扫码关注公众号           扫码咨询技术支持           扫码咨询技术服务
  
客服热线:400-901-9800  客服QQ:4009019800  技术答疑  技术支持  质量反馈  关于我们  联系我们
产品中心-北京博奥森生物技术有限公司
首页 > 产品中心 > 一抗 > 产品信息
SOD1 Rabbit pAb (bs-10216R)  
订购热线:400-901-9800
订购邮箱:sales@bioss.com.cn
订购QQ:  400-901-9800
技术支持:techsupport@bioss.com.cn
50ul/1180.00元
100ul/1980.00元
200ul/2800.00元
大包装/询价

产品编号 bs-10216R
英文名称 SOD1 Rabbit pAb
中文名称 超氧化物歧化酶1(铜/锌过氧化物歧化酶SOD抗体
别    名 Superoxide Dismutase 1; ALS 1; ALS; ALS1; Amyotrophic lateral sclerosis 1 adult; Amyotrophic lateral sclerosis 1; Cu/Zn SOD; Cu/Zn superoxide dismutase; Homodimer; Indophenoloxidase A; IPOA; Mn superoxide dismutase; SOD 1; SOD; SOD soluble; SOD2; SODC; Soluble indophenoloxidase A; Superoxide dismutase 1; Superoxide dismutase 1 soluble; Superoxide dismutase Cu Zn; Superoxide dismutase cystolic; SODC_HUMAN; Superoxide dismutase [Cu-Zn]; hSod1; Ipo1; SODC; Ipo-1; Sod-1; CuZnSOD; Cu/Zn-SOD; MGC107553; B430204E11Rik; superoxide-dimutase-1.  
Specific References  (20)     |     bs-10216R has been referenced in 20 publications.
[IF=9.986] Jiyoung Hwang. et al. SOD1 suppresses pro-inflammatory immune responses by protecting against oxidative stress in colitis. Redox Biol. 2020 Oct;37:101760  WB ;  Human.  
[IF=8.025] Huihui Sun. et al. Study of anti-fatigue activity of polysaccharide from fruiting bodies of Armillaria gallica. INT J BIOL MACROMOL. 2023 Apr;:124611  IHC ;  Mouse.  
[IF=6.551] Yukun Fang. et al. Activation of the ROS/HO-1/NQO1 signaling pathway contributes to the copper-induced oxidative stress and autophagy in duck renal tubular epithelial cells. Sci Total Environ. 2021 Feb;757:143753  WB ;  Duck.  
[IF=6.317] Ai-Wen Kang. et al. Puerarin extends the lifespan of Drosophila melanogaster by activating autophagy. FOOD FUNCT. 2023 Feb;:  WB ;  Drosophila melanogaster.  
[IF=6.291] Shaofeng Wu. et al. The neuroprotective effect of curcumin against ATO triggered neurotoxicity through Nrf2 and NF-κB signaling pathway in the brain of ducks. Ecotox Environ Safe. 2021 Dec;228:112965  WB ;  Duck.  
[IF=6.244] Xinrui Zhang. et al. Wan-Nian-Qing, a Herbal Composite Prescription, Suppresses the Progression of Liver Cancer in Mice by Regulating Immune Response. Front Oncol. 2021; 11: 696282  WB ;  Mouse.  
[IF=6.208] Yanan Hao. et al. Alginate Oligosaccharides Repair Liver Injury by Improving Anti-Inflammatory Capacity in a Busulfan-Induced Mouse Model. INT J MOL SCI. 2023 Jan;24(4):3097  IF ;  Mouse.  
[IF=5.572] Yue Song. et al. Maternal ochratoxin A exposure impairs meiosis progression and primordial follicle formation of F1 offspring. FOOD CHEM TOXICOL. 2022 Aug;:113386  WB ;  Mouse.  
[IF=4.872] Shaofeng Wu. et al. Protective effects of curcumin on ATO-induced nephrotoxicity in ducks in relation to suppressed autophagy, apoptosis and dyslipidemia by regulating oxidative stress. Ecotox Environ Safe. 2021 Aug;219:112350  WB ;  Duck.  
[IF=4.868] Wang Z et al. Aronia melanocarpa Prevents Alcohol-Induced Chronic Liver Injury via Regulation of Nrf2 Signaling in C57BL/6 Mice. Oxid Med Cell Longev. 2020 Jan 8;2020:4054520.  WB ;  Mouse.  
[IF=4.868] Meng B et al. Hepatoprotective Effects of Morchella esculenta against Alcohol-Induced Acute Liver Injury in the C57BL/6 Mouse Related to Nrf-2 and NF-κB Signaling. Oxidative Medicine and Cellular Longevity.2019, Article ID 6029876.  WB ;  Mouse.  
