扫码关注公众号           扫码咨询技术支持           扫码咨询技术服务
  
客服热线:400-901-9800  客服QQ:4009019800  技术答疑  技术支持  质量反馈  关于我们  联系我们
产品中心-北京博奥森生物技术有限公司
首页 > 产品中心 > 一抗 > 产品信息
HBS1L Rabbit pAb (bs-15420R)  
订购热线:400-901-9800
订购邮箱:sales@bioss.com.cn
订购QQ:  400-901-9800
技术支持:techsupport@bioss.com.cn
50ul/1180.00元
100ul/1980.00元
200ul/2800.00元
大包装/询价

产品编号 bs-15420R
英文名称 HBS1L Rabbit pAb
中文名称 hbs1样蛋白抗体
别    名 EF 1a; ERF3 similar protein; ERFS; HBS1; HBS1 like protein; HBS1L; Hsp70 subfamily B suppressor 1 like protein; KIAA1038; HBS1L_HUMAN.  
研究领域 干细胞  
抗体来源 Rabbit
克隆类型 Polyclonal
克 隆 号
交叉反应 Rat (predicted: Human,Mouse,Rabbit,Pig,Dog)
产品应用 IHC-P=1:100-500,IHC-F=1:100-500,IF=1:100-500
not yet tested in other applications.
optimal dilutions/concentrations should be determined by the end user.
理论分子量 75 kDa
检测分子量
细胞定位 细胞浆 
性    状 Liquid
浓    度 1mg/ml
免 疫 原 KLH conjugated synthetic peptide derived from human HBS1L: 101-200/684 
亚    型 IgG
纯化方法 affinity purified by Protein A
缓 冲 液 0.01M TBS (pH7.4) with 1% BSA, 0.02% Proclin300 and 50% Glycerol.
保存条件 Shipped at 4℃. Store at -20℃ for one year. Avoid repeated freeze/thaw cycles.
注意事项 This product as supplied is intended for research use only, not for use in human, therapeutic or diagnostic applications.
PubMed PubMed
产品介绍 HBS1L is a 684 amino acid protein that belongs to the GTP-binding elongation factor family and exists as multiple alternatively spliced isoforms. Expressed in kidney, brain, heart, placenta, liver, muscle and pancreas, HSB1L is thought to play a role in controlling fetal hemoglobin levels, specifically influencing platelet, monocyte and erythrocyte hemoglobin content. The gene encoding HBS1L maps to a locus on human chromosome 6 that is associated with sickle cell anemia and β-thalassemia, suggesting a role for HBS1L in the pathogenesis of blood disorders.

Tissue Specificity:
Detected in heart, brain, placenta, liver, muscle, kidney and pancreas.

Similarity:
Belongs to the GTP-binding elongation factor family.

SWISS:
Q9Y450

Gene ID:
10767

Database links:

Entrez Gene: 10767 Human

Entrez Gene: 56422 Mouse

Omim: 612450 Human

SwissProt: Q9Y450 Human

SwissProt: Q69ZS7 Mouse

Unigene: 378532 Human

Unigene: 25527 Mouse



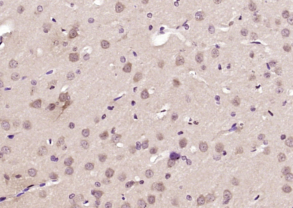
产品图片
Paraformaldehyde-fixed, paraffin embedded (rat brain); Antigen retrieval by boiling in sodium citrate buffer (pH6.0) for 15min; Block endogenous peroxidase by 3% hydrogen peroxide for 20 minutes; Blocking buffer (normal goat serum) at 37°C for 30min; Antibody incubation with (HBS1L) Polyclonal Antibody, Unconjugated (bs-15420R) at 1:200 overnight at 4°C, followed by operating according to SP Kit(Rabbit) (sp-0023) instructionsand DAB staining.
版权所有 2004-2026 www.bioss.com.cn 北京博奥森生物技术有限公司
通过国际质量管理体系ISO 9001:2015 GB/T 19001-2016    证书编号: 00124Q34771R2M/1100
通过国际医疗器械-质量管理体系ISO 13485:2016 GB/T 42061-2022     证书编号: CQC24QY20047R0M/1100
京ICP备05066980号-1         京公网安备110107000727号