扫码关注公众号           扫码咨询技术支持           扫码咨询技术服务
  
客服热线:400-901-9800  客服QQ:4009019800  技术答疑  技术支持  质量反馈  关于我们  联系我们
产品中心-北京博奥森生物技术有限公司
首页 > 产品中心 > 一抗 > 产品信息
GPR91 Rabbit pAb (bs-15392R)  
订购热线:400-901-9800
订购邮箱:sales@bioss.com.cn
订购QQ:  400-901-9800
技术支持:techsupport@bioss.com.cn
50ul/1180.00元
100ul/1980.00元
200ul/2800.00元
大包装/询价

产品编号 bs-15392R
英文名称 GPR91 Rabbit pAb
中文名称 G蛋白偶联受体GPR91蛋白抗体
别    名 G protein coupled receptor 91; G-protein coupled receptor 91; GPR 91; P2Y purinoceptor 1; P2Y purinoceptor 1-like; Purinergic Receptor P2U2; Succinate receptor; Succinate receptor 1; SUCN R1; SUCNR 1; SUCNR1; SUCR1_HUMAN.  
研究领域 细胞生物  免疫学  信号转导  G蛋白偶联受体  G蛋白信号  
抗体来源 Rabbit
克隆类型 Polyclonal
克 隆 号
交叉反应 Human,Mouse
产品应用 WB=1:500-2000,IHC-P=1:100-500,IHC-F=1:100-500,IF=1:100-500
not yet tested in other applications.
optimal dilutions/concentrations should be determined by the end user.
理论分子量 39 kDa
检测分子量
细胞定位 细胞膜 
性    状 Liquid
浓    度 1mg/ml
免 疫 原 KLH conjugated synthetic peptide derived from human GPR91: 131-334/334 <Extracellular>
亚    型 IgG
纯化方法 affinity purified by Protein A
缓 冲 液 0.01M TBS (pH7.4) with 1% BSA, 0.02% Proclin300 and 50% Glycerol.
保存条件 Shipped at 4℃. Store at -20℃ for one year. Avoid repeated freeze/thaw cycles.
注意事项 This product as supplied is intended for research use only, not for use in human, therapeutic or diagnostic applications.
PubMed PubMed
产品介绍 This gene encodes a G-protein-coupled receptor for succinate, an intermediate molecule of the citric acid cycle. It is involved in the promotion of hematopoietic progenitor cell development, and it has a potential role in renovascular hypertension which has known correlations to renal failure, diabetes and atherosclerosis. [provided by RefSeq, Oct 2009]

Function:
Receptor for succinate.

Subcellular Location:
Cell membrane; Multi-pass membrane protein.

Tissue Specificity:
Expressed specifically in kidney.

Similarity:
Belongs to the G-protein coupled receptor 1 family.

SWISS:
Q9BXA5

Gene ID:
56670

Database links:

Entrez Gene: 56670 Human

Entrez Gene: 84112 Mouse

Entrez Gene: 408199 Rat

Omim: 606381 Human

SwissProt: Q9BXA5 Human

SwissProt: Q99MT6 Mouse

SwissProt: Q6IYF9 Rat

Unigene: 279575 Human

Unigene: 125110 Mouse

Unigene: 124512 Rat



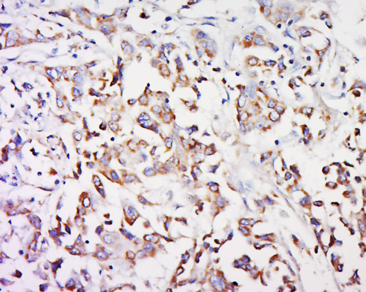
产品图片
Sample: HepG2 Cell (Human) Lysate at 40 ug Primary: Anti-GPR91(bs-15392R)at 1/300 dilution Secondary: IRDye800CW Goat Anti-Rabbit IgG at 1/20000 dilution Predicted band size: 39kD Observed band size: 39kD
Protein: 1.kidney lyates(mo);2.liver lyates(mo); Primary: Rabbit Anti-GPR91 (bs-15392R) at 1:300; Secondary: 800CW Conjugated Goat (polyclonal) Anti-Rabbit IgG(H+L) at 1: 10000; Predicted band size:39 kD Observed band size:49 kD
Western blot analysis of extracts from Liver tissue(mo) using GPR91 Antibody.
Tissue/cell: human kidney tissue; 4% Paraformaldehyde-fixed and paraffin-embedded; Antigen retrieval: citrate buffer ( 0.01M, pH 6.0 ), Boiling bathing for 15min; Block endogenous peroxidase by 3% Hydrogen peroxide for 30min; Blocking buffer (normal goat serum,C-0005) at 37℃ for 20 min; Incubation: Anti-GPR91 Polyclonal Antibody, Unconjugated(bs-15392R) 1:600, overnight at 4°C, followed by conjugation to the secondary antibody(SP-0023) and DAB(C-0010) staining
Tissue/cell: human breast cancer; 4% Paraformaldehyde-fixed and paraffin-embedded; Antigen retrieval: citrate buffer ( 0.01M, pH 6.0 ), Boiling bathing for 15min; Block endogenous peroxidase by 3% Hydrogen peroxide for 30min; Blocking buffer (normal goat serum,C-0005) at 37℃ for 20 min; Incubation: Anti-GPR91 Polyclonal Antibody, Unconjugated(bs-15392R) 1:600, overnight at 4°C, followed by conjugation to the secondary antibody(SP-0023) and DAB(C-0010) staining
版权所有 2004-2026 www.bioss.com.cn 北京博奥森生物技术有限公司
通过国际质量管理体系ISO 9001:2015 GB/T 19001-2016    证书编号: 00124Q34771R2M/1100
通过国际医疗器械-质量管理体系ISO 13485:2016 GB/T 42061-2022     证书编号: CQC24QY20047R0M/1100
京ICP备05066980号-1         京公网安备110107000727号