扫码关注公众号           扫码咨询技术支持           扫码咨询技术服务
  
客服热线:400-901-9800  客服QQ:4009019800  技术答疑  技术支持  质量反馈  关于我们  联系我们
产品中心-北京博奥森生物技术有限公司
首页 > 产品中心 > 一抗 > 产品信息
TEM8 Rabbit pAb (bs-15583R)  
订购热线:400-901-9800
订购邮箱:sales@bioss.com.cn
订购QQ:  400-901-9800
技术支持:techsupport@bioss.com.cn
50ul/1180.00元
100ul/1980.00元
200ul/2800.00元
大包装/询价

产品编号 bs-15583R
英文名称 TEM8 Rabbit pAb
中文名称 肿瘤血管内皮标志物8抗体
别    名 Anthrax toxin receptor 1; Anthrax toxin receptor 1 precursor; ANTXR 1; ANTXR1; ATR; TEM-8; TEM 8; Tumor Endothelial Marker 8; Tumor endothelial marker 8 precursor; ANTR1_HUMAN; Anthrax toxin receptor-1; FLJ11298; FLJ21776.  
Specific References  (2)     |     bs-15583R has been referenced in 2 publications.
[IF=3.53] Minmin Wang. et al. Infectious recombinant Senecavirus A expressing novel reporter proteins. 2021 Mar 03  WB ;  Human.  
[IF=2.19] Taguchi K et al. Isolation of tumor endothelial cells from murine cancer. (2018)Journal of Immunological Methods. Nov 3.  IF ;  Mouse.  
研究领域 心血管  细胞生物  信号转导  血管内皮细胞  
抗体来源 Rabbit
克隆类型 Polyclonal
克 隆 号
交叉反应 Human,Mouse (predicted: Rat,Rabbit)
产品应用 WB=1:500-2000,IHC-P=1:100-500,IHC-F=1:100-500,IF=1:100-500
not yet tested in other applications.
optimal dilutions/concentrations should be determined by the end user.
理论分子量 63 kDa
检测分子量
细胞定位 细胞膜 
性    状 Liquid
浓    度 1mg/ml
免 疫 原 KLH conjugated synthetic peptide derived from human TEM8: 201-300/564 <Extracellular>
亚    型 IgG
纯化方法 affinity purified by Protein A
缓 冲 液 0.01M TBS (pH7.4) with 1% BSA, 0.02% Proclin300 and 50% Glycerol.
保存条件 Shipped at 4℃. Store at -20℃ for one year. Avoid repeated freeze/thaw cycles.
注意事项 This product as supplied is intended for research use only, not for use in human, therapeutic or diagnostic applications.
PubMed PubMed
产品介绍 This gene encodes a type I transmembrane protein and is a tumor-specific endothelial marker that has been implicated in colorectal cancer. The encoded protein has been shown to also be a docking protein or receptor for Bacillus anthracis toxin, the causative agent of the disease, anthrax. The binding of the protective antigen (PA) component, of the tripartite anthrax toxin, to this receptor protein mediates delivery of toxin components to the cytosol of cells. Once inside the cell, the other two components of anthrax toxin, edema factor (EF) and lethal factor (LF) disrupt normal cellular processes. Three alternatively spliced variants that encode different protein isoforms have been described. [provided by RefSeq, Oct 2008]

Function:
Plays a role in cell attachment and migration. Interacts with extracellular matrix proteins and with the actin cytoskeleton. Mediates adhesion of cells to type 1 collagen and gelatin, reorganization of the actin cytoskeleton and promotes cell spreading. Plays a role in the angiogenic response of cultured umbilical vein endothelial cells.

Subunit:
Interacts with gelatin and type 1 collagen. Interacts with the actin cytoskeleton. Binds to the protective antigen (PA) of Bacillus anthracis. Binding does not occur in the presence of calcium.

Subcellular Location:
Cell membrane; Single-pass type I membrane protein. Cell projection, lamellipodium membrane; Single-pass type I membrane protein. Cell projection, filopodium membrane; Single-pass type I membrane protein. Note=At the membrane of lamellipodia and at the tip of actin-enriched filopodia. Colocalizes with actin at the base of lamellipodia.

Tissue Specificity:
Detected in umbilical vein endothelial cells (at protein level). Highly expressed in tumor endothelial cells.

DISEASE:
Defects in ANTXR1 are associated with susceptibility to hemangioma capillary infantile (HCI) [MIM:602089]. HCI are benign, highly proliferative lesions involving aberrant localized growth of capillary endothelium. They are the most common tumor of infancy, occurring in up to 10% of all births. Hemangiomas tend to appear shortly after birth and show rapid neonatal growth for up to 12 months characterized by endothelial hypercellularity and increased numbers of mast cells. This phase is followed by slow involution at a rate of about 10% per year and replacement by fibrofatty stroma

Similarity:
Belongs to the ATR family.
Contains 1 VWFA domain.

SWISS:
Q9H6X2

Gene ID:
84168

Database links:

Entrez Gene: 84168 Human

Entrez Gene: 69538 Mouse

Entrez Gene: 362393 Rat

Omim: 606410 Human

SwissProt: Q9H6X2 Human

SwissProt: Q9CZ52 Mouse

SwissProt: Q0PMD2 Rat

Unigene: 165859 Human

Unigene: 232525 Mouse

Unigene: 41192 Rat



产品图片
Sample: Siha(Human) Cell Lysate at 30 ug Uterus (Mouse) Lysate at 40 ug Primary: Anti- TEM8 (bs-15583R) at 1/1000 dilution Secondary: IRDye800CW Goat Anti-Rabbit IgG at 1/20000 dilution Predicted band size: 59 kD Observed band size: 62 kD
Sample: Lane 1: Human A549 cell lysates Lane 2: Human HepG2 cell lysates Lane 3: Human SH-SY5Y cell lysates Lane 4: Human Hela cell lysates Lane 5: Human U2os cell lysates Primary: Anti-TEM8 (bs-15583R) at 1/1000 dilution Secondary: IRDye800CW Goat Anti-Rabbit IgG at 1/20000 dilution Predicted band size: 63 kD Observed band size: 61 kD
Sample: HepG2(Human) Cell Lysate at 30 ug K562(Human) Cell Lysate at 30 ug Primary: Anti- TEM8 (bs-15583R) at 1/1000 dilution Secondary: IRDye800CW Goat Anti-Rabbit IgG at 1/20000 dilution Predicted band size: 59 kD Observed band size: 62 kD
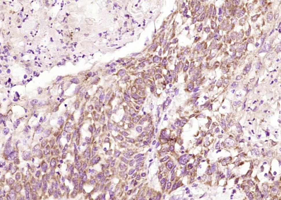
Paraformaldehyde-fixed, paraffin embedded (Human esophageal cancer); Antigen retrieval by boiling in sodium citrate buffer (pH6.0) for 15min; Block endogenous peroxidase by 3% hydrogen peroxide for 20 minutes; Blocking buffer (normal goat serum) at 37°C for 30min; Antibody incubation with (TEM8) Polyclonal Antibody, Unconjugated (bs-15583R) at 1:200 overnight at 4°C, followed by operating according to SP Kit(Rabbit) (sp-0023) instructionsand DAB staining.
版权所有 2004-2026 www.bioss.com.cn 北京博奥森生物技术有限公司
通过国际质量管理体系ISO 9001:2015 GB/T 19001-2016    证书编号: 00124Q34771R2M/1100
通过国际医疗器械-质量管理体系ISO 13485:2016 GB/T 42061-2022     证书编号: CQC24QY20047R0M/1100
京ICP备05066980号-1         京公网安备110107000727号