扫码关注公众号           扫码咨询技术支持           扫码咨询技术服务
  
客服热线:400-901-9800  客服QQ:4009019800  技术答疑  技术支持  质量反馈  人才招聘  关于我们  联系我们
产品中心-北京博奥森生物技术有限公司
首页 > 产品中心 > 一抗 > 产品信息
chemerin Rabbit pAb (bs-10410R)  
订购热线:400-901-9800
订购邮箱:sales@bioss.com.cn
订购QQ:  400-901-9800
技术支持:techsupport@bioss.com.cn
50ul/1180.00元
100ul/1980.00元
200ul/2800.00元
大包装/询价

产品编号 bs-10410R
英文名称 chemerin Rabbit pAb
中文名称 趋化素抗体
别    名 HP10433; TIG2; 0610007L05Rik; RARR2_HUMAN; RARRES2; Chemerin; RAR-responsive protein TIG2; Tazarotene-induced gene 2 protein; RARR2_MOUSE; retinoic acid receptor responder 2; retinoic acid receptor responder (tazarotene induced) 2  
Specific References  (5)     |     bs-10410R has been referenced in 5 publications.
[IF=5.52] Gonzalvo-Feo, Safiye, et al. "Endothelial Cell–Derived Chemerin Promotes Dendritic Cell Transmigration." The Journal of Immunology (2014): 1302028.  Mouse.  
[IF=4.43] Akamata, Kaname, et al. "Increased expression of chemerin in endothelial cells due to Fli1 deficiency may contribute to the development of digital ulcers in systemic sclerosis." Rheumatology (2014): keu479.  IHC-P ;  Human.  
[IF=3.647] Lin Zhu. et al. Chemerin causes lipid metabolic imbalance and induces passive lipid accumulation in human hepatoma cell line via the receptor GPR1. Life Sci. 2021 Aug;278:119530  Human.  
[IF=3.448] Hanthazi A et al. Chemerin influences endothelin-and serotonin-induced pulmonary artery vasoconstriction in rats. Life Sci. 2019 Jun 16:116580.  IHC-P ;  Rat.  
[IF=2.13] Krautbauer, Sabrina, et al. "Chemerin is highly expressed in hepatocytes and is induced in non-alcoholic steatohepatitis liver." Experimental and molecular pathology (2013).  Mouse.  
研究领域 肿瘤  心血管  信号转导  脂蛋白  新陈代谢  
抗体来源 Rabbit
克隆类型 Polyclonal
交叉反应 Human,Mouse,Rat,Rabbit
产品应用 IHC-P=1:100-500,IHC-F=1:100-500,IF=1:100-500
not yet tested in other applications.
optimal dilutions/concentrations should be determined by the end user.
理论分子量 18kDa
细胞定位 分泌型蛋白 
性    状 Liquid
浓    度 1mg/ml
免 疫 原 KLH conjugated synthetic peptide derived from rabbit chemerin: 101-163/163 
亚    型 IgG
纯化方法 affinity purified by Protein A
缓 冲 液 0.01M TBS (pH7.4) with 1% BSA, 0.02% Proclin300 and 50% Glycerol.
保存条件 Shipped at 4℃. Store at -20℃ for one year. Avoid repeated freeze/thaw cycles.
注意事项 This product as supplied is intended for research use only, not for use in human, therapeutic or diagnostic applications.
PubMed PubMed
产品介绍 Chemerin, also known as retinoic acid receptor responder 2 (RARRES2) and tazarotene induced gene 2 (TIG2), is a chemoattractant protein for cells expressing G-protein-linked receptor chemokine-like receptor 1 (CMKLR1, ChemR23 or GPCR-DEZ). The protein is synthesized as a secreted precursor, prochemerin (18 kDa), which is poorly active. Upon proteolytic removal of the last six amino acids, prochemerin is converted into mature active chemerin (15-16 kDa) that acts as a strong and highly specific agonist of its receptor CMKLR1. Chemerin is a newly described adipokine with effects on adipocyte differnetiation and metabolism.

Subcellular Location:
Secreted (Potential).

Tissue Specificity:
Highly expressed in skin (basal and suprabasal layers of the epidermis, hair follicles and endothelial cells). Also found in pancreas, liver, spleen, prostate, ovary, small intestine and colon.

