扫码关注公众号           扫码咨询技术支持           扫码咨询技术服务
  
客服热线:400-901-9800  客服QQ:4009019800  技术答疑  技术支持  质量反馈  关于我们  联系我们
产品中心-北京博奥森生物技术有限公司
首页 > 产品中心 > 一抗 > 产品信息
phospho-Dishevelled 2 (Ser143) Rabbit pAb (bs-13004R)  
订购热线:400-901-9800
订购邮箱:sales@bioss.com.cn
订购QQ:  400-901-9800
技术支持:techsupport@bioss.com.cn
50ul/1180.00元
100ul/1980.00元
200ul/2800.00元
大包装/询价

产品编号 bs-13004R
英文名称 phospho-Dishevelled 2 (Ser143) Rabbit pAb
中文名称 磷酸化蓬乱蛋白2抗体
别    名 Dishevelled 2(phospho S143); Dishevelled 2(phospho Ser143); p-Dishevelled 2(phospho S143); p-Dishevelled 2(Ser143); Dishevelled 2(phospho T224); Dishevelled 2(homologous to Drosophila dsh); Dishevelled dsh homolog 2; Dishevelled-2; Dishevelled2; DSH homolog 2; DVL 2; Dvl2; DVL2_HUMAN; Segment polarity protein dishevelled homolog DVL 2; Segment polarity protein dishevelled homolog DVL-2; Segment polarity protein dishevelled homolog DVL2.  
产品类型 磷酸化抗体 
研究领域 细胞生物  免疫学  信号转导  干细胞  细胞凋亡  
抗体来源 Rabbit
克隆类型 Polyclonal
克 隆 号
交叉反应 Human (predicted: Mouse,Rat,Danio rerio)
产品应用 IHC-P=1:100-500,IHC-F=1:100-500,IF=1:100-500,ICC/IF=1:100-500
not yet tested in other applications.
optimal dilutions/concentrations should be determined by the end user.
理论分子量 81 kDa
检测分子量
细胞定位 细胞浆 细胞膜 
性    状 Liquid
浓    度 1mg/ml
免 疫 原 KLH conjugated synthesised phosphopeptide derived from human Dishevelled 2 around the phosphorylation site of Ser143: SS(p-S)HE 
亚    型 IgG
纯化方法 affinity purified by Protein A
缓 冲 液 0.01M TBS (pH7.4) with 1% BSA, 0.02% Proclin300 and 50% Glycerol.
保存条件 Shipped at 4℃. Store at -20℃ for one year. Avoid repeated freeze/thaw cycles.
注意事项 This product as supplied is intended for research use only, not for use in human, therapeutic or diagnostic applications.
PubMed PubMed
产品介绍 This gene encodes a member of the dishevelled (dsh) protein family. The vertebrate dsh proteins have approximately 40% amino acid sequence similarity with Drosophila dsh. This gene encodes a 90-kD protein that undergoes posttranslational phosphorylation to form a 95-kD cytoplasmic protein, which may play a role in the signal transduction pathway mediated by multiple Wnt proteins. The mechanisms of dishevelled function in Wnt signaling are likely to be conserved among metazoans. [provided by RefSeq, Jul 2008].

Function:
Participates in Wnt signaling by binding to the cytoplasmic C-terminus of frizzled family members and transducing the Wnt signal to down-stream effectors. Promotes internalization and degradation of frizzled proteins upon Wnt signaling. Plays a role both in canonical and non-canonical Wnt signaling. Plays a role in the signal transduction pathways mediated by multiple Wnt genes.

Subunit:
Interacts through its PDZ domain with the C-terminal regions of VANGL1 and VANGL2. Interacts with Rac. Interacts with ARRB1; the interaction is enhanced by phosphorylation of DVL1. Can form large oligomers (via DIX domain). Interacts (via DIX domain) with DIXDC1 (via DIX domain). Interacts (via DEP domain) with AP2M1 and the AP-2 complex. Interacts with DACT1.

Subcellular Location:
Cell membrane; Peripheral membrane protein; Cytoplasmic side. Cytoplasm, cytosol. Cytoplasmic vesicle. Note=Localizes at the cell membrane upon interaction with frizzled family members and promotes their internalization. Localizes to cytoplasmic puncta.

Post-translational modifications:
Phosphorylated by CSNK1D.

Similarity:
Belongs to the DSH family.
Contains 1 DEP domain.
Contains 1 DIX domain.
Contains 1 PDZ (DHR) domain.

