扫码关注公众号           扫码咨询技术支持           扫码咨询技术服务
  
客服热线:400-901-9800  客服QQ:4009019800  技术答疑  技术支持  质量反馈  人才招聘  关于我们  联系我们
产品中心-北京博奥森生物技术有限公司
首页 > 产品中心 > 一抗 > 产品信息
GPR92 Rabbit pAb (bs-15366R)  
订购热线:400-901-9800
订购邮箱:sales@bioss.com.cn
订购QQ:  400-901-9800
技术支持:techsupport@bioss.com.cn
50ul/1180.00元
100ul/1980.00元
200ul/2800.00元
大包装/询价

产品编号 bs-15366R
英文名称 GPR92 Rabbit pAb
中文名称 G蛋白偶联受体GPR92蛋白抗体
别    名 GPR92; GPR93; KPG_010; LPA5; LPAR5_HUMAN; LPAR5; LPA receptor 5; LPA-5; G-protein coupled receptor 92; G-protein coupled receptor 93; lysophosphatidic acid receptor 5; G protein-coupled receptor 92  
Specific References  (4)     |     bs-15366R has been referenced in 4 publications.
[IF=9.77] Tang Y et al. PARP14 inhibits microglial activation via LPAR5 to promote post-stroke functional recoveryAutophagy.2020 Dec 15;1-18.  WB ;  Mouse.  
[IF=2.942] Xue Gang. et al. Identification of key genes of papillary thyroid carcinoma by integrated bioinformatics analysis. Bioscience Rep. 2020 Aug;40(8):BSR20201555  WB ;  Human.  
[IF=2.903] Xuling Zhang. et al. Effects of lysophosphatidic acid receptor 5 on NLRC4 inflammasome in brain tissues of transient cerebral ischemia/reperfusion rat:. Hum Exp Toxicol. 2022;():  IF ;  Rat.  
[IF=2.311] Bingsheng Yang. et al. Identification of prognostic biomarkers associated with metastasis and immune infiltration in osteosarcoma. Oncol Lett. 2021 Mar;21(3):1-1  IHC ;  Human.  
研究领域 细胞生物  免疫学  信号转导  G蛋白偶联受体  G蛋白信号  
抗体来源 Rabbit
克隆类型 Polyclonal
交叉反应 Human,Mouse,Rat (predicted: Rabbit)
产品应用 WB=1:500-2000,IHC-P=1:100-500,IHC-F=1:100-500,IF=1:100-500
not yet tested in other applications.
optimal dilutions/concentrations should be determined by the end user.
理论分子量 41kDa
检测分子量 46
细胞定位 细胞膜 
性    状 Liquid
浓    度 1mg/ml
免 疫 原 KLH conjugated synthetic peptide derived from human GPR92: 121-220/372 <Extracellular>
亚    型 IgG
纯化方法 affinity purified by Protein A
缓 冲 液 0.01M TBS (pH7.4) with 1% BSA, 0.02% Proclin300 and 50% Glycerol.
保存条件 Shipped at 4℃. Store at -20℃ for one year. Avoid repeated freeze/thaw cycles.
注意事项 This product as supplied is intended for research use only, not for use in human, therapeutic or diagnostic applications.
PubMed PubMed
产品介绍 This gene encodes a member of the rhodopsin class of G protein-coupled transmembrane receptors. This protein transmits extracellular signals from lysophosphatidic acid to cells through heterotrimeric G proteins and mediates numerous cellular processes. Many G protein receptors serve as targets for pharmaceutical drugs. Transcript variants of this gene have been described.[provided by RefSeq, Dec 2008]

Function:
Receptor for lysophosphatidic acid (LPA), a mediator of diverse cellular activities.

Subcellular Location:
Cell membrane; Multi-pass membrane protein.

Tissue Specificity:
Not expressed in frontal cortex, basal forebrain, caudate putamen, thalamus, or hippocampus.

Similarity:
Belongs to the G-protein coupled receptor 1 family.

SWISS:
Q9H1C0

Gene ID:
57121

Database links:

Entrez Gene: 57121 Human

Omim: 606926 Human

SwissProt: Q9H1C0 Human

Unigene: 155538 Human



产品图片
Sample: Lane 1: Mouse Cerebrum tissue lysates Lane 2: Rat Cerebrum tissue lysates Lane 3: Human K562 cell lysates Lane 4: Human A431 cell lysates Lane 5: Human Jurkat cell lysates Primary: Anti-GPR92 (bs-15366R) at 1/1000 dilution Secondary: IRDye800CW Goat Anti-Rabbit IgG at 1/20000 dilution Predicted band size: 41 kDa Observed band size: 46 kDa
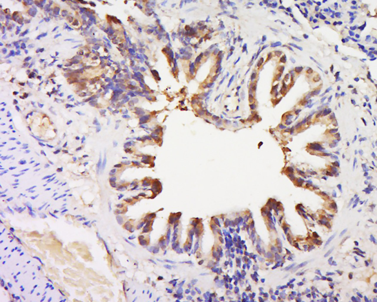
Tissue/cell: rat brain tissue; 4% Paraformaldehyde-fixed and paraffin-embedded; Antigen retrieval: citrate buffer ( 0.01M, pH 6.0 ), Boiling bathing for 15min; Block endogenous peroxidase by 3% Hydrogen peroxide for 30min; Blocking buffer (normal goat serum,C-0005) at 37℃ for 20 min; Incubation: Anti-GPR92 Polyclonal Antibody, Unconjugated(bs-15366R) 1:500, overnight at 4°C, followed by conjugation to the secondary antibody(SP-0023) and DAB(C-0010) staining
Tissue/cell: rat lung tissue; 4% Paraformaldehyde-fixed and paraffin-embedded; Antigen retrieval: citrate buffer ( 0.01M, pH 6.0 ), Boiling bathing for 15min; Block endogenous peroxidase by 3% Hydrogen peroxide for 30min; Blocking buffer (normal goat serum,C-0005) at 37℃ for 20 min; Incubation: Anti-GPR92 Polyclonal Antibody, Unconjugated(bs-15366R) 1:500, overnight at 4°C, followed by conjugation to the secondary antibody(SP-0023) and DAB(C-0010) staining
版权所有 2004-2026 www.bioss.com.cn 北京博奥森生物技术有限公司
通过国际质量管理体系ISO 9001:2015 GB/T 19001-2016    证书编号: 00124Q34771R2M/1100
通过国际医疗器械-质量管理体系ISO 13485:2016 GB/T 42061-2022     证书编号: CQC24QY20047R0M/1100
京ICP备05066980号-1         京公网安备110107000727号