扫码关注公众号           扫码咨询技术支持           扫码咨询技术服务
  
客服热线:400-901-9800  客服QQ:4009019800  技术答疑  技术支持  质量反馈  人才招聘  关于我们  联系我们
产品中心-北京博奥森生物技术有限公司
首页 > 产品中心 > 一抗 > 产品信息
CRB2 Rabbit pAb (bs-14046R)  
订购热线:400-901-9800
订购邮箱:sales@bioss.com.cn
订购QQ:  400-901-9800
技术支持:techsupport@bioss.com.cn
50ul/1180.00元
100ul/1980.00元
200ul/2800.00元
大包装/询价

产品编号 bs-14046R
英文名称 CRB2 Rabbit pAb
中文名称 CRB2蛋白抗体
别    名 FSGS9; VMCKD; 5930402A21; RGD1309368; CRUM2_HUMAN; CRB2; Crumbs-like protein 2; CRUM2_MOUSE; crumbs2;   
研究领域 细胞生物  免疫学  神经生物学  
抗体来源 Rabbit
克隆类型 Polyclonal
克 隆 号
交叉反应 Mouse,Rat (predicted: Human)
产品应用 WB=1:500-2000,IHC-P=1:100-500,IHC-F=1:100-500,IF=1:100-500
not yet tested in other applications.
optimal dilutions/concentrations should be determined by the end user.
理论分子量 100, 123, 131 kDa
检测分子量 100-135
细胞定位 细胞浆 细胞膜 
性    状 Liquid
浓    度 1mg/ml
免 疫 原 KLH conjugated synthetic peptide derived from human CRB2: 701-800/1285 <Extracellular>
亚    型 IgG
纯化方法 affinity purified by Protein A
缓 冲 液 0.01M TBS (pH7.4) with 1% BSA, 0.02% Proclin300 and 50% Glycerol.
保存条件 Shipped at 4℃. Store at -20℃ for one year. Avoid repeated freeze/thaw cycles.
注意事项 This product as supplied is intended for research use only, not for use in human, therapeutic or diagnostic applications.
PubMed PubMed
产品介绍 CRB2 is a 1,285 amino acid protein that contains three laminin G-like domains and 15 EGF-like domains and exists as multiple alternatively spliced isoforms that are either secreted or membrane bound. Expressed in kidney and retina, as well as in fetal eye and brain, CRB2 is thought to play a role in the morphogenesis of polarized cells and may be involved in DNA repair. Defects in the gene encoding CRB2 are associated with the pathogenesis of autosomal recessive retinitis pigmentosa (RP) and Leber congenital amaurosis (LCA), the former of which refers to a group of diseases that lead to the degeneration of retinal photoreceptor cells, ultimately resulting in a loss of vision. The gene encoding CRB2 maps to human chromosome 9, which houses over 900 genes and comprises nearly 4% of the human genome.

Function:
May play a role in polarized cells morphogenesis.

Subcellular Location:
Secreted and Cell membrane.

Tissue Specificity:
Expressed in retina, fetal eye and brain. Also expressed in kidney, ARPE-19 and RPE/choroid cell lines, and at low levels in lung, placenta, and heart.

Similarity:
Belongs to the Crumbs protein family.
Contains 15 EGF-like domains.
Contains 3 laminin G-like domains.

SWISS:
Q5IJ48

Gene ID:
286204

Database links:

