扫码关注公众号           扫码咨询技术支持           扫码咨询技术服务
  
客服热线:400-901-9800  客服QQ:4009019800  技术答疑  技术支持  质量反馈  关于我们  联系我们
产品中心-北京博奥森生物技术有限公司
首页 > 产品中心 > 一抗 > 产品信息
Golgi Complex Rabbit pAb (bs-13485R)  
订购热线:400-901-9800
订购邮箱:sales@bioss.com.cn
订购QQ:  400-901-9800
技术支持:techsupport@bioss.com.cn
50ul/1180.00元
100ul/1980.00元
200ul/2800.00元
大包装/询价

产品编号 bs-13485R
英文名称 Golgi Complex Rabbit pAb
中文名称 高尔基复合体CFR1抗体
别    名 AI593353; AW537898; CFR 1; CFR-1; CFR1; Cysteine rich fibroblast growth factor receptor; Cysteine-rich fibroblast growth factor receptor; DKFZp686L08213; E selectin ligand 1; E-selectin ligand 1; ESL 1; ESL-1; ESL1; FLJ23319; FLJ23967; FLJ32797; GLG1; Golgi apparatus protein 1; Golgi sialoglycoprotein MG 160; Golgi sialoglycoprotein MG-160; GSLG1_HUMAN; MG 160; MG160; Selel; Slectin, endothelial cell, ligand.  
研究领域 细胞生物  细胞类型标志物  
抗体来源 Rabbit
克隆类型 Polyclonal
克 隆 号
交叉反应 Mouse (predicted: Human,Rat,Rabbit,Pig,Sheep,Chicken,Horse)
产品应用 IHC-P=1:100-500,IHC-F=1:100-500,IF=1:100-500
not yet tested in other applications.
optimal dilutions/concentrations should be determined by the end user.
理论分子量 131 kDa
检测分子量
细胞定位 细胞浆 细胞膜 
性    状 Liquid
浓    度 1mg/ml
免 疫 原 KLH conjugated synthetic peptide derived from human Golgi Complex: 321-420/1179 <Extracellular>
亚    型 IgG
纯化方法 affinity purified by Protein A
缓 冲 液 0.01M TBS (pH7.4) with 1% BSA, 0.02% Proclin300 and 50% Glycerol.
保存条件 Shipped at 4℃. Store at -20℃ for one year. Avoid repeated freeze/thaw cycles.
注意事项 This product as supplied is intended for research use only, not for use in human, therapeutic or diagnostic applications.
PubMed PubMed
产品介绍 Binds fibroblast growth factor and E-selectin (cell-adhesion lectin on endothelial cells mediating the binding of neutrophils).

Function:
Binds fibroblast growth factor and E-selectin (cell-adhesion lectin on endothelial cells mediating the binding of neutrophils).

Subcellular Location:
Golgi apparatus membrane.

Tissue Specificity:
Widely expressed. Highest levels in pancreas, skeletal muscle, placenta, heart, testis and ovary. Also found in the kidney, liver, lung and brain.

Post-translational modifications:
Fucosylation is essential for binding to E-selectin.
N-glycosylated. Contains sialic acid residues.

DISEASE:
Expressed both in adult and fetal tissues.

Similarity:
Contains 16 Cys-rich GLG1 repeats.

SWISS:
Q92896

Gene ID:
2734

Database links:

Entrez Gene: 396492 Chicken

Entrez Gene: 2734 Human

Entrez Gene: 20340 Mouse

Omim: 600753 Human

SwissProt: Q02391 Chicken

SwissProt: Q92896 Human

SwissProt: Q61543 Mouse

Unigene: 109731 Human

Unigene: 276271 Mouse

Unigene: 440619 Mouse



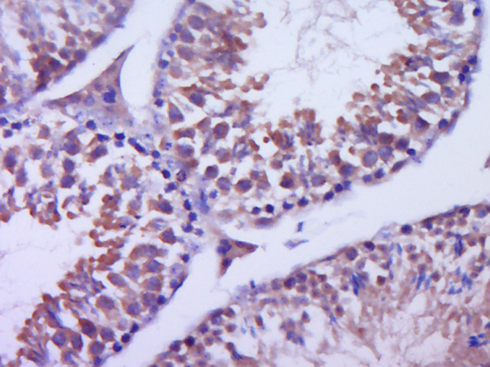
产品图片
Paraformaldehyde-fixed, paraffin embedded (Mouse testis); Antigen retrieval by boiling in sodium citrate buffer (pH6.0) for 15min; Block endogenous peroxidase by 3% hydrogen peroxide for 20 minutes; Blocking buffer (normal goat serum) at 37°C for 30min; Antibody incubation with (Golgi Complex) Polyclonal Antibody, Unconjugated (bs-13485R) at 1:400 overnight at 4°C, followed by operating according to SP Kit(Rabbit) (sp-0023) instructionsand DAB staining.
版权所有 2004-2026 www.bioss.com.cn 北京博奥森生物技术有限公司
通过国际质量管理体系ISO 9001:2015 GB/T 19001-2016    证书编号: 00124Q34771R2M/1100
通过国际医疗器械-质量管理体系ISO 13485:2016 GB/T 42061-2022     证书编号: CQC24QY20047R0M/1100
京ICP备05066980号-1         京公网安备110107000727号