扫码关注公众号           扫码咨询技术支持           扫码咨询技术服务
  
客服热线:400-901-9800  客服QQ:4009019800  技术答疑  技术支持  质量反馈  关于我们  联系我们
产品中心-北京博奥森生物技术有限公司
首页 > 产品中心 > 一抗 > 产品信息
phospho-AMPK alpha 1 (Thr183) + AMPK alpha 2 (Thr172) Rabbit pAb (bs-8813R)  
订购热线:400-901-9800
订购邮箱:sales@bioss.com.cn
订购QQ:  400-901-9800
技术支持:techsupport@bioss.com.cn
50ul/1180.00元
100ul/1980.00元
200ul/2800.00元
大包装/询价

产品编号 bs-8813R
英文名称 phospho-AMPK alpha 1 (Thr183) + AMPK alpha 2 (Thr172) Rabbit pAb
中文名称 磷酸化腺苷单磷酸活化蛋白激酶α1抗体
别    名 AMPK alpha 1(phospho T183)/AMPK alpha 2(phospho T172); AMPK alpha 1(phospho T183)+AMPK alpha 2(phospho T172); AMPK alpha 1(phospho T183); phospho-AMPK alpha 1(T183); phospho-AMPK alpha 1(Thr183); phospho-AMPK alpha 2(T172); phospho-AMPK alpha 2(Thr172); 5''-AMP-activated protein kinase catalytic subunit alpha-1; AAPK1_HUMAN; AAPK2_HUMAN; ACACA kinase; Acetyl-CoA carboxylase kinase; AMPK alpha 1 chain; AMPK alpha 2 chain; AMPK; AMPK subunit alpha-1; AMPK1; AMPK2; HMGCR kinase; Hydroxymethylglutaryl-CoA reductase kinase; PRKAA; PRKAA1; PRKAA2; Protein kinase AMP activated alpha 1 catalytic subunit; Protein kinase AMP activated alpha 2 catalytic subunit; Tau-protein kinase PRKAA1; AMPKα1; AMPK α1; AMPKα 1; AMPK α 1; AMPK AMPK-α1; AMPK-α-1; α-1.  
Specific References  (5)     |     bs-8813R has been referenced in 5 publications.
[IF=5.085] Feng Yanzhong. et al. Ulva prolifera Extract Alleviates Intestinal Oxidative Stress via Nrf2 Signaling in Weaned Piglets Challenged With Hydrogen Peroxide. Front Immunol. 2020 Oct;11:2840  WB ;  Pig.  
[IF=4.872] Jianzhao Liao. et al. Copper induces energy metabolic dysfunction and AMPK-mTOR pathway-mediated autophagy in kidney of broiler chickens. Ecotox Environ Safe. 2020 Dec;206:111366  WB ;  Chicken.  
[IF=3.9] Dong Zhixia. et al. Adiponectin Inhibits NLRP3 Inflammasome Activation in Nonalcoholic Steatohepatitis via AMPK-JNK/ErK1/2-NFκB/ROS Signaling Pathways. Front Med-Lausanne. 2020 Nov;7:705  WB ;  Mouse.  
[IF=2.495] Jinzhen Lv. et al. Thermo-TRP channels are involved in BAT thermoregulation in cold-acclimated Brandt's voles. COMP BIOCHEM PHYS B. 2022 Aug;:110794  WB ;  Vole.  
[IF=1.641] Tian‐Yu Feng. et al. Rosmarinic acid improves boar sperm quality, antioxidant capacity and energy metabolism at 17°C via AMPK activation. Reprod Domest Anim. 2020 Dec;55(12):1714-1724  WB ;  Pig.  
研究领域 肿瘤  细胞生物  神经生物学  信号转导  激酶和磷酸酶  
抗体来源 Rabbit
克隆类型 Polyclonal
克 隆 号
交叉反应 Human,Mouse (predicted: Rat,Rabbit,Pig,Sheep,Cow,Chicken,Dog,Horse)
产品应用 IHC-P=1:100-500,IHC-F=1:100-500,IF=1:100-500
not yet tested in other applications.
optimal dilutions/concentrations should be determined by the end user.
理论分子量 63 kDa
检测分子量
细胞定位 细胞核 细胞浆 
性    状 Liquid
浓    度 1mg/ml
免 疫 原 KLH conjugated Synthesised phosphopeptide derived from human AMPK alpha 1 around the phosphorylation site of Thr183: LR(p-T)SC 
亚    型 IgG
纯化方法 affinity purified by Protein A
缓 冲 液 0.01M TBS (pH7.4) with 1% BSA, 0.02% Proclin300 and 50% Glycerol.
保存条件 Shipped at 4℃. Store at -20℃ for one year. Avoid repeated freeze/thaw cycles.
注意事项 This product as supplied is intended for research use only, not for use in human, therapeutic or diagnostic applications.
PubMed PubMed
产品介绍 The protein encoded by this gene belongs to the ser/thr protein kinase family. It is the catalytic subunit of the 5'-prime-AMP-activated protein kinase (AMPK). AMPK is a cellular energy sensor conserved in all eukaryotic cells. The kinase activity of AMPK is activated by the stimuli that increase the cellular AMP/ATP ratio. AMPK regulates the activities of a number of key metabolic enzymes through phosphorylation. It protects cells from stresses that cause ATP depletion by switching off ATP-consuming biosynthetic pathways. Alternatively spliced transcript variants encoding distinct isoforms have been observed. [provided by RefSeq, Jul 2008].

