扫码关注公众号           扫码咨询技术支持           扫码咨询技术服务
  
客服热线:400-901-9800  客服QQ:4009019800  技术答疑  技术支持  质量反馈  关于我们  联系我们
产品中心-北京博奥森生物技术有限公司
首页 > 产品中心 > 一抗 > 产品信息
EXOSC10 Rabbit pAb (bs-13120R)  
订购热线:400-901-9800
订购邮箱:sales@bioss.com.cn
订购QQ:  400-901-9800
技术支持:techsupport@bioss.com.cn
50ul/1180.00元
100ul/1980.00元
200ul/2800.00元
大包装/询价

产品编号 bs-13120R
英文名称 EXOSC10 Rabbit pAb
中文名称 多发性肌炎/硬皮病自身抗原2抗体
别    名 Autoantigen PM/Scl 2; Exosc10; Exosome component 10; EXOSX_HUMAN; P100 polymyositis scleroderma overlap syndrome associated autoantigen; P100 polymyositis-scleroderma overlap syndrome-associated autoantigen; p2; p3; p4; PM Scl; PM/Scl 100; PM/Scl-100; PMSCL; PMSCL2; Polymyositis/scleroderma autoantigen 100 kDa; Polymyositis/scleroderma autoantigen 2 100 kDa; Polymyositis/scleroderma autoantigen 2; RRP6; Rrp6p.  
研究领域 细胞生物  表观遗传学  
抗体来源 Rabbit
克隆类型 Polyclonal
克 隆 号
交叉反应 Human,Mouse (predicted: Rat,Pig,Sheep,Cow,Dog,Horse)
产品应用 WB=1:500-2000,IHC-P=1:100-500,IHC-F=1:100-500,IF=1:100-500
not yet tested in other applications.
optimal dilutions/concentrations should be determined by the end user.
理论分子量 101 kDa
检测分子量
细胞定位 细胞核 细胞浆 
性    状 Liquid
浓    度 1mg/ml
免 疫 原 KLH conjugated synthetic peptide derived from human EXOSC10/PMSCL2: 41-140/885 
亚    型 IgG
纯化方法 affinity purified by Protein A
缓 冲 液 0.01M TBS (pH7.4) with 1% BSA, 0.02% Proclin300 and 50% Glycerol.
保存条件 Shipped at 4℃. Store at -20℃ for one year. Avoid repeated freeze/thaw cycles.
注意事项 This product as supplied is intended for research use only, not for use in human, therapeutic or diagnostic applications.
PubMed PubMed
产品介绍 The exosome is a multi-subunit complex composed of several highly conserved proteins, some of which are 3’ to 5’ exoribonucleases. The complex is involved in a variety of cellular processes and is responsible for degrading unstable mRNAs that contain AU-rich (ARE) elements in their untranslated 3’ region. EXOSC10, also known as PMSCL, PMSCL2, p2, p3, p4, RRP6, Rrp6p, PM-Scl, or PM/Scl-100, is an 885 amino acid protein that contains one HRDC domain and one 3’-5’ enonuclease domain. Localized to both the cytoplasm and the nucleus, EXOSC10 is part of the post-splicing exosome complex and is involved in mRNA surveillance, mRNA nuclear export and nonsense-mediated decay of mRNAs containing premature stop codons. Antibodies against EXOSC10 have been found in patients with scleroderma and/or polymyositis (chronic diseases of the skin and muscle, respectively), suggesting that EXOSC10 may be involved in the pathogenesis of these diseases. Two isoforms of EXOSC10 exist due to alternative splicing events.