SWISS:
O14641

Gene ID:
1856

Database links:

Entrez Gene: 1856 Human

Entrez Gene: 13543 Mouse

Entrez Gene: 303251 Rat

Omim: 602151 Human

SwissProt: O14641 Human

SwissProt: Q60838 Mouse

Unigene: 118640 Human

Unigene: 5114 Mouse



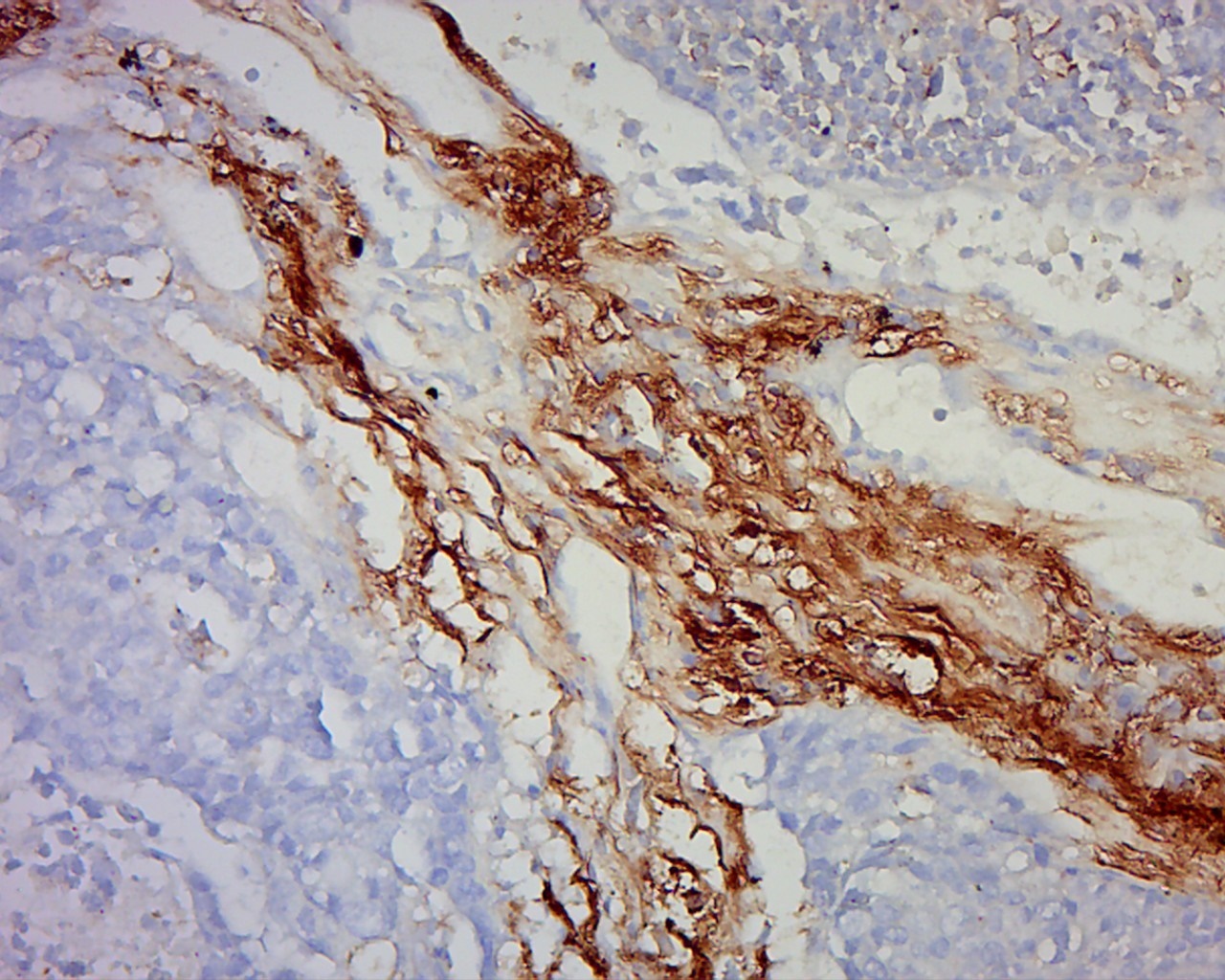
产品图片
Paraformaldehyde-fixed, paraffin embedded (Human lung cancer); Antigen retrieval by boiling in sodium citrate buffer (pH6.0) for 15min; Block endogenous peroxidase by 3% hydrogen peroxide for 20 minutes; Blocking buffer (normal goat serum) at 37°C for 30min; Antibody incubation with (phospho-Dishevelled 2 (Ser143) ) Polyclonal Antibody, Unconjugated (bs-13004R) at 1:400 overnight at 4°C, followed by a conjugated secondary antibody (sp-0023) for 20 minutes and DAB staining.
MCF-7 cell; 4% Paraformaldehyde-fixed; Triton X-100 at room temperature for 20 min; Blocking buffer (normal goat serum, C-0005) at 37°C for 20 min; Antibody incubation with (phospho-Dishevelled 2 (Ser143)) polyclonal Antibody, Unconjugated (bs-13004R) 1:50, 90 minutes at 37°C; followed by a conjugated Goat Anti-Rabbit IgG antibody at 37°C for 90 minutes, DAPI (blue, C02-04002) was used to stain the cell nuclei.
版权所有 2004-2026 www.bioss.com.cn 北京博奥森生物技术有限公司
通过国际质量管理体系ISO 9001:2015 GB/T 19001-2016    证书编号: 00124Q34771R2M/1100
通过国际医疗器械-质量管理体系ISO 13485:2016 GB/T 42061-2022     证书编号: CQC24QY20047R0M/1100
京ICP备05066980号-1         京公网安备110107000727号