 
| 产品编号 | bs-13471R | 
| 英文名称 | GNL2 Rabbit pAb | 
| 中文名称 | 鸟嘌呤核苷酸结合蛋白2抗体 | 
| 别 名 | Autoantigen NGP-1; Autoantigen NGP1; DJ423B22.6(novel nucleolar guanosine 5'-triphosphate binding protein; FLJ40906; GNL2; Guanine nucleotide binding protein-like 2(nucleolar); HUMAUANTIG; NGP1; NOG2_HUMAN; Nucleolar GTP binding protein 2; Nucleolar GTP-binding protein 2; Nucleolar GTPase. | 
| 研究领域 | 细胞生物 信号转导 G蛋白偶联受体 表观遗传学 G蛋白信号 | 
| 抗体来源 | Rabbit | 
| 克隆类型 | Polyclonal | 
| 克 隆 号 | |
| 交叉反应 | Mouse,Rat (predicted: Human,Pig,Sheep,Cow,Dog,Horse) | 
| 产品应用 | WB=1:500-2000,IHC-P=1:100-500,IHC-F=1:100-500,IF=1:100-500 not yet tested in other applications. optimal dilutions/concentrations should be determined by the end user. | 
| 理论分子量 | 84 kDa | 
| 检测分子量 | |
| 细胞定位 | 细胞核 | 
| 性 状 | Liquid | 
| 浓 度 | 1mg/ml | 
| 免 疫 原 | KLH conjugated synthetic peptide derived from human GNL2: 1-100/731 | 
| 亚 型 | IgG | 
| 纯化方法 | affinity purified by Protein A | 
| 缓 冲 液 | 0.01M TBS (pH7.4) with 1% BSA, 0.02% Proclin300 and 50% Glycerol. | 
| 保存条件 | Shipped at 4℃. Store at -20℃ for one year. Avoid repeated freeze/thaw cycles. | 
| 注意事项 | This product as supplied is intended for research use only, not for use in human, therapeutic or diagnostic applications. | 
| PubMed | PubMed | 
| 产品介绍 | GNL2 is a nucleolar guanasine-triphosphate binding protein that is ubiquitously expressed at low levels in almost all tissues. GNL2 is involved in the crucial process of trafficking proteins out of the nucleus. Specifically, it is a GTPase that interacts with the 60s preribosomal subunit in the nucleus and facilitates export of the subunit into the cytoplasm. GTPases are responsible for the hydrolysis of GTP by way of a protein region dubbed the G domain. GTPases are often involved in the translocating proteins through membranes gleaning energy for the activity by hydrolizing GTP. GNL2 shares G domain homology and some functionality with nucleostemin (GNL3), another nuclear GTPase. Highest expression of GNL2 is found in testis. Function: GTPase that associates