扫码关注公众号           扫码咨询技术支持           扫码咨询技术服务
  
客服热线:400-901-9800  客服QQ:4009019800  技术答疑  技术支持  质量反馈  人才招聘  关于我们  联系我们
产品中心-北京博奥森生物技术有限公司
首页 > 产品中心 > 一抗 > 产品信息
Sclerostin Rabbit pAb (bs-10200R)  
订购热线:400-901-9800
订购邮箱:sales@bioss.com.cn
订购QQ:  400-901-9800
技术支持:techsupport@bioss.com.cn
50ul/1180.00元
100ul/1980.00元
200ul/2800.00元
大包装/询价

产品编号 bs-10200R
英文名称 Sclerostin Rabbit pAb
中文名称 骨形态发生抑制蛋白SOST抗体
别    名 CDD; DAND6; SOST1; VBCH; 5430411E23Rik; SOST_HUMAN; SOST; SOST_MOUSE; SOST_RAT;   
Specific References  (5)     |     bs-10200R has been referenced in 5 publications.
[IF=8.728] Yoo-Sung Nam. et al. Sclerostin in Periodontal Ligament: Homeostatic Regulator in Biophysical Force-Induced Tooth Movement. J CLIN PERIODONTOL. 2022 Apr 03  IF ;  Rat.  
[IF=8.213] Yiqi Yanget al. Bioprinting of an osteocyte network for biomimetic mineralization. Biofabrication . 2020 Jul 29;12(4):045013.  ICC ;  mouse.  
[IF=4.12] Diao et al. The Microdamage and Expression of Sclerostin in Peri-implant Bone under One-time Shock Force Generated by Impact. (2017) Sci.Rep. 7:6508  IF ;  Human, Mouse, Rat, Dog, Pig, Cow, Horse, Rabbit, Sheep,.  
[IF=3.04] Zhang C et al. FOXO1 Mediates Advanced Glycation End Products Induced Mouse Osteocyte-Like MLO-Y4 Cell Apoptosis and Dysfunctions. Journal of Diabetes Research.2019, Article ID 6757428.  WB ;  Mouse.  
[IF=0] Surowiec RK et al. A Xenograft Model to Evaluate the Bone Forming Effects of Sclerostin Antibody in Human Bone Derived from Pediatric Osteogenesis Imperfecta Patients. Bone. 2020 Jan;130:115118.  IHF-P ;  Human&Mouse.  
研究领域 细胞生物  信号转导  生长因子和激素  
抗体来源 Rabbit
克隆类型 Polyclonal
克 隆 号
交叉反应 Human,Rat (predicted: Mouse,Rabbit,Pig,Sheep,Cow,Dog,Horse)
产品应用 WB=1:500-2000,IHC-P=1:100-500,IHC-F=1:100-500,IF=1:100-500
not yet tested in other applications.
optimal dilutions/concentrations should be determined by the end user.
理论分子量 21 kDa
检测分子量 21
细胞定位 细胞浆 
性    状 Liquid
浓    度 1mg/ml
免 疫 原 KLH conjugated synthetic peptide derived from human Sclerostin: 121-180/213 
亚    型 IgG
纯化方法 affinity purified by Protein A
缓 冲 液 0.01M TBS (pH7.4) with 1% BSA, 0.02% Proclin300 and 50% Glycerol.
保存条件 Shipped at 4℃. Store at -20℃ for one year. Avoid repeated freeze/thaw cycles.
注意事项 This product as supplied is intended for research use only, not for use in human, therapeutic or diagnostic applications.
PubMed PubMed
产品介绍 Negative regulator of bone growth.Sclerostin (SOST) is a bone morphogenetic protein (BMP) antagonist, leading to the activation of BMP signaling. It negatively regulates the formation of bone by repressing the differentiation and/or function of osteoblasts induced by BMPs. It has been shown that Sclerostin binds BMP-5, -6, and -7 with high affinity and BMP-2 and -4 with low affinity. The noggin-sclerostin protein complex represents a novel mechanism for the fine-tuning of BMP activity in bone homeostasis. Evidence is accumulating that one of the important mechanisms of bone regulation by sclerostin is the modulation of Wnt/Beta-catenin signaling. Sclerostin also rapidly activated ERK-1/2 MAPK signaling, indicating the involvement of additional signaling pathways

Function:
Negative regulator of bone growth that acts through inhibition of Wnt signaling and bone formation.

Subunit:
Interacts with LRP4 (via the extracellular domain); the interaction facilitates the inhibition of Wnt signaling. Interacts with LRP5 (via the first two YWTD-EGF repeat domains); the interaction inhibits Wnt-mediated signaling. Interacts with LRP6.

Subcellular Location:
Secreted.

Tissue Specificity:
Widely expressed at low levels with highest levels in bone, cartilage, kidney, liver, bone marrow and primary osteeoblasts differentiated for 21 days.

