扫码关注公众号           扫码咨询技术支持           扫码咨询技术服务
  
客服热线:400-901-9800  客服QQ:4009019800  技术答疑  技术支持  质量反馈  人才招聘  关于我们  联系我们
产品中心-北京博奥森生物技术有限公司
首页 > 产品中心 > 一抗 > 产品信息
DYX1C1 Rabbit pAb (bs-13043R)  
订购热线:400-901-9800
订购邮箱:sales@bioss.com.cn
订购QQ:  400-901-9800
技术支持:techsupport@bioss.com.cn
50ul/1180.00元
100ul/1980.00元
200ul/2800.00元
大包装/询价

产品编号 bs-13043R
英文名称 DYX1C1 Rabbit pAb
中文名称 DYX1C1蛋白抗体
别    名 CK820_G0008510; DYX1C1; EKN1; CILD25; DYX1; DYXC1; RD; pf23; DAAF4_PANTR; DNAAF4; Dyslexia susceptibility 1 candidate gene 1 protein homolog; DAAF4_GORGO; DAAF4_HUMAN; Dyslexia susceptibility 1 candidate gene 1 protein; DAAF4_PONPY;   
研究领域 细胞生物  神经生物学  细胞类型标志物  
抗体来源 Rabbit
克隆类型 Polyclonal
克 隆 号
交叉反应 Mouse,Rat (predicted: Human,Cow,Zebrafish,Chicken,Dog)
产品应用 WB=1:500-2000,IHC-P=1:100-500,IHC-F=1:100-500,IF=1:100-500
not yet tested in other applications.
optimal dilutions/concentrations should be determined by the end user.
理论分子量 49 kDa
检测分子量 49
细胞定位 细胞核 细胞浆 
性    状 Liquid
浓    度 1mg/ml
免 疫 原 KLH conjugated synthetic peptide derived from human DYX1C1: 51-120/420 
亚    型 IgG
纯化方法 affinity purified by Protein A
缓 冲 液 0.01M TBS (pH7.4) with 1% BSA, 0.02% Proclin300 and 50% Glycerol.
保存条件 Shipped at 4℃. Store at -20℃ for one year. Avoid repeated freeze/thaw cycles.
注意事项 This product as supplied is intended for research use only, not for use in human, therapeutic or diagnostic applications.
PubMed PubMed
产品介绍 The gene encoding DYX1C1 maps in the 15q21 region, which is disrupted by a translocation t(2;15)(q11;q21) and segregates with dyslexia. Two sequence changes in DYX1C1, including one involving the translation initiation sequence and an Elk-1 transcription factor binding site (-3G --> A) and a codon (1249G --> T), introduce a premature stop codon and truncate the protein by 4 amino acids. DYX1C1 encodes a nuclear tetratricopeptide repeat domain protein that is dynamically regulated in brain. In human brain, DYX1C1 protein localizes to a fraction of cortical neurons and white matter glial cells. It is also expressed in lung, kidney and testis.

Function:
Involved in neuronal migration during development of the cerebral neocortex. May regulate the stability and proteasomal degradation of the estrogen receptors that play an important role in neuronal differentiation, survival and plasticity.

Subunit:
Interacts with ESR1 and ESR2. Interacts with STUB1.

Subcellular Location:
Nucleus. Cytoplasm.

Tissue Specificity:
Expressed in several tissues, including brain, lung, kidney and testis. In brain localizes to a fraction of cortical neurons and white matter glial cells.

DISEASE:
Defects in DYX1C1 may be a cause of susceptibility to dyslexia type 1 (DYX1) [MIM:127700]. A relatively common, complex cognitive disorder characterized by an impairment of reading performance despite adequate motivational, educational and intellectual opportunities. It is a multifactorial trait, with evidence for familial clustering and heritability. Note=A chromosomal aberration involving DYX1C1 has been found in a family affected by dyslexia. Translocation t(2;15)(q11;q21).

