扫码关注公众号           扫码咨询技术支持           扫码咨询技术服务
  
客服热线:400-901-9800  客服QQ:4009019800  技术答疑  技术支持  质量反馈  关于我们  联系我们
产品中心-北京博奥森生物技术有限公司
首页 > 产品中心 > 一抗 > 产品信息
Collagen I Rabbit pAb (bs-10423R)  
订购热线:400-901-9800
订购邮箱:sales@bioss.com.cn
订购QQ:  400-901-9800
技术支持:techsupport@bioss.com.cn
50ul/1180.00元
100ul/1980.00元
200ul/2800.00元
大包装/询价

产品编号 bs-10423R
英文名称 Collagen I Rabbit pAb
中文名称 I型胶原蛋白/胶原蛋白1/1型胶原蛋白/I型胶原a1抗体
别    名 Collagen type I; alpha 1 type I collagen; alpha 2 type I collagen; COL1A1; COL1A2; Collagen I alpha 1 polypeptide; Collagen I alpha 2 polypeptide; Collagen Of Skin Tendon And Bone; Collagen Type 1; Collagen type I alpha 1; Collagen type I alpha 2; OI4; Osteogenesis Imperfecta Type IV; Pro alpha 1(I) collagen; Type I procollagen; CO1A1_HUMAN.  
Specific References  (91)     |     bs-10423R has been referenced in 91 publications.
[IF=17.388] Yi, Ming. et al. Combine and conquer: manganese synergizing anti-TGF-β/PD-L1 bispecific antibody YM101 to overcome immunotherapy resistance in non-inflamed cancers. J Hematol Oncol. 2021 Dec;14(1):1-21  IF ;  Mouse.  
[IF=14.26] Mi Bai. et al. LONP1 targets HMGCS2 to protect mitochondrial function and attenuate chronic kidney disease. EMBO MOL MED. 2023 Jan 11  WB ;  Human.  
[IF=11.508] Qinyu Ma. et al. Osteoclast-derived apoptotic bodies couple bone resorption and formation in bone remodeling. Bone Res. 2021 Jan;9(1):1-12  WB ;  Mouse.  
[IF=10.75] Liu, Zhenni. et al. CD73/NT5E-mediated ubiquitination of AURKA regulates alcohol-related liver fibrosis via modulating hepatic stellate cell senescence. INT J BIOL SCI. 2023 Jan;19(3):950-966  WB ;  Human,Mouse.  
[IF=9.274] Xu C et al. Tubule-Specific Mst1/2 Deficiency Induces CKD via YAP and Non-YAP Mechanisms. J Am Soc Nephrol. 2020 May;31(5):946-961.  WB ;  Mouse.  
[IF=9.038] Bing Han. et al. Pulmonary inflammatory and fibrogenic response induced by graphitized multi-walled carbon nanotube involved in cGAS-STING signaling pathway. J Hazard Mater. 2021 May;:125984  WB ;  Mouse.  
[IF=8.579] Chen X et al. Circular RNA circFBXW4 Suppresses Hepatic Fibrosis via Targeting the miR-18b-3p/FBXW7 Axis. Theranostics. 2020 Mar 26;10(11):4851-4870.  WB ;  mouse.  
[IF=8.352] Ye Hea et al. Improved osteointegration by SEW2871-encapsulated multilayers on micro-structured titanium via macrophages recruitment and immunomodulation. Applied Materials Today 20 (2020) 100673  IHC ;  Rat.  
[IF=8.101] Felipe Paredes. et al. Metabolic regulation of the proteasome under hypoxia by Poldip2 controls fibrotic signaling in vascular smooth muscle cells. FREE RADICAL BIO MED. 2022 Dec;:  WB ;  Human.  
[IF=7.658] Xuan Gu. et al. Activated AMPK by metformin protects against fibroblast proliferation during pulmonary fibrosis by suppressing FOXM1. Pharmacol Res. 2021 Nov;173:105844  IHC ;  Mouse.  
[IF=7.658] Hong Zhu. et al. Sennoside A alleviates inflammatory responses by inhibiting the hypermethylation of SOCS1 in CCl4-induced liver fibrosis. Pharmacol Res. 2021 Oct;:105926  WB ;  Mouse,Rat.  
[IF=7.169] Lan, Yue-jiao. et al. Melatonin ameliorates bleomycin-induced pulmonary fibrosis via activating NRF2 and inhibiting galectin-3 expression. ACTA PHARMACOL SIN. 2022 Nov;:1-9  IHC ;  Mouse.  
[IF=7.033] Shaoyan Li. et al. Combined Verapamil-Polydopamine Nanoformulation Inhibits Adhesion Formation in Achilles Tendon Injury Using Rat Model. INT J NANOMED. 2023 Jan 05  WB ;  Rat.  
[IF=7.032] Mengmeng Liang. et al. Osteoclast-derived small extracellular vesicles induce osteogenic differentiation via inhibiting ARHGAP1. Mol Ther-Nucl Acids. 2021 Mar;23:1191  WB ;  Mouse.  
[IF=6.76] Ecem Saygili. et al. An optical pH-sensor integrated microfluidic platform multilayered with bacterial cellulose and gelatin methacrylate to mimic drug-induced lung injury. J IND ENG CHEM. 2023 Jan;:  IF ;  Human.  
[IF=6.633] Jia He. et al. CDC20 inhibition alleviates fibrotic response of renal tubular epithelial cells and fibroblasts by regulating nuclear translocation of β-catenin. BBA-MOL BASIS DIS. 2023 Apr;1869:166663  WB ;  Mouse,Rat.  
[IF=6.51] Qingliang Yang. et al. 3D-printed morphology-customized microneedles: understanding the correlation between their morphologies and the received qualities. INT J PHARMACEUT. 2023 Mar;:122873  IHC,WB ;  Rabbit.  
[IF=6.388] Yu-jie Lu. et al. Ligustilide attenuates airway remodeling in COPD mice by covalently binding to MH2 domain of Smad3 in pulmonary epithelium, disrupting the Smad3-SARA interaction. PHYTOTHER RES. 2022 Oct;:  WB ;  Mouse,Human.  
[IF=6.317] W. Song. et al. Lactobacillus coryniformis subsp. torquens inhibits bone loss in obese mice via modification of the gut microbiota. FOOD FUNCT. 2023 Apr;:  WB ;  Mouse.  
[IF=6.1] Miao Cheng. et al. BRD4 promotes hepatic stellate cells activation and hepatic fibrosis via mediating P300/H3K27ac/PLK1 axis. BIOCHEM PHARMACOL. 2023 Apr;210:115497  WB ;  Human.  
[IF=6.064] Song Xiaoliang. et al. Bioinspired Protein/Peptide Loaded 3D Printed PLGA Scaffold Promotes Bone Regeneration. FRONT BIOENG BIOTECH. 2022 Jul;0:1195  IHC ;  Rabbit.  
[IF=5.714] Xin Chen. et al. miR-301a-3p promotes hepatic stellate cells activation and liver fibrogenesis via regulating PTEN/PDGFR-β. INT IMMUNOPHARMACOL. 2022 Sep;110:109034  WB ;  Mouse.  
[IF=5.714] Xue Wu. et al. CD73 aggravates alcohol-related liver fibrosis by promoting autophagy mediated activation of hepatic stellate cells through AMPK/AKT/mTOR signaling pathway. INT IMMUNOPHARMACOL. 2022 Dec;113:109229  WB ;  Mouse, Rat.  
[IF=5.714] Han B et al. Deltamethrin induces liver fibrosis in quails via activation of the TGF-β1/Smad signaling pathway. Environ Pollut. 2019 Dec 23;259:113870.  WB ;  quail.  
[IF=5.638] Wang et al. MiR-130a-3p attenuates activation and induces apoptosis of hepatic stellate cells in nonalcoholic fibrosing steatohepatitis by directly targeting TGFBR1 and TGFBR2. (2017) Cell.Death.Dis. 8:e2792  WB ;  Mouse.  
[IF=5.589] Lv Y et al. Imidacloprid-induced liver fibrosis in quails via activation of the TGF-β1/Smad pathway. Sci Total Environ. 2019 Dec 6;705:135915.  WB ;  Quail.  
[IF=5.546] Yong-Yue Han. et al. Protective effect of dimethyl itaconate against fibroblast–myofibroblast differentiation during pulmonary fibrosis by inhibiting TXNIP. 2021 Jun 01  IHC ;  Mouse.  
[IF=5.5] Zhang et al. Cardiac Contractility Modulation Attenuate Myocardial Fibrosis by Inhibiting TGF-β1/Smad3 Signaling Pathway in a Rabbit Model of Chronic Heart Failure. (2016) Cell.Physiol.Biochem. 39:294-302  WB ;  Rabbit.  
[IF=5.169] Pasinlioğlu Burak. et al. Comparison of the Effects of Skin Microneedling with Cupping Therapy and Microneedling Alone: An Experimental Study’’. PLAST RECONSTR SURG. 2023 Jan;:10.1097/PRS.0000000000010134  IHC ;  Rat.  
[IF=5.157] Yu Zhang. et al. Follistatin-like 1 (FSTL1) interacts with Wnt ligands and Frizzled receptors to enhance Wnt/β-catenin signaling in obstructed kidneys in vivo. J BIOL CHEM. 2022 May;:102010  WB ;  Human.  
研究领域 肿瘤  细胞生物  免疫学  
抗体来源 Rabbit
克隆类型 Polyclonal
克 隆 号
交叉反应 Human,Mouse,Rat
产品应用 WB=1:500-2000,IHC-P=1:500-1000,IHC-F=1:500-1000,IF=1:500-1000,Flow-Cyt=1:50-100,ICC/IF=1:100-500
not yet tested in other applications.
optimal dilutions/concentrations should be determined by the end user.
理论分子量 130 kDa
检测分子量
细胞定位 细胞外基质 分泌型蛋白 
性    状 Liquid
浓    度 1mg/ml
免 疫 原 KLH conjugated synthetic peptide derived from human Collagen I: 1051-1150/1464 
亚    型 IgG
纯化方法 affinity purified by Protein A
缓 冲 液 0.01M TBS (pH7.4) with 1% BSA, 0.02% Proclin300 and 50% Glycerol.
保存条件 Shipped at 4℃. Store at -20℃ for one year. Avoid repeated freeze/thaw cycles.
注意事项 This product as supplied is intended for research use only, not for use in human, therapeutic or diagnostic applications.
PubMed PubMed
产品介绍 Collagens are highly conserved throughout evolution and are characterised by an uninterrupted "Glycine X Y" triplet repeat that is a necessary part of the triple helical structure. Type I collagen (95 kDa) is found in bone, cornea, skin and tendon. Mutations in the encoding gene are associated with osteogenesis imperfecta, Ehlers Danlos syndrome, and idiopathic osteoporosis. Reciprocal translocations between chromosomes 17 and 22, where this gene and the gene for Platelet-derived growth factor beta are located, are associated with a particular type of skin tumor called dermatofibrosarcoma protuberans, resulting from unregulated expression of the growth factor.

