扫码关注公众号           扫码咨询技术支持           扫码咨询技术服务
  
客服热线:400-901-9800  客服QQ:4009019800  技术答疑  技术支持  质量反馈  关于我们  联系我们
产品中心-北京博奥森生物技术有限公司
首页 > 产品中心 > 一抗 > 产品信息
AZI1 Rabbit pAb (bs-12977R)  
订购热线:400-901-9800
订购邮箱:sales@bioss.com.cn
订购QQ:  400-901-9800
技术支持:techsupport@bioss.com.cn
50ul/1180.00元
100ul/1980.00元
200ul/2800.00元
大包装/询价

产品编号 bs-12977R
英文名称 AZI1 Rabbit pAb
中文名称 中心体蛋白AZI1抗体
别    名 5 azacytidine induced 1; 5-azacytidine induced 1; 5-azacytidine-induced protein 1; AZ1; Azi; Azi1; AZI1_HUMAN; Centrosomal protein 131 kDa; Centrosomal protein of 131 kDa; Centrosomal protein of 131 kDa; Cep131; Cep131; KIAA1118; OTTMUSP00000004498; Pre-acrosome localization protein 1; RP23 37J21.1.  
研究领域 细胞生物  细胞类型标志物  
抗体来源 Rabbit
克隆类型 Polyclonal
克 隆 号
交叉反应 Rat (predicted: Human,Mouse,Pig,Sheep,Cow,Chicken,Horse)
产品应用 IHC-P=1:100-500,IHC-F=1:100-500,IF=1:100-500
not yet tested in other applications.
optimal dilutions/concentrations should be determined by the end user.
理论分子量 122 kDa
检测分子量
细胞定位 细胞浆 
性    状 Liquid
浓    度 1mg/ml
免 疫 原 KLH conjugated synthetic peptide derived from human AZI1: 631-730/1083 
亚    型 IgG
纯化方法 affinity purified by Protein A
缓 冲 液 0.01M TBS (pH7.4) with 1% BSA, 0.02% Proclin300 and 50% Glycerol.
保存条件 Shipped at 4℃. Store at -20℃ for one year. Avoid repeated freeze/thaw cycles.
注意事项 This product as supplied is intended for research use only, not for use in human, therapeutic or diagnostic applications.
PubMed PubMed
产品介绍 AZI1 is a 1,083 amino acid protein that may play a role in spermatogenesis. AZI1 is most highly expressed in spinal cord, followed by testis, ovary, amygdala, cerebellum and thalamus. Low expression is present in other adult and fetal tissues and specific adult brain regions. AZl1 gene transcription begins in pachytene spermatocytes and expression of the gene is induced in cultivated fibroblasts on treatment with 5-azacytidine, which is known to lead to the demethylation of genomic DNA. The AZI1 gene is conserved in dog, cow, mouse, rat, chicken, and zebrafish, and exists as two alternatively spliced isoforms. AZI1 contains one IQ domain, and the gene that encodes it maps to human chromosome 17q25.3. Chromosome 17 makes up over 2.5% of the human genome with about 81 million bases encoding over 1,200 genes. Alexander disease, Birt-Hogg-Dube syndrome and Canavan disease are also associated with chromosome 17.

Function:
May play a role in spermatogenesis.

Subcellular Location:
Cytoplasm > cytoskeleton > centrosome.

Post-translational modifications:
Phosphorylated upon DNA damage, probably by ATM or ATR.

Similarity:
Contains 1 IQ domain.

SWISS:
Q9UPN4

Gene ID:
22994

Database links:

Entrez Gene: 22994 Human

Omim: 613479 Human

SwissProt: Q9UPN4 Human

Unigene: 514578 Human



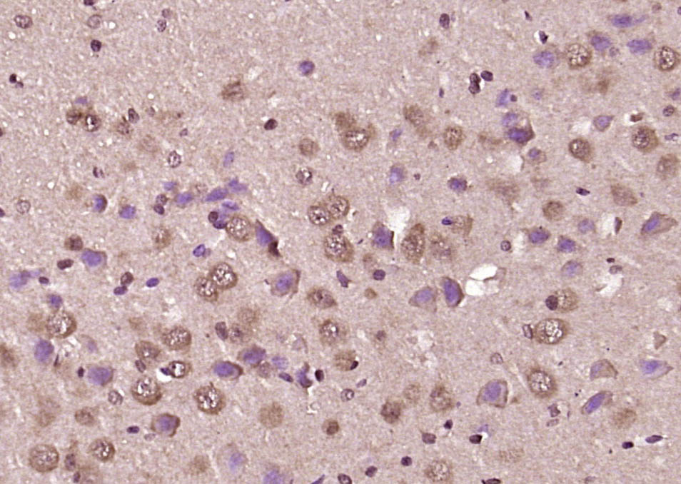
产品图片
Paraformaldehyde-fixed, paraffin embedded (rat brain); Antigen retrieval by boiling in sodium citrate buffer (pH6.0) for 15min; Block endogenous peroxidase by 3% hydrogen peroxide for 20 minutes; Blocking buffer (normal goat serum) at 37°C for 30min; Antibody incubation with (AZI1) Polyclonal Antibody, Unconjugated (bs-12977R) at 1:200 overnight at 4°C, followed by operating according to SP Kit(Rabbit) (sp-0023) instructionsand DAB staining.
版权所有 2004-2026 www.bioss.com.cn 北京博奥森生物技术有限公司
通过国际质量管理体系ISO 9001:2015 GB/T 19001-2016    证书编号: 00124Q34771R2M/1100
通过国际医疗器械-质量管理体系ISO 13485:2016 GB/T 42061-2022     证书编号: CQC24QY20047R0M/1100
京ICP备05066980号-1         京公网安备110107000727号