DISEASE:
Defects in SOST are the cause of sclerosteosis (SOST) [MIM:269500]; also known as cortical hyperostosis with syndactyly. SOST is an autosomal recessive sclerosing bone dysplasia characterized by a generalized hyperostosis and sclerosis leading to a markedly thickened skull, with mandible, ribs, clavicles and all long bones also being affected. Due to narrowing of the foramina of the cranial nerves, facial nerve palsy, hearing loss and atrophy of the optic nerves can occur. Sclerosteosis is clinically and radiologically very similar to van Buchem disease, mainly differentiated by hand malformations and a large stature in sclerosteosis patients.
Note=A 52 kb deletion downstream of SOST results in SOST transcription suppression and is a cause of van Buchem disease (VBCH) [MIM:239100]; also known as hyperostosis corticalis generalisata. VBCH is an autosomal recessive sclerosing bone dysplasia characterized by endosteal hyperostosis of the mandible, skull, ribs, clavicles, and diaphyses of the long bones. Affected patients present a symmetrically increased thickness of bones, most frequently found as an enlarged jawbone, but also an enlargement of the skull, ribs, diaphysis of long bones, as well as tubular bones of hands and feet. The clinical consequence of increased thickness of the skull include facial nerve palsy causing hearing loss, visual problems, neurological pain, and, very rarely, blindness as a consequence of optic atrophy. Serum alkaline phosphatase levels are elevated.

Similarity:
Belongs to the sclerostin family. Contains 1 CTCK (C-terminal cystine knot-like) domain.

SWISS:
Q9BQB4

Gene ID:
50964

Database links:

Entrez Gene: 50964 Human

Entrez Gene: 74499 Mouse

Entrez Gene: 80722 Rat

Omim: 605740 Human

SwissProt: Q9BQB4 Human

SwissProt: Q99P68 Mouse

SwissProt: Q99P67 Rat

Unigene: 349204 Human

Unigene: 265602 Mouse

Unigene: 95369 Rat



产品图片
Sample: Cartilage(Rat) Lysate at 40 ug Primary: Anti-Sclerostin (bs-10200R) at 1/1000 dilution Secondary: IRDye800CW Goat Anti-Rabbit IgG at 1/20000 dilution Predicted band size: 21 kD Observed band size: 21 kD
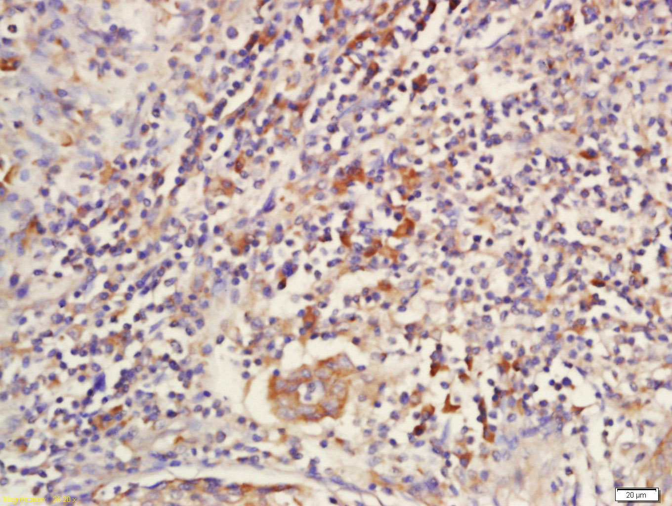
Tissue/cell: human laryngocarcinoma; 4% Paraformaldehyde-fixed and paraffin-embedded; Antigen retrieval: citrate buffer ( 0.01M, pH 6.0 ), Boiling bathing for 15min; Block endogenous peroxidase by 3% Hydrogen peroxide for 30min; Blocking buffer (normal goat serum,C-0005) at 37℃ for 20 min; Incubation: Anti-Sclerostin Polyclonal Antibody, Unconjugated(bs-10200R) 1:200, overnight at 4°C, followed by conjugation to the secondary antibody(SP-0023) and DAB(C-0010) staining
Paraformaldehyde-fixed, paraffin embedded (Human kidney); Antigen retrieval by boiling in sodium citrate buffer (pH6.0) for 15min; Block endogenous peroxidase by 3% hydrogen peroxide for 20 minutes; Blocking buffer (normal goat serum) at 37°C for 30min; Antibody incubation with (Sclerostin) Polyclonal Antibody, Unconjugated (bs-10200R) at 1:200 overnight at 4°C, followed by operating according to SP Kit(Rabbit) (sp-0023) instructionsand DAB staining.
Paraformaldehyde-fixed, paraffin embedded (Human kidney); Antigen retrieval by boiling in sodium citrate buffer (pH6.0) for 15min; Block endogenous peroxidase by 3% hydrogen peroxide for 20 minutes; Blocking buffer (normal goat serum) at 37°C for 30min; Antibody incubation with (Sclerostin) Polyclonal Antibody, Unconjugated (bs-10200R) at 1:200 overnight at 4°C, followed by operating according to SP Kit(Rabbit) (sp-0023) instructionsand DAB staining.
版权所有 2004-2026 www.bioss.com.cn 北京博奥森生物技术有限公司
通过国际质量管理体系ISO 9001:2015 GB/T 19001-2016    证书编号: 00124Q34771R2M/1100
通过国际医疗器械-质量管理体系ISO 13485:2016 GB/T 42061-2022     证书编号: CQC24QY20047R0M/1100
京ICP备05066980号-1         京公网安备110107000727号