Function:
Type I collagen is a member of group I collagen (fibrillar forming collagen).

Subunit:
Trimers of one alpha 2(I) and two alpha 1(I) chains. Interacts with MRC2. Interacts with TRAM2. Subcellular Location : Secreted, extracellular space, extracellular matrix.

Subcellular Location:
Secreted, extracellular space, extracellular matrix.

Tissue Specificity:
Forms the fibrils of tendon, ligaments and bones. In bones the fibrils are mineralized with calcium hydroxyapatite.

Post-translational modifications:
Proline residues at the third position of the tripeptide repeating unit (G-X-P) are hydroxylated in some or all of the chains. Proline residues at the second position of the tripeptide repeating unit (G-P-X) are hydroxylated in some of the chains.
O-linked glycan consists of a Glc-Gal disaccharide bound to the oxygen atom of a post-translationally added hydroxyl group.

DISEASE:
Defects in COL1A1 are the cause of Caffey disease (CAFFD) [MIM:114000]; also known as infantile cortical hyperostosis. Caffey disease is characterized by an infantile episode of massive subperiosteal new bone formation that typically involves the diaphyses of the long bones, mandible, and clavicles. The involved bones may also appear inflamed, with painful swelling and systemic fever often accompanying the illness. The bone changes usually begin before 5 months of age and resolve before 2 years of age.
Defects in COL1A1 are a cause of Ehlers-Danlos syndrome type 1 (EDS1) [MIM:130000]; also known as Ehlers-Danlos syndrome gravis. EDS is a connective tissue disorder characterized by hyperextensible skin, atrophic cutaneous scars due to tissue fragility and joint hyperlaxity. EDS1 is the severe form of classic Ehlers-Danlos syndrome.
Defects in COL1A1 are the cause of Ehlers-Danlos syndrome type 7A (EDS7A) [MIM:130060]; also known as autosomal dominant Ehlers-Danlos syndrome type VII. EDS is a connective tissue disorder characterized by hyperextensible skin, atrophic cutaneous scars due to tissue fragility and joint hyperlaxity. EDS7A is marked by bilateral congenital hip dislocation, hyperlaxity of the joints, and recurrent partial dislocations.
Defects in COL1A1 are a cause of osteogenesis imperfecta type 1 (OI1) [MIM:166200]. A dominantly inherited connective tissue disorder characterized by bone fragility and blue sclerae. Osteogenesis imperfecta type 1 is non-deforming with normal height or mild short stature, and no dentinogenesis imperfecta.
Defects in COL1A1 are a cause of osteogenesis imperfecta type 2 (OI2) [MIM:166210]; also known as osteogenesis imperfecta congenita. A connective tissue disorder characterized by bone fragility, with many perinatal fractures, severe bowing of long bones, undermineralization, and death in the perinatal period due to respiratory insufficiency.
Defects in COL1A1 are a cause of osteogenesis imperfecta type 3 (OI3) [MIM:259420]. A connective tissue disorder characterized by progressively deforming bones, very short stature, a triangular face, severe scoliosis, grayish sclera, and dentinogenesis imperfecta.
Defects in COL1A1 are a cause of osteogenesis imperfecta type 4 (OI4) [MIM:166220]; also known as osteogenesis imperfecta with normal sclerae. A connective tissue disorder characterized by moderately short stature, mild to moderate scoliosis, grayish or white sclera and dentinogenesis imperfecta.
Genetic variations in COL1A1 are a cause of susceptibility to osteoporosis (OSTEOP) [MIM:166710]; also known as involutional or senile osteoporosis or postmenopausal osteoporosis. Osteoporosis is characterized by reduced bone mass, disruption of bone microarchitecture without alteration in the composition of bone. Osteoporotic bones are more at risk of fracture.
Note=A chromosomal aberration involving COL1A1 is found in dermatofibrosarcoma protuberans. Translocation t(17;22)(q22;q13) with PDGF.

Similarity:
Belongs to the fibrillar collagen family.
Contains 1 fibrillar collagen NC1 domain.
Contains 1 VWFC domain.