Function:
Catalytic subunit of AMP-activated protein kinase (AMPK), an energy sensor protein kinase that plays a key role in regulating cellular energy metabolism. In response to reduction of intracellular ATP levels, AMPK activates energy-producing pathways and inhibits energy-consuming processes: inhibits protein, carbohydrate and lipid biosynthesis, as well as cell growth and proliferation. AMPK acts via direct phosphorylation of metabolic enzymes, and by longer-term effects via phosphorylation of transcription regulators. Also acts as a regulator of cellular polarity by remodeling the actin cytoskeleton; probably by indirectly activating myosin. Regulates lipid synthesis by phosphorylating and inactivating lipid metabolic enzymes such as ACACA, ACACB, GYS1, HMGCR and LIPE; regulates fatty acid and cholesterol synthesis by phosphorylating acetyl-CoA carboxylase (ACACA and ACACB) and hormone-sensitive lipase (LIPE) enzymes, respectively. Regulates insulin-signaling and glycolysis by phosphorylating IRS1, PFKFB2 and PFKFB3. AMPK stimulates glucose uptake in muscle by increasing the translocation of the glucose transporter SLC2A4/GLUT4 to the plasma membrane, possibly by mediating phosphorylation of TBC1D4/AS160. Regulates transcription and chromatin structure by phosphorylating transcription regulators involved in energy metabolism such as CRTC2/TORC2, FOXO3, histone H2B, HDAC5, MEF2C, MLXIPL/ChREBP, EP300, HNF4A, p53/TP53, SREBF1, SREBF2 and PPARGC1A. Acts as a key regulator of glucose homeostasis in liver by phosphorylating CRTC2/TORC2, leading to CRTC2/TORC2 sequestration in the cytoplasm. In response to stress, phosphorylates 'Ser-36' of histone H2B (H2BS36ph), leading to promote transcription. Acts as a key regulator of cell growth and proliferation by phosphorylating TSC2, RPTOR and ATG1: in response to nutrient limitation, negatively regulates the mTORC1 complex by phosphorylating RPTOR component of the mTORC1 complex and by phosphorylating and activating TSC2. In response to nutrient limitation, promotes autophagy by phosphorylating and activating ULK1. AMPK also acts as a regulator of circadian rhythm by mediating phosphorylation of CRY1, leading to destabilize it. May regulate the Wnt signaling pathway by phosphorylating CTNNB1, leading to stabilize it. Also has tau-protein kinase activity: in response to amyloid beta A4 protein (APP) exposure, activated by CAMKK2, leading to phosphorylation of MAPT/TAU; however the relevance of such data remains unclear in vivo. Also phosphorylates CFTR, EEF2K, KLC1, NOS3 and SLC12A1.

Subunit:
AMPK is a heterotrimer of an alpha catalytic subunit (PRKAA1 or PRKAA2), a beta (PRKAB1 or PRKAB2) and a gamma non-catalytic subunits (PRKAG1, PRKAG2 or PRKAG3). Interacts with FNIP1 and FNIP2.

Subcellular Location:
Cytoplasm. Nucleus. Note=In response to stress, recruited by p53/TP53 to specific promoters.

Post-translational modifications:
Ubiquitinated. Phosphorylated at Thr-183 by STK11/LKB1 in complex with STE20-related adapter-alpha (STRADA) pseudo kinase and CAB39. Also phosphorylated at Thr-183 by CAMKK2; triggered by a rise in intracellular calcium ions, without detectable changes in the AMP/ATP ratio. CAMKK1 can also phosphorylate Thr-183, but at much lower lvel. Dephosphorylated by protein phosphatase 2A and 2C (PP2A and PP2C). Phosphorylated by ULK1 and ULK2; leading to negatively regulate AMPK activity and suggesting the existence of a regulatory feedback loop between ULK1, ULK2 and AMPK.

Similarity:
Belongs to the protein kinase superfamily. CAMK Ser/Thr protein kinase family. SNF1 subfamily.
Contains 1 protein kinase domain.

