扫码关注公众号           扫码咨询技术支持           扫码咨询技术服务
  
客服热线:400-901-9800  客服QQ:4009019800  技术答疑  技术支持  质量反馈  关于我们  联系我们
产品中心-北京博奥森生物技术有限公司
首页 > 产品中心 > 一抗 > 产品信息
[KO验证抗体] Vimentin Rabbit pAb (bs-8533R)  
订购热线:400-901-9800
订购邮箱:sales@bioss.com.cn
订购QQ:  400-901-9800
技术支持:techsupport@bioss.com.cn
50ul/1180.00元
100ul/1980.00元
200ul/2800.00元
大包装/询价

产品编号 bs-8533R
英文名称 [KO验证抗体] Vimentin Rabbit pAb
中文名称 波形蛋白抗体
别    名 VIM; FLJ36605; OTTHUMP00000019224; VIM; VIME_HUMAN; Vimentin.  
Specific References  (40)     |     bs-8533R has been referenced in 40 publications.
[IF=6.196] Cheng He. et al. Crosstalk of renal cell carcinoma cells and tumor-associated macrophages aggravates tumor progression by modulating muscleblind-like protein 2/B-cell lymphoma 2/beclin 1-mediated autophagy. CYTOTHERAPY. 2022 Oct;:  WB ;  Human.  
[IF=5.785] Guannan Le. et al. Ochratoxin A induced differentiation nephrotoxicity in renal tubule and glomeruli via autophagy differential regulation. ENVIRON TOXICOL PHAR. 2022 Oct;95:103973  WB, IF ;  Mouse, Human.  
[IF=5.714] Li D et al. Oxygenated Polycyclic aromatic hydrocarbons (Oxy-PAHs) facilitate lung cancer metastasis by epigenetically regulating the epithelial-to-mesenchymal transition (EMT). Environ Pollut. 2019 Sep 17;255(Pt 2):113261.  WB ;  Human.  
[IF=5.572] Liu H et al. Anti-tubulin agent vinorelbine inhibits metastasis of cancer cells by regulating epithelial-mesenchymal transition. Eur J Med Chem. 2020 Aug 15;200:112332.  WB ;  Human.  
[IF=5.5] Han LL et al. miR-650 Promotes the Metastasis and Epithelial-Mesenchymal Transition of Hepatocellular Carcinoma by Directly Inhibiting LATS2 Expression.(2018) Cell Physiol Biochem.51(3):1179-1192.  IHC-P ;  Human.  
[IF=5.158] Xu W et al. Carboxymethyl chitosan/gelatin/hyaluronic acid blended-membranes as epithelia transplanting scaffold for corneal wound healing. Carbohydr Polym. 2018 Jul 15;192:240-250.  ICC ;  Rabbit.  
[IF=4.996] Yang Dapeng. et al. Morphological and histochemical identification of telocytes in adult yak epididymis. SCI REP-UK. 2023 Mar;13(1):1-14  IHC ;  Bovine.  
[IF=4.679] Le G et al. Ochratoxin A induces glomerular injury through activating the ERK/NF-κB signaling pathway. Food Chem Toxicol. 2020 Sep;143:111516.  WB&ICF ;  Human.  
[IF=4.679] Le G et al. Ochratoxin A Induces Glomerular Injury Through Activating the ERK/NF-κB Signaling Pathway. Food Chem Toxicol. 2020 Jun 29;111516.  
[IF=4.679] Guannan Leet al. Ochratoxin A induces glomerular injury through activating the ERK/NF-κB signaling pathway. Food Chem Toxicol . 2020 Sep;143:111516.  WB ;  Human.  
[IF=4.522] Liu YR et al. Long noncoding RNA MEG3 regulates rheumatoid arthritis by targeting NLRC5. J Cell Physiol. 2019 Aug;234(8):14270-14284.  ICF ;  Rat.  
[IF=4.42] Gao, Lili, et al. "Glycyrrhizic acid alleviates bleomycin-induced pulmonary fibrosis in rats." Frontiers in pharmacology 6 (2015).  WB ;  Rat.  
[IF=4.379] Tian, Mengyue. et al. The protective effect of licochalcone A against inflammation injury of primary dairy cow claw dermal cells induced by lipopolysaccharide. Sci Rep-Uk. 2022 Jan;12(1):1-9  IF ;  Cow.  
[IF=4.344] Jing Guo. et al. The association between RGS4 and choline in cardiac fibrosis. Cell Commun Signal. 2021 Dec;19(1):1-13  IF ;  Mouse.  
[IF=4.292] Longfei Xiao. et al. Dihydrotestosterone through blockade of TGF-β/Smad signaling mediates the anti-fibrosis effect under hypoxia in canine Sertoli cells. J Steroid Biochem. 2022 Feb;216:106041  WB ;  Dog.  
[IF=4.14] He, D., et al. "Enhanced M1/M2 Macrophage Ratio Promotes Orthodontic Root Resorption." Journal of Dental Research (2014): 0022034514553817.  Rat.  
[IF=4.101] Haixiang Ding. et al. Ailanthone suppresses the activity of human colorectal cancer cells through the STAT3 signaling pathway. Int J Mol Med. 2022 Feb;49(2):1-11  WB ;  Human.  
[IF=3.849] Guannan Le. et al. Combination of zinc and selenium alleviates ochratoxin A-induced fibrosis via blocking ROS-dependent autophagy in HK-2 cells. J Trace Elem Med Bio. 2022 Jan;69:126881  WB ;  Human.  