SWISS:
P02452

Gene ID:
1277

Database links:
Entrez Gene: 1277 Human

·    Entrez Gene: 12842 Mouse

·    Entrez Gene: 100008952 Rabbit

·    Entrez Gene: 29393 Rat

·    Omim: 120150 Human

·    SwissProt: P02453 Cow

·    SwissProt: O46392 Dog

·    SwissProt: P02452 Human

·    SwissProt: P11087 Mouse

·    SwissProt: P02454 Rat

·    Unigene: 172928 Human

·    Unigene: 277735 Mouse

·    Unigene: 107239 Rat




产品图片
U-118 MG (H) cells were treated with or without BFA, 25 μg total protein per lane of cell lysates (see on figure) probed with Collagen I polyclonal antibody, unconjugated (bs-10423R) at 1:1000 dilution and 4°C overnight incubation. Followed by conjugated secondary antibody incubation at r.t. for 60 min.
25 ug total protein per lane of various lysates (see on figure) probed with Collagen I polyclonal antibody, unconjugated (bs-10423R) at 1:1000 dilution and 4°C overnight incubation. Followed by conjugated secondary antibody incubation at r.t. for 60 min.
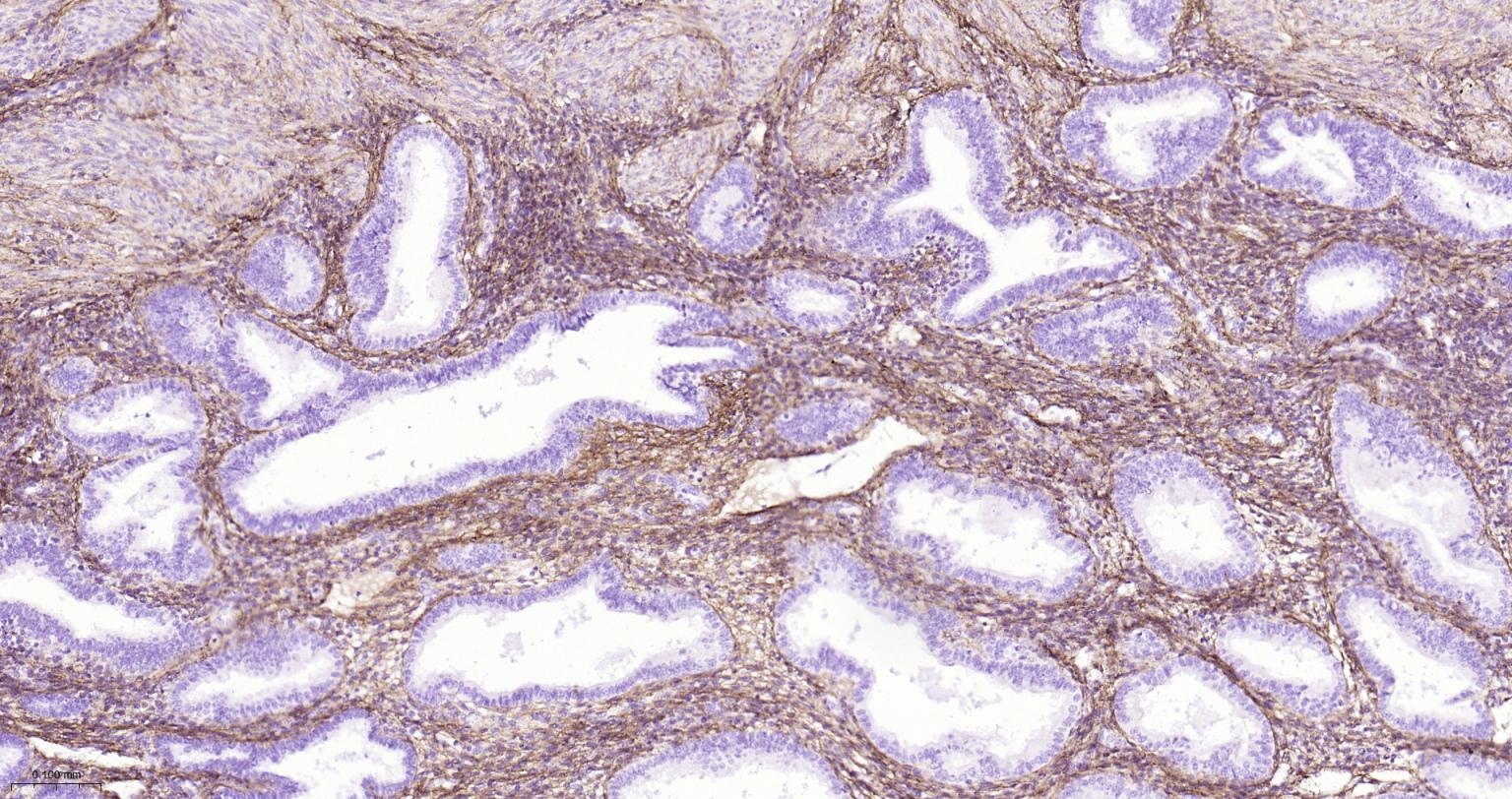
Paraformaldehyde-fixed, paraffin embedded Human Uterus; Antigen retrieval by boiling in sodium citrate buffer (pH6.0) for 15 min; The section was incubated with Collagen I Polyclonal Antibody, Unconjugated (bs-10423R) at 1:800 overnight at 4°C, followed by conjugation to the bs-0295G-HRP and DAB (C-0010) staining.
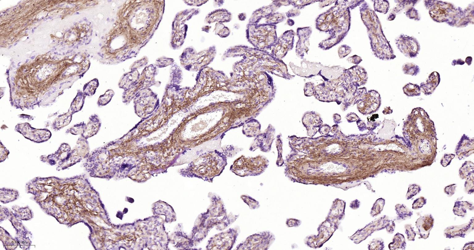