Entrez Gene: 286204 Human

Entrez Gene: 241324 Mouse

Entrez Gene: 366031 Rat

Omim: 609720 Human

SwissProt: Q5IJ48 Human

SwissProt: Q80YA8 Mouse

Unigene: 710092 Human



产品图片
Sample: Cerebrum (Mouse) Lysate at 40 ug Primary: Anti- CRB2 (bs-14046R) at 1/1000 dilution Secondary: IRDye800CW Goat Anti-Rabbit IgG at 1/20000 dilution Predicted band size: 100,123,131 kD Observed band size: 100,131 kD
Sample: Eye(Rat) Lysate at 40 ug Primary: Anti- CRB2 (bs-14046R) at 1/1000 dilution Secondary: IRDye800CW Goat Anti-Rabbit IgG at 1/20000 dilution Predicted band size: 100/123/131 kD Observed band size: 135 kD
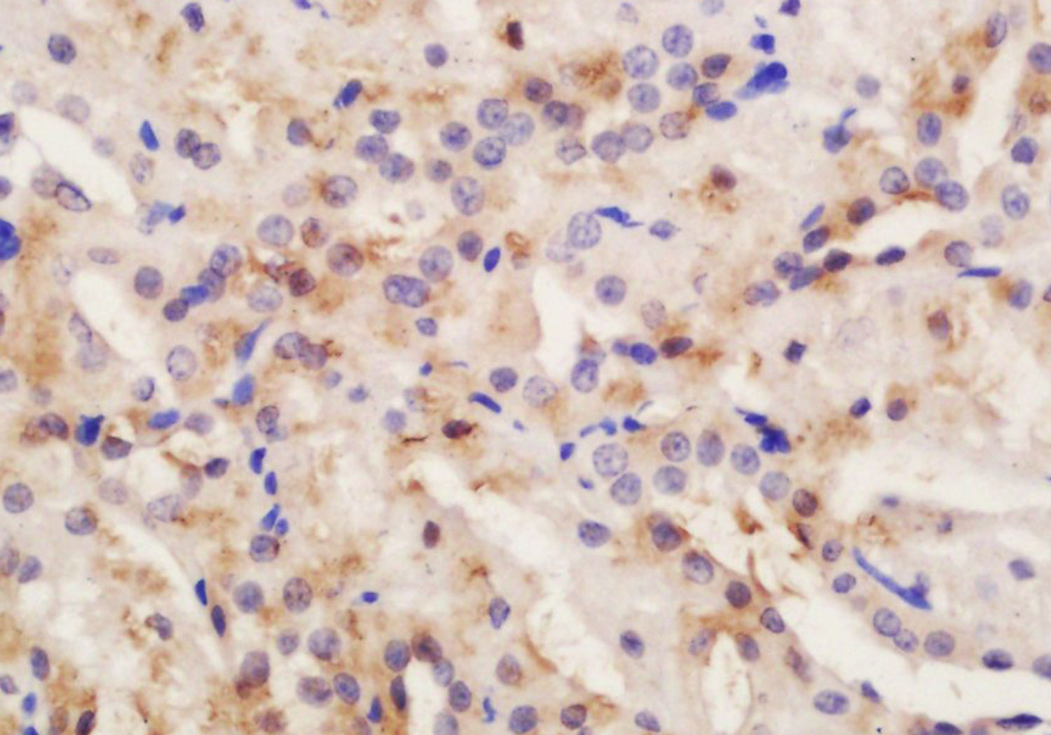
Tissue/cell: rat kidney tissue; 4% Paraformaldehyde-fixed and paraffin-embedded; Antigen retrieval: citrate buffer ( 0.01M, pH 6.0 ), Boiling bathing for 15min; Block endogenous peroxidase by 3% Hydrogen peroxide for 30min; Blocking buffer (normal goat serum,C-0005) at 37℃ for 20 min; Incubation: Anti-CRB2 Polyclonal Antibody, Unconjugated(bs-14046R) 1:200, overnight at 4°C, followed by conjugation to the secondary antibody(SP-0023) and DAB(C-0010) staining
Tissue/cell: rat brain tissue; 4% Paraformaldehyde-fixed and paraffin-embedded; Antigen retrieval: citrate buffer ( 0.01M, pH 6.0 ), Boiling bathing for 15min; Block endogenous peroxidase by 3% Hydrogen peroxide for 30min; Blocking buffer (normal goat serum,C-0005) at 37℃ for 20 min; Incubation: Anti-CRB2 Polyclonal Antibody, Unconjugated(bs-14046R) 1:200, overnight at 4°C, followed by conjugation to the secondary antibody(SP-0023) and DAB(C-0010) staining
Paraformaldehyde-fixed, paraffin embedded (Mouse brain); Antigen retrieval by boiling in sodium citrate buffer (pH6.0) for 15min; Block endogenous peroxidase by 3% hydrogen peroxide for 20 minutes; Blocking buffer (normal goat serum) at 37°C for 30min; Antibody incubation with (CRB2) Polyclonal Antibody, Unconjugated (bs-14046R) at 1:400 overnight at 4°C, followed by operating according to SP Kit(Rabbit) (sp-0023) instructionsand DAB staining.
版权所有 2004-2026 www.bioss.com.cn 北京博奥森生物技术有限公司
通过国际质量管理体系ISO 9001:2015 GB/T 19001-2016    证书编号: 00124Q34771R2M/1100
通过国际医疗器械-质量管理体系ISO 13485:2016 GB/T 42061-2022     证书编号: CQC24QY20047R0M/1100
京ICP备05066980号-1         京公网安备110107000727号