扫码关注公众号           扫码咨询技术支持           扫码咨询技术服务
  
客服热线:400-901-9800  客服QQ:4009019800  技术答疑  技术支持  质量反馈  人才招聘  关于我们  联系我们
产品中心-北京博奥森生物技术有限公司
首页 > 产品中心 > 一抗 > 产品信息
DUSP18 Rabbit pAb (bs-14453R)  
订购热线:400-901-9800
订购邮箱:sales@bioss.com.cn
订购QQ:  400-901-9800
技术支持:techsupport@bioss.com.cn
50ul/1180.00元
100ul/1980.00元
200ul/2800.00元
大包装/询价

产品编号 bs-14453R
英文名称 DUSP18 Rabbit pAb
中文名称 双特异性磷酸酶抗体18抗体
别    名 DSP18; DUSP20; LMWDSP20; 4930527G07Rik; DUS18_HUMAN; DUSP18; Low molecular weight dual specificity phosphatase 20 (LMW-DSP20); 3.1.3.16; 3.1.3.48; DUS18_MOUSE;   
研究领域 细胞生物  信号转导  激酶和磷酸酶  
抗体来源 Rabbit
克隆类型 Polyclonal
克 隆 号
交叉反应 Rat (predicted: Human,Mouse,Horse)
产品应用 IHC-P=1:100-500,IHC-F=1:100-500,IF=1:100-500
not yet tested in other applications.
optimal dilutions/concentrations should be determined by the end user.
理论分子量 21 kDa
细胞定位 细胞核 细胞浆 
性    状 Liquid
浓    度 1mg/ml
免 疫 原 KLH conjugated synthetic peptide derived from human DUSP18: 1-100/188 
亚    型 IgG
纯化方法 affinity purified by Protein A
缓 冲 液 0.01M TBS (pH7.4) with 1% BSA, 0.02% Proclin300 and 50% Glycerol.
保存条件 Shipped at 4℃. Store at -20℃ for one year. Avoid repeated freeze/thaw cycles.
注意事项 This product as supplied is intended for research use only, not for use in human, therapeutic or diagnostic applications.
PubMed PubMed
产品介绍 Dual-specificity phosphatases (DUSPs) constitute a large heterogeneous subgroup of the type I cysteine-based protein-tyrosine phosphatase superfamily. DUSPs are characterized by their ability to dephosphorylate both tyrosine and serine/threonine residues. They have been implicated as major modulators of critical signaling pathways. DUSP18 contains the consensus DUSP C-terminal catalytic domain but lacks the N-terminal CH2 domain found in the MKP (mitogen-activated protein kinase phosphatase) class of DUSPs (see MIM 600714) (summary by Patterson et al., 2009 [PubMed 19228121]).[supplied by OMIM, Dec 2009]

Function:
Can dephosphorylate single and diphosphorylated synthetic MAPK peptides, with preference for the phosphotyrosine and diphosphorylated forms over phosphothreonine. In vitro, dephosphorylates p-nitrophenyl phosphate (pNPP).

Subcellular Location:
Cytoplasm. Nucleus.

Tissue Specificity:
Widely expressed with highest levels in liver, brain, ovary and testis.

Similarity:
Belongs to the protein-tyrosine phosphatase family. Non-receptor class dual specificity subfamily.
Contains 1 tyrosine-protein phosphatase domain.

SWISS:
Q8NEJ0

Gene ID:
150290

Database links:

Entrez Gene: 150290 Human

Entrez Gene: 75219 Mouse

Omim: 611446 Human

SwissProt: Q8NEJ0 Human

SwissProt: Q8VE01 Mouse

Unigene: 517544 Human

Unigene: 32588 Mouse



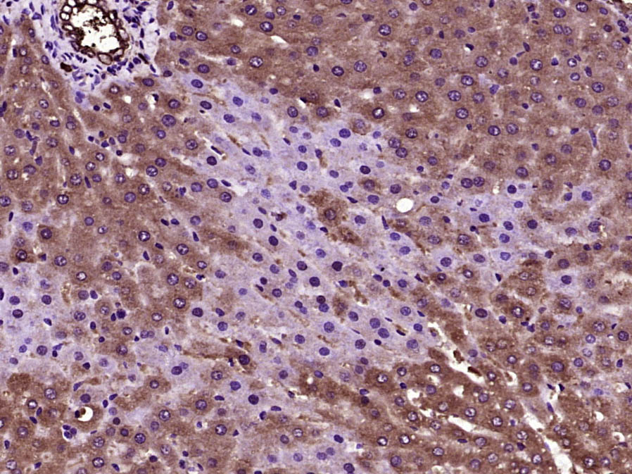
产品图片
Paraformaldehyde-fixed, paraffin embedded (Rat liver); Antigen retrieval by boiling in sodium citrate buffer (pH6.0) for 15min; Block endogenous peroxidase by 3% hydrogen peroxide for 20 minutes; Blocking buffer (normal goat serum) at 37°C for 30min; Antibody incubation with (DUSP18) Polyclonal Antibody, Unconjugated (bs-14453R) at 1:400 overnight at 4°C, followed by operating according to SP Kit(Rabbit) (sp-0023) instructions and DAB staining.
版权所有 2004-2026 www.bioss.com.cn 北京博奥森生物技术有限公司
通过国际质量管理体系ISO 9001:2015 GB/T 19001-2016    证书编号: 00124Q34771R2M/1100
通过国际医疗器械-质量管理体系ISO 13485:2016 GB/T 42061-2022     证书编号: CQC24QY20047R0M/1100
京ICP备05066980号-1         京公网安备110107000727号