扫码关注公众号           扫码咨询技术支持           扫码咨询技术服务
  
客服热线:400-901-9800  客服QQ:4009019800  技术答疑  技术支持  质量反馈  人才招聘  关于我们  联系我们
产品中心-北京博奥森生物技术有限公司
首页 > 产品中心 > 一抗 > 产品信息
LPA2 Rabbit pAb (bs-10368R)  
订购热线:400-901-9800
订购邮箱:sales@bioss.com.cn
订购QQ:  400-901-9800
技术支持:techsupport@bioss.com.cn
50ul/1180.00元
100ul/1980.00元
200ul/2800.00元
大包装/询价

产品编号 bs-10368R
英文名称 LPA2 Rabbit pAb
中文名称 溶血磷脂酸受体蛋白2抗体
别    名 EDG-4; EDG4; LPA-2; LPA2; IPA2; LPAR2_HUMAN; LPAR2; LPA receptor 2; Lysophosphatidic acid receptor Edg-4; LPAR2_MOUSE; lysophosphatidic acid receptor 2; endothelial differentiation, lysophosphatidic acid G-protein-coupled receptor, 4  
Specific References  (2)     |     bs-10368R has been referenced in 2 publications.
[IF=4.384] Xue-min ZHANG. et al. Effects of LPA on the development of sheep in vitro fertilized embryos and attempt to establish sheep embryonic stem cells. J INTEGR AGR. 2022 Aug;:  WB ;  Sheep.  
[IF=3.575] Mizuki Uenaka. et al. LPA2 promotes neuronal differentiation and neurite formation in neocortical development. Biochem Bioph Res Co. 2022 Apr;598:89  IHC ;  Mouse.  
抗体来源 Rabbit
克隆类型 Polyclonal
交叉反应 Human,Mouse,Rat (predicted: Rabbit,Pig,Sheep,Cow,Dog,Horse)
产品应用 IHC-P=1:100-500,IHC-F=1:100-500,IF=1:100-500,Flow-Cyt=1μg/Test
not yet tested in other applications.
optimal dilutions/concentrations should be determined by the end user.
理论分子量 39kDa
细胞定位 细胞膜 
性    状 Liquid
浓    度 1mg/ml
免 疫 原 KLH conjugated synthetic peptide derived from human LPA2: 1-100/351 <Extracellular>
亚    型
纯化方法 affinity purified by Protein A
缓 冲 液 0.01M TBS (pH7.4) with 1% BSA, 0.02% Proclin300 and 50% Glycerol.
保存条件 Shipped at 4℃. Store at -20℃ for one year. Avoid repeated freeze/thaw cycles.
注意事项 This product as supplied is intended for research use only, not for use in human, therapeutic or diagnostic applications.
PubMed PubMed
产品介绍 This gene encodes a member of family I of the G protein-coupled receptors, as well as the EDG family of proteins. This protein functions as a lysophosphatidic acid (LPA) receptor and contributes to Ca2+ mobilization, a critical cellular response to LPA in cells, through association with Gi and Gq proteins. An alternative splice variant has been described but its full length sequence has not been determined. [provided by RefSeq, Jul 2008]

Function:
Receptor for lysophosphatidic acid (LPA), a mediator of diverse cellular activities. Seems to be coupled to the G(i)/G(o), G(12)/G(13), and G(q) families of heteromeric G proteins. Plays a key role in phospholipase C-beta (PLC-beta) signaling pathway. Stimulates phospholipase C (PLC) activity in a manner that is independent of RALA activation.

Subunit:
Interacts with SLC9A3R2/NHERF2, MAGI3 and PLCB3. Interacts with RALA and ADRBK1.

Subcellular Location:
Cell surface. Cell membrane; Multi-pass membrane protein. Note=Prior to LPA treatment found predominantly at the cell surface but in the presence of LPA co-localizes with RALA in the endocytic vesicles.

Tissue Specificity:
Expressed most abundantly in testes and peripheral blood leukocytes with less expression in pancreas, spleen, thymus and prostate. Little or no expression in heart, brain, placenta, lung, liver, skeletal muscle, kidney, ovary, small intestine, or colon.

Similarity:
Belongs to the G-protein coupled receptor 1 family.