Paraformaldehyde-fixed, paraffin embedded Human Placenta; Antigen retrieval by boiling in sodium citrate buffer (pH6.0) for 15 min; The section was incubated with Collagen I Polyclonal Antibody, Unconjugated (bs-10423R) at 1:800 overnight at 4°C, followed by conjugation to the bs-0295G-HRP and DAB (C-0010) staining.
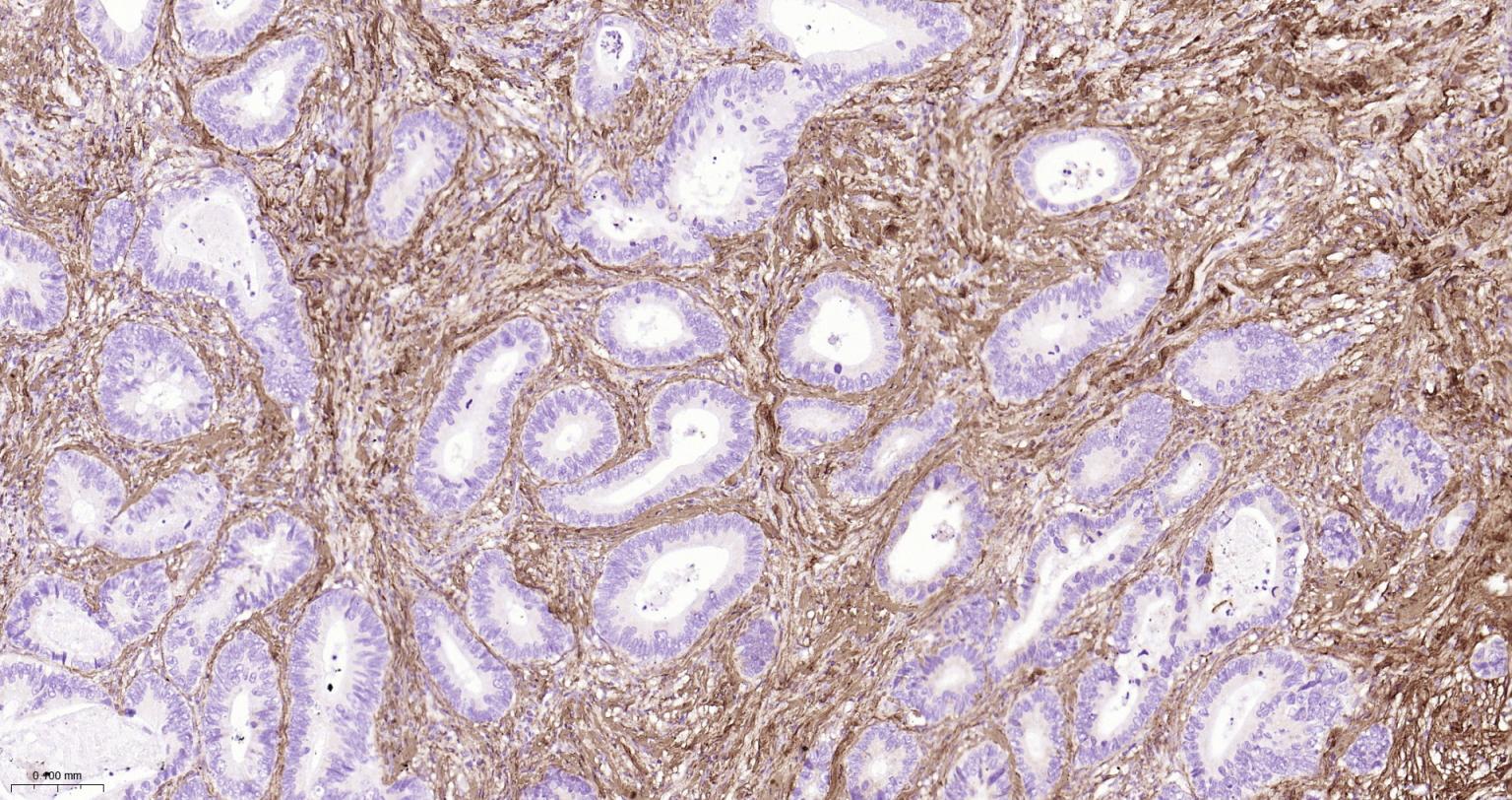
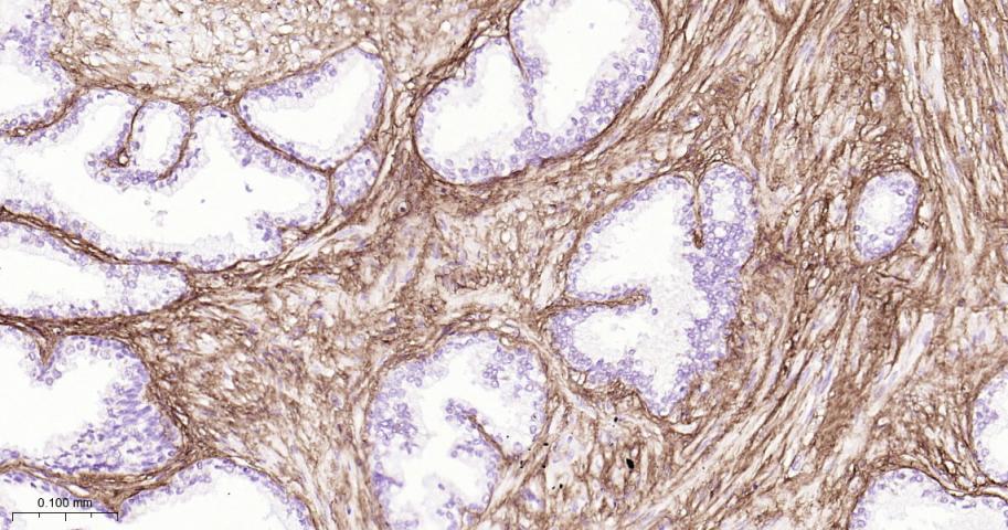
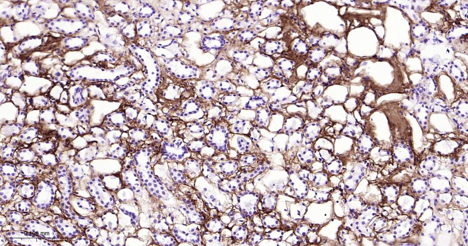
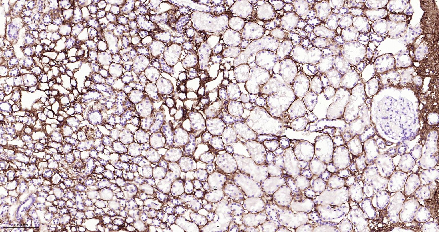
Paraformaldehyde-fixed, paraffin embedded Human Kidney; Antigen retrieval by boiling in sodium citrate buffer (pH6.0) for 15 min; The section was incubated with Collagen I Polyclonal Antibody, Unconjugated (bs-10423R) at 1:800 overnight at 4°C, followed by conjugation to the bs-0295G-HRP and DAB (C-0010) staining.
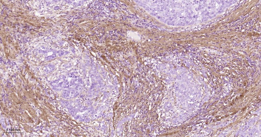
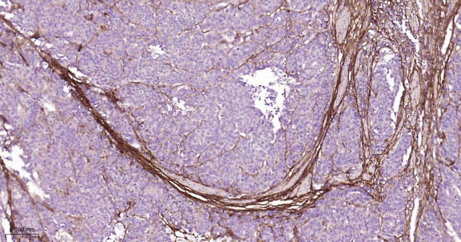
Paraformaldehyde-fixed, paraffin embedded Human Endometrial Cancer; Antigen retrieval by boiling in sodium citrate buffer (pH6.0) for 15 min; The section was incubated with Collagen I Polyclonal Antibody, Unconjugated (bs-10423R) at 1:800 overnight at 4°C, followed by conjugation to the bs-0295G-HRP and DAB (C-0010) staining.
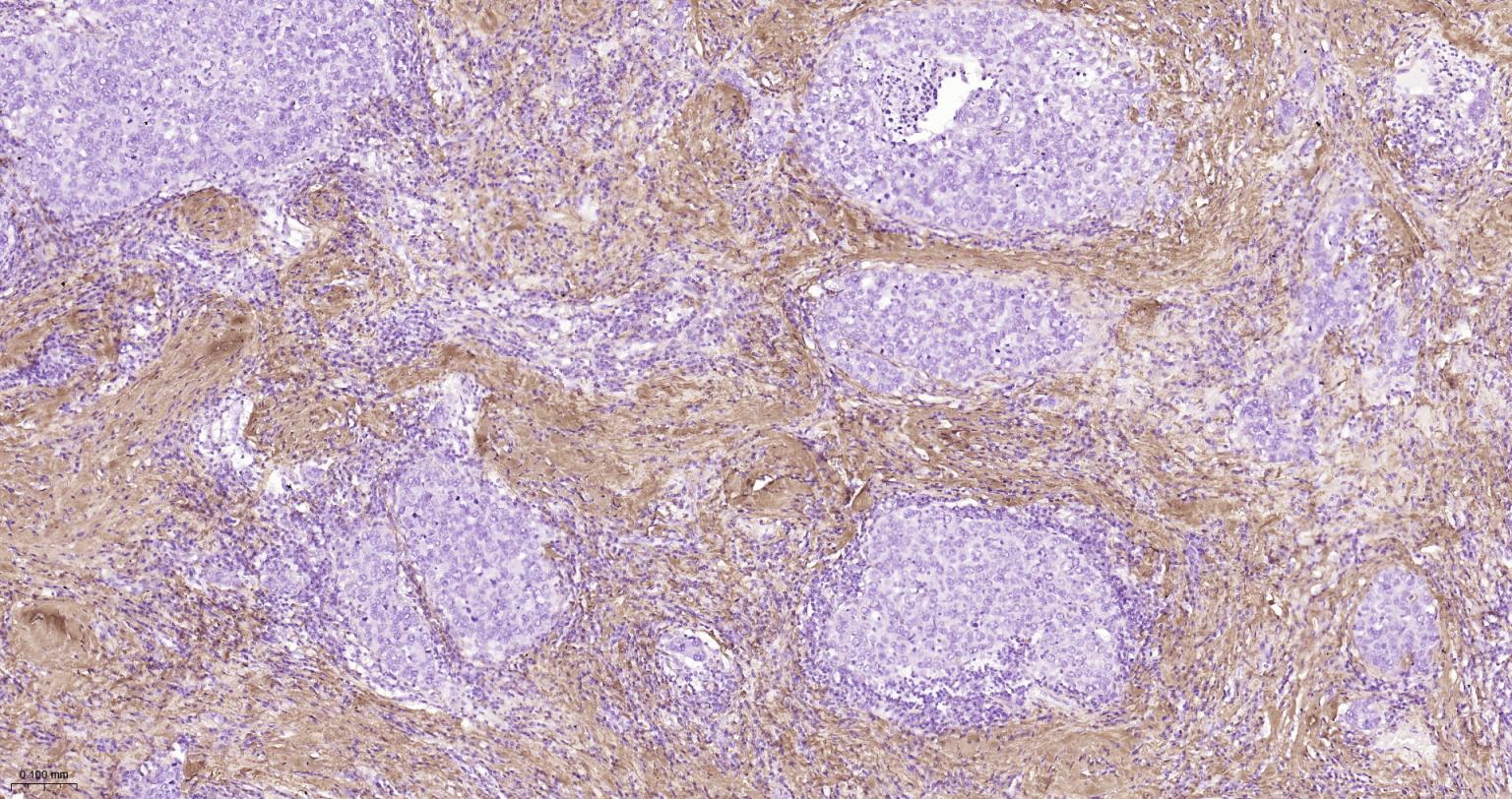
Paraformaldehyde-fixed, paraffin embedded Human Esophagus Cancer; Antigen retrieval by boiling in sodium citrate buffer (pH6.0) for 15 min; The section was incubated with Collagen I Polyclonal Antibody, Unconjugated (bs-10423R) at 1:800 overnight at 4°C, followed by conjugation to the bs-0295G-HRP and DAB (C-0010) staining.