[IF=4.784] Han Y et al. Inonotus obliquus polysaccharides protect against Alzheimer's disease by regulating Nrf2 signaling and exerting antioxidative and antiapoptotic effects.Int J Biol Macromol. 2019 Jun 15;131:769-778.  WB ;  Mouse.  
[IF=3.503] Zhang-Jie Yang. et al. SIRT 3 was involved in Lycium barbarum seed oil protection testis from oxidative stress: in vitro and in vivo analyses. Pharm Biol. 2021;59(1):1314-1325  WB ;  Rat.  
[IF=3.503] Yongfeng Zhang. et al. Aucubin slows the development of osteoporosis by inhibiting osteoclast differentiation via the nuclear factor erythroid 2-related factor 2-mediated antioxidation pathway. Pharm Biol. 2021;59(1):1556-1565  WB ;  Mouse.  
[IF=3.345] Xu et al. Morphological and proteomic analyses reveal that unsaturated guluronate oligosaccharide modulates multiple functional pathways in murine macrophage RAW264.7 cells. (2015) Mar.Drug. 13:1798-818  WB ;  Mouse.  
[IF=2.629] Setyaningsih Wiwit A. W.. et al. Ethanolic Extract of Centella asiatica Treatment in the Early Stage of Hyperglycemia Condition Inhibits Glomerular Injury and Vascular Remodeling in Diabetic Rat Model. Evid-Based Compl Alt. 2021;2021:6671130  WB,IHC ;  Rat.  
[IF=2.323] Liu R et al. Effect of Dietary Methionine Deficiency Followed by a Re-Feeding Phase on the Hepatic Antioxidant Activities of LambsAnimals (Basel).2020 Dec 23;11(1):7.  WB ;  Lamb.  
[IF=2.197] Arfian N et al. Chlorogenic Acid Attenuates Kidney Ischemic/Reperfusion Injury via Reducing Inflammation, Tubular Injury, and Myofibroblast Formation. BioMed Research International, 2019, 1–10.  IHC-P ;  Mouse.  
[IF=2.141] Ting Yao. et al. Differences of the anti-oxidative capability, GPX3, and Cu/ZnSOD expression in Hu sheep testis with different size at six-month-old. ANIM BIOTECHNOL. 2023 Feb 15  IHC ;  Sheep.  
[IF=1.69] Han, Ronghui, et al. "Astragalus polysaccharide ameliorates H2O2-induced human umbilical vein endothelial cell injury." Molecular Medicine Reports15.6 (2017): 4027-4034.  WB ;  Human.  
抗体来源 Rabbit
克隆类型 Polyclonal
克 隆 号
交叉反应 Human,Mouse,Rat (predicted: Pig,Cow,Horse)
产品应用 WB=1:500-2000,IHC-P=1:100-500,IHC-F=1:100-500,IF=1:100-500,Flow-Cyt=1ug/test
not yet tested in other applications.
optimal dilutions/concentrations should be determined by the end user.
理论分子量 17 kDa
检测分子量
细胞定位 细胞浆 
性    状 Liquid
浓    度 1mg/ml
免 疫 原 KLH conjugated synthetic peptide derived from human SOD1: 6-100/154 
亚    型 IgG
纯化方法 affinity purified by Protein A
缓 冲 液 0.01M TBS (pH7.4) with 1% BSA, 0.02% Proclin300 and 50% Glycerol.
保存条件 Shipped at 4℃. Store at -20℃ for one year. Avoid repeated freeze/thaw cycles.
注意事项 This product as supplied is intended for research use only, not for use in human, therapeutic or diagnostic applications.
PubMed PubMed
产品介绍 The protein encoded by this gene binds copper and zinc ions and is one of two isozymes responsible for destroying free superoxide radicals in the body. The encoded isozyme is a soluble cytoplasmic protein, acting as a homodimer to convert naturally-occuring but harmful superoxide radicals to molecular oxygen and hydrogen peroxide. The other isozyme is a mitochondrial protein. Mutations in this gene have been implicated as causes of familial amyotrophic lateral sclerosis. Rare transcript variants have been reported for this gene. [provided by RefSeq, Jul 2008]

