扫码关注公众号           扫码咨询技术支持           扫码咨询技术服务
  
客服热线:400-901-9800  客服QQ:4009019800  技术答疑  技术支持  质量反馈  关于我们  联系我们
产品中心-北京博奥森生物技术有限公司
首页 > 产品中心 > 一抗 > 产品信息
GGN Rabbit pAb (bs-13347R)  
订购热线:400-901-9800
订购邮箱:sales@bioss.com.cn
订购QQ:  400-901-9800
技术支持:techsupport@bioss.com.cn
50ul/1180.00元
100ul/1980.00元
200ul/2800.00元
大包装/询价

产品编号 bs-13347R
英文名称 GGN Rabbit pAb
中文名称 配子生成素抗体
别    名 FLJ35713; Gametogenetin; MGC33369; GGN_HUMAN.  
Specific References  (1)     |     bs-13347R has been referenced in 1 publications.
[IF=1.935] Liu Z et al. GGN Promotes Tumorigenesis by Regulating Proliferation and Apoptosis in Colorectal Cancer. Pathol Oncol Res. 2019 Feb 5.  WB&IHC-P ;  Human.  
研究领域 细胞生物  发育生物学  干细胞  细胞凋亡  
抗体来源 Rabbit
克隆类型 Polyclonal
克 隆 号
交叉反应 Human,Rat (predicted: Mouse,Pig,Sheep,Cow,Dog)
产品应用 WB=1:500-2000,IHC-P=1:100-500,IHC-F=1:100-500,IF=1:100-500
not yet tested in other applications.
optimal dilutions/concentrations should be determined by the end user.
理论分子量 67 kDa
检测分子量
细胞定位 细胞核 细胞浆 
性    状 Liquid
浓    度 1mg/ml
免 疫 原 KLH conjugated synthetic peptide derived from human GGN/Gametogenetin: 5-100/652 
亚    型 IgG
纯化方法 affinity purified by Protein A
缓 冲 液 0.01M TBS (pH7.4) with 1% BSA, 0.02% Proclin300 and 50% Glycerol.
保存条件 Shipped at 4℃. Store at -20℃ for one year. Avoid repeated freeze/thaw cycles.
注意事项 This product as supplied is intended for research use only, not for use in human, therapeutic or diagnostic applications.
PubMed PubMed
产品介绍 Gametogenetin is a 652 amino acid protein that is primarily expressed in testis and ovary. Interacting with POG (proliferation of germ cells), GGNBP1 and LCRG1, gametogenetin is likely involved in spermatogenesis. Gametogenetin exists as three alternatively spliced isoforms commonly known as gametogenetin protein 1 (GGN1), gametogenetin protein 2 (GGN2) and gametogenetin protein 3 (GGN3), which localize to nuclear membrane, cytoplasm and nucleus/nucleoli, respectively. GGN1 contains two transmembrane domains in its N-terminal half and 2 C-terminal arginine- and lysine-rich nucleolar targeting sequences. GGN1 and GGN3 are likely linked to germ cell development and both GGN1 and GGN2 may be involved in cell trafficking.

Function:
Gametogenetin gene is a germ cell specific gene that encodes proteins that interact with POG (proliferation of germ cells). Alternatively spliced transcript variants of a similar mouse gene encode at least three different proteins, namely gametogenetin protein 1a, gametogenetin protein 2, and gametogenetin protein 3, which show a perinuclear, cytoplasmic, and nucleolar localization, respectively. These proteins regulate the localization of POG and may play a role in spermatogenesis.

Subunit:
Interacts with FANCL, GGNBP1 and ZNF403/GGNBP2.

SWISS:
Q86UU5

Gene ID:
199720

Database links:

Entrez Gene: 199720 Human

Entrez Gene: 243897 Mouse

Entrez Gene: 292765 Rat

Omim: 609966 Human

SwissProt: Q86UU5 Human

SwissProt: Q80WJ1 Mouse

SwissProt: Q66HC8 Rat



产品图片
Sample: A549 (human)cell Lysate at 40 ug Primary: Anti- GGN(bs-13347R)at 1/300 dilution Secondary: IRDye800CW Goat Anti-Rabbit IgG at 1/20000 dilution Predicted band size: 67kD Observed band size: 67 kD
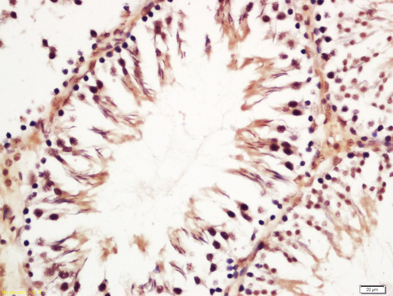
Tissue/cell: rat testis tissue; 4% Paraformaldehyde-fixed and paraffin-embedded; Antigen retrieval: citrate buffer ( 0.01M, pH 6.0 ), Boiling bathing for 15min; Block endogenous peroxidase by 3% Hydrogen peroxide for 30min; Blocking buffer (normal goat serum,C-0005) at 37℃ for 20 min; Incubation: Anti-GGN Polyclonal Antibody, Unconjugated(bs-13347R) 1:1000, overnight at 4°C, followed by conjugation to the secondary antibody(SP-0023) and DAB(C-0010) staining
版权所有 2004-2026 www.bioss.com.cn 北京博奥森生物技术有限公司
通过国际质量管理体系ISO 9001:2015 GB/T 19001-2016    证书编号: 00124Q34771R2M/1100
通过国际医疗器械-质量管理体系ISO 13485:2016 GB/T 42061-2022     证书编号: CQC24QY20047R0M/1100
京ICP备05066980号-1         京公网安备110107000727号