Paraformaldehyde-fixed, paraffin embedded Human Breast Cancer; Antigen retrieval by boiling in sodium citrate buffer (pH6.0) for 15 min; The section was incubated with Collagen I Polyclonal Antibody, Unconjugated (bs-10423R) at 1:800 overnight at 4°C, followed by conjugation to the bs-0295G-HRP and DAB (C-0010) staining.
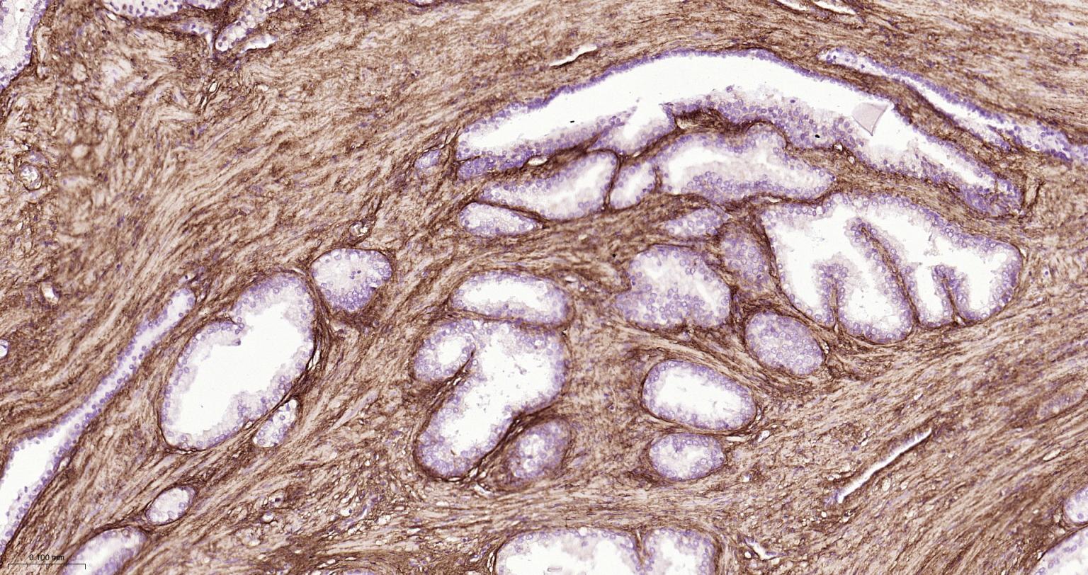
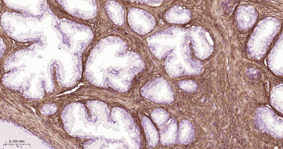
Paraformaldehyde-fixed, paraffin embedded Human Prostate; Antigen retrieval by boiling in sodium citrate buffer (pH6.0) for 15 min; The section was incubated with Collagen I Polyclonal Antibody, Unconjugated (bs-10423R) at 1:800 overnight at 4°C, followed by conjugation to the bs-0295G-HRP and DAB (C-0010) staining.
Paraformaldehyde-fixed, paraffin embedded Human Prostate Cancer; Antigen retrieval by boiling in sodium citrate buffer (pH6.0) for 15 min; The section was incubated with Collagen I Polyclonal Antibody, Unconjugated (bs-10423R) at 1:800 overnight at 4°C, followed by conjugation to the bs-0295G-HRP and DAB (C-0010) staining.
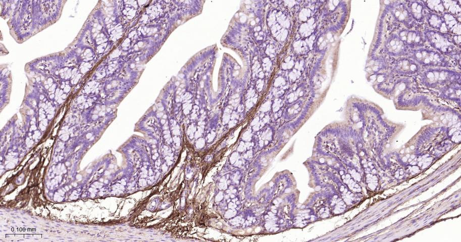
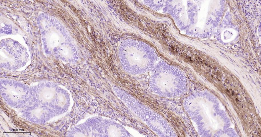
Paraformaldehyde-fixed, paraffin embedded Human Colon Cancer; Antigen retrieval by boiling in sodium citrate buffer (pH6.0) for 15 min; The section was incubated with Collagen I Polyclonal Antibody, Unconjugated (bs-10423R) at 1:800 overnight at 4°C, followed by conjugation to the bs-0295G-HRP and DAB (C-0010) staining.
Paraformaldehyde-fixed, paraffin embedded Rat Skin; Antigen retrieval by boiling in sodium citrate buffer (pH6.0) for 15 min; The section was incubated with Collagen I Polyclonal Antibody, Unconjugated (bs-10423R) at 1:800 overnight at 4°C, followed by conjugation to the bs-0295G-HRP and DAB (C-0010) staining.
