扫码关注公众号           扫码咨询技术支持           扫码咨询技术服务
  
客服热线:400-901-9800  客服QQ:4009019800  技术答疑  技术支持  质量反馈  关于我们  联系我们
产品中心-北京博奥森生物技术有限公司
首页 > 产品中心 > 一抗 > 产品信息
CYB5R4 Rabbit pAb (bs-14133R)  
订购热线:400-901-9800
订购邮箱:sales@bioss.com.cn
订购QQ:  400-901-9800
技术支持:techsupport@bioss.com.cn
50ul/1180.00元
100ul/1980.00元
200ul/2800.00元
大包装/询价

产品编号 bs-14133R
英文名称 CYB5R4 Rabbit pAb
中文名称 细胞色素B5还原酶4抗体
别    名 b5+b5R; b5b5r; C79736; cb5/cb5R; Cb5cb5r; Cyb5r4; Cytochrome b type NAD(P)H oxidoreductase; Cytochrome b5 reductase 4; dJ676J13.1; Flavohemoprotein b5+b5R; Flavohemoprotein b5/b5R; N terminal cytochrome b5 and cytochrome b5 oxidoreductase domain containing protein; N-terminal cytochrome b5 and cytochrome b5 oxidoreductase domain-containing protein; NADPH cytochrome B5 oxidoreductase; NB5R4_HUMAN; NCB5OR; RP4 676J13.1.  
研究领域 细胞生物  神经生物学  细胞类型标志物  
抗体来源 Rabbit
克隆类型 Polyclonal
克 隆 号
交叉反应 Human,Mouse,Rat (predicted: Pig,Sheep,Cow,Chicken,Dog,Horse)
产品应用 WB=1:500-2000,IHC-P=1:100-500,IHC-F=1:100-500,IF=1:100-500
not yet tested in other applications.
optimal dilutions/concentrations should be determined by the end user.
理论分子量 59 kDa
检测分子量
细胞定位 细胞浆 
性    状 Liquid
浓    度 1mg/ml
免 疫 原 KLH conjugated synthetic peptide derived from human CYB5R4: 21-120/521 
亚    型 IgG
纯化方法 affinity purified by Protein A
缓 冲 液 0.01M TBS (pH7.4) with 1% BSA, 0.02% Proclin300 and 50% Glycerol.
保存条件 Shipped at 4℃. Store at -20℃ for one year. Avoid repeated freeze/thaw cycles.
注意事项 This product as supplied is intended for research use only, not for use in human, therapeutic or diagnostic applications.
PubMed PubMed
产品介绍 NCB5OR is a flavohemoprotein that contains functional domains found in both cytochrome b5 (CYB5A; MIM 613218) and CYB5 reductase (CYB5R3; MIM 613213) (Zhu et al., 1999 [PubMed 10611283]).[supplied by OMIM, Jan 2010]

Function:
NADH-cytochrome b5 reductase involved in endolasmic reticulum stress response pathway. Plays a critical role in protecting pancreatic beta-cells against oxidant stress, possibly by protecting the cell from excess buildup of reactive oxygen species (ROS). Reduces a variety of substrates in vitro, such as cytochrome c, feericyanide and methemoglobin.

Subcellular Location:
Endoplasmic reticulum. Soluble protein.

Tissue Specificity:
Widely expressed.

Similarity:
Belongs to the flavoprotein pyridine nucleotide cytochrome reductase family.
Contains 1 CS domain.
Contains 1 cytochrome b5 heme-binding domain.
Contains 1 FAD-binding FR-type domain.

SWISS:
Q7L1T6

Gene ID:
51167

Database links:

Entrez Gene: 51167 Human

Omim: 608343 Human

SwissProt: Q7L1T6 Human

Unigene: 5741 Human



产品图片
Sample: Testis (Mouse) Lysate at 40 ug Testis (Rat) Lysate at 40 ug Primary: Anti- CYB5R4 (bs-14133R) at 1/1000 dilution Secondary: IRDye800CW Goat Anti-Rabbit IgG at 1/20000 dilution Predicted band size: 59 kD Observed band size: 59 kD
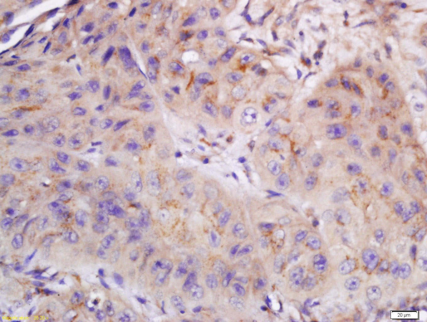
Tissue/cell: human laryngocarcinoma; 4% Paraformaldehyde-fixed and paraffin-embedded; Antigen retrieval: citrate buffer ( 0.01M, pH 6.0 ), Boiling bathing for 15min; Block endogenous peroxidase by 3% Hydrogen peroxide for 30min; Blocking buffer (normal goat serum,C-0005) at 37℃ for 20 min; Incubation: Anti-CYB5R4 Polyclonal Antibody, Unconjugated(bs-14133R) 1:400, overnight at 4°C, followed by conjugation to the secondary antibody(SP-0023) and DAB(C-0010) staining
版权所有 2004-2026 www.bioss.com.cn 北京博奥森生物技术有限公司
通过国际质量管理体系ISO 9001:2015 GB/T 19001-2016    证书编号: 00124Q34771R2M/1100
通过国际医疗器械-质量管理体系ISO 13485:2016 GB/T 42061-2022     证书编号: CQC24QY20047R0M/1100
京ICP备05066980号-1         京公网安备110107000727号