扫码关注公众号           扫码咨询技术支持           扫码咨询技术服务
  
客服热线:400-901-9800  客服QQ:4009019800  技术答疑  技术支持  质量反馈  关于我们  联系我们
产品中心-北京博奥森生物技术有限公司
首页 > 产品中心 > 一抗 > 产品信息
Histone H3 (acetyl K27) Rabbit pAb (bs-7451R)  
订购热线:400-901-9800
订购邮箱:sales@bioss.com.cn
订购QQ:  400-901-9800
技术支持:techsupport@bioss.com.cn
50ul/1180.00元
100ul/1980.00元
200ul/2800.00元
大包装/询价

产品编号 bs-7451R
英文名称 Histone H3 (acetyl K27) Rabbit pAb
中文名称 乙酰化组蛋白H3抗体
别    名 acetyl H3; Histone H3(acetyl k27); H3K27; H3 histone family member E pseudogene; H3 histone family, member A; H3/A; H31_HUMAN; H3F3; H3FA; Hist1h3a; HIST1H3B; HIST1H3C; HIST1H3D; HIST1H3E; HIST1H3F; HIST1H3G; HIST1H3H; HIST1H3I; HIST1H3J; HIST3H3; histone 1, H3a; Histone cluster 1, H3a; Histone H3 3 pseudogene; Histone H3.1; Histone H3/a; Histone H3/b; Histone H3/c; Histone H3/d; Histone H3/f; Histone H3/h; Histone H3/i; Histone H3/j; Histone H3/k; Histone H3/l; H3.1; H3/d; H3C1; H3C10; H3C11; H3C12; H3C2; H3C3; H3C4; H3C7; H3C8; H3FD;  
产品类型 乙酰化抗体 
研究领域 染色质和核信号  表观遗传学  
抗体来源 Rabbit
克隆类型 Polyclonal
克 隆 号
交叉反应 Human,Rat
产品应用 IHC-P=1:100-500,IHC-F=1:100-500,IF=1:100-500,Flow-Cyt=1ug/Test
not yet tested in other applications.
optimal dilutions/concentrations should be determined by the end user.
理论分子量 15 kDa
检测分子量
细胞定位 细胞核 
性    状 Liquid
浓    度 1mg/ml
免 疫 原 KLH conjugated synthesised acetylpeptide derived from human Histone H3 around the acetylation site of K27: AR(Ac-K)SA 
亚    型 IgG
纯化方法 affinity purified by Protein A
缓 冲 液 0.01M TBS (pH7.4) with 1% BSA, 0.02% Proclin300 and 50% Glycerol.
保存条件 Shipped at 4℃. Store at -20℃ for one year. Avoid repeated freeze/thaw cycles.
注意事项 This product as supplied is intended for research use only, not for use in human, therapeutic or diagnostic applications.
PubMed PubMed
产品介绍 Histones are basic nuclear proteins that are responsible for the nucleosome structure of the chromosomal fiber in eukaryotes. This structure consists of approximately 146 bp of DNA wrapped around a nucleosome, an octamer composed of pairs of each of the four core histones (H2A, H2B, H3, and H4). The chromatin fiber is further compacted through the interaction of a linker histone, H1, with the DNA between the nucleosomes to form higher order chromatin structures. This gene is intronless and encodes a member of the histone H3 family. Transcripts from this gene lack polyA tails; instead, they contain a palindromic termination element. This gene is found in the large histone gene cluster on chromosome 6p22-p21.3. [provided by RefSeq, Jul 2008]

Function:
Core component of nucleosome. Nucleosomes wrap and compact DNA into chromatin, limiting DNA accessibility to the cellular machineries which require DNA as a template. Histones thereby play a central role in transcription regulation, DNA repair, DNA replication and chromosomal stability. DNA accessibility is regulated via a complex set of post-translational modifications of histones, also called histone code, and nucleosome remodeling.

Subcellular Location:
Nucleus. Chromosome.

Post-translational modifications:
Acetylation is generally linked to gene activation. Acetylation on Lys-10 (H3K9ac) impairs methylation at Arg-9 (H3R8me2s). Acetylation on Lys-19 (H3K18ac) and Lys-24 (H3K24ac) favors methylation at Arg-18 (H3R17me). Citrullination at Arg-9 (H3R8ci) and/or Arg-18 (H3R17ci) by PADI4 impairs methylation and represses transcription.

DISEASE:
Expressed during S phase, then expression strongly decreases as cell division slows down during the process of differentiation.

Similarity:
Belongs to the histone H3 family.