Paraformaldehyde-fixed, paraffin embedded Mouse Skin; Antigen retrieval by boiling in sodium citrate buffer (pH6.0) for 15 min; The section was incubated with Collagen I Polyclonal Antibody, Unconjugated (bs-10423R) at 1:800 overnight at 4°C, followed by conjugation to the bs-0295G-HRP and DAB (C-0010) staining.
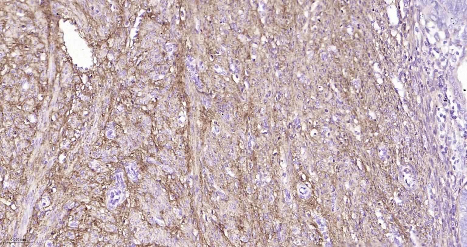
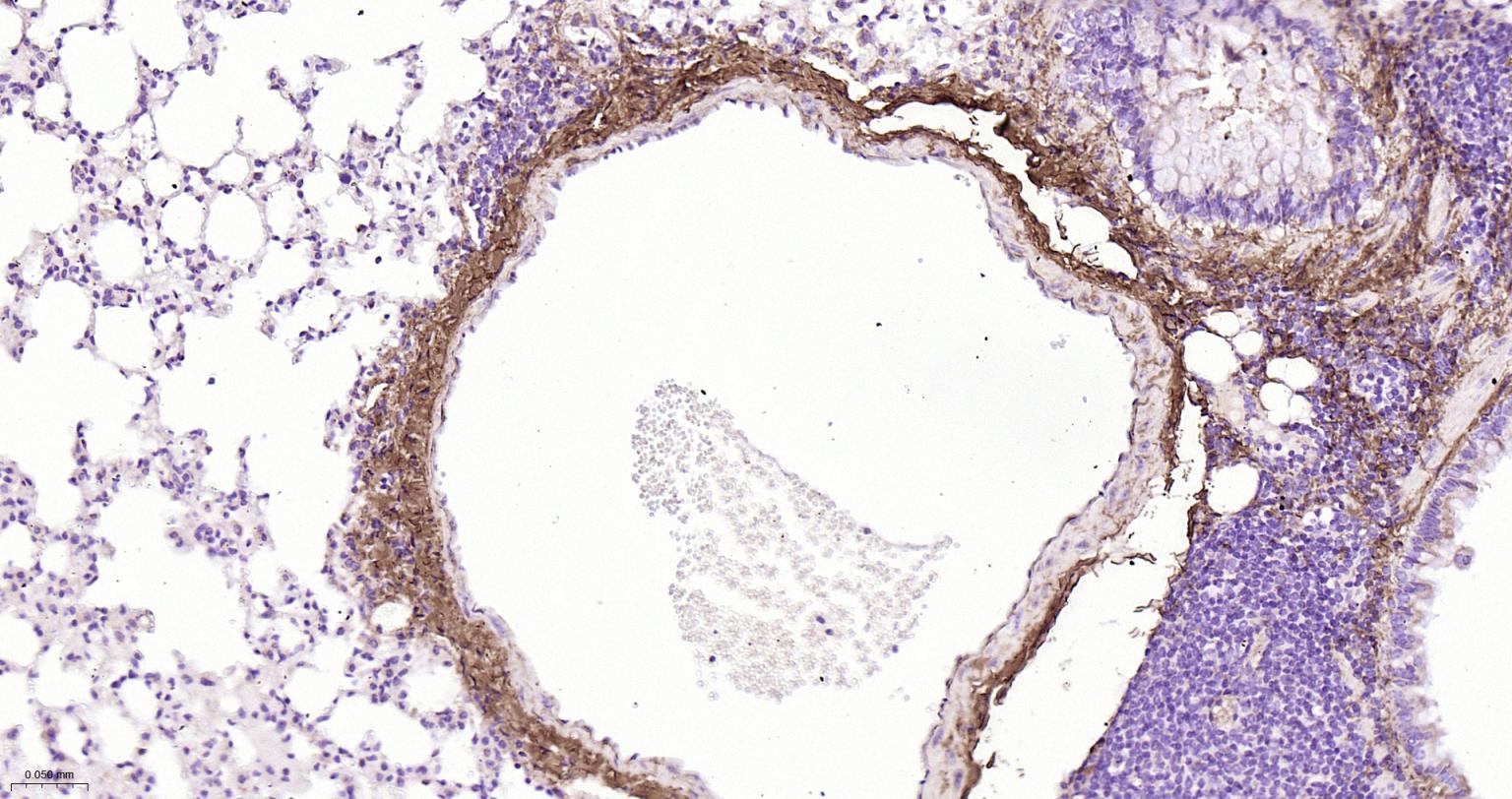
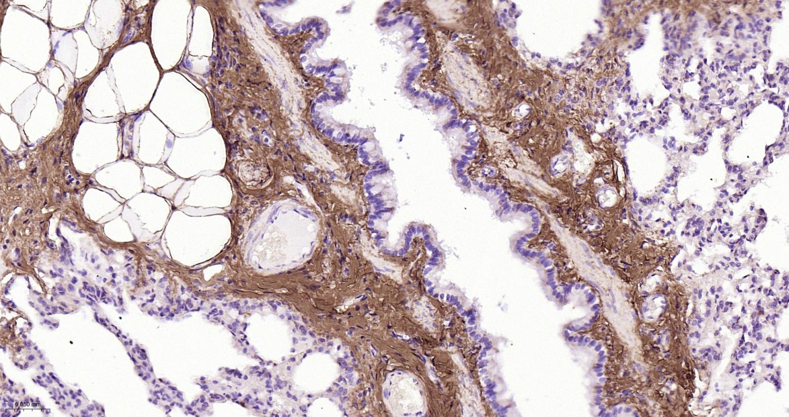
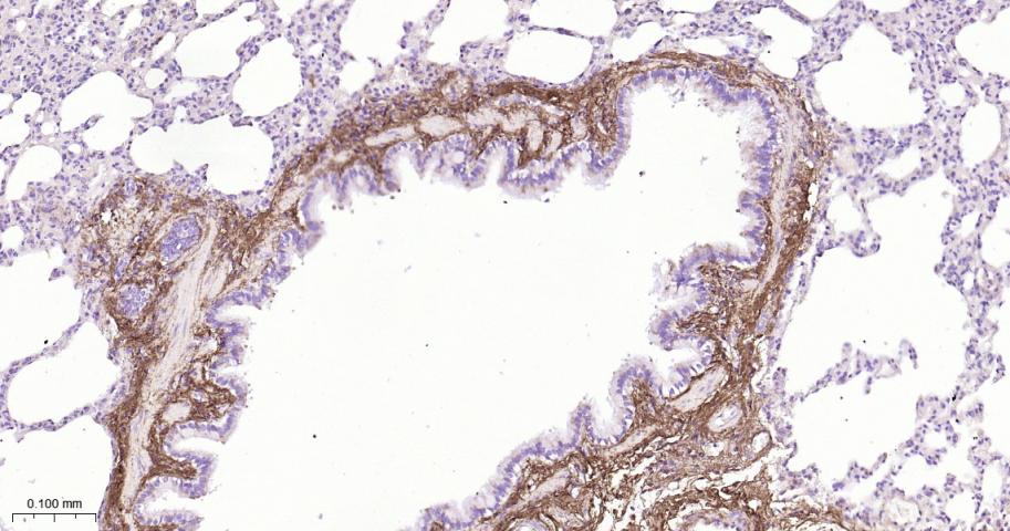
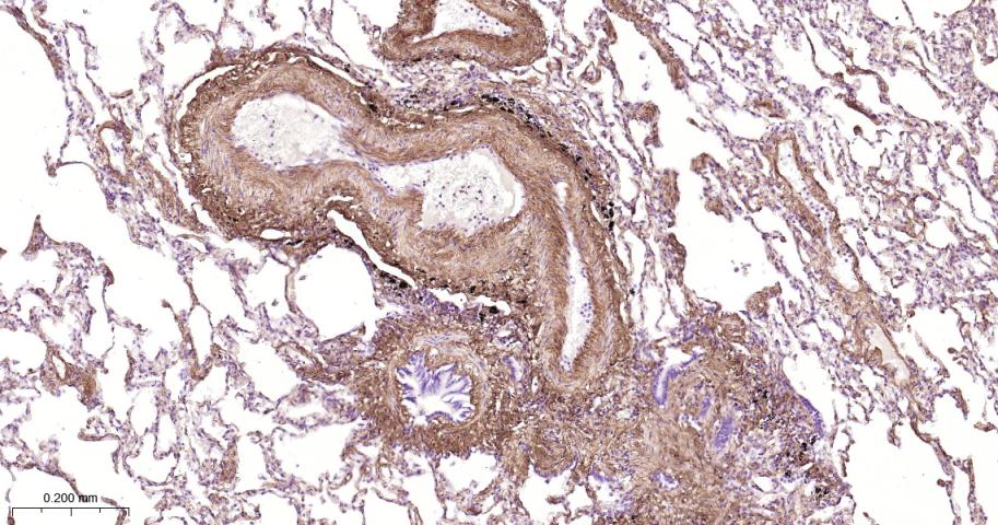
Paraformaldehyde-fixed, paraffin embedded Human Lung; Antigen retrieval by boiling in sodium citrate buffer (pH6.0) for 15 min; The section was incubated with Collagen I Polyclonal Antibody, Unconjugated (bs-10423R) at 1:800 overnight at 4°C, followed by conjugation to the bs-0295G-HRP and DAB (C-0010) staining.
Paraformaldehyde-fixed, paraffin embedded Rat Lung; Antigen retrieval by boiling in sodium citrate buffer (pH6.0) for 15 min; The section was incubated with Collagen I Polyclonal Antibody, Unconjugated (bs-10423R) at 1:800 overnight at 4°C, followed by conjugation to the bs-0295G-HRP and DAB (C-0010) staining.
Paraformaldehyde-fixed, paraffin embedded Mouse Lung; Antigen retrieval by boiling in sodium citrate buffer (pH6.0) for 15 min; The section was incubated with Collagen I Polyclonal Antibody, Unconjugated (bs-10423R) at 1:800 overnight at 4°C, followed by conjugation to the bs-0295G-HRP and DAB (C-0010) staining.
