings.

Subunit:
Homodimer (Probable). Interacts with the chaperone complex consisting of HSC70 and SGTA (By similarity).

Subcellular Location:
Membrane. Melanosome. Identified by mass spectrometry in melanosome fractions from stage I to stage IV.

Tissue Specificity:
Expressed in pancreas, kidney, skeletal muscle, liver, lung, placenta, brain and heart.

Post-translational modifications:
Fatty acylated. Heavily palmitoylated in the cysteine string motif.

DISEASE:
Neuronal ceroid lipofuscinosis 4B (CLN4B) [MIM:162350]: An adult-onset neuronal ceroid lipofuscinosis. Neuronal ceroid lipofuscinoses are progressive neurodegenerative, lysosomal storage diseases characterized by intracellular accumulation of autofluorescent liposomal material, and clinically by seizures, dementia, visual loss, and/or cerebral atrophy. CLN4B has no visual involvement and is characterized by seizures and other neurologic symptoms. Note=The disease is caused by mutations affecting the gene represented in this entry.

Similarity:
Contains 1 J domain.

SWISS:
Q9H3Z4

Gene ID:
80331

Database links:

Entrez Gene: 80331 Human

Entrez Gene: 13002 Mouse

Entrez Gene: 79130 Rat

Omim: 611203 Human

SwissProt: Q9H3Z4 Human

SwissProt: P60904 Mouse

SwissProt: P60905 Rat

Unigene: 164419 Human

Unigene: 140761 Mouse

Unigene: 391807 Mouse

Unigene: 100120 Rat



产品图片
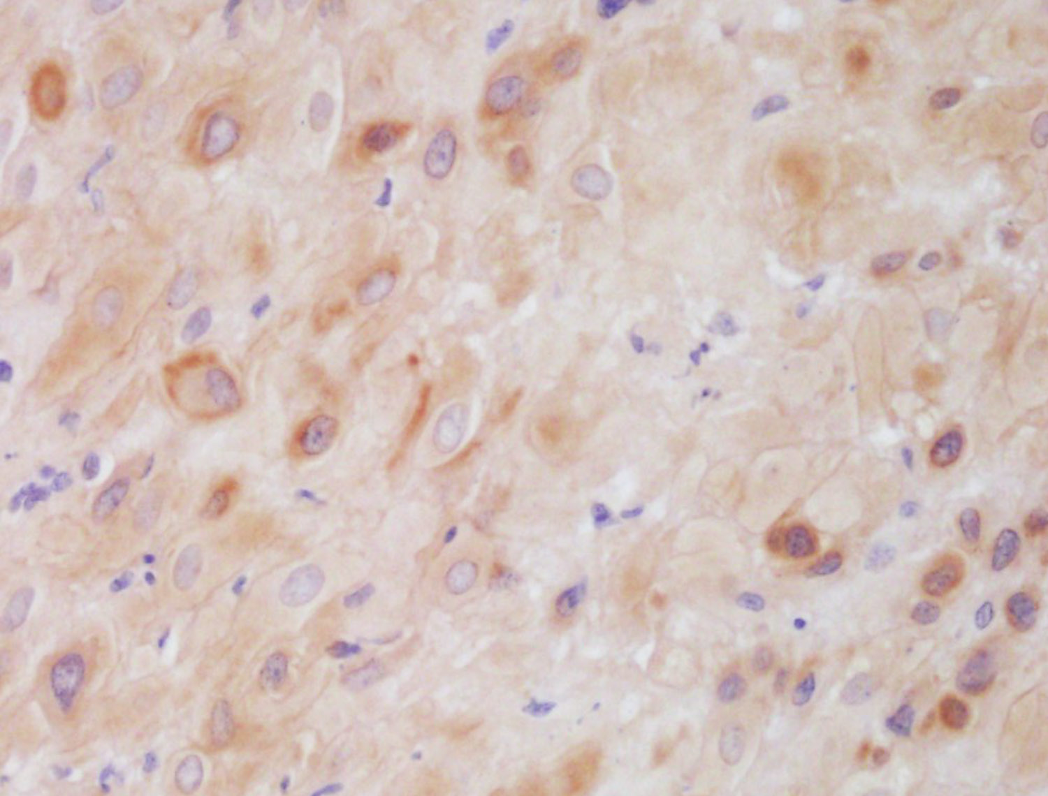
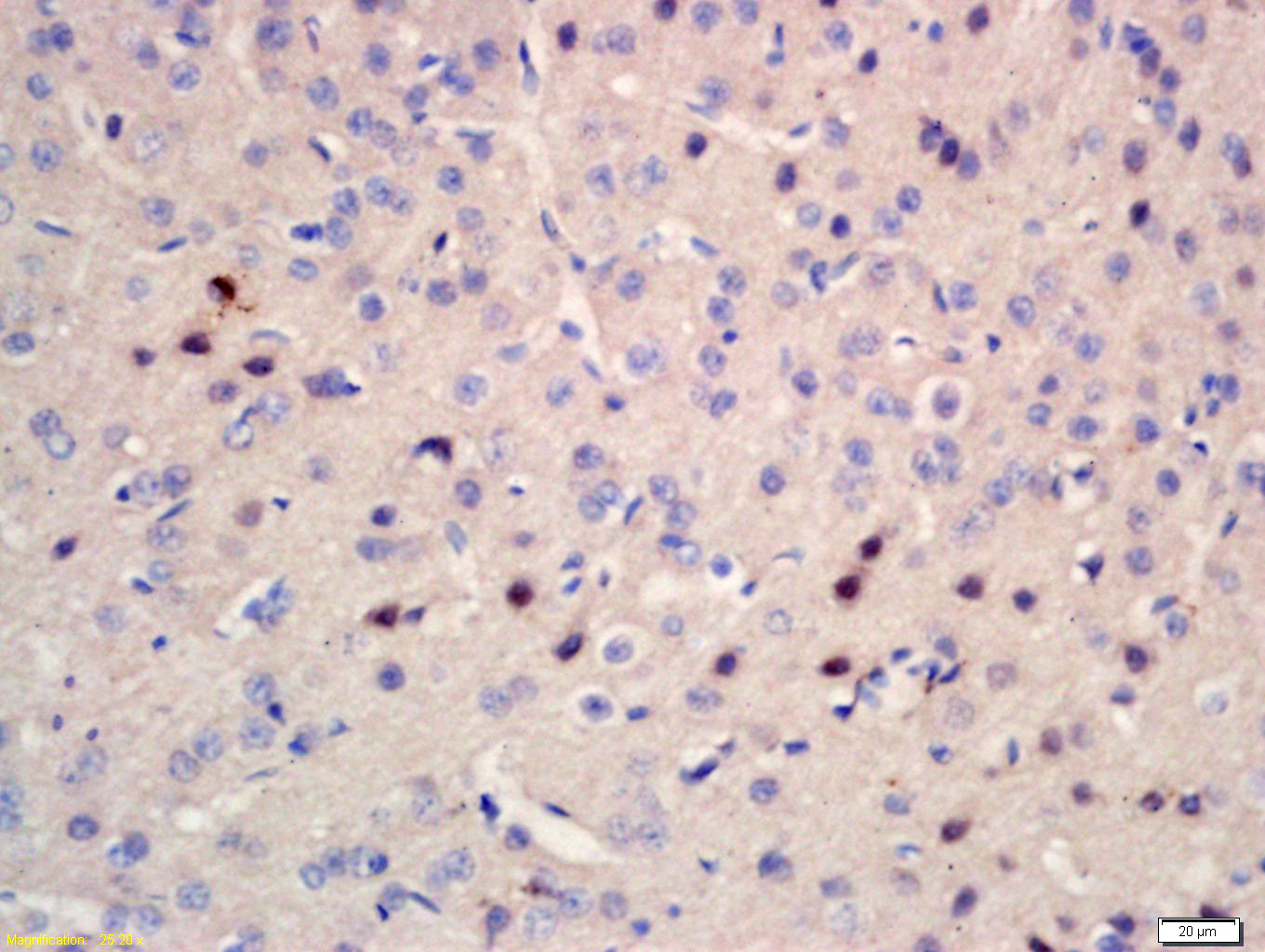