[IF=3.481] Jinzhu Han. et al. Circ_0027599 elevates RUNX1 expression via sponging miR-21-5p on gastric cancer progression. 2021 May 25  WB ;  Human.  
[IF=3.434] Liu Yujuan. et al. Cysteine-Rich Intestinal Protein 1 Served as an Epithelial Ovarian Cancer Marker via Promoting Wnt/β-Catenin-Mediated EMT and Tumour Metastasis. Dis Markers. 2021;2021:3566749  WB ;  Human.  
[IF=3.405] Wu Y et al. MFAP5 promotes basal-like breast cancer progression by activating the EMT program.Cell Biosci. 2019 Mar 7;9:24.  WB ;  Human.  
[IF=3.366] Shu Qing Liu. et al. Depletion of Tgfbr2 in hepatocytes alleviates liver fibrosis and restores hepatic function in fibrotic mice. J DIGEST DIS. 2023 Feb;:  IF ;  Mouse.  
[IF=3.333] Han LL et al. miR-103 promotes the metastasis and EMT of hepatocellular carcinoma by directly inhibiting LATS2. (2018) Int J Oncol. Dec; 53(6): 2433–2444.  IHC ;  Human.  
[IF=3.333] Liu SQ et al. Sphingosine kinase 1 promotes the metastasis of colorectal cancer by inducing the epithelial‑mesenchymal transition mediated by the FAK/AKT/MMPs axis.Int. J. Oncol. 2018 Oct 25  IHC ;  Human.  
[IF=3.011] Boyu Chen. et al. Study of the effects of rabbit scleral fibroblasts on cellular biomechanical properties and MMP-2 expression using two modes of riboflavin/ultraviolet A wave collagen cross-linking. Exp Eye Res. 2021 Jul;:108695  ICC ;  Rabbit.  
[IF=2.985] Yun Liu. et al. Everolimus reduces postoperative arthrofibrosis in rabbits by inducing autophagy-mediated fibroblast apoptosis by PI3K/Akt/mTOR signaling pathway. Biochem Bioph Res Co. 2020 Nov;533:1  IF ;  Rabbit.  
[IF=2.838] Shan Huang. et al. Effects of Ocular Hypertension on Cytoskeleton and Stiffness of Trabecular Meshwork Cells in Rats. APPL SCI-BASEL. 2022 Jan;12(15):7862  WB ;  Rat.  
[IF=2.784] Zhou et al. Abnormal expression of fibrosis markers, estrogen receptor α and stromal derived factor‑1/chemokine (C‑X‑C motif) receptor‑4 axis in intrauterine adhesions. (2018) Int.J.Mol.Med. 42:81-90  IHC ;  Rat.  
[IF=2.784] Zhou Q et al. Abnormal expression of fibrosis markers, estrogen receptor α and stromal derived factor-1/chemokine (CXC motif) receptor-4 axis in intrauterine adhesions. Int. J. Mol. Med. 2018 Jul;42(1):81-90.  IHC-P ;  Human&Rat.  
[IF=2.52] Yang, Ning, et al. "Overexpression of SOX2 promotes migration, invasion, and epithelial-mesenchymal transition through the Wnt/β-catenin pathway in laryngeal cancer Hep-2 cells." Tumor Biology (2014): 1-9.  WB ;  Human.  
研究领域 肿瘤  细胞生物  免疫学  信号转导  干细胞  细胞骨架  肿瘤细胞生物标志物  
抗体来源 Rabbit
克隆类型 Polyclonal
克 隆 号
交叉反应 Human,Mouse,Rat (predicted: Rabbit,Pig,Cow,Dog,Horse)
产品应用 WB=1:1000-5000,IHC-P=1:200-1000,IHC-F=1:200-1000,IF=1:200-1000,Flow-Cyt=1μg/Test,ICC/IF=1:100-500
not yet tested in other applications.
optimal dilutions/concentrations should be determined by the end user.
理论分子量 51 kDa
检测分子量
细胞定位 细胞浆 
性    状 Liquid
浓    度 1mg/ml
免 疫 原 KLH conjugated synthetic peptide derived from human Vimentin: 371-466/466 
亚    型 IgG
纯化方法 affinity purified by Protein A
缓 冲 液 0.01M TBS (pH7.4) with 1% BSA, 0.02% Proclin300 and 50% Glycerol.
保存条件 Shipped at 4℃. Store at -20℃ for one year. Avoid repeated freeze/thaw cycles.
注意事项 This product as supplied is intended for research use only, not for use in human, therapeutic or diagnostic applications.
PubMed PubMed
产品介绍 This gene encodes a member of the intermediate filament family. Intermediate filamentents, along with microtubules and actin microfilaments, make up the cytoskeleton. The protein encoded by this gene is responsible for maintaining cell shape, integrity of the cytoplasm, and stabilizing cytoskeletal interactions. It is also involved in the immune response, and controls the transport of low-density lipoprotein (LDL)-derived cholesterol from a lysosome to the site of esterification. It functions as an organizer of a number of critical proteins involved in attachment, migration, and cell signaling. Mutations in this gene causes a dominant, pulverulent cataract.[provided by RefSeq, Jun 2009]

