扫码关注公众号           扫码咨询技术支持           扫码咨询技术服务
  
客服热线:400-901-9800  客服QQ:4009019800  技术答疑  技术支持  质量反馈  关于我们  联系我们
产品中心-北京博奥森生物技术有限公司
首页 > 产品中心 > 一抗 > 产品信息
Bcl-2 alpha Rabbit pAb (bs-15533R)  
订购热线:400-901-9800
订购邮箱:sales@bioss.com.cn
订购QQ:  400-901-9800
技术支持:techsupport@bioss.com.cn
50ul/1180.00元
100ul/1980.00元
200ul/2800.00元
大包装/询价

产品编号 bs-15533R
英文名称 Bcl-2 alpha Rabbit pAb
中文名称 Bcl2 alpha蛋白抗体
别    名 Apoptosis regulator Bcl2; B cell CLL; B cell lymphoma 2; B cell lymphoma protein 2 alpha isoform; B cell lymphoma protein 2; B-cell CLL/lymphoma 2; B-cell leukemia/lymphoma 2; Bcl 2; bcl2a; Leukemia/lymphoma, B-cell, 2; Oncogene B cell leukemia 2; Oncogene B-cell leukemia 2.  
Specific References  (1)     |     bs-15533R has been referenced in 1 publications.
[IF=3.063] Mengmeng Yu. et al. Taurine attenuates gossypol-induced apoptosis of C2C12 mouse myoblasts via the GPR87-AMPK/AKT signaling. Amino Acids. 2020 Sep;52(9):1285-1298  WB ;  Mouse.  
研究领域 肿瘤  细胞生物  免疫学  信号转导  细胞凋亡  新陈代谢  线粒体  
抗体来源 Rabbit
克隆类型 Polyclonal
克 隆 号
交叉反应 Human (predicted: Rabbit,Pig,Sheep,Cow,Dog,Horse)
产品应用 WB=1:500-2000,IHC-P=1:100-500,IHC-F=1:100-500,IF=1:100-500,Flow-Cyt=1ug/Test
not yet tested in other applications.
optimal dilutions/concentrations should be determined by the end user.
理论分子量 26 kDa
检测分子量
细胞定位 细胞核 细胞浆 线粒体
性    状 Liquid
浓    度 1mg/ml
免 疫 原 KLH conjugated synthetic peptide derived from human Bcl-2 alpha: 51-150/239 
亚    型 IgG
纯化方法 affinity purified by Protein A
缓 冲 液 0.01M TBS (pH7.4) with 1% BSA, 0.02% Proclin300 and 50% Glycerol.
保存条件 Shipped at 4℃. Store at -20℃ for one year. Avoid repeated freeze/thaw cycles.
注意事项 This product as supplied is intended for research use only, not for use in human, therapeutic or diagnostic applications.
PubMed PubMed
产品介绍 This gene encodes an integral outer mitochondrial membrane protein that blocks the apoptotic death of some cells such as lymphocytes. Constitutive expression of BCL2, such as in the case of translocation of BCL2 to Ig heavy chain locus, is thought to be the cause of follicular lymphoma. Two transcript variants, produced by alternate splicing, differ in their C-terminal ends. [provided by RefSeq, Jul 2008].

SWISS:
P10415

Gene ID:
596

Database links:

Entrez Gene: 596 Human

Omim: 151430 Human

SwissProt: P10415 Human

Unigene: 150749 Human

GenBank: ABX60202




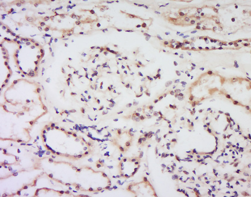
产品图片
Sample: Lane 1: Recombinant human Bcl-2 protein, C-His Primary: Anti- Bcl-2 alpha (bs-15533R) at 1/1000 dilution Secondary: IRDye800CW Goat Anti-Rabbit IgG at 1/20000 dilution Predicted band size: 26 kDa Observed band size: 26 kDa
Tissue/cell: Human kidney tissue; 4% Paraformaldehyde-fixed and paraffin-embedded; Antigen retrieval: citrate buffer ( 0.01M, pH 6.0 ), Boiling bathing for 15min; Block endogenous peroxidase by 3% Hydrogen peroxide for 30min; Blocking buffer (normal goat serum,C-0005) at 37℃ for 20 min; Incubation: Anti-Bcl-2 Polyclonal Antibody, Unconjugated(bs-15533R) 1:200, overnight at 4°C, followed by conjugation to the secondary antibody(SP-0023) and DAB(C-0010) staining
Blank control:HL-60. Primary Antibody (green line): Rabbit Anti-Bcl-2 alpha antibody (bs-15533R) Dilution: 1μg /10^6 cells; Isotype Control Antibody (orange line): Rabbit IgG . Secondary Antibody : Goat anti-rabbit IgG-AF488 Dilution: 1μg /test. Protocol The cells were fixed with 4% PFA (10min at room temperature)and then permeabilized with 0.1%PBST for 20 min at room temperature. The cells were then incubated in 5%BSA to block non-specific protein-protein interactions for 30 min at room temperature .Cells stained with Primary Antibody for 30 min at room temperature. The secondary antibody used for 40 min at room temperature. Acquisition of 20,000 events was performed.
版权所有 2004-2026 www.bioss.com.cn 北京博奥森生物技术有限公司
通过国际质量管理体系ISO 9001:2015 GB/T 19001-2016    证书编号: 00124Q34771R2M/1100
通过国际医疗器械-质量管理体系ISO 13485:2016 GB/T 42061-2022     证书编号: CQC24QY20047R0M/1100
京ICP备05066980号-1         京公网安备110107000727号