 
| 产品编号 | bs-13240R | 
| 英文名称 | FZR1 Rabbit pAb | 
| 中文名称 | 细胞分裂周期样蛋白20抗体 | 
| 别 名 | CDC20 like 1b; CDC20 like protein 1; CDC20-like protein 1; CDC20C; Cdh 1; CDH1; Cdh1/Hct1 homolog; Fizzy related protein 1; Fizzy related protein 1; Fizzy related protein; Fizzy related protein homolog; Fizzy-related protein homolog; Fizzy/cell division cycle 20 related 1; FYR; FZR 1; FZR 2; FZR; FZR_HUMAN; FZR1; Fzr1 protein; FZR2; HCDH 1; HCDH; HCDH1; KIAA1242. | 
| 研究领域 | 细胞生物 细胞周期蛋白 泛素 | 
| 抗体来源 | Rabbit | 
| 克隆类型 | Polyclonal | 
| 克 隆 号 | |
| 交叉反应 | Human,Mouse,Rat (predicted: Pig,Sheep,Cow,Zebrafish,Chicken,Dog,Horse) | 
| 产品应用 | WB=1:500-2000,IHC-P=1:100-500,IHC-F=1:100-500,IF=1:100-500 not yet tested in other applications. optimal dilutions/concentrations should be determined by the end user. | 
| 理论分子量 | 55 kDa | 
| 检测分子量 | |
| 细胞定位 | 细胞核 细胞浆 | 
| 性 状 | Liquid | 
| 浓 度 | 1mg/ml | 
| 免 疫 原 | KLH conjugated synthetic peptide derived from human FZR1/CDC20C: 141-240/496 | 
| 亚 型 | IgG | 
| 纯化方法 | affinity purified by Protein A | 
| 缓 冲 液 | 0.01M TBS (pH7.4) with 1% BSA, 0.02% Proclin300 and 50% Glycerol. | 
| 保存条件 | Shipped at 4℃. Store at -20℃ for one year. Avoid repeated freeze/thaw cycles. | 
| 注意事项 | This product as supplied is intended for research use only, not for use in human, therapeutic or diagnostic applications. | 
| PubMed | PubMed | 
| 产品介绍 | Fizzy-related protein, known as fzr, is a conserved eukaryotic gene that has been recently identified as a 7WD domain family member and is implicated in cell cycle regulation of Drosophila and yeast. Retroviral overexpression of fzr in B-lymphoma cells reduces tumor formation. Fzr overexpression increases B-lymphoma cell susceptibility to natural killer cell (NK) cytotoxicity. Fzr has been implicated in a new category of genes which suppress B-cell tumorigenesis. Current research suggests a novel role for fzr in the target cell interaction with NK cells. Fzr also negatively regulates the levels of cyclins A, B and B3. Loss of fzr causes progression through an extra division cycle in the epidermis and inhibition of endoreduplication in the salivary gland, in addition to failure of cyclin removal. Conversely, premature fzr overexpression downregulates mitotic cyclins, inhibits mitosis and transforms mitotic cycles into endoreduplication cycles. Function: Key regulator of ligase activity of the anaphase promoting complex/cyclosome (APC/C), which confers substrate specificity upon the complex. Associates with the APC/C in late mitosis, in replacement of CDC20, and activates the APC/C during anaphase and telophase. The APC/C remains active in degrading substrates to ensure that positive regulators of the cell cycle do not accumulate prematurely. At the G1/S transition FZR1 is phosphorylated, leading to its dissociation from the APC/C. Following DNA damage, it is required for the G2 DNA damage checkpoint: its dephosphorylation and reassociation with the APC/C leads to the ubiquitination of PLK1, preventing entry into mitosis. Subunit: The unphosphorylated form interacts with APC/C during mitosis. Interacts with NINL. Interacts (in complex with the anaphase promoting complex APC) with MAD2L2; inhibits FZR1-mediated APC/C activation. Interacts with USP37. Interacts (via WD repeats) with MAK. Subcellular Location: Cytoplasm and Nucleus. Tissue Specificity: Isoform 2 is expressed at high levels in heart, liver, spleen and some cancer cell lines whereas isoform 3 is expressed only at low levels in these tissues. Post-translational modifications: Phosphorylated during mitosis, probably by maturation promoting factor (MPF), leading to its dissociation of the APC/C. Following DNA damage, it is dephosphorylated by CDC14B in G2 phase, leading to its reassociation with the APC/C, and allowing an efficient G2 DNA damage checkpoint. Similarity: Belongs to the WD repeat CDC20/Fizzy family. Contains 7 WD repeats. SWISS: Q9UM11 Gene ID: 51343 Database links: Entrez Gene: 51343 Human Entrez Gene: 56371 Mouse Omim: 603619 Human SwissProt: Q9UM11 Human SwissProt: Q9R1K5 Mouse Unigene: 413133 Human Unigene: 24202 Mouse | 
| 产品图片 | 
Sample: tetis (Mouse) Lysate at 40 ug
Primary: Anti-FZR1(bs-13240R) at 1/300 dilution
Secondary: IRDye800CW Goat Anti-Rabbit IgG at 1/20000 dilution
Predicted band size: 55 kD
Observed band size: 55 kD
 