Function:
Destroys radicals which are normally produced within the cells and which are toxic to biological systems.

Subunit:
Homodimer; non-disulfide linked. Homodimerization may take place via the ditryptophan cross-link at Trp-33. The pathogenic variants ALS1 Arg-38, Arg-47, Arg-86 and Ala-94 interact with RNF19A, whereas wild-type protein does not. The pathogenic variants ALS1 Arg-86 and Ala-94 interact with MARCH5, whereas wild-type protein does not.

Subcellular Location:
Cytoplasm. Note=The pathogenic variants ALS1 Arg-86 and Ala-94 gradually aggregates and accumulates in mitochondria.

Post-translational modifications:
Unlike wild-type protein, the pathogenic variants ALS1 Arg-38, Arg-47, Arg-86 and Ala-94 are polyubiquitinated by RNF19A leading to their proteasomal degradation. The pathogenic variants ALS1 Arg-86 and Ala-94 are ubiquitinated by MARCH5 leading to their proteasomal degradation.
The ditryptophan cross-link at Trp-33 is responsible for the non-disulfide-linked homodimerization. Such modification might only occur in extreme conditions and additional experimental evidence is required.

DISEASE:
Defects in SOD1 are the cause of amyotrophic lateral sclerosis type 1 (ALS1) [MIM:105400]. ALS1 is a familial form of amyotrophic lateral sclerosis, a neurodegenerative disorder affecting upper and lower motor neurons and resulting in fatal paralysis. Sensory abnormalities are absent. Death usually occurs within 2 to 5 years. The etiology of amyotrophic lateral sclerosis is likely to be multifactorial, involving both genetic and environmental factors. The disease is inherited in 5-10% of cases leading to familial forms.

Similarity:
Belongs to the Cu-Zn superoxide dismutase family.

SWISS:
P00441

Gene ID:
6647

Database links:

