扫码关注公众号           扫码咨询技术支持           扫码咨询技术服务
  
客服热线:400-901-9800  客服QQ:4009019800  技术答疑  技术支持  质量反馈  关于我们  联系我们
产品中心-北京博奥森生物技术有限公司
首页 > 产品中心 > 一抗 > 产品信息
CLEC9A Rabbit pAb (bs-13620R)  
订购热线:400-901-9800
订购邮箱:sales@bioss.com.cn
订购QQ:  400-901-9800
技术支持:techsupport@bioss.com.cn
50ul/1180.00元
100ul/1980.00元
200ul/2800.00元
大包装/询价

产品编号 bs-13620R
英文名称 CLEC9A Rabbit pAb
中文名称 C型凝集素结构域家族9成员A抗体
别    名 C type lectin domain family 9, member A; C-type lectin domain family 9 member A; CLC9A_HUMAN; CLEC9A; DNGR1; HEEE9341; PRO34046; UNQ9341.  
研究领域 细胞生物  信号转导  干细胞  糖蛋白  
抗体来源 Rabbit
克隆类型 Polyclonal
克 隆 号
交叉反应 Mouse,Rat (predicted: Human)
产品应用 WB=1:500-2000,IHC-P=1:100-500,IHC-F=1:100-500,IF=1:100-500
not yet tested in other applications.
optimal dilutions/concentrations should be determined by the end user.
理论分子量 27 kDa
检测分子量
细胞定位 细胞膜 
性    状 Liquid
浓    度 1mg/ml
免 疫 原 KLH conjugated synthetic peptide derived from human CLEC9A: 101-200/241 
亚    型 IgG
纯化方法 affinity purified by Protein A
缓 冲 液 0.01M TBS (pH7.4) with 1% BSA, 0.02% Proclin300 and 50% Glycerol.
保存条件 Shipped at 4℃. Store at -20℃ for one year. Avoid repeated freeze/thaw cycles.
注意事项 This product as supplied is intended for research use only, not for use in human, therapeutic or diagnostic applications.
PubMed PubMed
产品介绍 The C-type lectin/C-type lectin-like domain (CTL/CTLD) superfamily consists of a variety of proteins that share a common protein fold and have diverse functions, including cell-cell signaling, cell adhesion, glycoprotein turnover and immune responses. CLEC-9A (C-type lectin domain family 9 member A), also known as DNGR1 (dendritic cell natural killer lectin group receptor 1), is a 241 amino acid single-pass type II membrane protein that contains one C-type lectin domain and belongs to the CTL/CTLD superfamily. Expressed in myeloid lineage cells, brain, spleen and thymus, CLEC-9A is a group V C-type lectin-like receptor (CTLR) that acts as an activation receptor. The gene encoding CLEC-9A maps to human chromosome 12p13.2 and mouse chromosome 6 F3.

Function:
Functions as an endocytic receptor on a small subset of myeloid cells specialized for the uptake and processing of material from dead cells. Recognizes filamentous form of actin in association with particular actin-binding domains of cytoskeletal proteins, including spectrin, exposed when cell membranes are damaged, and mediate the cross-presentation of dead-cell associated antigens in a Syk-dependent manner.

Subcellular Location:
Membrane.

Tissue Specificity:
In peripheral blood highly restricted on the surface of BDCA31(+) dendritic cells and on a small subset of CD14(+) and CD16(-) monocytes.

Post-translational modifications:
N-glycosylated.

Similarity:
Contains 1 C-type lectin domain.

Gene ID:
283420

Database links:

Entrez Gene: 283420 Human

Omim: 612252 Human

SwissProt: Q6UXN8 Human

Unigene: 531189 Human



产品图片
Sample: Spleen (Mouse) Lysate at 40 ug Primary: Anti- CLEC9A (bs-13620R) at 1/1000 dilution Secondary: IRDye800CW Goat Anti-Rabbit IgG at 1/20000 dilution Predicted band size: 27 kD Observed band size: 35 kD
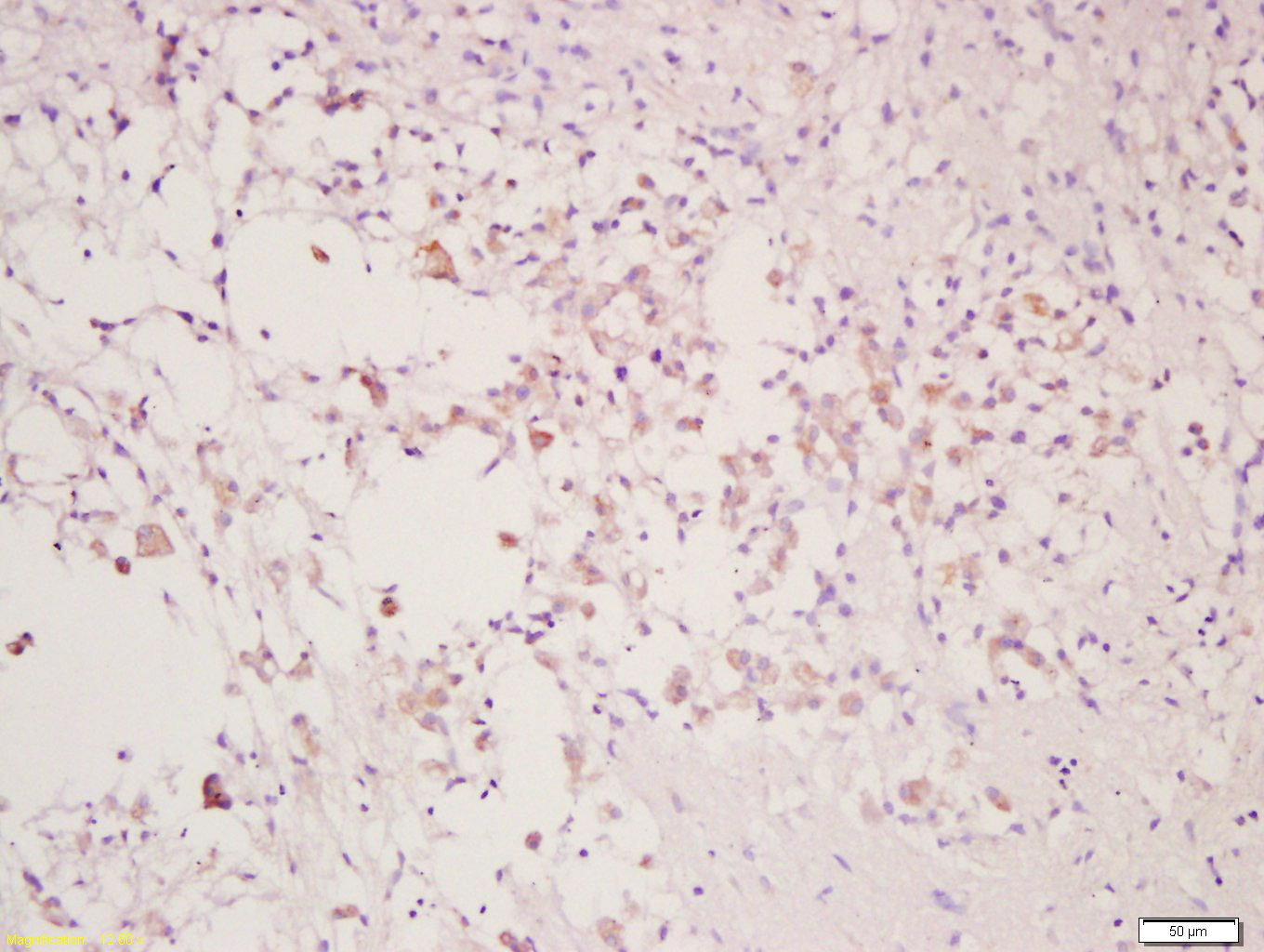
Tissue/cell: rat injured brain; 4% Paraformaldehyde-fixed and paraffin-embedded; Antigen retrieval: citrate buffer ( 0.01M, pH 6.0 ), Boiling bathing for 15min; Block endogenous peroxidase by 3% Hydrogen peroxide for 30min; Blocking buffer (normal goat serum,C-0005) at 37℃ for 20 min; Incubation: Anti-CLEC9A Polyclonal Antibody, Unconjugated(bs-13620R) 1:200, overnight at 4°C, followed by conjugation to the secondary antibody(SP-0023) and DAB(C-0010) staining
版权所有 2004-2026 www.bioss.com.cn 北京博奥森生物技术有限公司
通过国际质量管理体系ISO 9001:2015 GB/T 19001-2016    证书编号: 00124Q34771R2M/1100
通过国际医疗器械-质量管理体系ISO 13485:2016 GB/T 42061-2022     证书编号: CQC24QY20047R0M/1100
京ICP备05066980号-1         京公网安备110107000727号