扫码关注公众号           扫码咨询技术支持           扫码咨询技术服务
  
客服热线:400-901-9800  客服QQ:4009019800  技术答疑  技术支持  质量反馈  关于我们  联系我们
产品中心-北京博奥森生物技术有限公司
首页 > 产品中心 > 一抗 > 产品信息
QARS/Glutamyl Prolyl tRNA synthetase/ProRS Rabbit pAb (bs-13393R)  
订购热线:400-901-9800
订购邮箱:sales@bioss.com.cn
订购QQ:  400-901-9800
技术支持:techsupport@bioss.com.cn
50ul/1180.00元
100ul/1980.00元
200ul/2800.00元
大包装/询价

产品编号 bs-13393R
英文名称 QARS/Glutamyl Prolyl tRNA synthetase/ProRS Rabbit pAb
中文名称 谷氨酰-脯氨酰-tRNA合成酶抗体
别    名 Bifunctional aminoacyl tRNA synthetase; Bifunctional aminoacyl-tRNA synthetase; Bifunctional glutamate/proline tRNA ligase; Cell proliferation-inducing gene 32 protein; DKFZp313B047; EARS; Eprs; GLNS; Glu pro tRNA synthetase; GLUPRORS; GluRS; Glutamate tRNA ligase; Glutamatyl prolyl tRNA synthetase; Glutaminyl tRNA synthetase; Glutamyl prolyl tRNA synthetase; Glutamyl tRNA synthetase; Glutamyl-tRNA synthetase; PARS; PIG 32; PIG32; Proliferation inducing gene 32 protein; Proliferation inducing protein 32; Proline tRNA ligase; Proline--tRNA ligase; Prolyl tRNA synthetase; Prolyl-tRNA synthetase; QARS; QPRS; SYEP_HUMAN.  
研究领域 细胞生物  信号转导  转运蛋白  表观遗传学  
抗体来源 Rabbit
克隆类型 Polyclonal
克 隆 号
交叉反应 Human,Mouse,Rat (predicted: Pig,Sheep,Cow,Chicken,Dog,Horse)
产品应用 WB=1:500-2000,IHC-P=1:100-500,IHC-F=1:100-500,IF=1:100-500
not yet tested in other applications.
optimal dilutions/concentrations should be determined by the end user.
理论分子量 171 kDa
检测分子量
细胞定位 细胞浆 
性    状 Liquid
浓    度 1mg/ml
免 疫 原 KLH conjugated synthetic peptide derived from human ProRS: 651-750/1512 
亚    型 IgG
纯化方法 affinity purified by Protein A
缓 冲 液 0.01M TBS (pH7.4) with 1% BSA, 0.02% Proclin300 and 50% Glycerol.
保存条件 Shipped at 4℃. Store at -20℃ for one year. Avoid repeated freeze/thaw cycles.
注意事项 This product as supplied is intended for research use only, not for use in human, therapeutic or diagnostic applications.
PubMed PubMed
产品介绍 The fidelity of protein synthesis requires efficient discrimination of amino acid substrates by aminoacyl-tRNA synthetases. Aminoacyl-tRNA synthetases function to catalyze the aminoacylation of tRNAs by their corresponding amino acids, thus linking amino acids with tRNA-contained nucleotide triplets. ProRS (Prolyl-tRNA synthetase), also known as EPRS, EARS, PARS, QARS, QPRS, PIG32 or GLUPRORS, is a 1,512 amino acid protein that contains three WHEP-TRS domains and belongs to both the class-I and class-II aminoacyl-tRNA synthetase family. Functioning as a component of the multisynthase complex, ProRS uses ATP to catalyze the conversion of L-glutamate and tRNA(Glu) to L-glutamyl-tRNA(Glu), as well as the conversion of L-proline and tRNA(Pro) to L-prolyl-tRNA(Pro).

Function:
Catalyzes the attachment of the cognate amino acid to the corresponding tRNA in a two-step reaction: the amino acid is first activated by ATP to form a covalent intermediate with AMP and is then transferred to the acceptor end of the cognate tRNA.

Subunit:
Component of the multisynthetase complex which iscomprised of a bifunctional glutamyl-prolyl-tRNA synthetase, themonospecific isoleucyl, leucyl, glutaminyl, methionyl, lysyl,arginyl, and aspartyl-tRNA synthetases as well as three auxiliaryproteins, p18, p48 and p43. Interacts with DUS2L. Component of theGAIT complex; in humans the complex assembly seems to be a two-stepprocess in which EPRS first associates with SYNCRIP to form apre-GAIT complex which is deficient in GAIT element binding.

Post-translational modifications:
Phosphorylated at Ser-886 by CDK5 in a IFN-gamma-dependent manner; this phosphorylation activates assembly of the GAIT (IFN-gamma-activated inhibitor of translation) complex, which suppresses expression of a post-transcriptional regulon of proinflammatory genes in myeloid cells.