Function:
Vimentins are class-III intermediate filaments found in various non-epithelial cells, especially mesenchymal cells. Vimentin is attached to the nucleus, endoplasmic reticulum, and mitochondria, either laterally or terminally. Involved with LARP6 in the stabilization of type I collagen mRNAs for CO1A1 and CO1A2. Subunit : Homopolymer assembled from elementary dimers. Interacts with HCV core protein. Interacts with LGSN and SYNM. Interacts (via rod region) with PLEC (via CH 1 domain) (By similarity). Interacts with SLC6A4. Interacts with STK33. Interacts with LARP6. Interacts with RAB8B (By similarity).

Subcellular Location:
Cytoplasm.

Tissue Specificity:
Highly expressed in fibroblasts, some expression in T- and B-lymphocytes, and little or no expression in Burkitt's lymphoma cell lines. Expressed in many hormone-independent mammary carcinoma cell lines.

Post-translational modifications:
Filament disassembly during mitosis is promoted by phosphorylation at Ser-55 as well as by nestin. One of the most prominent phosphoproteins in various cells of mesenchymal origin. Phosphorylation is enhanced during cell division, at which time vimentin filaments are significantly reorganized. Phosphorylation by PKN1 inhibits the formation of filaments. Phosphorylated at Ser-56 by CDK5 during neutrophil secretion in the cytoplasm. Phosphorylated by STK33.

Similarity:
Belongs to the intermediate filament family.