SWISS:
Q9HBW0

Gene ID:
9170

Database links:

Entrez Gene: 9170 Human

Entrez Gene: 53978 Mouse

Omim: 605110 Human

SwissProt: Q9HBW0 Human

SwissProt: Q9JL06 Mouse

Unigene: 122575 Human

Unigene: 23253 Mouse



产品图片
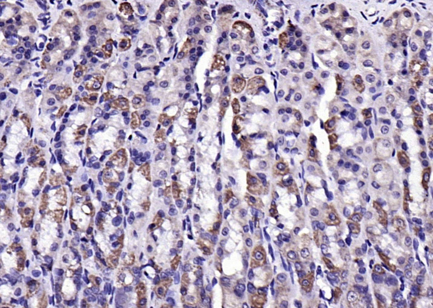
Paraformaldehyde-fixed, paraffin embedded (mouse stomach); Antigen retrieval by boiling in sodium citrate buffer (pH6.0) for 15min; Block endogenous peroxidase by 3% hydrogen peroxide for 20 minutes; Blocking buffer (normal goat serum) at 37°C for 30min; Antibody incubation with (LPA2) Polyclonal Antibody, Unconjugated (bs-10368R) at 1:200 overnight at 4°C, followed by operating according to SP Kit(Rabbit) (sp-0023) instructionsand DAB staining.
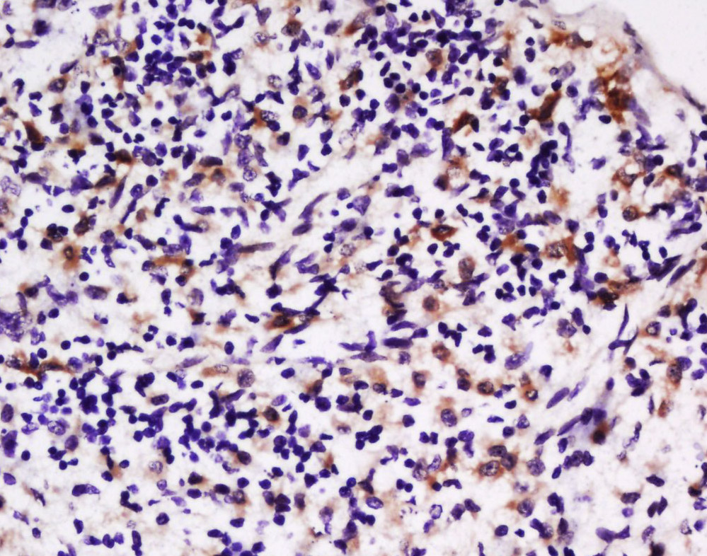
Tissue/cell: rat spleen tissue; 4% Paraformaldehyde-fixed and paraffin-embedded; Antigen retrieval: citrate buffer ( 0.01M, pH 6.0 ), Boiling bathing for 15min; Block endogenous peroxidase by 3% Hydrogen peroxide for 30min; Blocking buffer (normal goat serum,C-0005) at 37℃ for 20 min; Incubation: Anti-LPA2 Polyclonal Antibody, Unconjugated(bs-10368R) 1:100, overnight at 4°C, followed by conjugation to the secondary antibody(SP-0023) and DAB(C-0010) staining
Blank control: mouse thymouses(blue) Isotype Control Antibody: Rabbit IgG(orange) ; Secondary Antibody: Goat anti-rabbit IgG-FITC(white blue), Dilution: 1:100 in 1 X PBS containing 0.5% BSA ; Primary Antibody Dilution: 1μl in 100 μL1X PBS containing 0.5% BSA(green).
Positive control: (mo)Splenocytes(2% Paraformaldehyde-fixed ) Isotype Control Antibody: Rabbit IgG,Dilution: 1μg in 100 μl 1 X PBS containing 0.5% BSA Secondary Antibody: Goat anti-rabbit IgG-FITC,Dilution: 1:200 in 1 X PBS containing 0.5% BSA Primary Antibody: rabbit Anti-LPA2 (bs-10368R),Dilution: 1μg in 100 μl 1X PBS containing 0.5% BSA
Blank control:THP-1. Primary Antibody (green line): Rabbit Anti-LPA2 antibody (bs-10368R) Dilution: 1μg /10^6 cells; Isotype Control Antibody (orange line): Rabbit IgG . Secondary Antibody : Goat anti-rabbit IgG-FITC Dilution: 0.5μg /test. Protocol The cells were incubated in 5%BSA to block non-specific protein-protein interactions for 30 min at room temperature .Cells stained with Primary Antibody for 30 min at room temperature. The secondary antibody used for 40 min at room temperature. Acquisition of 20,000 events was performed.
版权所有 2004-2026 www.bioss.com.cn 北京博奥森生物技术有限公司
通过国际质量管理体系ISO 9001:2015 GB/T 19001-2016    证书编号: 00124Q34771R2M/1100
通过国际医疗器械-质量管理体系ISO 13485:2016 GB/T 42061-2022     证书编号: CQC24QY20047R0M/1100
京ICP备05066980号-1         京公网安备110107000727号