 
Protein: intestinal(mouse) lysate at 40ug; 
Primary: rabbit Anti-FZR1 (bs-13240R) at 1:300; 
Secondary: HRP conjugated Goat-Anti-rabbit IgG(bs-0295G-HRP) at 1: 5000; 
Predicted band size: 55 kD
Observed band size: 55 kD
 
Sample: 
Lane 1: Heart (Mouse) Lysate at 40 ug
Lane 2: Testis (Mouse) Lysate at 40 ug
Lane 3: Heart (Rat) Lysate at 40 ug
Lane 4: Liver (Rat) Lysate at 40 ug
Lane 5: Testis (Rat) Lysate at 40 ug
Lane 6: U251 (Human) Cell Lysate at 30 ug
Lane 7: A431 (Human) Cell Lysate at 30 ug
Primary: Anti-FZR1 (bs-13240R) at 1/1000 dilution
Secondary: IRDye800CW Goat Anti-Rabbit IgG at 1/20000 dilution
Predicted band size: 55 kD
Observed band size: 50 kD
 
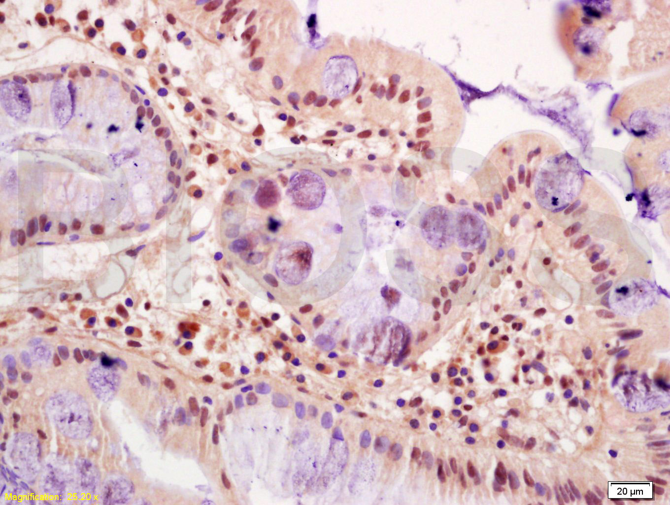
Tissue/cell: human gastric carcinoma; 4% Paraformaldehyde-fixed and paraffin-embedded; 
Antigen retrieval: citrate buffer ( 0.01M, pH 6.0 ), Boiling bathing for 15min; Block endogenous peroxidase by 3% Hydrogen peroxide for 30min; Blocking buffer (normal goat serum,C-0005) at 37℃ for 20 min; 
Incubation: Anti-FZR1/CDC20C Polyclonal Antibody, Unconjugated(bs-13240R) 1:200, overnight at 4℃, followed by conjugation to the secondary antibody(SP-0023) and DAB(C-0010) staining
 | 
| 1、抗体溶解方法 | |
| 2、抗体修复方式 | |
| 3、常用试剂的配制 | |
| 4、免疫组化操作步骤 | |
| 5、免疫组化问题解答 | |
| 6、Western Blotting 操作步骤 | |
| 7、Western Blotting 问题解答 | |
| 8、关于肽链的设计 | |
| 9、多肽的溶解与保存 | |
| 10、酶标抗体效价测定程序 | |