SWISS:
P08670

Gene ID:
7431

Database links:

Entrez Gene: 7431 Human

Entrez Gene: 22352 Mouse

Entrez Gene: 81818 Rat

Omim: 193060 Human

SwissProt: P08670 Human

SwissProt: P20152 Mouse

SwissProt: P31000 Rat

Unigene: 455493 Human



产品图片
Sample: Hela KO Vimentin (Human) Cell Lysate at 30 ug Hela(Human) Cell Lysate at 30 ug Primary: Anti- Vimentin (bs-8533R) at 1/1000 dilution Secondary: IRDye800CW Goat Anti-Rabbit IgG at 1/20000 dilution Predicted band size: 51 kD Observed band size: 57 kD
25 ug total protein per lane of various lysates (see on figure) probed with Vimentin polyclonal antibody, unconjugated (bs-8533R) at 1:1000 dilution and 4°C overnight incubation. Followed by conjugated secondary antibody incubation at r.t. for 60 min.
Paraformaldehyde-fixed, paraffin embedded Human Tonsil; Antigen retrieval by boiling in sodium citrate buffer (pH6.0) for 15 min; Antibody incubation with Vimentin Polyclonal Antibody, Unconjugated (bs-8533R) at 1:200 overnight at 4°C, followed by conjugation to the SP Kit (Rabbit, SP-0023) and DAB (C-0010) staining.
Paraformaldehyde-fixed, paraffin embedded Human Cervical Cancer; Antigen retrieval by boiling in sodium citrate buffer (pH6.0) for 15 min; Antibody incubation with Vimentin Polyclonal Antibody, Unconjugated (bs-8533R) at 1:200 overnight at 4°C, followed by conjugation to the SP Kit (Rabbit, SP-0023) and DAB (C-0010) staining.
Paraformaldehyde-fixed, paraffin embedded Human Lung Cancer; Antigen retrieval by boiling in sodium citrate buffer (pH6.0) for 15 min; Antibody incubation with Vimentin Polyclonal Antibody, Unconjugated (bs-8533R) at 1:200 overnight at 4°C, followed by conjugation to the SP Kit (Rabbit, SP-0023) and DAB (C-0010) staining.
Paraformaldehyde-fixed, paraffin embedded Human Colon; Antigen retrieval by boiling in sodium citrate buffer (pH6.0) for 15 min; Antibody incubation with Vimentin Polyclonal Antibody, Unconjugated (bs-8533R) at 1:200 overnight at 4°C, followed by conjugation to the SP Kit (Rabbit, SP-0023) and DAB (C-0010) staining.
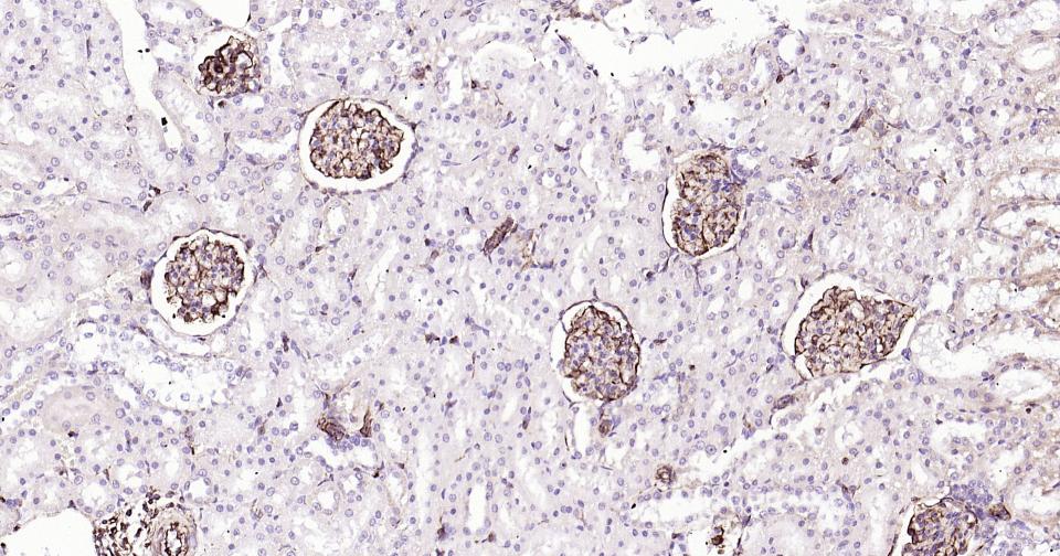
Paraformaldehyde-fixed, paraffin embedded Human Kidney; Antigen retrieval by boiling in sodium citrate buffer (pH6.0) for 15 min; Antibody incubation with Vimentin Polyclonal Antibody, Unconjugated (bs-8533R) at 1:200 overnight at 4°C, followed by conjugation to the SP Kit (Rabbit, SP-0023) and DAB (C-0010) staining.
Paraformaldehyde-fixed, paraffin embedded Human Small Intestine; Antigen retrieval by boiling in sodium citrate buffer (pH6.0) for 15 min; Antibody incubation with Vimentin Polyclonal Antibody, Unconjugated (bs-8533R) at 1:200 overnight at 4°C, followed by conjugation to the SP Kit (Rabbit, SP-0023) and DAB (C-0010) staining.
Paraformaldehyde-fixed, paraffin embedded Human Uterus; Antigen retrieval by boiling in sodium citrate buffer (pH6.0) for 15 min; Antibody incubation with Vimentin Polyclonal Antibody, Unconjugated (bs-8533R) at 1:200 overnight at 4°C, followed by conjugation to the SP Kit (Rabbit, SP-0023) and DAB (C-0010) staining.
