扫码关注公众号           扫码咨询技术支持           扫码咨询技术服务
  
客服热线:400-901-9800  客服QQ:4009019800  技术答疑  技术支持  质量反馈  关于我们  联系我们
产品中心-北京博奥森生物技术有限公司
首页 > 产品中心 > 一抗 > 产品信息
EPHA10 Rabbit pAb (bs-10052R)  
订购热线:400-901-9800
订购邮箱:sales@bioss.com.cn
订购QQ:  400-901-9800
技术支持:techsupport@bioss.com.cn
50ul/1180.00元
100ul/1980.00元
200ul/2800.00元
大包装/询价

产品编号 bs-10052R
英文名称 EPHA10 Rabbit pAb
中文名称 酪氨酸蛋白激酶受体A10抗体
别    名 EPH receptor A10; EPHA 10; Epha10; EphA10s protein; EPHAA_HUMAN; Ephrin type A receptor 10; Ephrin type-A receptor 10.  
Specific References  (2)     |     bs-10052R has been referenced in 2 publications.
[IF=5.714] Wenyue Zhao. et al. EphA10 drives tumor progression and immune evasion by regulating the MAPK/ERK cascade in lung adenocarcinoma. INT IMMUNOPHARMACOL. 2022 Sep;110:109031  WB, IHC ;  Human.  
[IF=4.32] Zang et al. Anti-EphA10 antibody-conjugated pH-sensitive liposomes for specific intracellular delivery of siRNA. (2016) Int.J.Nanomedicin. 11:3951-67  FCM(FACS) ;  Human.  
研究领域 细胞生物  信号转导  激酶和磷酸酶  
抗体来源 Rabbit
克隆类型 Polyclonal
克 隆 号
交叉反应 Human,Mouse,Rat (predicted: Rabbit,Pig,Cow,Chicken,Dog,GuineaPig,Horse)
产品应用 WB=1:500-2000,IHC-P=1:100-500,IHC-F=1:100-500,IF=1:100-500
not yet tested in other applications.
optimal dilutions/concentrations should be determined by the end user.
理论分子量 107 kDa
检测分子量
细胞定位 细胞膜 分泌型蛋白 
性    状 Liquid
浓    度 1mg/ml
免 疫 原 KLH conjugated synthetic peptide derived from human EPHA10: 151-250/1008 <Extracellular>
亚    型 IgG
纯化方法 affinity purified by Protein A
缓 冲 液 0.01M TBS (pH7.4) with 1% BSA, 0.02% Proclin300 and 50% Glycerol.
保存条件 Shipped at 4℃. Store at -20℃ for one year. Avoid repeated freeze/thaw cycles.
注意事项 This product as supplied is intended for research use only, not for use in human, therapeutic or diagnostic applications.
PubMed PubMed
产品介绍 The Eph subfamily represents the largest group of receptor protein tyrosine kinases identified to date (1–3). While the biological activities of these receptors have yet to be determined, there is increasing evidence that they are involved in central nervous system function and in development (1–3). The Eph subfamily receptors of human origin (and their murine/avian homologs) include EphA1 (Eph), EphA2 (Eck), EphA3 (Hek4), EphA4 (Hek8), EphA5 (Hek7), EphA6 (Hek12), EphA7 (Hek11/MDK1), EphA8 (Hek3), EphB1 (Hek6), EphB2 (Hek5), EphB3 (Cek10, Hek2), EphB4 (Htk), EphB5 (Hek9) and EphB6 (Mep). Ligands for Eph receptors include ephrin-A4 (LERK-4) which binds EphA3 and EphB1. In addition, ephrin-A2 (ELF-1) has been described as the ligand for EphA4, ephrin-A3 (Ehk1-L) as the ligand for EphA5 and ephrin-B2 (Htk-L) as the ligand for EphB4 (Htk) (4–7).

Function:
Receptor for members of the ephrin-A family. Binds to EFNA3, EFNA4 and EFNA5.

Subcellular Location:
Isoform 1, 3: Cell membrane; Single-pass type I membrane protein (Probable). Isoform 2: Secreted (Probable).

Tissue Specificity:
Mainly expressed in testis.

Similarity:
Belongs to the protein kinase superfamily. Tyr protein kinase family. Ephrin receptor subfamily.
Contains 1 Eph LBD (Eph ligand-binding) domain.
Contains 2 fibronectin type-III domains.
Contains 1 protein kinase domain.
Contains 1 SAM (sterile alpha motif) domain.

SWISS:
Q5JZY3

Gene ID:
284656

Database links:

Entrez Gene: 284656 Human

Entrez Gene: 230735 Mouse

Entrez Gene: 298528 Rat

Omim: 611123 Human

SwissProt: Q5JZY3 Human

SwissProt: Q8BYG9 Mouse

Unigene: 129435 Human

Unigene: 171490 Mouse

Unigene: 484372 Mouse



产品图片
Sample: Testis (Mouse) Lysate at 40 ug Testis (Rat) Lysate at 40 ug K562(Human) Cell Lysate at 30 ug Primary: Anti- EPHA10 (bs-10052R) at 1/1000 dilution Secondary: IRDye800CW Goat Anti-Rabbit IgG at 1/20000 dilution Predicted band size: 107 kD Observed band size: 107 kD
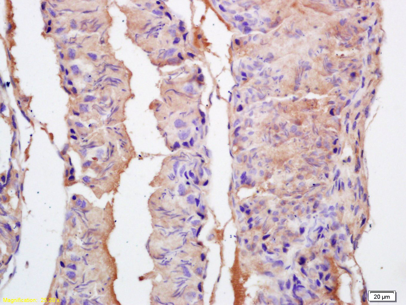
Tissue/cell: rat testis tissue; 4% Paraformaldehyde-fixed and paraffin-embedded; Antigen retrieval: citrate buffer ( 0.01M, pH 6.0 ), Boiling bathing for 15min; Block endogenous peroxidase by 3% Hydrogen peroxide for 30min; Blocking buffer (normal goat serum,C-0005) at 37℃ for 20 min; Incubation: Anti-EPHA10 Polyclonal Antibody, Unconjugated(bs-10052R) 1:200, overnight at 4°C, followed by conjugation to the secondary antibody(SP-0023) and DAB(C-0010) staining
Tissue/cell: rat testis tissue;4% Paraformaldehyde-fixed and paraffin-embedded; Antigen retrieval: citrate buffer ( 0.01M, pH 6.0 ), Boiling bathing for 15min; Blocking buffer (normal goat serum,C-0005) at 37℃ for 20 min; Incubation: Anti-EPHA10 Polyclonal Antibody, Unconjugated(bs-10052R) 1:200, overnight at 4°C; The secondary antibody was Goat Anti-Rabbit IgG, Cy3 conjugated(bs-0295G-Cy3)used at 1:200 dilution for 40 minutes at 37°C. DAPI(5ug/ml,blue,C-0033) was used to stain the cell nuclei
版权所有 2004-2026 www.bioss.com.cn 北京博奥森生物技术有限公司
通过国际质量管理体系ISO 9001:2015 GB/T 19001-2016    证书编号: 00124Q34771R2M/1100
通过国际医疗器械-质量管理体系ISO 13485:2016 GB/T 42061-2022     证书编号: CQC24QY20047R0M/1100
京ICP备05066980号-1         京公网安备110107000727号