SWISS:
Q71DI3

Gene ID:
8968

Database links:

Entrez Gene: 8350 Human

Entrez Gene: 8351 Human

Entrez Gene: 8352 Human

Entrez Gene: 8353 Human

Entrez Gene: 8354 Human

Entrez Gene: 8355 Human

Entrez Gene: 8356 Human

Entrez Gene: 8357 Human

Entrez Gene: 8358 Human

Entrez Gene: 8968 Human

Entrez Gene: 260423 Mouse

Entrez Gene: 319148 Mouse

Entrez Gene: 319149 Mouse

Entrez Gene: 319150 Mouse

Entrez Gene: 319151 Mouse

Entrez Gene: 319152 Mouse

Entrez Gene: 319153 Mouse

Entrez Gene: 360198 Mouse

Entrez Gene: 97908 Mouse

Entrez Gene: 100364501 Rat

Entrez Gene: 100365669 Rat

Entrez Gene: 291159 Rat

Entrez Gene: 314977 Rat

Entrez Gene: 364716 Rat

Entrez Gene: 679950 Rat

Entrez Gene: 679994 Rat

Entrez Gene: 680511 Rat

Entrez Gene: 680599 Rat

Entrez Gene: 682330 Rat

Entrez Gene: 691496 Rat

SwissProt: P68431 Human

SwissProt: P84243 Human

SwissProt: Q16695 Human

SwissProt: Q6NXT2 Human

SwissProt: Q71DI3 Human

SwissProt: P68433 Mouse

SwissProt: P84228 Mouse

SwissProt: Q6LED0 Rat



产品图片
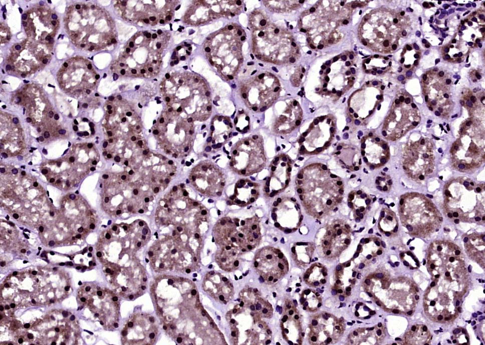
Paraformaldehyde-fixed, paraffin embedded (Human kidney); Antigen retrieval by boiling in sodium citrate buffer (pH6.0) for 15min; Block endogenous peroxidase by 3% hydrogen peroxide for 20 minutes; Blocking buffer (normal goat serum) at 37°C for 30min; Antibody incubation with (Histone H3 (acetyl K27)) Polyclonal Antibody, Unconjugated (bs-7451R) at 1:400 overnight at 4°C, followed by operating according to SP Kit(Rabbit) (sp-0023) instructionsand DAB staining.
Paraformaldehyde-fixed, paraffin embedded (Rat colon); Antigen retrieval by boiling in sodium citrate buffer (pH6.0) for 15min; Block endogenous peroxidase by 3% hydrogen peroxide for 20 minutes; Blocking buffer (normal goat serum) at 37°C for 30min; Antibody incubation with (Histone H3 (acetyl K27)) Polyclonal Antibody, Unconjugated (bs-7451R) at 1:400 overnight at 4°C, followed by operating according to SP Kit(Rabbit) (sp-0023) instructionsand DAB staining.
Blank control (blue line): B16(purple). Primary Antibody (green line): Rabbit Anti-Histone H3 (acetyl K27)antibody (bs-4316R) Dilution: 1μg /10^6 cells; Isotype Control Antibody (orange line): Rabbit IgG . Secondary Antibody (white blue line): Goat anti-rabbit IgG-PE Dilution: 1μg /test. Protocol The cells were fixed with 2% paraformaldehyde (10 min) , then permeabilized with 90% ice-cold methanol for 20 min on ice.The cells were then incubated in 10% goat serum to block non-specific protein-protein interactions for 30min at room temperature. Cells stained with Primary Antibody for 30 min at room temperature. The secondary antibody used for 40 min at room temperature. Acquisition of 20,000 events was performed.
Blank control: Molt4. Primary Antibody (green line): Rabbit Anti-Histone H3 (acetyl K27) antibody (bs-7451R) Dilution: 2μg /10^6 cells; Isotype Control Antibody (orange line): Rabbit IgG . Secondary Antibody : Goat anti-rabbit IgG-AF647 Dilution: 1μg /test. Protocol The cells were fixed with 4% PFA (10min at room temperature)and then permeabilized with 90% ice-cold methanol for 20 min at -20℃. The cells were then incubated in 5%BSA to block non-specific protein-protein interactions for 30 min at room temperature .Cells stained with Primary Antibody for 30 min at room temperature. The secondary antibody used for 40 min at room temperature. Acquisition of 20,000 events was performed.
版权所有 2004-2026 www.bioss.com.cn 北京博奥森生物技术有限公司
通过国际质量管理体系ISO 9001:2015 GB/T 19001-2016    证书编号: 00124Q34771R2M/1100
通过国际医疗器械-质量管理体系ISO 13485:2016 GB/T 42061-2022     证书编号: CQC24QY20047R0M/1100
京ICP备05066980号-1         京公网安备110107000727号