Paraformaldehyde-fixed, paraffin embedded Rat Colon; Antigen retrieval by boiling in sodium citrate buffer (pH6.0) for 15 min; The section was incubated with Collagen I Polyclonal Antibody, Unconjugated (bs-10423R) at 1:800 overnight at 4°C, followed by conjugation to the bs-0295G-HRP and DAB (C-0010) staining.
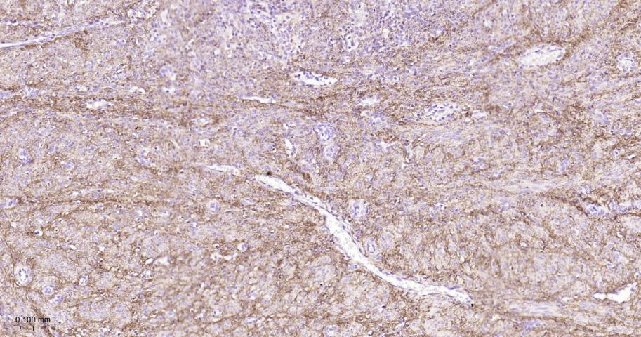
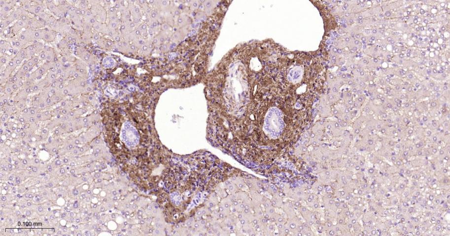
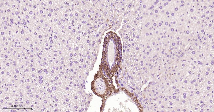
Paraformaldehyde-fixed, paraffin embedded Human Liver; Antigen retrieval by boiling in sodium citrate buffer (pH6.0) for 15 min; The section was incubated with Collagen I Polyclonal Antibody, Unconjugated (bs-10423R) at 1:800 overnight at 4°C, followed by conjugation to the bs-0295G-HRP and DAB (C-0010) staining.
Paraformaldehyde-fixed, paraffin embedded Mouse Liver; Antigen retrieval by boiling in sodium citrate buffer (pH6.0) for 15 min; The section was incubated with Collagen I Polyclonal Antibody, Unconjugated (bs-10423R) at 1:800 overnight at 4°C, followed by conjugation to the bs-0295G-HRP and DAB (C-0010) staining.
4% Paraformaldehyde-fixed U2-OS (H) cell; Triton X-100 at r.t. for 20 min; Antibody incubation with (Collagen I) polyclonal Antibody, unconjugated (bs-10423R) 1:100, 90 min at 37°C; followed by conjugated Goat Anti-Rabbit IgG antibody (green, bs-60295G-BF488) at 37°C for 90 min, DAPI (blue, C02-04002) was used to stain the cell nuclei. PBS instead of the primary antibody was used as the blank control.
