扫码关注公众号           扫码咨询技术支持           扫码咨询技术服务
  
客服热线:400-901-9800  客服QQ:4009019800  技术答疑  技术支持  质量反馈  关于我们  联系我们
产品中心-北京博奥森生物技术有限公司
首页 > 产品中心 > 一抗 > 产品信息
Dymeclin Rabbit pAb (bs-13037R)  
订购热线:400-901-9800
订购邮箱:sales@bioss.com.cn
订购QQ:  400-901-9800
技术支持:techsupport@bioss.com.cn
50ul/1180.00元
100ul/1980.00元
200ul/2800.00元
大包装/询价

产品编号 bs-13037R
英文名称 Dymeclin Rabbit pAb
中文名称 迪格弗-梅尔基奥尔-克劳森综合征相关蛋白抗体
别    名 DMC; Dyggve-Melchior-Clausen syndrome protein; DYM; FLJ20071; FLJ90130; SMC; DYM_HUMAN.  
研究领域 细胞生物  发育生物学  信号转导  
抗体来源 Rabbit
克隆类型 Polyclonal
克 隆 号
交叉反应 Human,Rat (predicted: Mouse,Sheep,Cow,Dog,Horse)
产品应用 IHC-P=1:100-500,IHC-F=1:100-500,IF=1:100-500
not yet tested in other applications.
optimal dilutions/concentrations should be determined by the end user.
理论分子量 76 kDa
检测分子量
细胞定位 细胞浆 
性    状 Liquid
浓    度 1mg/ml
免 疫 原 KLH conjugated synthetic peptide derived from human Dymeclin: 151-250/669 
亚    型 IgG
纯化方法 affinity purified by Protein A
缓 冲 液 0.01M TBS (pH7.4) with 1% BSA, 0.02% Proclin300 and 50% Glycerol.
保存条件 Shipped at 4℃. Store at -20℃ for one year. Avoid repeated freeze/thaw cycles.
注意事项 This product as supplied is intended for research use only, not for use in human, therapeutic or diagnostic applications.
PubMed PubMed
产品介绍 Dyggve-Melchior-Clausen syndrome (DMC), a rare autosomal recessive disorder, is characterized by microcephaly, short trunk dwarfism and sometime psychomotor retardation. Cutaneous cells of affected individuals show dilated rough endoplasmic reticulum and enlarged vacuoles. The Dyggve-Melchior-Clausen syndrome protein, also designated dymeclin, may play a role in proteoglycan metabolism and intracellular protein digestion. It is a widely expressed multi-pass membrane protein, detected primarily in chondrocytes and fetal brain tissue. Defects in dymeclin are also the cause of Smith-McCort dysplasis syndrome (SMC), which has characteristics identical to those of Dyggve-Melchior-Clausen syndrome.

Function:
Necessary for correct organization of Golgi apparatus. Involved in bone development.

Subunit:
Interacts with GOLM1 and PPIB.

Subcellular Location:
Cytoplasmic and Golgi Apparatus

Tissue Specificity:
Expressed in most embryo-fetal and adult tissues. Abundant in primary chondrocytes, osteoblasts, cerebellum, kidney, lung, stomach, heart, pancreas and fetal brain. Very low or no expression in the spleen, thymus, esophagus, bladder and thyroid gland.

Post-translational modifications:
Myristoylated in vitro; myristoylation is not essential for protein targeting to Golgi compartment.

DISEASE:
Defects in DYM are the cause of Dyggve-Melchior-Clausen syndrome (DMC) [MIM:223800]. DMC is a rare autosomal recessive disorder characterized by short trunk dwarfism, microcephaly and psychomotor retardation. Electron microscopic study of cutaneous cells of affected patients shows dilated rough endoplasmic reticulum, enlarged and aberrant vacuoles and numerous vesicles. DMC is progressive.
Defects in DYM are the cause of Smith-McCort dysplasia (SMC) [MIM:607326]. SMC is a rare autosomal recessive osteochondrodysplasia characterized by short limbs and trunk with barrel-shaped chest. The radiographic phenotype includes platyspondyly, generalized abnormalities of the epiphyses and metaphyses, and a distinctive lacy appearance of the iliac crest, features identical to those of Dyggve-Melchior-Clausen syndrome.

Similarity:
Belongs to the dymeclin family.

SWISS:
Q7RTS9

Gene ID:
54808

Database links:


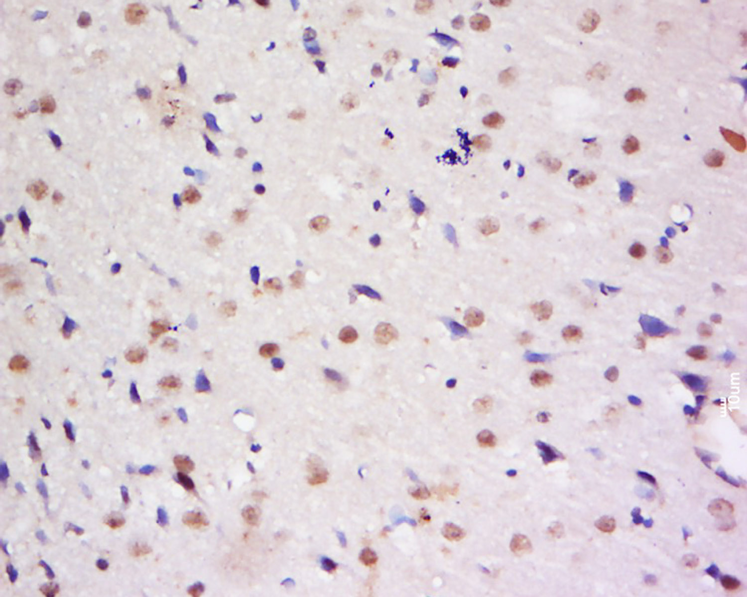
产品图片
Tissue/cell: Human kidney tissue; 4% Paraformaldehyde-fixed and paraffin-embedded; Antigen retrieval: citrate buffer ( 0.01M, pH 6.0 ), Boiling bathing for 15min; Block endogenous peroxidase by 3% Hydrogen peroxide for 30min; Blocking buffer (normal goat serum,C-0005) at 37℃ for 20 min; Incubation: Anti- Dymeclin Polyclonal Antibody, Unconjugated(bs-13037R) 1:200, overnight at 4°C, followed by conjugation to the secondary antibody(SP-0023) and DAB(C-0010) staining
Tissue/cell: Rat brain tissue; 4% Paraformaldehyde-fixed and paraffin-embedded; Antigen retrieval: citrate buffer ( 0.01M, pH 6.0 ), Boiling bathing for 15min; Block endogenous peroxidase by 3% Hydrogen peroxide for 30min; Blocking buffer (normal goat serum,C-0005) at 37℃ for 20 min; Incubation: Anti- Dymeclin Polyclonal Antibody, Unconjugated(bs-13037R) 1:200, overnight at 4°C, followed by conjugation to the secondary antibody(SP-0023) and DAB(C-0010) staining
版权所有 2004-2026 www.bioss.com.cn 北京博奥森生物技术有限公司
通过国际质量管理体系ISO 9001:2015 GB/T 19001-2016    证书编号: 00124Q34771R2M/1100
通过国际医疗器械-质量管理体系ISO 13485:2016 GB/T 42061-2022     证书编号: CQC24QY20047R0M/1100
京ICP备05066980号-1         京公网安备110107000727号