SWISS:
A0A5F9D8U1

Database links:

Entrez Gene: 5919 Human

Omim: 601973 Human

SwissProt: Q99969 Human

Unigene: 647064 Human



产品图片
Paraformaldehyde-fixed, paraffin embedded (Human liver cancer); Antigen retrieval by boiling in sodium citrate buffer (pH6.0) for 15min; Block endogenous peroxidase by 3% hydrogen peroxide for 20 minutes; Blocking buffer (normal goat serum) at 37°C for 30min; Antibody incubation with (chemerin) Polyclonal Antibody, Unconjugated (bs-10410R) at 1:400 overnight at 4°C, followed by operating according to SP Kit(Rabbit) (sp-0023) instructionsand DAB staining.
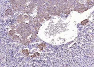
Paraformaldehyde-fixed, paraffin embedded (mouse adrenal gland); Antigen retrieval by boiling in sodium citrate buffer (pH6.0) for 15min; Block endogenous peroxidase by 3% hydrogen peroxide for 20 minutes; Blocking buffer (normal goat serum) at 37°C for 30min; Antibody incubation with (chemerin) Polyclonal Antibody, Unconjugated (bs-10410R) at 1:200 overnight at 4°C, followed by operating according to SP Kit(Rabbit) (sp-0023) instructionsand DAB staining.
Paraformaldehyde-fixed, paraffin embedded (rabbit intestine tissue); Antigen retrieval by boiling in sodium citrate buffer (pH6.0) for 15min; Block endogenous peroxidase by 3% hydrogen peroxide for 20 minutes; Blocking buffer (normal goat serum) at 37°C for 30min; Antibody incubation with (chemerin) Polyclonal Antibody, Unconjugated (bs-10410R) at 1:200 overnight at 4°C, followed by operating according to SP Kit(Rabbit) (sp-0023) instructionsand DAB staining.
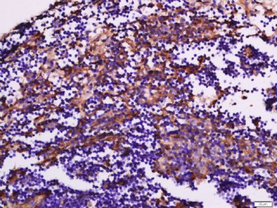
Paraformaldehyde-fixed, paraffin embedded (rabbit thymus tissue); Antigen retrieval by boiling in sodium citrate buffer (pH6.0) for 15min; Block endogenous peroxidase by 3% hydrogen peroxide for 20 minutes; Blocking buffer (normal goat serum) at 37°C for 30min; Antibody incubation with (chemerin) Polyclonal Antibody, Unconjugated (bs-10410R) at 1:200 overnight at 4°C, followed by operating according to SP Kit(Rabbit) (sp-0023) instructionsand DAB staining.
Paraformaldehyde-fixed, paraffin embedded (mouse adrenal gland); Antigen retrieval by boiling in sodium citrate buffer (pH6.0) for 15min; Block endogenous peroxidase by 3% hydrogen peroxide for 20 minutes; Blocking buffer (normal goat serum) at 37°C for 30min; Antibody incubation with (chemerin) Polyclonal Antibody, Unconjugated (bs-10410R) at 1:200 overnight at 4°C, followed by operating according to SP Kit(Rabbit) (sp-0023) instructionsand DAB staining.
Paraformaldehyde-fixed, paraffin embedded (rat adrenal gland); Antigen retrieval by boiling in sodium citrate buffer (pH6.0) for 15min; Block endogenous peroxidase by 3% hydrogen peroxide for 20 minutes; Blocking buffer (normal goat serum) at 37°C for 30min; Antibody incubation with (chemerin) Polyclonal Antibody, Unconjugated (bs-10410R) at 1:200 overnight at 4°C, followed by operating according to SP Kit(Rabbit) (sp-0023) instructionsand DAB staining.
版权所有 2004-2026 www.bioss.com.cn 北京博奥森生物技术有限公司
通过国际质量管理体系ISO 9001:2015 GB/T 19001-2016    证书编号: 00124Q34771R2M/1100
通过国际医疗器械-质量管理体系ISO 13485:2016 GB/T 42061-2022     证书编号: CQC24QY20047R0M/1100
京ICP备05066980号-1         京公网安备110107000727号