Similarity:
In the N-terminal section; belongs to the class-I aminoacyl-tRNA synthetase family.
In the C-terminal section; belongs to the class-II aminoacyl-tRNA synthetase family.
Contains 3 WHEP-TRS domains.

SWISS:
P47897

Gene ID:
5859

Database links:

Entrez Gene: 5859 Human

Omim: 603727 Human

SwissProt: P47897 Human

Unigene: 79322 Human



产品图片
Sample: MCF-7(Human) Cell Lysate at 30 ug Primary: Anti- QARS (bs-13393R) at 1/1000 dilution Secondary: IRDye800CW Goat Anti-Rabbit IgG at 1/20000 dilution Predicted band size: 171 kD Observed band size: 171 kD
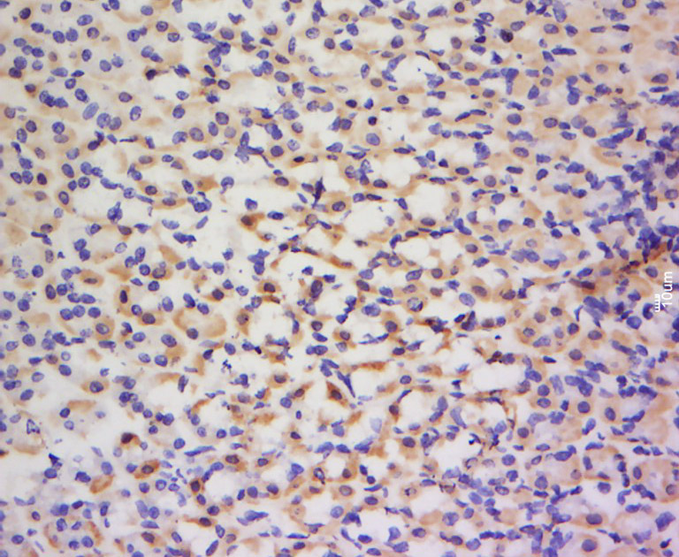
Paraformaldehyde-fixed, paraffin embedded (mouse brain); Antigen retrieval by boiling in sodium citrate buffer (pH6.0) for 15min; Block endogenous peroxidase by 3% hydrogen peroxide for 20 minutes; Blocking buffer (normal goat serum) at 37°C for 30min; Antibody incubation with (QARS Glutamyl Prolyl tRNA synthetase) Polyclonal Antibody, Unconjugated (bs-13393R) at 1:200 overnight at 4°C, followed by operating according to SP Kit(Rabbit) (sp-0023) instructionsand DAB staining.
Paraformaldehyde-fixed, paraffin embedded (rat heart); Antigen retrieval by boiling in sodium citrate buffer (pH6.0) for 15min; Block endogenous peroxidase by 3% hydrogen peroxide for 20 minutes; Blocking buffer (normal goat serum) at 37°C for 30min; Antibody incubation with (QARS Glutamyl Prolyl tRNA synthetase) Polyclonal Antibody, Unconjugated (bs-13393R) at 1:200 overnight at 4°C, followed by operating according to SP Kit(Rabbit) (sp-0023) instructionsand DAB staining.
Paraformaldehyde-fixed, paraffin embedded (rat brain); Antigen retrieval by boiling in sodium citrate buffer (pH6.0) for 15min; Block endogenous peroxidase by 3% hydrogen peroxide for 20 minutes; Blocking buffer (normal goat serum) at 37°C for 30min; Antibody incubation with (QARS Glutamyl Prolyl tRNA synthetase) Polyclonal Antibody, Unconjugated (bs-13393R) at 1:200 overnight at 4°C, followed by operating according to SP Kit(Rabbit) (sp-0023) instructionsand DAB staining.
Tissue/cell: Rat stomach tissue; 4% Paraformaldehyde-fixed and paraffin-embedded; Antigen retrieval: citrate buffer ( 0.01M, pH 6.0 ), Boiling bathing for 15min; Block endogenous peroxidase by 3% Hydrogen peroxide for 30min; Blocking buffer (normal goat serum,C-0005) at 37℃ for 20 min; Incubation: Anti-Glutamyl Prolyl tRNA synthetase/ProRS Polyclonal Antibody, Unconjugated(bs-13393R) 1:200, overnight at 4°C, followed by conjugation to the secondary antibody(SP-0023) and DAB(C-0010) staining
版权所有 2004-2026 www.bioss.com.cn 北京博奥森生物技术有限公司
通过国际质量管理体系ISO 9001:2015 GB/T 19001-2016    证书编号: 00124Q34771R2M/1100
通过国际医疗器械-质量管理体系ISO 13485:2016 GB/T 42061-2022     证书编号: CQC24QY20047R0M/1100
京ICP备05066980号-1         京公网安备110107000727号