Similarity:
Contains 1 CS domain.
Contains 3 TPR repeats.

SWISS:
Q8WXU2

Gene ID:
161582

Database links:

Entrez Gene: 453458 Chimpanzee

Entrez Gene: 161582 Human

Omim: 608706 Human

SwissProt: Q863A7 Chimpanzee

SwissProt: Q863A5 Gorilla

SwissProt: Q8WXU2 Human

SwissProt: Q863A4 Orangutan



产品图片
Sample: Cerebrum (Mouse) Lysate at 40 ug Primary: Anti- DYX1C1 (bs-13043R) at 1/1000 dilution Secondary: IRDye800CW Goat Anti-Rabbit IgG at 1/20000 dilution Predicted band size: 49 kD Observed band size: 49 kD
Sample: Kidney (Mouse) Lysate at 40 ug Primary: Anti- DYX1C1 (bs-13043R) at 1/1000 dilution Secondary: IRDye800CW Goat Anti-Rabbit IgG at 1/20000 dilution Predicted band size: 49 kD Observed band size: 49 kD
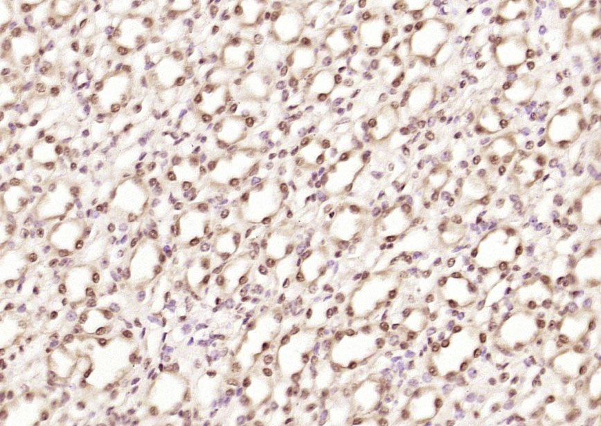
Paraformaldehyde-fixed, paraffin embedded (mouse brain); Antigen retrieval by boiling in sodium citrate buffer (pH6.0) for 15min; Block endogenous peroxidase by 3% hydrogen peroxide for 20 minutes; Blocking buffer (normal goat serum) at 37°C for 30min; Antibody incubation with (DYX1C1) Polyclonal Antibody, Unconjugated (bs-13043R) at 1:200 overnight at 4°C, followed by operating according to SP Kit(Rabbit) (sp-0023) instructionsand DAB staining.
Paraformaldehyde-fixed, paraffin embedded (rat brain); Antigen retrieval by boiling in sodium citrate buffer (pH6.0) for 15min; Block endogenous peroxidase by 3% hydrogen peroxide for 20 minutes; Blocking buffer (normal goat serum) at 37°C for 30min; Antibody incubation with (DYX1C1) Polyclonal Antibody, Unconjugated (bs-13043R) at 1:200 overnight at 4°C, followed by operating according to SP Kit(Rabbit) (sp-0023) instructionsand DAB staining.
Paraformaldehyde-fixed, paraffin embedded (mouse kidney); Antigen retrieval by boiling in sodium citrate buffer (pH6.0) for 15min; Block endogenous peroxidase by 3% hydrogen peroxide for 20 minutes; Blocking buffer (normal goat serum) at 37°C for 30min; Antibody incubation with (DYX1C1) Polyclonal Antibody, Unconjugated (bs-13043R) at 1:200 overnight at 4°C, followed by operating according to SP Kit(Rabbit) (sp-0023) instructionsand DAB staining.
版权所有 2004-2026 www.bioss.com.cn 北京博奥森生物技术有限公司
通过国际质量管理体系ISO 9001:2015 GB/T 19001-2016    证书编号: 00124Q34771R2M/1100
通过国际医疗器械-质量管理体系ISO 13485:2016 GB/T 42061-2022     证书编号: CQC24QY20047R0M/1100
京ICP备05066980号-1         京公网安备110107000727号