扫码关注公众号           扫码咨询技术支持           扫码咨询技术服务
  
客服热线:400-901-9800  客服QQ:4009019800  技术答疑  技术支持  质量反馈  关于我们  联系我们
产品中心-北京博奥森生物技术有限公司
首页 > 产品中心 > 一抗 > 产品信息
PI3 Kinase p110 delta Rabbit pAb (bs-10656R)  
订购热线:400-901-9800
订购邮箱:sales@bioss.com.cn
订购QQ:  400-901-9800
技术支持:techsupport@bioss.com.cn
50ul/1180.00元
100ul/1980.00元
200ul/2800.00元
大包装/询价

产品编号 bs-10656R
英文名称 PI3 Kinase p110 delta Rabbit pAb
中文名称 磷脂酰肌醇激酶催化亚单位D抗体
别    名 p110D; p110delta; Phosphatidylinositol 3 kinase catalytic delta polypeptide; Phosphatidylinositol 4 5 bisphosphate 3 kinase catalytic subunit delta isoform; Phosphatidylinositol 45 bisphosphate 3 kinase catalytic subunit delta isoform; phosphoinositide 3 kinase B; phosphoinositide 3 kinase C; phosphoinositide 3 kinase catalytic delta polypeptide; PI3 kinase p110 subunit delta; PI3K; PIK3CD; PK3CD; PtdIns 3 kinase p110; PI 3 Kinase p110 delta; PK3CD_HUMAN; Phosphatidylinositol 4, 5-bisphosphate 3-kinase catalytic subunit delta isoform; PI3-kinase subunit delta; PI3K-delta; PI3Kdelta; PtdIns-3-kinase subunit delta; Phosphatidylinositol 4, 5-bisphosphate 3-kinase 110 kDa catalytic subunit delta; PtdIns-3-kinase subunit p110-delta; p110delta.  
Specific References  (2)     |     bs-10656R has been referenced in 2 publications.
[IF=6.656] Fangbo Zhang. et al. Huashibaidu Formula Attenuates Sepsis-Induced Acute Lung Injury via Suppressing Cytokine Storm: Implications for Treatment of COVID-19. PHYTOMEDICINE. 2022 Nov;:154549  WB ;  Mouse.  
[IF=5.561] Minrui Wu. et al. The Effect and Mechanism of Corilagin from Euryale Ferox Salisb Shell on LPS-Induced Inflammation in Raw264.7 Cells. FOODS. 2023 Jan;12(5):979  WB ;  Mouse.  
研究领域 肿瘤  免疫学  信号转导  转录调节因子  激酶和磷酸酶  
抗体来源 Rabbit
克隆类型 Polyclonal
克 隆 号
交叉反应 Human,Mouse (predicted: Rat)
产品应用 WB=1:500-2000,IHC-P=1:100-500,IHC-F=1:100-500,IF=1:100-500
not yet tested in other applications.
optimal dilutions/concentrations should be determined by the end user.
理论分子量 115 kDa
检测分子量
细胞定位 细胞浆 
性    状 Liquid
浓    度 1mg/ml
免 疫 原 KLH conjugated synthetic peptide derived from human PI3 Kinase p110 delta: 51-150/1044 
亚    型 IgG
纯化方法 affinity purified by Protein A
缓 冲 液 0.01M TBS (pH7.4) with 1% BSA, 0.02% Proclin300 and 50% Glycerol.
保存条件 Shipped at 4℃. Store at -20℃ for one year. Avoid repeated freeze/thaw cycles.
注意事项 This product as supplied is intended for research use only, not for use in human, therapeutic or diagnostic applications.
PubMed PubMed
产品介绍
产品图片
Sample: Thymus (Mouse) Lysate at 40 ug Primary: Anti-PI3 Kinase p110 delta (bs-10656R) at 1/300 dilution Secondary: IRDye800CW Goat Anti-Rabbit IgG at 1/20000 dilution Predicted band size: 115 kD Observed band size: 115 kD
Sample: Lane 1: Human HT-1080 cell lysates Lane 2: Human Jurkat cell lysates Primary: Anti-PI3 Kinase p110 delta (bs-10656R) at 1/1000 dilution Secondary: IRDye800CW Goat Anti-Rabbit IgG at 1/20000 dilution Predicted band size: 115 kDa Observed band size: 120 kDa
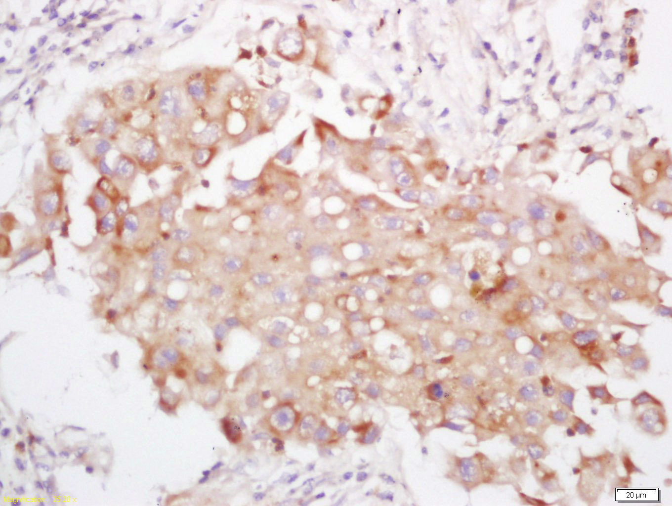
Tissue/cell: human lung carcinoma; 4% Paraformaldehyde-fixed and paraffin-embedded; Antigen retrieval: citrate buffer ( 0.01M, pH 6.0 ), Boiling bathing for 15min; Block endogenous peroxidase by 3% Hydrogen peroxide for 30min; Blocking buffer (normal goat serum,C-0005) at 37℃ for 20 min; Incubation: Anti-PI3 Kinase p110 delta Polyclonal Antibody, Unconjugated(bs-10656R) 1:200, overnight at 4°C, followed by conjugation to the secondary antibody(SP-0023) and DAB(C-0010) staining
版权所有 2004-2026 www.bioss.com.cn 北京博奥森生物技术有限公司
通过国际质量管理体系ISO 9001:2015 GB/T 19001-2016    证书编号: 00124Q34771R2M/1100
通过国际医疗器械-质量管理体系ISO 13485:2016 GB/T 42061-2022     证书编号: CQC24QY20047R0M/1100
京ICP备05066980号-1         京公网安备110107000727号