Tissue/cell: human placenta tissue; 4% Paraformaldehyde-fixed and paraffin-embedded; Antigen retrieval: citrate buffer ( 0.01M, pH 6.0 ), Boiling bathing for 15min; Block endogenous peroxidase by 3% Hydrogen peroxide for 30min; Blocking buffer (normal goat serum,C-0005) at 37℃ for 20 min; Incubation: Anti-CSP Polyclonal Antibody, Unconjugated(bs-12944R) 1:200, overnight at 4°C, followed by conjugation to the secondary antibody(SP-0023) and DAB(C-0010) staining
Tissue/cell: Rat pancreas tissue; 4% Paraformaldehyde-fixed and paraffin-embedded; Antigen retrieval: citrate buffer ( 0.01M, pH 6.0 ), Boiling bathing for 15min; Block endogenous peroxidase by 3% Hydrogen peroxide for 30min; Blocking buffer (normal goat serum,C-0005) at 37℃ for 20 min; Incubation: Anti-CSP Polyclonal Antibody, Unconjugated(bs-12944R) 1:200, overnight at 4°C, followed by conjugation to the secondary antibody(SP-0023) and DAB(C-0010) staining
Tissue/cell: rat brain tissue; 4% Paraformaldehyde-fixed and paraffin-embedded; Antigen retrieval: citrate buffer ( 0.01M, pH 6.0 ), Boiling bathing for 15min; Block endogenous peroxidase by 3% Hydrogen peroxide for 30min; Blocking buffer (normal goat serum,C-0005) at 37℃ for 20 min; Incubation: Anti-CSP Polyclonal Antibody, Unconjugated(bs-12944R) 1:200, overnight at 4°C, followed by conjugation to the secondary antibody(SP-0023) and DAB(C-0010) staining
版权所有 2004-2026 www.bioss.com.cn 北京博奥森生物技术有限公司
通过国际质量管理体系ISO 9001:2015 GB/T 19001-2016    证书编号: 00124Q34771R2M/1100
通过国际医疗器械-质量管理体系ISO 13485:2016 GB/T 42061-2022     证书编号: CQC24QY20047R0M/1100
京ICP备05066980号-1         京公网安备110107000727号