Paraformaldehyde-fixed, paraffin embedded Human Breast Cancer; Antigen retrieval by boiling in sodium citrate buffer (pH6.0) for 15 min; Antibody incubation with Vimentin Polyclonal Antibody, Unconjugated (bs-8533R) at 1:200 overnight at 4°C, followed by conjugation to the SP Kit (Rabbit, SP-0023) and DAB (C-0010) staining.
Paraformaldehyde-fixed, paraffin embedded Human Endometrium Cancer; Antigen retrieval by boiling in sodium citrate buffer (pH6.0) for 15 min; Antibody incubation with Vimentin Polyclonal Antibody, Unconjugated (bs-8533R) at 1:200 overnight at 4°C, followed by conjugation to the SP Kit (Rabbit, SP-0023) and DAB (C-0010) staining.
Paraformaldehyde-fixed, paraffin embedded Mouse Kidney; Antigen retrieval by boiling in sodium citrate buffer (pH6.0) for 15 min; Antibody incubation with Vimentin Polyclonal Antibody, Unconjugated (bs-8533R) at 1:200 overnight at 4°C, followed by conjugation to the SP Kit (Rabbit, SP-0023) and DAB (C-0010) staining.
Paraformaldehyde-fixed, paraffin embedded Rat Colon; Antigen retrieval by boiling in sodium citrate buffer (pH6.0) for 15 min; Antibody incubation with Vimentin Polyclonal Antibody, Unconjugated (bs-8533R) at 1:200 overnight at 4°C, followed by conjugation to the SP Kit (Rabbit, SP-0023) and DAB (C-0010) staining.
Paraformaldehyde-fixed, paraffin embedded Mouse Colon; Antigen retrieval by boiling in sodium citrate buffer (pH6.0) for 15 min; Antibody incubation with Vimentin Polyclonal Antibody, Unconjugated (bs-8533R) at 1:200 overnight at 4°C, followed by conjugation to the SP Kit (Rabbit, SP-0023) and DAB (C-0010) staining.
Paraformaldehyde-fixed, paraffin embedded Rat Kidney; Antigen retrieval by boiling in sodium citrate buffer (pH6.0) for 15 min; Antibody incubation with Vimentin Polyclonal Antibody, Unconjugated (bs-8533R) at 1:200 overnight at 4°C, followed by conjugation to the SP Kit (Rabbit, SP-0023) and DAB (C-0010) staining.
Tissue/cell: U-87MG cell; 4% Paraformaldehyde-fixed; Triton X-100 at room temperature for 20 min; Blocking buffer (normal goat serum, C-0005) at 37°C for 20 min; Antibody incubation with (Vimentin) Polyclonal Antibody, Unconjugated (bs-8533R)antibody (bs-0295G-FITC) at 37°C for 90 minutes, DAPI (blue, C02-04002) was used to stain the cell nuclei.
Tissue/cell: 293T cell; 4% Paraformaldehyde-fixed; Triton X-100 at room temperature for 20 min; Blocking buffer (normal goat serum, C-0005) at 37°C for 20 min; Antibody incubation with (Vimentin) Polyclonal Antibody, Unconjugated (bs-8533R) 1:200, 2 hours at 37°C; followed by a conjugated Goat Anti-Rabbit IgG antibody (bs-0295G-FITC) at 37°C for 90 minutes, DAPI (5ug/ml, blue, C-0033) was used to stain the cell nuclei.
Tissue/cell: FHC cell; 4% Paraformaldehyde-fixed; Triton X-100 at room temperature for 20 min; Blocking buffer (normal goat serum, C-0005) at 37°C for 20 min; Antibody incubation with (Vimentin) Polyclonal Antibody, Unconjugated (bs-8533R) 1:200, 2 hours at 37°C; followed by a conjugated Goat Anti-Rabbit IgG antibody (bs-0295G-FITC) at 37°C for 90 minutes, DAPI (5ug/ml, blue, C-0033) was used to stain the cell nuclei.