4% Paraformaldehyde-fixed U-87MG (H) cell; Triton X-100 at r.t. for 20 min; Antibody incubation with (Collagen I) polyclonal Antibody, unconjugated (bs-10423R) 1:100, 90 min at 37°C; followed by conjugated Goat Anti-Rabbit IgG antibody (green, bs-60295G-BF488) at 37°C for 90 min, DAPI (blue, C02-04002) was used to stain the cell nuclei. PBS instead of the primary antibody was used as the blank control.
The U2-OS (H) cells were fixed with 4% PFA (10 min at r.t.) and then permeabilized with 90% ice-cold methanol for 20 min at -20℃,the cells then were incubated in 5%BSA to block non-specific protein-protein interactions (30 min at r.t.).Primary Antibody (green):Rabbit Anti-Collagen I antibody (bs-10423R,1:100); Secondary Antibody (white blue): Goat anti-Rabbit IgG-BF488 (bs-60295G-BF488): 1 μg/test. Blank control (black): PBS. Acquisition of 20,000 events was performed.
The U-87MG (H) cells were fixed with 4% PFA (10 min at r.t.) and then permeabilized with 90% ice-cold methanol for 20 min at -20℃,the cells then were incubated in 5%BSA to block non-specific protein-protein interactions (30 min at r.t.).Primary Antibody (green):Rabbit Anti-Collagen I antibody (bs-10423R,1:100); Secondary Antibody (white blue): Goat anti-Rabbit IgG-BF488 (bs-60295G-BF488): 1 μg/test.Blank control (black): PBS. Acquisition of 20,000 events was performed.
版权所有 2004-2026 www.bioss.com.cn 北京博奥森生物技术有限公司
通过国际质量管理体系ISO 9001:2015 GB/T 19001-2016    证书编号: 00124Q34771R2M/1100
通过国际医疗器械-质量管理体系ISO 13485:2016 GB/T 42061-2022     证书编号: CQC24QY20047R0M/1100
京ICP备05066980号-1         京公网安备110107000727号