扫码关注公众号           扫码咨询技术支持           扫码咨询技术服务
  
客服热线:400-901-9800  客服QQ:4009019800  技术答疑  技术支持  质量反馈  关于我们  联系我们
产品中心-北京博奥森生物技术有限公司
首页 > 产品中心 > 一抗 > 产品信息
DALRD3 Rabbit pAb (bs-14192R)  
订购热线:400-901-9800
订购邮箱:sales@bioss.com.cn
订购QQ:  400-901-9800
技术支持:techsupport@bioss.com.cn
50ul/1180.00元
100ul/1980.00元
200ul/2800.00元
大包装/询价

产品编号 bs-14192R
英文名称 DALRD3 Rabbit pAb
中文名称 DALRD3蛋白抗体
别    名 6330580J24Rik; C77829; DALR anticodon binding domain containing 3; DALR anticodon binding domain containing protein 3; DALRD 3; FLJ10496.  
研究领域 肿瘤  细胞生物  信号转导  新陈代谢  
抗体来源 Rabbit
克隆类型 Polyclonal
克 隆 号
交叉反应 Mouse,Rat (predicted: Human,Horse)
产品应用 WB=1:500-2000,IHC-P=1:100-500,IHC-F=1:100-500,IF=1:100-500
not yet tested in other applications.
optimal dilutions/concentrations should be determined by the end user.
理论分子量 59 kDa
检测分子量
细胞定位 细胞核 细胞浆 
性    状 Liquid
浓    度 1mg/ml
免 疫 原 KLH conjugated synthetic peptide derived from human DALRD3: 352-450/543 
亚    型 IgG
纯化方法 affinity purified by Protein A
缓 冲 液 0.01M TBS (pH7.4) with 1% BSA, 0.02% Proclin300 and 50% Glycerol.
保存条件 Shipped at 4℃. Store at -20℃ for one year. Avoid repeated freeze/thaw cycles.
注意事项 This product as supplied is intended for research use only, not for use in human, therapeutic or diagnostic applications.
PubMed PubMed
产品介绍 The exact function of this gene is not known. It encodes a protein with a DALR anticodon binding domain similar to that of class Ia aminoacyl tRNA synthetases. This gene is located in a cluster of genes (with a complex sense-anti-sense genome architecture) on chromosome 3, and contains two micro RNA (miRNA) precursors (mir-425 and mir-191) in one of its introns. Preferential expression of this gene (the miRNAs and other genes in the cluster) in testis suggests a role of this gene in spermatogenesis [provided by RefSeq, Feb 2013]

Function:
DALRD3 contains a DALR anticodon binding domain. This all alpha helical domain is the anticodon binding domain in Arginyl and glycyl tRNA synthetase. It is known as the DALR domain after characteristic conserved amino acids. There are 5 named isoforms of DALRD3 produced by alternative splicing.

SWISS:
Q5D0E6

Gene ID:
55152

Database links:

Entrez Gene: 55152 Human

Entrez Gene: 67789 Mouse

Entrez Gene: 363146 Rat

SwissProt: Q5D0E6 Human

SwissProt: Q6PJN8 Mouse

SwissProt: Q641Y9 Rat



产品图片
Sample: Liver (Mouse) Lysate at 40 ug Primary: Anti- DALRD3 (bs-14192R) at 1/300 dilution Secondary: IRDye800CW Goat Anti-Rabbit IgG at 1/20000 dilution Predicted band size: 59 kD Observed band size: 59 kD
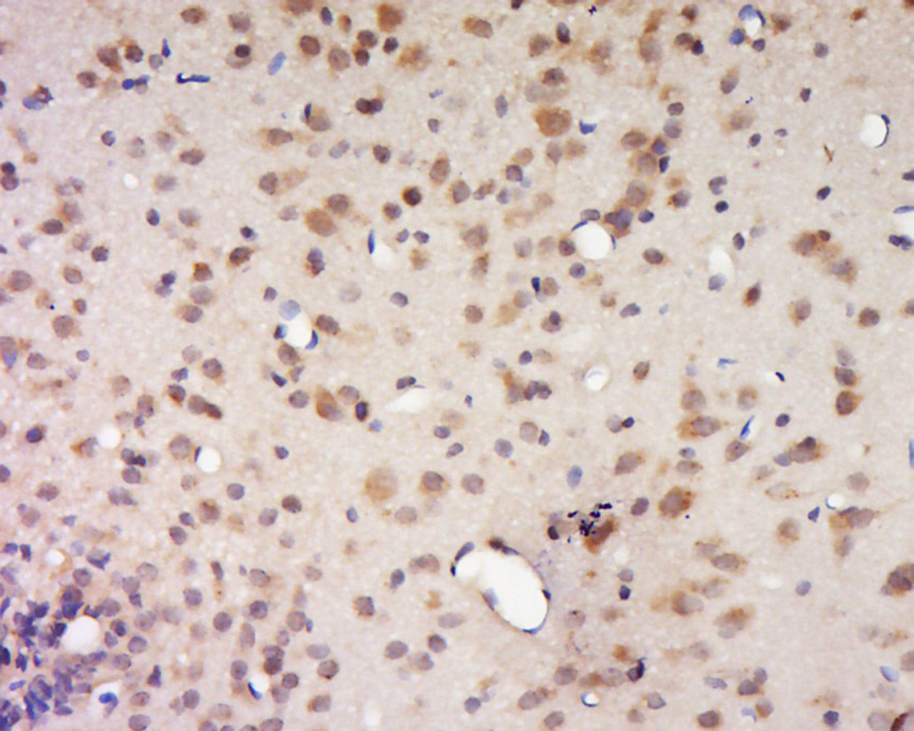
Tissue/cell: Rat brain tissue; 4% Paraformaldehyde-fixed and paraffin-embedded; Antigen retrieval: citrate buffer ( 0.01M, pH 6.0 ), Boiling bathing for 15min; Block endogenous peroxidase by 3% Hydrogen peroxide for 30min; Blocking buffer (normal goat serum,C-0005) at 37℃ for 20 min; Incubation: Anti-DALRD3 Polyclonal Antibody, Unconjugated(bs-14192R) 1:500, overnight at 4°C, followed by conjugation to the secondary antibody(SP-0023) and DAB(C-0010) staining
Tissue/cell: Rat testis tissue; 4% Paraformaldehyde-fixed and paraffin-embedded; Antigen retrieval: citrate buffer ( 0.01M, pH 6.0 ), Boiling bathing for 15min; Block endogenous peroxidase by 3% Hydrogen peroxide for 30min; Blocking buffer (normal goat serum,C-0005) at 37℃ for 20 min; Incubation: Anti-DALRD3 Polyclonal Antibody, Unconjugated(bs-14192R) 1:500, overnight at 4°C, followed by conjugation to the secondary antibody(SP-0023) and DAB(C-0010) staining
版权所有 2004-2026 www.bioss.com.cn 北京博奥森生物技术有限公司
通过国际质量管理体系ISO 9001:2015 GB/T 19001-2016    证书编号: 00124Q34771R2M/1100
通过国际医疗器械-质量管理体系ISO 13485:2016 GB/T 42061-2022     证书编号: CQC24QY20047R0M/1100
京ICP备05066980号-1         京公网安备110107000727号