Entrez Gene: 6647 Human

Entrez Gene: 20655 Mouse

Entrez Gene: 24786 Rat

Omim: 147450 Human

SwissProt: P00441 Human

SwissProt: P08228 Mouse

SwissProt: P07632 Rat

Unigene: 443914 Human

Unigene: 276325 Mouse

Unigene: 466779 Mouse

Unigene: 6059 Rat



产品图片
Sample: Lane 1: Liver (Mouse) Lysate at 40 ug Lane 2: Cerebrum (Rat) Lysate at 40 ug Lane 3: Kidney (Rat) Lysate at 40 ug Lane 4: Liver (Rat) Lysate at 40 ug Primary: Anti-SOD1 (bs-10216R) at 1/1000 dilution Secondary: IRDye800CW Goat Anti-Rabbit IgG at 1/20000 dilution Predicted band size: 17 kD Observed band size: 19 kD
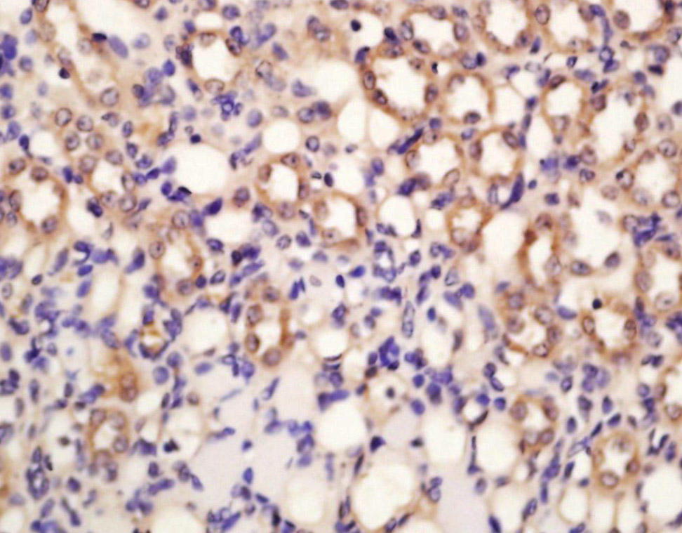
Tissue/cell: rat kidney tissue; 4% Paraformaldehyde-fixed and paraffin-embedded; Antigen retrieval: citrate buffer ( 0.01M, pH 6.0 ), Boiling bathing for 15min; Block endogenous peroxidase by 3% Hydrogen peroxide for 30min; Blocking buffer (normal goat serum,C-0005) at 37℃ for 20 min; Incubation: Anti-SOD1 Polyclonal Antibody, Unconjugated(bs-10216R) 1:200, overnight at 4°C, followed by conjugation to the secondary antibody(SP-0023) and DAB(C-0010) staining
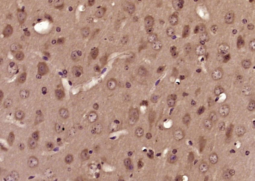
Paraformaldehyde-fixed, paraffin embedded (mouse brain tissue); Antigen retrieval by boiling in sodium citrate buffer (pH6.0) for 15min; Block endogenous peroxidase by 3% hydrogen peroxide for 20 minutes; Blocking buffer (normal goat serum) at 37°C for 30min; Antibody incubation with (SOD1) Polyclonal Antibody, Unconjugated (bs-10216R) at 1:200 overnight at 4°C, followed by operating according to SP Kit(Rabbit) (sp-0023) instructionsand DAB staining.
Blank control: Raji. Primary Antibody (green line): Rabbit Anti-SOD1 antibody (bs-10216R) Dilution: 1μg /10^6 cells; Isotype Control Antibody (orange line): Rabbit IgG . Secondary Antibody : Goat anti-rabbit IgG-PE Dilution: 1μg /test. Protocol The cells were fixed with 4% PFA (10min at room temperature)and then permeabilized with PBST for 20 min at room temperature. The cells were then incubated in 5%BSA to block non-specific protein-protein interactions for 30 min at at room temperature .Cells stained with Primary Antibody for 30 min at room temperature. The secondary antibody used for 40 min at room temperature. Acquisition of 20,000 events was performed.
Blank control: Jurkat. Primary Antibody (green line): Rabbit Anti-SOD1 antibody (bs-10216R) Dilution: 1ug/Test; Secondary Antibody : Goat anti-rabbit IgG-FITC Dilution: 0.5ug/Test. Protocol The cells were fixed with 4% PFA (10min at room temperature)and then permeabilized with 0.1% PBST for 20 min at room temperature.The cells were then incubated in 5%BSA to block non-specific protein-protein interactions for 30 min at room temperature .Cells stained with Primary Antibody for 30 min at room temperature. The secondary antibody used for 40 min at room temperature. Acquisition of 20,000 events was performed.
版权所有 2004-2026 www.bioss.com.cn 北京博奥森生物技术有限公司
通过国际质量管理体系ISO 9001:2015 GB/T 19001-2016    证书编号: 00124Q34771R2M/1100
通过国际医疗器械-质量管理体系ISO 13485:2016 GB/T 42061-2022     证书编号: CQC24QY20047R0M/1100
京ICP备05066980号-1         京公网安备110107000727号