Function:
Putative catalytic component of the RNA exosome complex which has 3'->5' exoribonuclease activity and participates in a multitude of cellular RNA processing and degradation events. In the nucleus, the RNA exosome complex is involved in proper maturation of stable RNA species such as rRNA, snRNA and snoRNA, in the elimination of RNA processing by-products and non-coding 'pervasive' transcripts, such as anti-sense RNA species and promoter-upstream transcripts (PROMPTs), and of mRNAs with processing defects, thereby limiting or excluding their export to the cytoplasm. The RNA exosome may be involved in Ig class switch recombination (CSR) and/or Ig variable region somatic hypermutation (SHM) by targeting AICDA deamination activity to transcribed dsDNA substrates. In the cytoplasm, the RNA exosome complex is involved in general mRNA turnover and specifically degrades inherently unstable mRNAs containing AU-rich elements (AREs) within their 3' untranslated regions, and in RNA surveillance pathways, preventing translation of aberrant mRNAs. It seems to be involved in degradation of histone mRNA. EXOSC10 has 3'-5' exonuclease activity (By similarity). EXOSC10 is required for nucleolar localization of C1D and probably mediates the association of SKIV2L2, C1D and MPP6 wth the RNA exosome involved in the maturation of 5.8S rRNA.

Subunit:
Component of the RNA exosome complex. The catalyticallyinactive RNA exosome core (Exo-9) complex is believed to associatewith catalytic subunits EXOSC10, and DIS3 or DIS3L incytoplasmic-and nuclear-specific RNA exosome complex forms.Interacts with C1D and MPHOSPH6.

Subcellular Location:
Cytoplasm. Nucleus > nucleolus. Nucleus. Strongly enriched in the nucleolus and a small amount has been found in cytoplasm supporting the existence of a nucleolar RNA exosome complex form.

Similarity:
Contains 1 3'-5' exonuclease domain.
Contains 1 HRDC domain.

SWISS:
Q01780

Gene ID:
5394

Database links:

Entrez Gene: 5394 Human

Entrez Gene: 50912 Mouse

Omim: 605960 Human

SwissProt: Q01780 Human

SwissProt: P56960 Mouse

Unigene: 632368 Human

Unigene: 266635 Mouse



产品图片
Sample: U937(Human) Cell Lysate at 30 ug Primary: Anti- EXOSC10 (bs-13120R) at 1/1000 dilution Secondary: IRDye800CW Goat Anti-Rabbit IgG at 1/20000 dilution Predicted band size: 101 kD Observed band size: 103 kD
Tissue/cell: human skin tissue; 4% Paraformaldehyde-fixed and paraffin-embedded; Antigen retrieval: citrate buffer ( 0.01M, pH 6.0 ), Boiling bathing for 15min; Block endogenous peroxidase by 3% Hydrogen peroxide for 30min; Blocking buffer (normal goat serum,C-0005) at 37℃ for 20 min; Incubation: Anti-EXOSC10, Unconjugated(bs-13120R) 1:200, overnight at 4°C, followed by conjugation to the secondary antibody(SP-0023) and DAB(C-0010) staining
Paraformaldehyde-fixed, paraffin embedded (mouse skin); Antigen retrieval by boiling in sodium citrate buffer (pH6.0) for 15min; Block endogenous peroxidase by 3% hydrogen peroxide for 20 minutes; Blocking buffer (normal goat serum) at 37°C for 30min; Antibody incubation with (EXOSC10) Polyclonal Antibody, Unconjugated (bs-13120R) at 1:200 overnight at 4°C, followed by operating according to SP Kit(Rabbit) (sp-0023) instructionsand DAB staining.
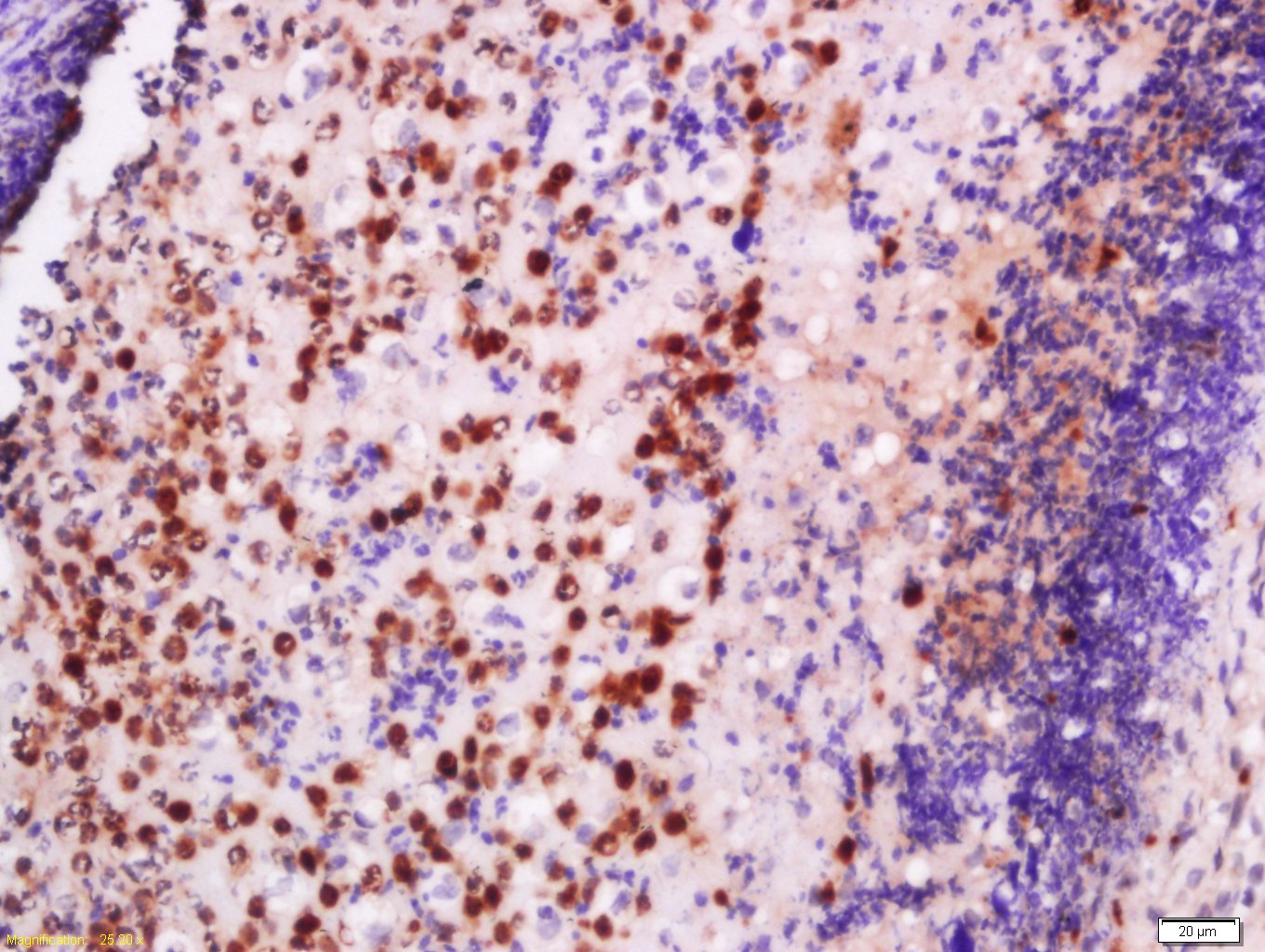
Tissue/cell: Mouse Lymph nodes; 4% Paraformaldehyde-fixed and paraffin-embedded; Antigen retrieval: citrate buffer ( 0.01M, pH 6.0 ), Boiling bathing for 15min; Block endogenous peroxidase by 3% Hydrogen peroxide for 30min; Blocking buffer (normal goat serum,C-0005) at 37℃ for 20 min; Incubation: Anti-EXOSC10, Unconjugated(bs-13120R) 1:200, overnight at 4°C, followed by conjugation to the secondary antibody(SP-0023) and DAB(C-0010) staining
版权所有 2004-2026 www.bioss.com.cn 北京博奥森生物技术有限公司
通过国际质量管理体系ISO 9001:2015 GB/T 19001-2016    证书编号: 00124Q34771R2M/1100
通过国际医疗器械-质量管理体系ISO 13485:2016 GB/T 42061-2022     证书编号: CQC24QY20047R0M/1100
京ICP备05066980号-1         京公网安备110107000727号