Paraformaldehyde-fixed, paraffin embedded Mouse Kidney; Antigen retrieval by boiling in sodium citrate buffer (pH6.0) for 15 min; The section was incubated with Vimentin Polyclonal Antibody, Unconjugated (bs-8533R) at 1:200 overnight at 4°C. Followed by conjugated Goat Anti-Rabbit IgG antibody (Rose Red, bs-40295G-BF647), DAPI (blue, C02-04002) was used to stain the cell nuclei.
Paraformaldehyde-fixed, paraffin embedded Rat Kidney; Antigen retrieval by boiling in sodium citrate buffer (pH6.0) for 15 min; The section was incubated with Vimentin Polyclonal Antibody, Unconjugated (bs-8533R) at 1:200 overnight at 4°C. Followed by conjugated Goat Anti-Rabbit IgG antibody (Rose Red, bs-40295G-BF647), DAPI (blue, C02-04002) was used to stain the cell nuclei.
Paraformaldehyde-fixed, paraffin embedded Human Colon Cancer; Antigen retrieval by boiling in sodium citrate buffer (pH6.0) for 15 min; Antibody incubation with Vimentin Polyclonal Antibody, Unconjugated (bs-8533R) at 1:200 overnight at 4°C. Followed by conjugated Goat Anti-Rabbit IgG antibody (green, bs-0295G-BF488), DAPI (blue, C02-04002) was used to stain the cell nuclei.
Paraformaldehyde-fixed, paraffin embedded Mouse Colon; Antigen retrieval by boiling in sodium citrate buffer (pH6.0) for 15 min; Antibody incubation with Vimentin Polyclonal Antibody, Unconjugated (bs-8533R) at 1:200 overnight at 4°C. Followed by conjugated Goat Anti-Rabbit IgG antibody (green, bs-0295G-BF488), DAPI (blue, C02-04002) was used to stain the cell nuclei.
Paraformaldehyde-fixed, paraffin embedded Rat Colon; Antigen retrieval by boiling in sodium citrate buffer (pH6.0) for 15 min; Antibody incubation with Vimentin Polyclonal Antibody, Unconjugated (bs-8533R) at 1:200 overnight at 4°C. Followed by conjugated Goat Anti-Rabbit IgG antibody (green, bs-0295G-BF488), DAPI (blue, C02-04002) was used to stain the cell nuclei.
Paraformaldehyde-fixed, paraffin embedded Mouse Small Intestine; Antigen retrieval by boiling in sodium citrate buffer (pH6.0) for 15 min; The section was incubated with Vimentin Polyclonal Antibody, Unconjugated (bs-8533R) at 1:200 overnight at 4°C. Followed by conjugated Goat Anti-Rabbit IgG antibody (Rose Red, bs-40295G-BF647), DAPI (blue, C02-04002) was used to stain the cell nuclei.
Paraformaldehyde-fixed, paraffin embedded Rat Small Intestine; Antigen retrieval by boiling in sodium citrate buffer (pH6.0) for 15 min; The section was incubated with Vimentin Polyclonal Antibody, Unconjugated (bs-8533R) at 1:200 overnight at 4°C. Followed by conjugated Goat Anti-Rabbit IgG antibody (Rose Red, bs-40295G-BF647), DAPI (blue, C02-04002) was used to stain the cell nuclei.
