扫码关注公众号           扫码咨询技术支持           扫码咨询技术服务
  
客服热线:400-901-9800  客服QQ:4009019800  技术答疑  技术支持  质量反馈  关于我们  联系我们
产品中心-北京博奥森生物技术有限公司
首页 > 产品中心 > 一抗 > 产品信息
DAND5/GREM3 Rabbit pAb (bs-14193R)  
订购热线:400-901-9800
订购邮箱:sales@bioss.com.cn
订购QQ:  400-901-9800
技术支持:techsupport@bioss.com.cn
50ul/1180.00元
100ul/1980.00元
200ul/2800.00元
大包装/询价

产品编号 bs-14193R
英文名称 DAND5/GREM3 Rabbit pAb
中文名称 骨形态形成蛋白拮抗蛋白3抗体
别    名 BMP antagonist 3; CER2; cerberus 2; Cerberus like 2; Cerberus-like protein 2; Cerl-2; CERL2; CKTSF1B3; COCO; CRL2; Cysteine knot superfamily 1; Cysteine knot superfamily 1 BMP antagonist 3; DAN domain family member 5; Dand5; DAND5_HUMAN; DANTE; GREM3; Gremlin-3; MGC126849; SP1.  
研究领域 细胞生物  发育生物学  
抗体来源 Rabbit
克隆类型 Polyclonal
克 隆 号
交叉反应 Human
产品应用 IHC-P=1:100-500,IHC-F=1:100-500,IF=1:100-500
not yet tested in other applications.
optimal dilutions/concentrations should be determined by the end user.
理论分子量 18 kDa
检测分子量
细胞定位 细胞浆 
性    状 Liquid
浓    度 1mg/ml
免 疫 原 KLH conjugated synthetic peptide derived from human DAND5/GREM3: 101-189/189 
亚    型 IgG
纯化方法 affinity purified by Protein A
缓 冲 液 0.01M TBS (pH7.4) with 1% BSA, 0.02% Proclin300 and 50% Glycerol.
保存条件 Shipped at 4℃. Store at -20℃ for one year. Avoid repeated freeze/thaw cycles.
注意事项 This product as supplied is intended for research use only, not for use in human, therapeutic or diagnostic applications.
PubMed PubMed
产品介绍 This gene encodes a member of the BMP (bone morphogenic protein) antagonist family. Like BMPs, BMP antagonists contain cystine knots and typically form homo- and heterodimers. The CAN (cerberus and dan) subfamily of BMP antagonists, to which this gene belongs, is characterized by a C-terminal cystine knot with an eight-membered ring. The antagonistic effect of the secreted protein encoded by this gene is likely due to its direct binding to BMP proteins. As an antagonist of BMP, this gene may play a role in regulating organogenesis, body patterning, and tissue differentiation. In mouse, this protein has been shown to bind Nodal and to inhibit the Nodal signaling pathway which patterns left/right body asymmetry. [provided by RefSeq, Jul 2008]

Function:
Seems to play a role in the correct specification of the left-right axis. May antagonize NODAL and BMP4 signaling. Cystine knot-containing proteins play important roles during development, organogenesis, tissue growth and differentiation.

Subcellular Location:
Secreted.

Similarity:
Belongs to the DAN family.
Contains 1 CTCK (C-terminal cystine knot-like) domain.

SWISS:
Q8N907

Gene ID:
199699

Database links:

