扫码关注公众号           扫码咨询技术支持           扫码咨询技术服务
  
客服热线:400-901-9800  客服QQ:4009019800  技术答疑  技术支持  质量反馈  人才招聘  关于我们  联系我们
产品中心-北京博奥森生物技术有限公司
首页 > 产品中心 > 一抗 > 产品信息
DDX55 Rabbit pAb (bs-14336R)  
订购热线:400-901-9800
订购邮箱:sales@bioss.com.cn
订购QQ:  400-901-9800
技术支持:techsupport@bioss.com.cn
50ul/1180.00元
100ul/1980.00元
200ul/2800.00元
大包装/询价

产品编号 bs-14336R
英文名称 DDX55 Rabbit pAb
中文名称 ATP依赖RNA解旋酶DDX55抗体
别    名 2810021H22Rik; mKIAA1595; chunp6861; fc32a12; kiaa1595; wu:fc32a12; DDX55_HUMAN; DDX55; DEAD box protein 55; 3.6.4.13; DDX55_MOUSE; DDX55_DANRE;   
研究领域 发育生物学  结合蛋白  细胞分化  表观遗传学  
抗体来源 Rabbit
克隆类型 Polyclonal
克 隆 号
交叉反应 Mouse,Rat (predicted: Human,Pig,Sheep,Cow,Chicken,Dog,Horse)
产品应用 IHC-P=1:100-500,IHC-F=1:100-500,IF=1:100-500
not yet tested in other applications.
optimal dilutions/concentrations should be determined by the end user.
理论分子量 69 kDa
细胞定位 细胞核 细胞浆 
性    状 Liquid
浓    度 1mg/ml
免 疫 原 KLH conjugated synthetic peptide derived from human DDX55: 451-550/600 
亚    型 IgG
纯化方法 affinity purified by Protein A
缓 冲 液 0.01M TBS (pH7.4) with 1% BSA, 0.02% Proclin300 and 50% Glycerol.
保存条件 Shipped at 4℃. Store at -20℃ for one year. Avoid repeated freeze/thaw cycles.
注意事项 This product as supplied is intended for research use only, not for use in human, therapeutic or diagnostic applications.
PubMed PubMed
产品介绍 This gene encodes a member of the DEAD box protein family. DEAD box proteins, characterized by the conserved motif Asp-Glu-Ala-Asp (DEAD), are putative RNA helicases. They are implicated in a number of cellular processes involving alteration of RNA secondary structure, such as translation initiation, nuclear and mitochondrial splicing, and ribosome and spliceosome assembly. Based on their distribution patterns, some members of this family are believed to be involved in embryogenesis, spermatogenesis, and cellular growth and division. Multiple alternatively spliced transcript variants have been found for this gene, but the biological validity of only one transcript has been confirmed. [provided by RefSeq, Jul 2008]

Function:
Probable ATP-binding RNA helicase.

Similarity:
Belongs to the DEAD box helicase family. DDX55/SPB4 subfamily.
Contains 1 helicase ATP-binding domain.
Contains 1 helicase C-terminal domain.

SWISS:
Q8NHQ9

Gene ID:
57696

Database links:

Entrez Gene: 57696 Human

Entrez Gene: 486246 Dog

Entrez Gene: 67848 Mouse

Entrez Gene: 304468 Rat

Entrez Gene: 286745 Zebrafish

SwissProt: Q8NHQ9 Human

SwissProt: Q6ZPL9 Mouse

SwissProt: Q8JHJ2 Zebrafish

Unigene: 286173 Human

Unigene: 281601 Mouse

Unigene: 16883 Zebrafish



产品图片
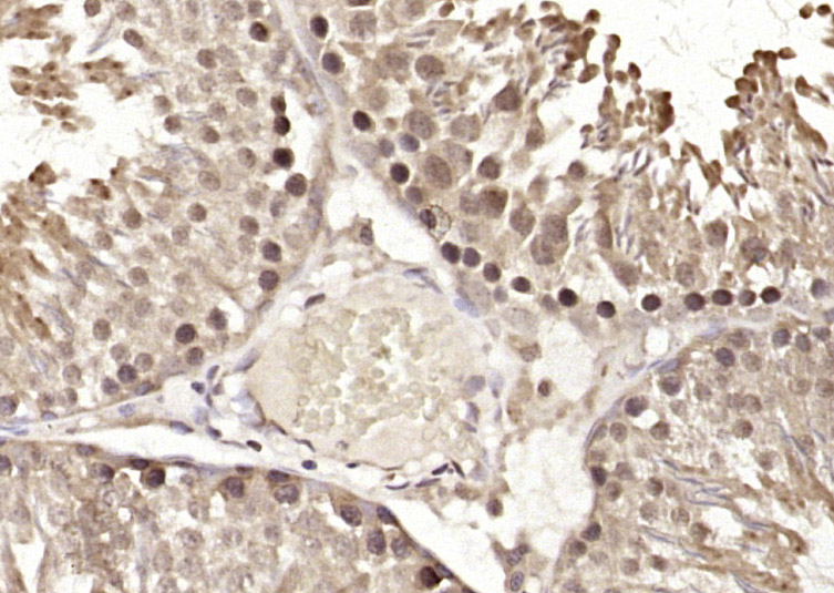
Paraformaldehyde-fixed, paraffin embedded (rat testis); Antigen retrieval by boiling in sodium citrate buffer (pH6.0) for 15min; Block endogenous peroxidase by 3% hydrogen peroxide for 20 minutes; Blocking buffer (normal goat serum) at 37°C for 30min; Antibody incubation with (DDX55) Polyclonal Antibody, Unconjugated (bs-14336R) at 1:200 overnight at 4°C, followed by operating according to SP Kit(Rabbit) (sp-0023) instructionsand DAB staining.
Paraformaldehyde-fixed, paraffin embedded (mouse testis); Antigen retrieval by boiling in sodium citrate buffer (pH6.0) for 15min; Block endogenous peroxidase by 3% hydrogen peroxide for 20 minutes; Blocking buffer (normal goat serum) at 37°C for 30min; Antibody incubation with (DDX55) Polyclonal Antibody, Unconjugated (bs-14336R) at 1:200 overnight at 4°C, followed by operating according to SP Kit(Rabbit) (sp-0023) instructionsand DAB staining.
版权所有 2004-2026 www.bioss.com.cn 北京博奥森生物技术有限公司
通过国际质量管理体系ISO 9001:2015 GB/T 19001-2016    证书编号: 00124Q34771R2M/1100
通过国际医疗器械-质量管理体系ISO 13485:2016 GB/T 42061-2022     证书编号: CQC24QY20047R0M/1100
京ICP备05066980号-1         京公网安备110107000727号