扫码关注公众号           扫码咨询技术支持           扫码咨询技术服务
  
客服热线:400-901-9800  客服QQ:4009019800  技术答疑  技术支持  质量反馈  人才招聘  关于我们  联系我们
产品中心-北京博奥森生物技术有限公司
首页 > 产品中心 > 一抗 > 产品信息
CREB5 Rabbit pAb (bs-14053R)  
订购热线:400-901-9800
订购邮箱:sales@bioss.com.cn
订购QQ:  400-901-9800
技术支持:techsupport@bioss.com.cn
50ul/1180.00元
100ul/1980.00元
200ul/2800.00元
大包装/询价

产品编号 bs-14053R
英文名称 CREB5 Rabbit pAb
中文名称 环腺苷酸应答元件结合蛋白5抗体
别    名 CRE-BPA; CREB-5; CREBPA; 9430076C15Rik; D430026C09Rik; RGD1566107; CREB5_HUMAN; CREB5; cAMP-responsive element-binding protein 5; cAMP-response element-binding protein A (CRE-BPa); CREB5_MOUSE;   
研究领域 细胞生物  染色质和核信号  信号转导  转录调节因子  锌指蛋白  表观遗传学  
抗体来源 Rabbit
克隆类型 Polyclonal
克 隆 号
交叉反应 Human,Mouse (predicted: Rat,Cow,Chicken,Dog,Horse)
产品应用 WB=1:500-2000,IHC-P=1:100-500,IHC-F=1:100-500,IF=1:100-500
not yet tested in other applications.
optimal dilutions/concentrations should be determined by the end user.
理论分子量 57 kDa
检测分子量 60
细胞定位 细胞核 
性    状 Liquid
浓    度 1mg/ml
免 疫 原 KLH conjugated synthetic peptide derived from human CREB5: 21-120/508 
亚    型 IgG
纯化方法 affinity purified by Protein A
缓 冲 液 0.01M TBS (pH7.4) with 1% BSA, 0.02% Proclin300 and 50% Glycerol.
保存条件 Shipped at 4℃. Store at -20℃ for one year. Avoid repeated freeze/thaw cycles.
注意事项 This product as supplied is intended for research use only, not for use in human, therapeutic or diagnostic applications.
PubMed PubMed
产品介绍 The product of this gene belongs to the CRE (cAMP response element)-binding protein family. Members of this family contain zinc-finger and bZIP DNA-binding domains. The encoded protein specifically binds to CRE as a homodimer or a heterodimer with c-Jun or CRE-BP1, and functions as a CRE-dependent trans-activator. Alternatively spliced transcript variants encoding different isoforms have been identified. [provided by RefSeq, Jul 2008]

Function:
Binds to the cAMP response element and activates transcription.

Subunit:
Binds DNA as a homodimer or as a heterodimer with JUN or ATF2/CREBP1.

Subcellular Location:
Nucleus.

Similarity:
Belongs to the bZIP family.
Contains 1 bZIP domain.
Contains 1 C2H2-type zinc finger.

SWISS:
Q02930

Gene ID:
9586

Database links:

Entrez Gene: 9586 Human

Entrez Gene: 231991 Mouse

Entrez Gene: 500131 Rat

SwissProt: Q02930 Human

SwissProt: Q8K1L0 Mouse

Unigene: 437075 Human

Unigene: 321138 Mouse

Unigene: 210235 Rat



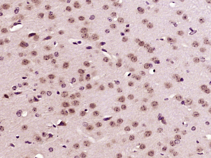
产品图片
Sample: Lane 1: Human HeLa cell lysates Lane 2: Human HepG2 cell lysates Lane 3: Human MCF-7 cell lysates Primary: Anti-CREB5 (bs-14053R) at 1/1000 dilution Secondary: IRDye800CW Goat Anti-Rabbit IgG at 1/20000 dilution Predicted band size: 57 kDa Observed band size: 60 kDa
Paraformaldehyde-fixed, paraffin embedded (human glioma); Antigen retrieval by boiling in sodium citrate buffer (pH6.0) for 15min; Block endogenous peroxidase by 3% hydrogen peroxide for 20 minutes; Blocking buffer (normal goat serum) at 37°C for 30min; Antibody incubation with (CREB5 ) Polyclonal Antibody, Unconjugated (bs-14053R) at 1:200 overnight at 4°C, followed by operating according to SP Kit(Rabbit) (sp-0023) instructionsand DAB staining.
Paraformaldehyde-fixed, paraffin embedded (Mouse brain); Antigen retrieval by boiling in sodium citrate buffer (pH6.0) for 15min; Block endogenous peroxidase by 3% hydrogen peroxide for 20 minutes; Blocking buffer (normal goat serum) at 37°C for 30min; Antibody incubation with (CREB5) Polyclonal Antibody, Unconjugated (bs-14053R) at 1:400 overnight at 4°C, followed by operating according to SP Kit(Rabbit) (sp-0023) instructionsand DAB staining.
版权所有 2004-2026 www.bioss.com.cn 北京博奥森生物技术有限公司
通过国际质量管理体系ISO 9001:2015 GB/T 19001-2016    证书编号: 00124Q34771R2M/1100
通过国际医疗器械-质量管理体系ISO 13485:2016 GB/T 42061-2022     证书编号: CQC24QY20047R0M/1100
京ICP备05066980号-1         京公网安备110107000727号