Entrez Gene: 199699 Human

Omim: 609068 Human

SwissProt: Q8N907 Human

Unigene: 331981 Human



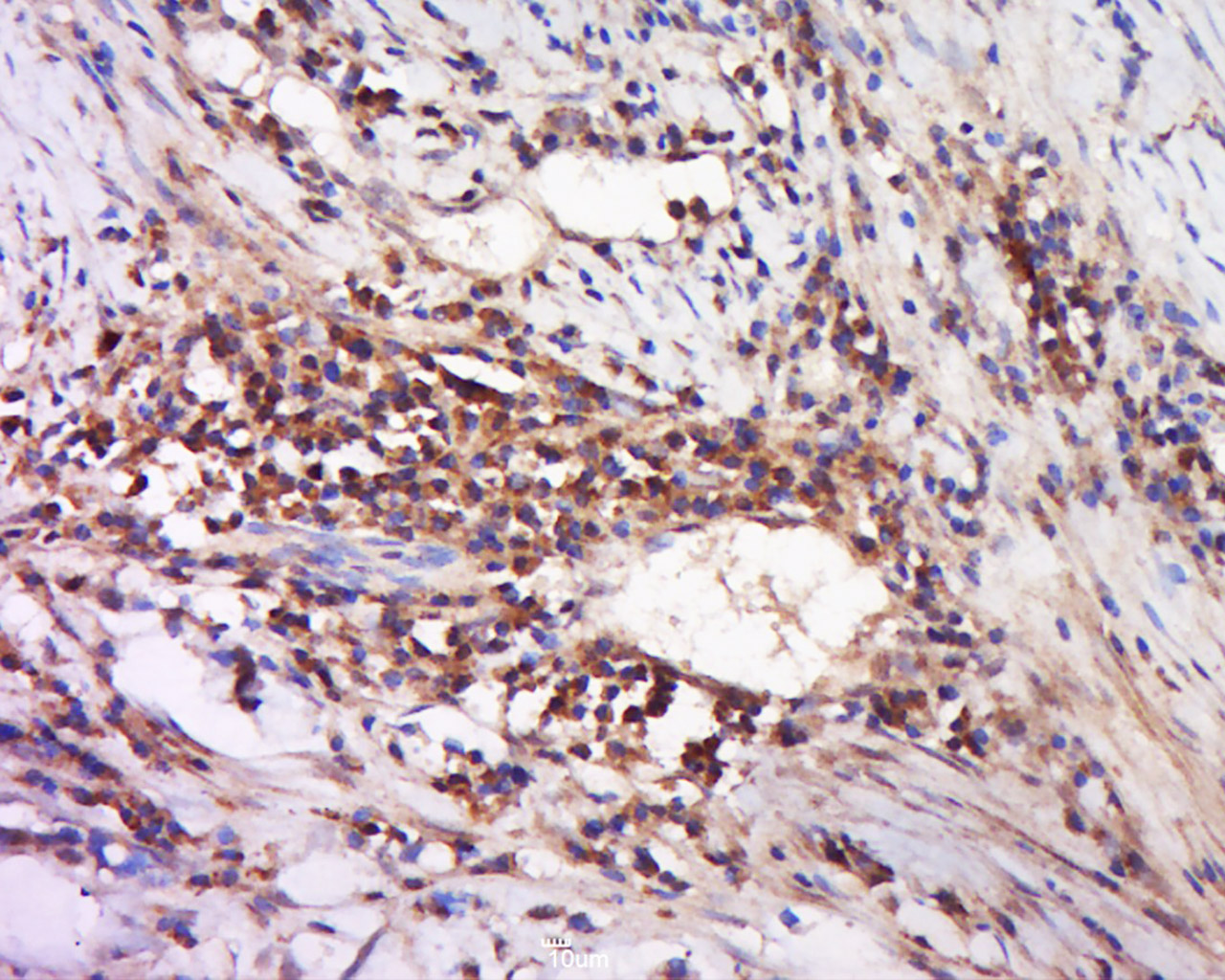
产品图片
Tissue/cell: Human brain glioma; 4% Paraformaldehyde-fixed and paraffin-embedded; Antigen retrieval: citrate buffer ( 0.01M, pH 6.0 ), Boiling bathing for 15min; Block endogenous peroxidase by 3% Hydrogen peroxide for 30min; Blocking buffer (normal goat serum,C-0005) at 37℃ for 20 min; Incubation: Anti-DAND5 Polyclonal Antibody, Unconjugated(bs-14193R) 1:500, overnight at 4°C, followed by conjugation to the secondary antibody(SP-0023) and DAB(C-0010) staining
Tissue/cell: Human colon carcinoma; 4% Paraformaldehyde-fixed and paraffin-embedded; Antigen retrieval: citrate buffer ( 0.01M, pH 6.0 ), Boiling bathing for 15min; Block endogenous peroxidase by 3% Hydrogen peroxide for 30min; Blocking buffer (normal goat serum,C-0005) at 37℃ for 20 min; Incubation: Anti-DAND5 Polyclonal Antibody, Unconjugated(bs-14193R) 1:500, overnight at 4°C, followed by conjugation to the secondary antibody(SP-0023) and DAB(C-0010) staining
版权所有 2004-2026 www.bioss.com.cn 北京博奥森生物技术有限公司
通过国际质量管理体系ISO 9001:2015 GB/T 19001-2016    证书编号: 00124Q34771R2M/1100
通过国际医疗器械-质量管理体系ISO 13485:2016 GB/T 42061-2022     证书编号: CQC24QY20047R0M/1100
京ICP备05066980号-1         京公网安备110107000727号