Paraformaldehyde-fixed, paraffin embedded Human Kidney; Antigen retrieval by boiling in sodium citrate buffer (pH6.0) for 15 min; The section was incubated with Vimentin Polyclonal Antibody, Unconjugated (bs-8533R) at 1:200 overnight at 4°C. Followed by conjugated Goat Anti-Rabbit IgG antibody (Rose Red, bs-40295G-BF647), DAPI (blue, C02-04002) was used to stain the cell nuclei.
Paraformaldehyde-fixed, paraffin embedded Mouse Small Intestine ; Antigen retrieval by boiling in sodium citrate buffer (pH6.0) for 15min; The section was incubated with Vimentin Polyclonal Antibody, Unconjugated (bs-8533R) at 1:200 overnight at 4°C, followed by a conjugated Donkey Anti-Rabbit IgG antibody (bs-0295D-BF555) for 90 minutes, and DAPI for nuclei staining.
Paraformaldehyde-fixed, paraffin embedded Rat Small Intestine ; Antigen retrieval by boiling in sodium citrate buffer (pH6.0) for 15min; The section was incubated with Vimentin Polyclonal Antibody, Unconjugated (bs-8533R) at 1:200 overnight at 4°C, followed by a conjugated Donkey Anti-Rabbit IgG antibody (bs-0295D-BF555) for 90 minutes, and DAPI for nuclei staining.
Paraformaldehyde-fixed, paraffin embedded Human Kidney ; Antigen retrieval by boiling in sodium citrate buffer (pH6.0) for 15min; The section was incubated with Vimentin Polyclonal Antibody, Unconjugated (bs-8533R) at 1:200 overnight at 4°C, followed by a conjugated Donkey Anti-Rabbit IgG antibody (bs-0295D-BF555) for 90 minutes, and DAPI for nuclei staining.
Paraformaldehyde-fixed, paraffin embedded Mouse Kidney ; Antigen retrieval by boiling in sodium citrate buffer (pH6.0) for 15min; The section was incubated with Vimentin Polyclonal Antibody, Unconjugated (bs-8533R) at 1:200 overnight at 4°C, followed by a conjugated Donkey Anti-Rabbit IgG antibody (bs-0295D-BF555) for 90 minutes, and DAPI for nuclei staining.
Paraformaldehyde-fixed, paraffin embedded Rat Kidney ; Antigen retrieval by boiling in sodium citrate buffer (pH6.0) for 15min; The section was incubated with Vimentin Polyclonal Antibody, Unconjugated (bs-8533R) at 1:200 overnight at 4°C, followed by a conjugated Donkey Anti-Rabbit IgG antibody (bs-0295D-BF555) for 90 minutes, and DAPI for nuclei staining.
Blank control:A549. Primary Antibody (green line): Rabbit Anti-Vimentin antibody (bs-8533R) Dilution: 1μg /10^6 cells; Isotype Control Antibody (orange line): Rabbit IgG . Secondary Antibody : Goat anti-rabbit IgG-AF488 Dilution: 1μg /test. Protocol The cells were fixed with 4% PFA (10min at room temperature)and then permeabilized with 90% ice-cold methanol for 20 min at -20℃. The cells were then incubated in 5%BSA to block non-specific protein-protein interactions for 30 min at room temperature .Cells stained with Primary Antibody for 30 min at room temperature. The secondary antibody used for 40 min at room temperature. Acquisition of 20,000 events was performed.
版权所有 2004-2026 www.bioss.com.cn 北京博奥森生物技术有限公司
通过国际质量管理体系ISO 9001:2015 GB/T 19001-2016    证书编号: 00124Q34771R2M/1100
通过国际医疗器械-质量管理体系ISO 13485:2016 GB/T 42061-2022     证书编号: CQC24QY20047R0M/1100
京ICP备05066980号-1         京公网安备110107000727号