with pre-60S ribosomal subunits in the nucleolus and is required for their nuclear export and maturation. Subcellular Location: Nucleus; nucleolus. Tissue Specificity: Ubiquitously expressed at relatively low levels in all human tissues tested, with the highest level of expression in the testes. Similarity: Belongs to the MMR1/HSR1 GTP-binding protein family. NOG2 subfamily. Contains 1 G (guanine nucleotide-binding) domain. SWISS: Q13823 Gene ID: 29889 Database links: Entrez Gene: 29889 Human Entrez Gene: 230737 Mouse Omim: 609365 Human SwissProt: Q13823 Human SwissProt: Q99LH1 Mouse Unigene: 75528 Human Unigene: 90760 Mouse Unigene: 18964 Rat | 
| 产品图片 | 
Sample:
Muscle (Mouse) Lysate at 40 ug
Primary: Anti- GNL2 (bs-13471R)at 1/300 dilution
Secondary: IRDye800CW Goat Anti-Rabbit IgG at 1/20000 dilution
Predicted band size: 84 kD
Observed band size: 84 kD
 
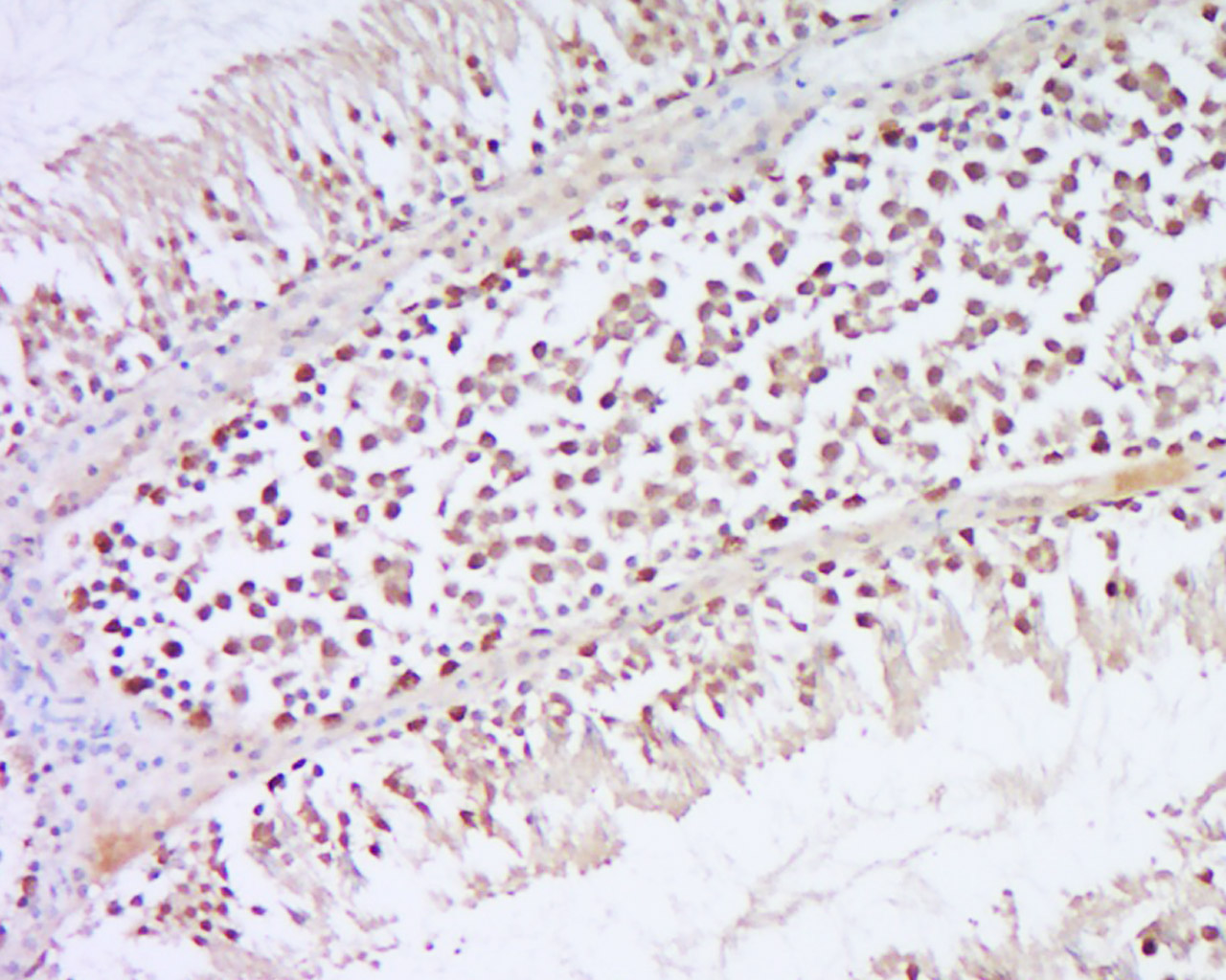
Tissue/cell: Rat testis tissue; 4% Paraformaldehyde-fixed and paraffin-embedded; 
Antigen retrieval: citrate buffer ( 0.01M, pH 6.0 ), Boiling bathing for 15min; Block endogenous peroxidase by 3% Hydrogen peroxide for 30min; Blocking buffer (normal goat serum,C-0005) at 37℃ for 20 min; 
Incubation: Anti-GNL2 Polyclonal Antibody, Unconjugated(bs-13471R) 1:500, overnight at 4°C, followed by conjugation to the secondary antibody(SP-0023) and DAB(C-0010) staining
 
Tissue/cell: Mouse brain tissue; 4% Paraformaldehyde-fixed and paraffin-embedded; 
Antigen retrieval: citrate buffer ( 0.01M, pH 6.0 ), Boiling bathing for 15min; Block endogenous peroxidase by 3% Hydrogen peroxide for 30min; Blocking buffer (normal goat serum,C-0005) at 37℃ for 20 min; 
Incubation: Anti-GNL2 Polyclonal Antibody, Unconjugated(bs-13471R) 1:500, overnight at 4°C, followed by conjugation to the secondary antibody(SP-0023) and DAB(C-0010) staining
 | 
| 1、抗体溶解方法 | |
| 2、抗体修复方式 | |
| 3、常用试剂的配制 | |
| 4、免疫组化操作步骤 | |
| 5、免疫组化问题解答 | |
| 6、Western Blotting 操作步骤 | |
| 7、Western Blotting 问题解答 | |
| 8、关于肽链的设计 | |
| 9、多肽的溶解与保存 | |
| 10、酶标抗体效价测定程序 | |