Gene ID:
5562

Database links:

Entrez Gene: 5562 Human

Entrez Gene: 5563 Human

Entrez Gene: 105787 Mouse

Entrez Gene: 108079 Mouse

Entrez Gene: 65248 Rat

Entrez Gene: 78975 Rat

Omim: 600497 Human

Omim: 602739 Human

SwissProt: P49642 Human

SwissProt: P54646 Human

SwissProt: Q13131 Human

SwissProt: Q5EG47 Mouse

SwissProt: Q8BRK8 Mouse

SwissProt: P54645 Rat

SwissProt: Q09137 Rat

Unigene: 43322 Human

Unigene: 437039 Human

Unigene: 207004 Mouse

Unigene: 48638 Mouse

Unigene: 64583 Rat

Unigene: 87789 Rat



产品图片
Paraformaldehyde-fixed, paraffin embedded (Mouse brain); Antigen retrieval by boiling in sodium citrate buffer (pH6.0) for 15min; Block endogenous peroxidase by 3% hydrogen peroxide for 20 minutes; Blocking buffer (normal goat serum) at 37°C for 30min; Antibody incubation with (AMPK alpha 1 (phospho T183) + AMPK alpha 2 (phospho T172)) Polyclonal Antibody, Unconjugated (bs-8813R) at 1:400 overnight at 4°C, followed by operating according to SP Kit(Rabbit) (sp-0023) instructionsand DAB staining.
Paraformaldehyde-fixed, paraffin embedded (Mouse liver); Antigen retrieval by boiling in sodium citrate buffer (pH6.0) for 15min; Block endogenous peroxidase by 3% hydrogen peroxide for 20 minutes; Blocking buffer (normal goat serum) at 37°C for 30min; Antibody incubation with (AMPK alpha 1 (phospho T183) + AMPK alpha 2 (phospho T172)) Polyclonal Antibody, Unconjugated (bs-8813R) at 1:400 overnight at 4°C, followed by operating according to SP Kit(Rabbit) (sp-0023) instructionsand DAB staining.
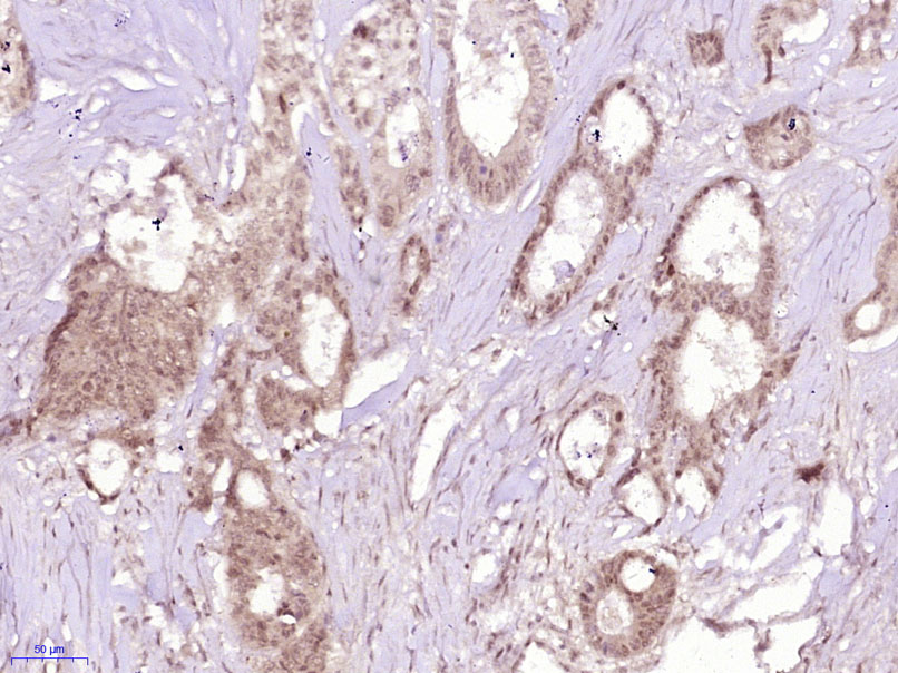
Paraformaldehyde-fixed, paraffin embedded (Human cervical carcinoma); Antigen retrieval by boiling in sodium citrate buffer (pH6.0) for 15min; Block endogenous peroxidase by 3% hydrogen peroxide for 20 minutes; Blocking buffer (normal goat serum) at 37°C for 30min; Antibody incubation with (AMPK alpha 1 (phospho T183) + AMPK alpha 2 (phospho T172)) Polyclonal Antibody, Unconjugated (bs-8813R) at 1:400 overnight at 4°C, followed by operating according to SP Kit(Rabbit) (sp-0023) instructionsand DAB staining.
版权所有 2004-2026 www.bioss.com.cn 北京博奥森生物技术有限公司
通过国际质量管理体系ISO 9001:2015 GB/T 19001-2016    证书编号: 00124Q34771R2M/1100
通过国际医疗器械-质量管理体系ISO 13485:2016 GB/T 42061-2022     证书编号: CQC24QY20047R0M/1100
京ICP备05066980号-1         京公网安备110107000727号